Search Dental Tribune

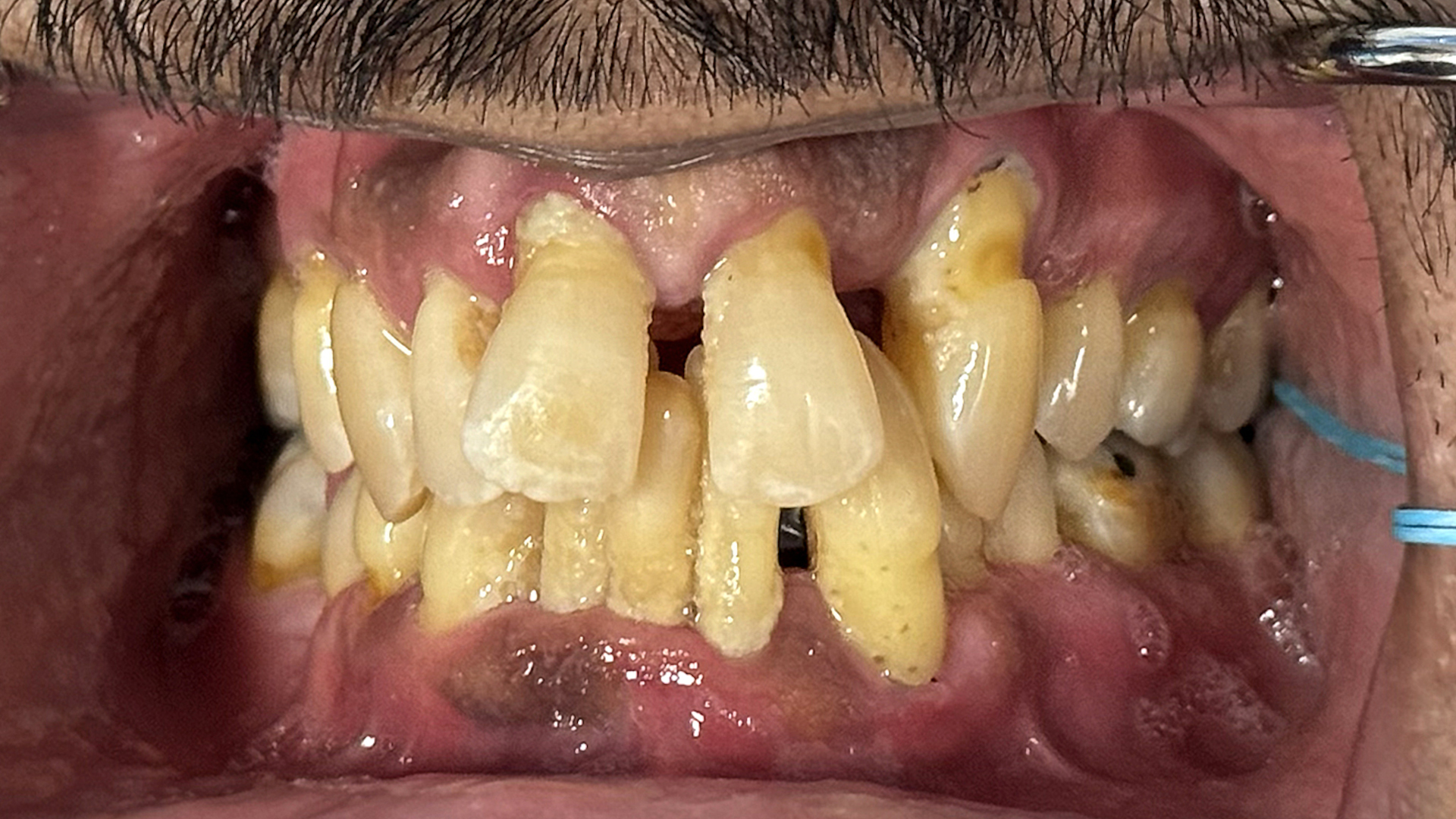
Fig. 1a: Pre-op situation. Intra-oral retracted view of the maxillary teeth, showing advanced periodontal disease and anterior spacing. (All images: Dr Scott D. Ganz)

Tue. 17. February 2026

save

The use of 3D imaging has become the standard of care for diagnosis and treatment planning for many medical and dental procedures. Such imaging was first available through large-format medical-grade CT devices, which provided static film images for clinicians, researchers and engineers. Early CT scans generated a series of cross-sectional images that were recorded on film. This was the same medium used for conventional radiographs and required chemical development. Radiographic films necessitated large light boxes to visualise patient anatomy. The advent of the digital age and improvements in technology led to the development of dry-processed films. Currently, CT scans are primarily viewed on computer monitors as digital images, and film printing has become a less common option. The imaging was and still is expensive for the patient.

Early research and development provided the path to utilisation of advanced CT imaging technology to create 3D objects through a 3D-printing technology known as stereolithography. The process begins with the acquisition of CT data, captured as stacks of axial slices that together form a volumetric representation of internal anatomy. The next step is segmentation, in which the CT dataset is partitioned into distinct objects on the basis of radiodensity, allowing the relevant structures—particularly bone, which appears with high contrast on CT scans—to be isolated. These segmented structures are then converted into surface meshes and exported as STL files suitable for 3D printing. Through stereolithography, these meshes can be fabricated with fine detail, capturing intricate surface textures and anatomical contours that are critical in clinical applications.

Historically, the use of CT-based physical modelling emerged in the late 1980s and early 1990s, shortly after the commercial introduction of stereolithography. Maxillofacial surgery served as a pioneering field for this technology, in that surgeons utilised 3D-printed skull models for the planning of reconstructions and for the design of patient-specific implants. Though early production was costly and technically demanding, it demonstrated how medical imaging and additive manufacturing could be combined to improve precision and patient outcomes. As software advanced through the 1990s and 2000s, CT-to-STL workflows became more efficient. Automated segmentation, mesh repair tools (to correct errors in STL meshes) and increasingly accessible printers allowed 3D models to be used in orthopaedics, cardiovascular surgery and oncology. The capability of incorporating multiple materials in stereolithography further expanded its clinical value by enabling the fabrication of models that simulate both rigid and soft tissue.

CBCT, introduced in the early 2000s, became available in the form of an in-office device owing to its lower cost and smaller footprint, providing immediate access to important 3D data with decreased radiation exposure and reduced costs for patients. A particularly significant evolution in dentistry was the fabrication of custom subperiosteal implants, devices that rest on the bone surface beneath the periosteum to support prosthetic teeth. Traditionally, subperiosteal implants required an initial surgical procedure to expose the jawbone and create a physical impression, which was then used to manually construct the metal framework—a process associated with substantial morbidity and imprecision. The arrival of CT-derived modelling fundamentally changed this workflow. High-resolution CT imaging allowed for the capture of the exact shape of the patient’s alveolar ridge without invasive impression taking. By segmenting the jawbone from the CT data and generating a 3D-printable model, laboratories could design custom-fitted subperiosteal frameworks that matched the patient’s anatomy with far greater accuracy. Pioneers such as H.P. Truitt and Leonard Linkow helped to educate the industry on how the technology could be used for the fabrication of subperiosteal implants; however, there was a significant limitation when using CT scans: the cross-sectional resolution and available software did not always produce accurate 3D models.

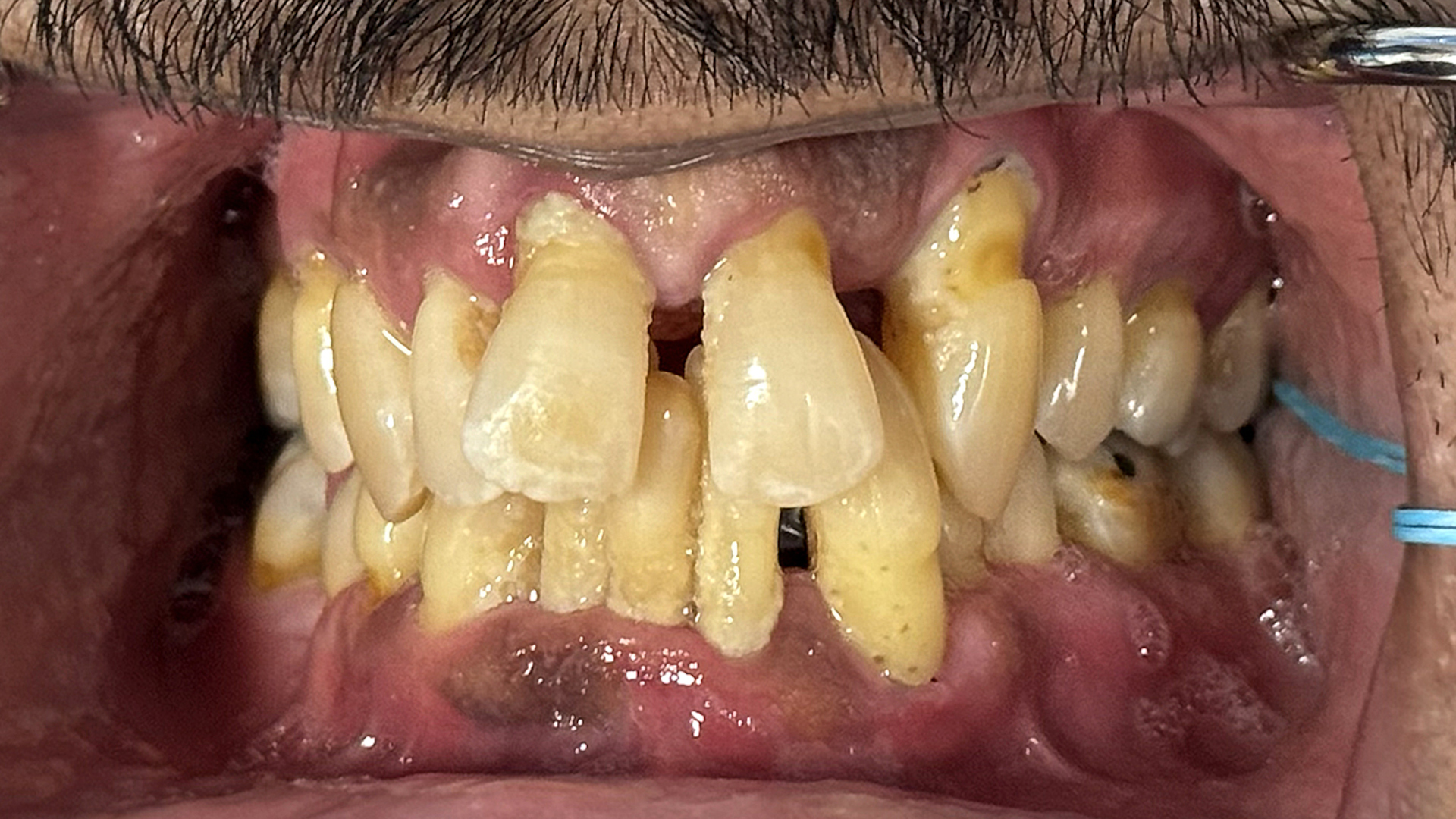
Fig. 1b: Pre-op situation. Intra-oral retracted view of the maxillary and mandibular teeth in occlusion.

Fig. 1b: Pre-op situation. Intra-oral retracted view of the maxillary and mandibular teeth in occlusion.

Owing to continued advances in high-resolution volumetric scans of the maxillofacial skeleton and to the proliferation of laboratory and in-office 3D printers, generating digital models of the mandible and maxilla has become significantly more common. The conventional pipeline—acquisition, segmentation, surface reconstruction, mesh repair, CAD, and stereolithography or metal additive manufacturing—enables the production of both anatomical models and patient-specific implants and surgical guides. For patients with severe alveolar atrophy who cannot receive conventional root-form implants, custom subperiosteal frameworks, fabricated through digital workflows, have re-emerged as a predictable alternative. Clinical reports describe 3D-printed titanium subperiosteal implants for the atrophic mandible and maxilla that improve fit, reduce chair time and simplify prosthetic rehabilitation compared with analogue workflows. Current patient-specific bone-borne implants that are fabricated using advanced workflows involving segmentation and stereolithography or metal additive manufacturing are beginning to penetrate the market; however, owing to the singular process, they remain expensive and are limited in use and availability compared with conventional dental implants. However, the process has substantiated the use and accuracy of advanced bone segmentation in dental implant applications and especially surgical guides.

Fig. 2a: Pre-op panoramic radiograph showing extensive bone loss.

Fig. 2a: Pre-op panoramic radiograph showing extensive bone loss.

The STL files produced through advanced segmentation can now be exported to desktop 3D-printing devices. Therefore, clinicians and dental laboratories can now print high-resolution mandibular and maxillary models. Additionally, since the advent of in-house 3D printing, clinicians and laboratories have designed and printed surgical guides for tooth-borne, soft tissue-borne and bone-borne dental implant cases. Regardless of the final desired outcome, the resolution and surface model detail of anatomical models rely on the segmentation process. The incorporation of artificial intelligence (AI) to aid in the tedious task of segmentation has enabled significant improvements, including the total automation of the process for bone and tooth segmentation. As advanced AI-generated segmentation becomes available through commercially free software, such as Blue Sky Plan (Blue Sky Bio), offering faster, more accurate, repeatable and cleaner results, bone-borne surgical guides can be designed with greater efficiency. Additionally, the improved design process can facilitate and enhance innovation, as seen in the recently introduced rotational path nasopalatine canal pin guide that I developed for the maxillary arch. The research on the novel design highlighted 22 consecutive cases for which the nasopalatine canal was used to stabilise bone-borne surgical guides. The case series represented the extraction of 152 teeth and the placement of 123 implants to support 18 fixed restorations and four overdenture restorations made possible through advanced AI-generated anatomical segmentation. The present case example represents a continuation of the original case series, which has expanded to 45 patients.

Fig. 2b: Maxillary implant simulation on the panoramic radiograph showing six implants and a nasopalatine canal pin.

Fig. 2b: Maxillary implant simulation on the panoramic radiograph showing six implants and a nasopalatine canal pin.

Case presentation

A 49-year-old male patient presented with failing maxillary and mandibular teeth. The findings of the clinical and radiographic examinations were severe periodontal disease, generalised bone loss, anterior spacing and tooth mobility, in addition to overall poor hygiene maintenance (Figs. 1a & b & 2a). The patient was informed of the findings, and several treatment options were discussed, including complete and/or partial dentures, implant-supported overdentures and implant-supported fixed restorations. After discussion regarding the options, the patient decided on full-arch implant-supported fixed restorations.

The initial plan for the maxillary arch was to remove all the remaining natural teeth, place six implants and employ bone grafting material where necessary to fill the sockets and other concavities or fenestrations. The simulated implants were visualised on the panoramic reconstruction, including an anchor pin located at the midline engaging the nasopalatine canal (Fig. 2b). Using advanced features to distinguish between objects based on their radiodensity, interactive treatment planning software (Blue Sky Plan) and user-defined selective transparency, the simulated implants could be fully appreciated within a 3D rendering of the maxillary bone (Figs. 3a–c).

Advanced AI-driven bone and tooth segmentation was applied to the maxillary arch to aid in the final diagnosis and treatment plan for each potential implant receptor site (Fig. 4a). The spacing of the existing natural teeth and the full topography of the maxillary bone could be visualised, providing important information required for proper implant placement (Fig. 4b). The segmented natural teeth were virtually extracted so that the bone contours and socket defects could be readily assessed (Fig. 4c).

Fig. 3a: Selective transparency views of the simulated implants in the maxillary arch, including posterior tilted implants to avoid the maxillary sinus; frontal view.

Fig. 3a: Selective transparency views of the simulated implants in the maxillary arch, including posterior tilted implants to avoid the maxillary sinus; frontal view.

Fig. 3b: Selective transparency views of the simulated implants in the maxillary arch, including posterior tilted implants to avoid the maxillary sinus; left lateral view.

Fig. 3b: Selective transparency views of the simulated implants in the maxillary arch, including posterior tilted implants to avoid the maxillary sinus; left lateral view.

Fig. 3c: Selective transparency views of the simulated implants in the maxillary arch, including posterior tilted implants to avoid the maxillary sinus; right lateral view.

Fig. 3c: Selective transparency views of the simulated implants in the maxillary arch, including posterior tilted implants to avoid the maxillary sinus; right lateral view.

Fig. 4a: 3D volumetric reconstruction of the maxilla. Extent of the bone loss and spacing of the anterior teeth.

Fig. 4a: 3D volumetric reconstruction of the maxilla. Extent of the bone loss and spacing of the anterior teeth.

Fig. 4b: Occlusal view of the simulated implants with yellow abutment projections to show the trajectory of the screw access holes.

Fig. 4b: Occlusal view of the simulated implants with yellow abutment projections to show the trajectory of the screw access holes.

Fig. 4c: Occlusal view of the simulated extractions and implants in the maxillary arch.

Fig. 4c: Occlusal view of the simulated extractions and implants in the maxillary arch.

The software allows for realistic implants to be chosen from the manufacturer’s library to maximise accuracy. All implants were IS-III active implants with an SLA surface (Neobiotech).

The initial planning was completed first within the cross-sectional imaging slices, which allow for a 360° view of the potential implant receptor site. Each cross-sectional slice was annotated to reflect the length and diameter of the implants while noting the extent of any lesions or extraction sockets (Figs. 5a–h). A similar plan was developed for the mandibular arch for six parallel implants to support a fixed restoration (Fig. 6).

An innovative and novel surgical guide was designed for the maxillary arch using Blue Sky Plan and a free STL editor, MeshMixer (Autodesk). The guide was designed on the 3D reconstructed model from segmented data in Blue Sky Plan (Fig. 7a). The unique aspect of the guide comes from the anterior rest seats that rotate into place from the buccal aspect of the maxillary bone (Fig. 7b). The rotational path design allows for the guide to intimately contact the buccal bone and then rotate until seated posteriorly and positively on two rest stops (Figs. 8a & b). The guide would be fairly stable once seated on the alveolar ridge, but would require the additional stability gained from a single anchor pin placed directly into the nasopalatine canal (Fig. 9).

Fig. 7a: Simulation of the novel rotational path nasopalatine canal pin guide (blue) seated on the maxillary bone. Frontal view with selective transparency to visualise implant locations.

Fig. 7a: Simulation of the novel rotational path nasopalatine canal pin guide (blue) seated on the maxillary bone. Frontal view with selective transparency to visualise implant locations.

Fig. 7b: Simulation of the novel rotational path nasopalatine canal pin guide (blue) seated on the maxillary bone. Occlusal view illustrating the three buccal supports with rest seats (yellow arrows).

Fig. 7b: Simulation of the novel rotational path nasopalatine canal pin guide (blue) seated on the maxillary bone. Occlusal view illustrating the three buccal supports with rest seats (yellow arrows).

Fig. 8a: Simulation of the maxillary surgical guide in place. Left lateral view showing the anterior and posterior rest seats and the posterior tilted implant visualised with a yellow abutment projection.

Fig. 8a: Simulation of the maxillary surgical guide in place. Left lateral view showing the anterior and posterior rest seats and the posterior tilted implant visualised with a yellow abutment projection.

Fig. 8b: Simulation of the maxillary surgical guide in place. Right lateral view showing the anterior and posterior rest seats, the posterior tilted implant visualised with a yellow abutment projection, and bony fenestrations.

Fig. 8b: Simulation of the maxillary surgical guide in place. Right lateral view showing the anterior and posterior rest seats, the posterior tilted implant visualised with a yellow abutment projection, and bony fenestrations.

Fig. 9: Exploded view of the nasopalatine canal pin, the nasopalatine canal pin guide (blue) and the maxillary bone showing anterior bony concavities.

Fig. 9: Exploded view of the nasopalatine canal pin, the nasopalatine canal pin guide (blue) and the maxillary bone showing anterior bony concavities.

Fig. 10: Maxillary and mandibular extracted teeth.

Fig. 10: Maxillary and mandibular extracted teeth.

Maxillary arch

In accordance with the CBCT-based plan, the maxillary teeth were extracted first. The mandibular teeth were extracted once the maxillary arch had been completed (Fig. 10). The novel design concept provided excellent visibility and access for external irrigation during the drilling process. The surgical guide was printed on an AccuFab-CEL 3D printer (SHINING 3D) with surgical guide resin, washed in 91% alcohol and polymerised based on the manufacturer’s protocol. The resin osteotomy guide was designed to be sleeveless based on the surgical guide kit to be utilised (Neo NaviGuide Kit, Neobiotech).

The single 2 mm diameter nasopalatine canal anchor pin was placed with finger pressure until resistance was felt (Fig. 11a). Light taps with a surgical mallet allowed the pin to be fully seated, compressing the guide into the outer buccal bone. Another unique feature of the guide was the horizontal stabilising bar connecting the right and left sides. The horizontal bar contained specifically placed holes that provided slots for suturing the anterior palatal tissue, keeping it away from the osteotomy sites (Fig. 11b). The anterior implants were placed first, and guide stabilisers were secured to these implants to completely immobilise the guide, facilitating the posterior tilted osteotomy preparations. Through fully guided placement, the implants were delivered accurately as planned, providing the necessary support for the full-arch fixed restoration (Fig. 12).

Fig. 11a: Retracted view of the nasopalatine canal pin guide seated on the maxillary bone with a single anchor pin to stabilise the guide.

Fig. 11a: Retracted view of the nasopalatine canal pin guide seated on the maxillary bone with a single anchor pin to stabilise the guide.

Fig. 11b: Horizontal stabilising bar (yellow oval) on the guide with holes to allow for suturing to retract the palatal tissue. Guide stabilisers (yellow arrows) immobilising the surgical guide.

Fig. 11b: Horizontal stabilising bar (yellow oval) on the guide with holes to allow for suturing to retract the palatal tissue. Guide stabilisers (yellow arrows) immobilising the surgical guide.

Fig. 12: Retracted intra-oral view of the maxillary Neobiotech implants positioned as planned, revealing residual extraction sockets and buccal bony cavities.

Fig. 12: Retracted intra-oral view of the maxillary Neobiotech implants positioned as planned, revealing residual extraction sockets and buccal bony cavities.

The extraction sites and buccal defects could be clearly visualised, revealing the need for extensive grafting. Despite the implants being stable, the implant stability quotient values (Osstell) were not sufficient for immediate loading, and considering the concurrent bone grafting, a healing period of three to four months before loading was determined. Approximately 3 cm3 of mineralised cortical and cancellous bone (Maxxeus) was placed in the extraction sockets, fenestrations and concavities. The grafted sites were then covered with collagen membranes and secured with deep horizontal mattress sutures. Primary closure was achieved with #4-0 Vicryl sutures (Ethicon).

Mandibular arch

The mandibular arch followed a similar surgical protocol utilising a bone-borne surgical guide after tooth extraction and bone reduction. The advanced bone and tooth segmentation illustrated the severe bone loss almost to the apex of many of the mandibular roots (Fig. 13a). Using selective transparency, the roots and bone could be closely evaluated (Fig. 13b). 3D volumetric reconstruction simulating the post-extraction bone helped provide a unique view of the mandibular bony anatomy (Fig. 14a) and aided in finalising the location of each implant (Fig. 14b).

Fig. 13a: Fully segmented mandibular bone and teeth.

Fig. 13a: Fully segmented mandibular bone and teeth.

Fig. 13b: Selective transparency view visualising the roots, bilateral mental nerves and inferior alveolar nerve (yellow arrows point to the apices of the roots, showing the extent of the bone loss).

Fig. 13b: Selective transparency view visualising the roots, bilateral mental nerves and inferior alveolar nerve (yellow arrows point to the apices of the roots, showing the extent of the bone loss).

Fig. 14a: Occlusal view of the simulated extraction sockets in the mandibular bone.

Fig. 14a: Occlusal view of the simulated extraction sockets in the mandibular bone.

Fig. 14b: Simulation of parallel implants in the mandible with yellow abutment projections

Fig. 14b: Simulation of parallel implants in the mandible with yellow abutment projections

In accordance with my recommendations, the simulated bone reduction was calculated only after the implant positions had been confirmed. Selective transparency was also an important feature when assessing the proximity to the bilateral mental foramina and a determinant of the vertical positioning of the implants (Fig. 15a). Once the implant positions had been confirmed, a dual-purpose bone-borne guide was designed (Fig. 15b). The first purpose was to transfer the planned bone reduction to the buccal aspect of the mandible and the second was to guide osteotomy through advanced bone segmentation.

Fig. 15a: Selective transparency view revealing the extent of the necessary bone reduction and simulated implants with yellow abutment projections.

Fig. 15a: Selective transparency view revealing the extent of the necessary bone reduction and simulated implants with yellow abutment projections.

Fig. 15b: Simulation of the surgical guide (blue), demarcating the bone reduction, seated securely on the mandibular bone for precise osteotomy preparation.

Fig. 15b: Simulation of the surgical guide (blue), demarcating the bone reduction, seated securely on the mandibular bone for precise osteotomy preparation.

The mandibular bone reduction was completed using piezoelectric surgery (PIEZOSURGERY, mectron) and rotary instruments (Alveoplasty Surgical Kit, Meisinger) to provide adequate width and restorative space for the implant-supported restoration. Once the bone reduction had been completed, the bone-borne osteotomy guide was placed on to the mandibular ridge. The advanced AI-generated segmentation provided for an intimate fit of the guide, which was then secured with three horizontal anchor pins and guide stabilisers to immobilise the guide during the drilling process (Fig. 16a). Once the six implants had been successfully placed, the guide was removed, revealing the reduced bone and residual extraction sockets (Fig. 16b). Approximately 1 cm3 of mineralised cortical and cancellous bone was placed in the extraction sockets and remaining fenestrations. The implant stability quotient values were not adequate for immediate loading, and therefore, a two-stage protocol was chosen for the mandibular arch implants. The postoperative panoramic image revealed the successful placement of a total of 12 implants in both the mandibular and maxillary arches (Fig. 17).

Fig. 16a: Intra-op retracted view of the surgical guide seated on the mandibular bone with three anchor pins and three guide stabilisers secured to the anterior implants.

Fig. 16a: Intra-op retracted view of the surgical guide seated on the mandibular bone with three anchor pins and three guide stabilisers secured to the anterior implants.

Fig. 16b: Facial view of the mandibular implants placed in the reduced ridge with residual extraction sockets.

Fig. 16b: Facial view of the mandibular implants placed in the reduced ridge with residual extraction sockets.

Discussion

Since the adoption of CBCT in dental imaging, the process of anatomical segmentation for diagnosis, treatment planning and 3D printing has continued to evolve. CBCT provides high-resolution, low-radiation 3D scans of the maxillofacial region, ideally suited for implant planning. Stereolithography enables the precise fabrication of both anatomical models and custom implant frameworks and surgical guides from exported DICOM datasets to improve fit, reduce surgical time, increase accuracy and enhance long-term outcomes for patients. The critical step of isolating the bone of the mandible or maxilla from the surrounding soft tissue and teeth to produce accurate printable surfaces has historically been time-consuming. Studies have demonstrated that AI-assisted CBCT segmentation yields volumetric accuracy and surface detail sufficient for 3D printing and for surgical planning for maxillary and mandibular defects and for implant workflows.

Fig. 17: Post-op panoramic radiograph revealing the successful placement of 12 implants in a two-stage protocol, requiring a healing period of three to four months before uncovering.

Fig. 17: Post-op panoramic radiograph revealing the successful placement of 12 implants in a two-stage protocol, requiring a healing period of three to four months before uncovering.

The current case presentation has illustrated how AI-generated bone and tooth segmentation can aid in diagnosis, planning of treatment and design of maxillary and mandibular bone-borne guides. The guides fitted precisely on to the bony surface of both arches, providing stability for accurate osteotomy preparation in two arches with different anatomical topographies. The 3D-printed guides were designed without sleeves to maximise accuracy based on the wide-shank guided drills that were used. The wide-shank design provides contact with the resin guide cylinder only at the outer dimension of the drill, protecting the cutting surface of the drill. Recent studies support the superior accuracy over metal sleeve inserts.

The incorporation of advanced AI-generated segmentation provided the tools necessary to develop a new bone-borne maxillary surgical guide as presented in this article. The novel rotational path surgical guide was designed to sit on the maxillary bone, engaging the buccal undercuts and stabilised with a single anchor pin placed into the nasopalatine canal. The ability to confidently represent the bony surface topography contributed to the initial proof-of-principle research and to the design and successful surgical execution of the present guide for implant placement in the maxillary arch. The second guide was also designed to sit precisely on the mandibular bone to facilitate the accurate placement of six implants to support a future fixed restoration.

The nasopalatine canal pin surgical guide has also been augmented with additional attachments to provide accuracy for sinus lift and fully guided placement of zygomatic and pterygoid implants. Further investigation and research will be needed to validate these additional protocols.

Conclusion

Today, CT- and CBCT-derived 3D-printed models are deeply integrated into dental practice. Surgeons, laboratory technicians and engineers rely on them to design patient-specific surgical guides and implants, prosthodontists use them to plan restorations with exact anatomical reference, and researchers continue to refine digital workflows that merge imaging, CAD and additive manufacturing into a seamless pipeline. As imaging resolution improves and additive manufacturing becomes more sophisticated, the synergy between 3D printing and dental and medical imaging will continue to advance personalised treatment in both medicine and dentistry, fuelling continued innovation. The implementation of AI for time-consuming, labour-intensive tasks such as bone and tooth segmentation will have huge implications for the future of dental implantology and much more.

Editorial note:

This article was published in digital—international magazine of digital dentisty vol. 6, issue 4/2025.

Topics:
Tags:
To post a reply please login or register
advertisement
advertisement