Search Dental Tribune

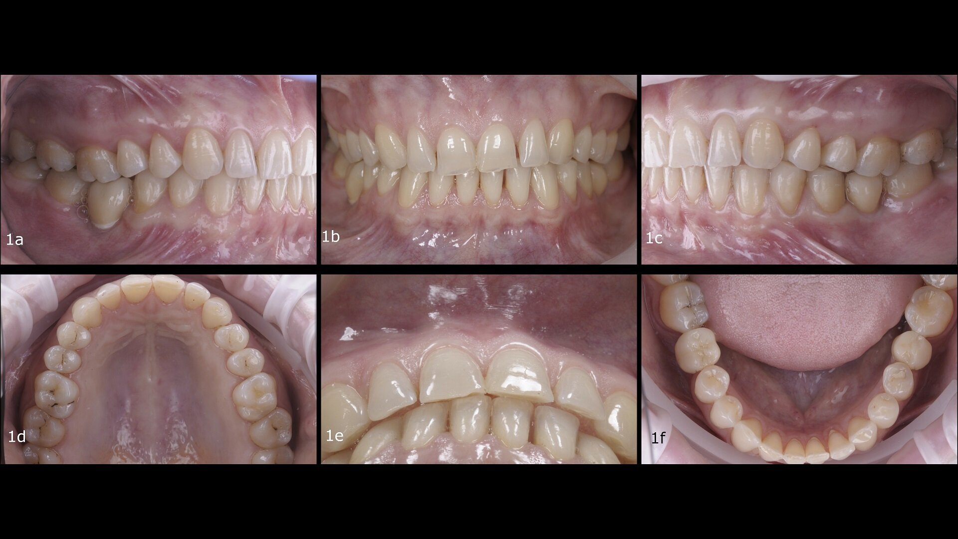
Figs. 1a–f. (All images: Drs Elia Diana Boangar & Ionut Branzan)

The process of decision making is nowadays influenced by the continuous flux of information, the advancement of technology and the development of new protocols and evidence-based procedures, but the most powerful tool that we have available is collaboration with other specialists. Published in 2010, a study conducted by the Massachusetts Institute of Technology and Union College demonstrated that collective intelligence exceeds the cognitive abilities of individual group members.1 This principle also applies to dentistry, where complex problems can usually be solved by the intervention of several specialists, with the aim of making treatment more predictable and less invasive.

In such cases, the calibration of knowledge, technology and treatment objectives, as well as excellent communication between dentists, dental technicians and patients, is paramount for aesthetic and functional outcomes.

In daily practice, we are used to requests for functional or aesthetic improvements from adult patients with multiple associated problems and deal with these in a very precise, objective-oriented manner. The present case report describes the orthodontic and prosthetic treatment of an adult patient with worn maxillary and mandibular anterior teeth, open bite and implants replacing the mandibular first molars.

Fig. 2.

Fig. 2.

Case report

The 38-year-old female patient complained of her deteriorating maxillary and mandibular incisors and associated sensitivity to cold and warm food and beverages. Her medical history was non-specific. On history taking, the patient reported past and present sleep bruxism (apparent from night-time sounds reported by her husband), morning muscle fatigue in the masseter area, and daytime clenching and bracing of the mandible. She drank carbonated drinks on a daily basis. In the psychosocial evaluation, she reported high scores of anxiety and stress. On palpation, the bilateral anterior articular space was slightly painful (as a value of 5, reported on a scale of 1–10). There were also bilateral reciprocal articular clicks, but no functional restriction and no pain on movement or on loading of the temporomandibular joint. The retrospect, the history and the clinical examination indicated that she likely had sleep and awake bruxism.2

The clinical evaluation revealed maxillary and mandibular wear extending into the dentine. She presented with a left class II subdivision occlusion and 1.5 mm of anterior overbite and with two lithium disilicate crowns supported on implants in the positions of the mandibular first molars. The implants had been placed two years prior (Figs. 1a–f).

The gingival phenotype was thin, and there was localised gingival recession. There was increased probing depth of 4 mm distal to the maxillary right first and left second molars. There was a probing depth of 7mm distal to the left implant and 5mm distal to the right implant, and both exhibited bleeding on probing. Therefore, the patient was referred to the periodontist for initial therapy and re-evaluation.

As the wear facets of the anterior teeth could not be solely explained by the grinding activity,3 we considered them to be of mixed aetiology: chemical (erosion) and mechanical (attrition). Therefore, the patient was advised to abandon drinking carbonated drinks and to control the daytime clenching and bracing of the mandible by using visual reminders (coloured stickers that she would change every week for eight weeks). She was also prescribed a night-time Michigan splint (Fig. 2) in order to protect the dentition during grinding.

Figs. 3a–f.

Figs. 3a–f.

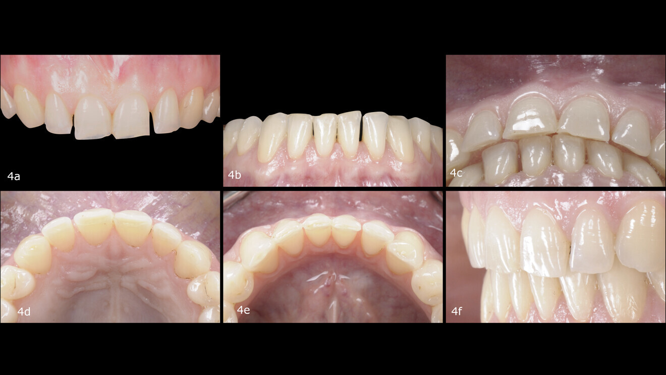
Figs. 4a–f.

Figs. 4a–f.

After eight weeks of behaviour control, the muscle tenderness disappeared and the pain on palpation of the anterior articular space decreased to a value of 2 (as reported on a scale of 1–10). The patient then requested restoration of the worn maxillary and mandibular incisors and canines. A complete aesthetic and functional analysis was therefore done, and the following points were established: slight facial asymmetry and good middle–lower facial third proportion, good projection of the mandible, prominent chin, 4 mm display of the maxillary incisors at rest, normal smile line, straight incisal curve, asymmetric gingival margins, maxillary occlusal plane was irregular and canted to the left (maxillary first molars had overerupted), altered dental proportions and maxillary midline deviation 0.5 mm to the right (Figs. 3a–4f).

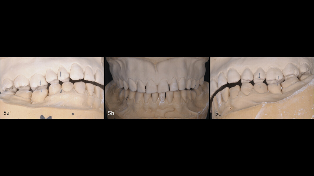
However, when determining the arc of closure, a single intermaxillary contact was found (tooth #18 with tooth #48) and anterior and posterior open bite, a bilateral Class II occlusion and an anterior shift into intercuspal position (Figs. 5a–c).

Because the occlusal scheme would have not allowed for minimally invasive prosthetic restoration, the patient was referred for orthodontics first. As the patient was not bothered by the facial asymmetry, and her facial and skeletal balance were satisfactory, she declined orthognathic surgery and opted for an orthodontic and prosthodontic solution for her deteriorating dentition.

After orthodontic case analysis and interdisciplinary discussion with the prosthodontist, the following treatment objectives were established: levelling of the gingival margins of the maxillary incisors and canines, intrusion of the overerupted maxillary molars, reduction of the Class II occlusion and overjet, levelling of the mandibular occlusal plane and uprighting of the mandibular second molars, removing the premature contacts and allowing for multiple, stable intermaxillary contacts in the registered arc of closure.

Sometimes, after removing premature posterior contacts by extraction of third molars and/or intrusion of terminal molars, the mandible autorotates into a Class I occlusion, making the orthodontic strategy clear: vertical control. That is why, on the registered and mounted casts, we removed the mandibular second (which would have been intruded using the existing implant-supported crowns) and third molars in order to see whether we would obtain any change in the sagittal intermaxillary relationship (Figs. 6a–c). Unfortunately, this quick treatment simulation showed us that vertical control would not be enough and that sagittal correction biomechanics would also need to be considered.

The best anchorage in orthodontics is skeletal anchorage. In the mandible, the implants would be used for intrusion and uprighting of the second molars, and in the maxilla, we had planned to use orthodontic mini-implants to intrude the overerupted first molars 4,5 and for en masse distalisation of the maxillary arch into a Class I occlusion.

After the treatment strategy was decided on, an orthodontic digital set-up (Figs. 7a–c) was created and discussed with the prosthodontist and then with the patient so that she could better understand and visualise the need for treatment and the restoration requirements after orthodontics. This step was very important for the interdisciplinary treatment, as the patient needed to understand that, in order to reach the desired aesthetic and functional result, she needed to complete both orthodontic and prosthodontic treatment.

Figs. 8a–f.

Figs. 8a–f.

After she gave her informed consent, extraction of all four third molars was performed and orthodontic treatment was initiated. Four mini-implants (MCTBIO) were placed buccally between the first and second molars and palatally between the second premolars and first molars. They were used at first for vertical anchorage for intrusion of the maxillary first molars and then for en masse distalisation of the maxillary arch in order to reduce the Class II occlusion and overjet (Figs. 8a–f). When the orthodontic treatment entered the finishing phase, the case was discussed again with the treating prosthodontist, who validated the results. The intention of doing so was to make the case less invasive and more predictable.

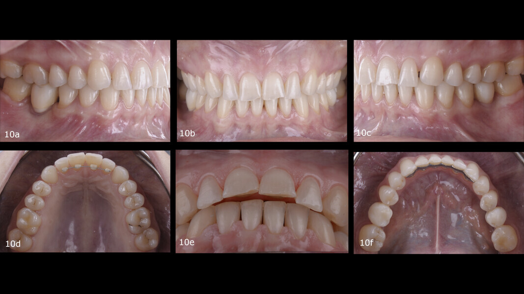
After bonding of fixed retention wires in order to maintain tooth position, the patient entered the prosthodontic phase. First, new implant-supported crowns were delivered for the mandibular first molars with the aim of gaining interproximal and occlusal contacts with the neighbouring teeth. A new aesthetic and functional analysis was then performed (Figs. 9a–10f), after which a wax-up for the six maxillary and mandibular anterior teeth was done (Figs. 11a–f)—in order to restore tooth proportions and correct dental contacts and function. The wax-up was transformed into a mock-up, which was tested both aesthetically and functionally, without any modifications (Figs. 12a–13f).

After the test-drive phase, because of the minimal additive requirements of the mandibular anterior teeth, composite was chosen as the restorative material. However, feldspathic ceramic restorations were chosen for the maxillary anterior teeth owing to the high aesthetic demands of the case.

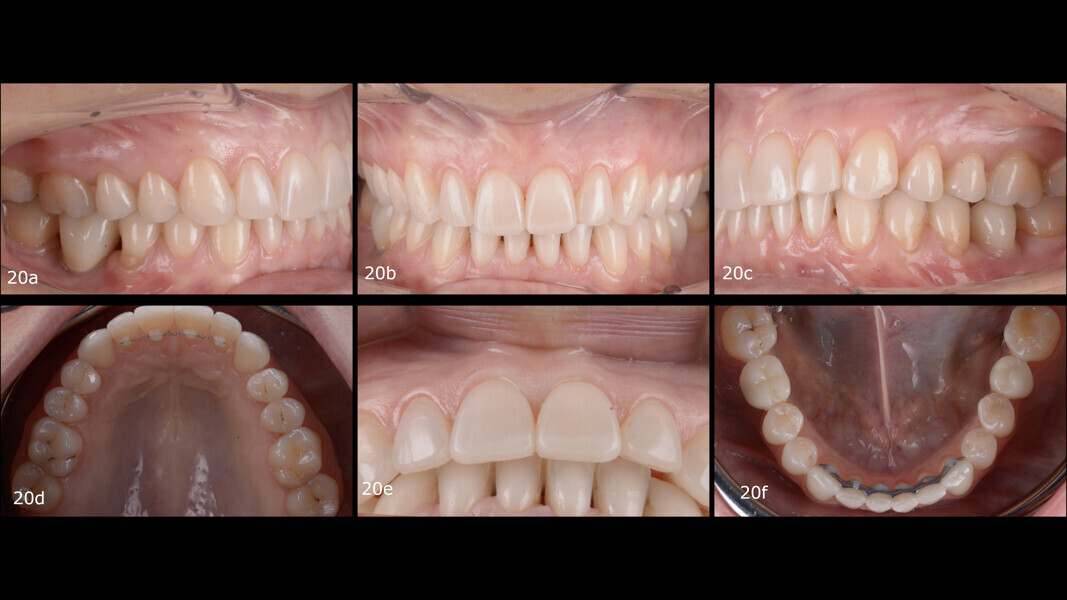
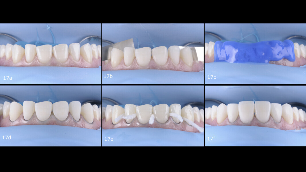
Minimally invasive preparations were performed, as the patient did not want colour changes, with the aim of allowing space for the restorations and having a path of insertion (Figs. 14a–c). In the same appointment, the colour of the substrate and an analogue impression were taken (Fig. 15). The restorations were received from the laboratory the following week and were then tried in and bonded using the split-dam technique (Figs. 16a–17f). The composite build-ups on the mandibular anterior teeth were done in the same appointment. After one week, the restorations were biologically, aesthetically and functionally integrated (Figs. 18a–19f). At the three-year recall, the restorations were still performing very well aesthetically and functionally, and the interdisciplinary treatment results remained stable (Figs. 20a–f).

Conclusion

By integrating orthodontics, challenging prosthodontic cases can be managed in a less invasive and more aesthetic, functional and predictable way. Good communication between the professionals involved and with the patient, as well as a comprehensive case analysis, is of utmost importance for the success of such cases.

Editorial note:

A list of references can be found here. This article was published in cosmetic dentistry—beauty & science vol. 17, issue 1/2023.

Tags:
To post a reply please login or register
advertisement
advertisement