Search Dental Tribune

Long-term stability of a case treated with Carriere Motion Appliance and self-ligating brackets

In this article, the authors present a successful treatment of Class II malocclusion using the Carriere Motion Appliance, resulting in improved dental alignment and patient satisfaction without extractions. (Image: Dean Drobot/Shutterstock)

Class II malocclusion is one of the most common orthodontic discrepancies. It is likely to produce significant aesthetic and social effects and to increase predisposition to dental trauma.1 There are many devices for the treatment of Class II malocclusion; some involve skeletal growth, whereas others have predominant dentoalveolar action.2 A range of orthopaedic methods, including headgear and modern functional appliances, have been shown to be successful in improving skeletal Class II discrepancy and reducing the severity of malocclusion. Such first-phase treatment can facilitate a shorter and simpler second phase of treatment with fixed appliances.3

The growing demand for orthodontic treatment methods requiring minimal cooperation but maximum anchorage control has led clinicians to search for a means of achieving bone-supported anchorage.4 Among the many systems that exist for the treatment of this malocclusion, the Carriere Motion Appliance (CMA; Henry Schein Orthodontics) has become more popular during the past decade as a versatile intermaxillary Class II corrector. The clinical principle of Class II correction using the CMA is based on establishing a Class I relationship at the beginning of treatment, when patient compliance is high, before initiating the correction of the position and alignment of individual teeth with fixed appliances or clear aligner therapy. The appliance consists of a rigid bar bonded bilaterally to the maxillary canines and first molars. The activation of this appliance is achieved with heavy-force (6 oz and 8 oz) Class II elastics.5 This article presents a case report of a Class II patient with an increased overjet who was treated with a CMA and subsequently multi-bracket fixed appliances.

Figs. 1a–c: Initial extra-oral photographs.

Figs. 1a–c: Initial extra-oral photographs.

Diagnosis and treatment plan

A 26-year-old male patient came in for a consultation in 2015 with an increased overjet as the main symptom. Upon clinical examination, the patient showed a slight increase in the lower facial third. However, there were no significant facial asymmetries. In the rest position, we observed clear labial competence and the maxillary incisors separated by a diastema. In addition, we could see that the patient had a convex profile in the rest position (Fig. 1).

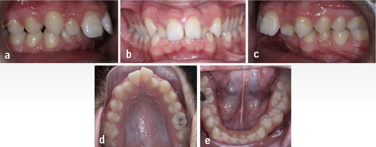
Upon intra-oral examination, all the permanent teeth were visible, except for the mandibular third molars. The molar relationship was a complete Class II, in both arches, and the canine relationship was also Class II, for both the right and left sides. There was mild crowding in both arches, tooth #34 being in linguoversion. The overbite covered more than two-thirds of the surface of the mandibular incisors. A most notable feature was an excessive overjet of approximately 11 mm (Fig. 2).

Figs. 2a–e: Initial intra-oral photographs.

Figs. 2a–e: Initial intra-oral photographs.

In the radiographic analysis, the dental panoramic tomogram revealed that the two mandibular third molars were unerupted and horizontalised in the mandible. Nothing else relevant was observed in the radiograph (Fig. 3). A cephalometric radiograph was used to perform the cephalometric analysis according to Steiner,6 Ricketts7, 8 and McNamara9 (NemoCeph Studio, Nemotec Fig. 4).

Fig. 3: Dental panoramic tomogram.

Fig. 3: Dental panoramic tomogram.

In the Steiner analysis, the SNB angle of 74° suggested mandibular retrusion. Likewise, the ANB angle of 7° indicated Class II, which was also confirmed by Wits analysis (8.3 mm). The results indicated a protrusion of the maxillary incisors and a decreased inter-incisal angle of 118°, which suggested protrusion of the maxillary and mandibular incisors (Fig. 5).

In the Ricketts analysis, a dolichofacial pattern, that is, a facial axis of 84°, was diagnosed. The analysis also confirmed the protrusion of the incisors (Fig. 6).

The McNamara analysis revealed that the size of the mandible that would correspond to the dimensions of the maxilla (91.0 mm) would be between 114.0 mm and 117.0 mm and not the current size of 111.9 mm,9 indicating that the mandible was smaller than it should have been. However, the maxillomandibular difference was 20.9 mm, indicating a Class II skeletal pattern (Fig. 7). From the aforementioned information, we determined a Class II skeletal pattern and dental relationship with retrusion of the lower jaw and an increased overjet and overbite.

In the model analysis, the same results as seen in the intra-oral analysis were observed. The dental models were scanned with iTero (Align Technology) for their subsequent digitisation and study (Fig. 8). This facilitated the data collection and interpretation, as well as the confirmation of an 11 mm overjet. The models were measured with 3Shape Dental System. Records were taken for subsequent comparison with the final models after the treatment.

The main treatment goals were to establish normal Class I relationships for the molars and canines, followed by the subsequent correction of the dental position in the arches, thereby reducing the overjet and the overbite. As the treatment plan did not involve extractions, the space would be created through canine distalisation and molar de-rotation. Thanks to the Class II CMA, there is also slight expansion and de-rotation in the maxillary and mandibular molar and premolar areas, owing to fixed multi-bracket appliances.

Figs. 8a–e: Initial digital models showing a bilateral Class II malocclusion and an overjet of 11 mm (images generated using 3Shape Dental System).

Figs. 8a–e: Initial digital models showing a bilateral Class II malocclusion and an overjet of 11 mm (images generated using 3Shape Dental System).

Case progression

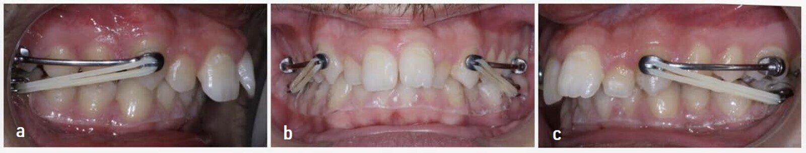
After performing all relevant studies and tests, a Class II CMA was used for the molar de-rotation and the canine distalisation, and buttons were cemented on teeth #36 and 46 for the elastics. An Essix-type transparent retainer was used in the mandibular arch to facilitate the distalisation of the maxillary arch. The protocol for the elastics was 6 oz during the first month and then 8 oz until Class I canine overcorrection had been achieved (Fig. 9).

After a few months, owing to the canine extrusion caused by the elastics, we had to change the position of the distaliser to the maxillary left premolar and consequently placed the button on tooth #37 to increase the distance of the elastic. For the maxillary right quadrant, the canine situation did not require any changes. At this stage of treatment, 8 oz elastics were used (Fig. 10). This device was used for a total of seven months, in which time a Class I molar overcorrection was intentionally obtained (Fig. 11) in case of possible relapse. The study models were taken after removal of this appliance (Fig. 12).

Figs. 12a–e: Digital models taken after removal of the Class II Carriere Motion Appliance.

Figs. 12a–e: Digital models taken after removal of the Class II Carriere Motion Appliance.

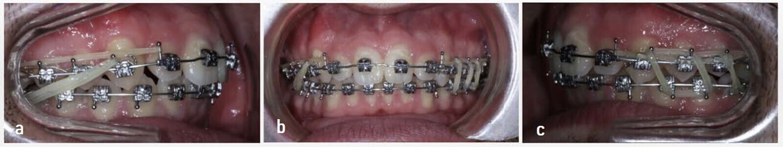
After removing the Class II CMA, we used the Carriere SLX Bracket System (Henry Schein Orthodontics) in both arches with a 0.014 in. copper nickel–titanium (NiTi) archwire. The maxillary arch was undertied from the molar to the canine in both quadrants in order to retain the previously obtained results. In turn, we started using Class II short 2.5 oz, 3/16 in. elastics for night-time use until a Class I occlusion had been established (Fig. 13). The archwire sequence was 0.014 × 0.025 in. and 0.017 × 0.025 in. copper NiTi, finishing with 0.019 × 0.025 in. CNA.

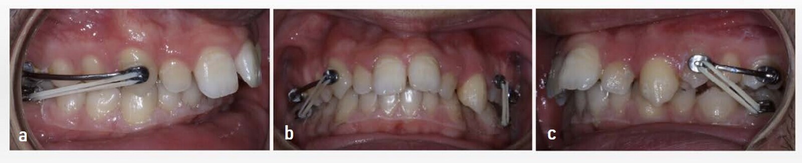
The use of Class II elastics and posterior box elastics helped to achieve the correct occlusion in both arches. Crimpable hooks were placed distal to each maxillary lateral incisor in the strongest archwire (0.019 × 0.025 in. CNA). This facilitated the distalisation of the anterior sector through a power chain placed in the tooth #15–14 hook and tooth #25–24 hook positions. This did not touch the canine so that the traction caused by the elastic would not disrupt the Class I canine relationship that had been achieved (Fig. 14). In the final stages, owing to the inability to fit tooth #25 correctly, the distal archwire of the first premolar was cut to facilitate the action of the elastics and achieve some contact between the tooth and its antagonist (Fig. 15).

One year after placement of the fixed appliances, the treatment concluded (Figs. 16 & 17). Removable transparent retainers were manufactured to maintain the results. Considering the treatment stage with the CMA and the subsequent stage with the fixed multi-bracket appliances, the total time needed for the correction was one year and seven months.

Figs. 17a–e: Digital models taken after the orthodontic treatment (images generated using 3Shape Dental System).

Figs. 17a–e: Digital models taken after the orthodontic treatment (images generated using 3Shape Dental System).

Treatment results

The outcome achieved was satisfactory to the patient (Table 1; Figs. 18–21). A well-aligned occlusion had been created with a significant reduction of the overjet and with a Class I molar and canine relationship. The traction and de-rotation achieved by the Class II CMA had helped to reduce the overjet. The position of both maxillary and mandibular central incisors exhibited significant changes due to the maxillary incisor retroclination and the mandibular incisor proclination. This explained the increase of the ANB angle at the end of the treatment. As for the inter-incisal angle, the treatment managed to set its value within standard parameters (122°). The correction of the mandibular incisor resulted in a decrease in the labial protrusion, and this was reflected via an improvement in the profile. The changes produced at the skeletal level were not significant, since growth had already been completed at the time of treatment.

Table 1: Results obtained and their comparison with the pretreatment values.
Analysis approach Comparison of cephalometric results
Steiner Angle/line Pretreatment Post-treatment Change
SNA angle 81° 82° -1°
SNB angle 74° 74°
ANB angle +2°
XY axis angle 73° 74° +1°
Wits 8.3 mm 7.2 mm -0.9 mm
Maxillary incisor position 6.9° -0.2° -7.1°
Mandibular incisor position 8.0° 9.5° -1.5°
Inter-incisal angle 118° 121° +3°
Maxillary incisor angle 28° 15° -13°
Mandibular incisor angle 27° 35° +8°
Ricketts Facial axis 84° 84°
Mandibular incisor protrusion 0.9 mm 1.6 mm +1.5 mm
Mandibular incisor inclination 22° 27° +5°
Labial protrusion 1.5 mm 0.8 mm -0.7 mm
McNamara Maxillary length 91 mm 92 mm +2 mm
Mandibular length 111.9 mm 113.3 mm +2.6 mm
Maxillomandibular difference 20.9 mm 19.3 mm -1.6 mm
Lower anterior facial height 73.9 mm 74.9 mm +1.0 mm

To assess the changes more graphically, we scanned the pre- and post-treatment models to compare the changes that had taken place from when we started the treatment until we had finished the treatment using 3Shape Dental System. For the first comparison, the sagittal plane was taken as a reference, drawing two lines from the cusp of the canine and the mesial-vestibular cusp of the first molar to the sagittal plane. This comparison was repeated in both arches and in both models. The models were then superimposed to measure the movement that had taken place during the treatment. The distance between the canine cusp in the pretreatment model and the canine cusp in the post-treatment model was measured, from which it was determined that the canine in the maxillary right quadrant had moved by 2.57 mm in the distal direction. In the maxillary left quadrant, the canine had moved by 2.06 mm. The distalisation of the first maxillary molar was 1.48 mm for the right quadrant and 1.86 mm for the left quadrant (Fig. 22).

The extent of molar de-rotation was quantified by drawing a line that crossed the distobuccal cusp and mesiopalatal cusp to the sagittal plane and measuring the angles formed between that line and the sagittal plane of both models (Fig. 23). The post-treatment model showed an increase in the rotation angle of 11.1° for tooth #16 and of 6.4° for tooth #26. This was a significant de-rotation of the first molars.

Figs. 22a–c: (a) Pretreatment model. (b) Post-treatment model. (c) Overlap of the two models, orange corresponding to the pretreatment model and green to the post-treatment model (images generated using 3Shape Dental System).

Figs. 22a–c: (a) Pretreatment model. (b) Post-treatment model. (c) Overlap of the two models, orange corresponding to the pretreatment model and green to the post-treatment model (images generated using 3Shape Dental System).

Figs. 23a & b: (a) Pretreatment first molar angulation. (b) Post-treatment first molar angulation (images generated using 3Shape Dental System).

Figs. 23a & b: (a) Pretreatment first molar angulation. (b) Post-treatment first molar angulation (images generated using 3Shape Dental System).

The pre- and post-treatment cephalometric tracings were also superimposed, obtaining the following results (Fig. 24):

  • Area 1: Slightly closed facial axis due to mandibular antero-rotation, because of having placed a Class II CMA distaliser.
  • Area 2: Molar distalisation as a result of the procedures that were used and protrusion of Point A due to the action of retroclining the central incisor.
  • Area 3: Proclination of the mandibular incisor due to the Class II elastics.
  • Area 4: Retroclination of the maxillary incisor.
  • Area 5: Decreased lower lip protrusion.
Fig. 24: Superimposed tracings, black corresponding to the pretreatment tracing and red to the post-treatment tracing.

Fig. 24: Superimposed tracings, black corresponding to the pretreatment tracing and red to the post-treatment tracing.

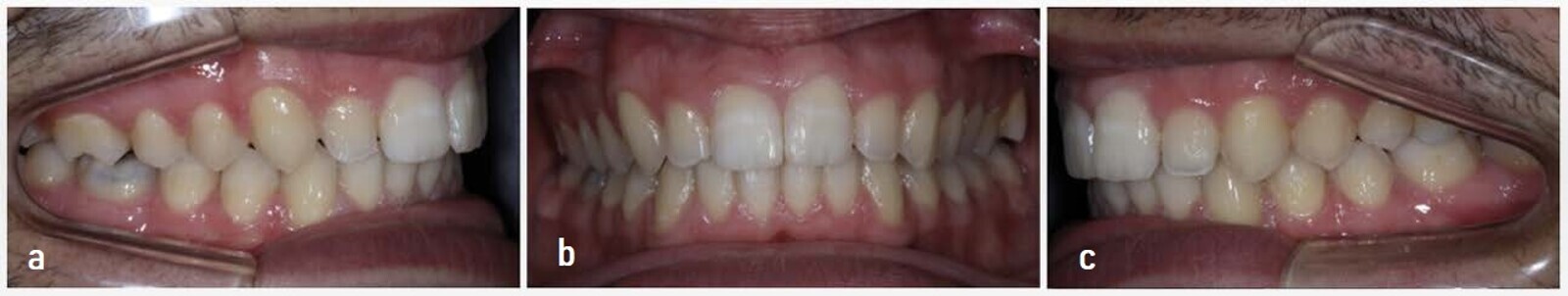
The final intra-oral and extra-oral photographs showed a bilateral change in the posterior and anterior dimensions (Fig. 25). Parabolic and symmetrical arches and a great improvement in the overjet, which was now normal (1 mm), were evident. The patient went from a convex profile to a profile with the upper and lower lips in a better position.

Figs. 25a–h: (a–e) Final intra-oral and (f–h) extra-oral photographs.

Figs. 25a–h: (a–e) Final intra-oral and (f–h) extra-oral photographs.

Four years after this case had been completed, the patient came for a review, and both radiographic and photographic records were taken to evaluate any changes that may have occurred over this retention period (Figs. 26–30). Cephalometric analysis was performed again and the results compared with the immediate post-treatment results (Table 2).

The radiographic equipment used on this occasion was not the same as we had used before, so the results obtained should not be considered totally accurate. Despite this setback, the patient’s status remained significantly better than at the beginning of treatment, since the patient still had a Class I occlusion, his profile was harmonious, and most notably, he was still satisfied with the results.

Table 2: Comparison of the changes that occurred during the orthodontic treatment (pretreatment, post-treatment and retention) according to cephalometric analysis.
Analysis approach Comparison of cephalometric results
Steiner Angle/line Pretreatment Post-treatment Retention
SNA angle 81° 82° 80°
SNB angle 74° 74° 75°
ANB angle
XY axis angle 73° 74° 73°
Wits 8.3° 7.2° 2.0°
Maxillary incisor position 6.9° -0.2° 3.6°
Mandibular incisor position 8.0° 9.5° 8.7°
Inter-incisal angle 118° 121° 121°
Maxillary incisor angle 28° 15° 17°
Mandibular incisor angle 27° 35° 36°
Ricketts Facial axis 84° 84° 83°
Mandibular incisor protrusion 0.9 mm 1.6 mm 4.0 mm
Mandibular incisor inclination 22° 27° 33°
Labial protrusion 1.5 mm 0.8 mm -6.2 mm
McNamara Maxillary length 91.0 mm 92.0 mm 85.6 mm
Mandibular length 111.9 mm 113.3 mm 112.3 mm
Maxillomandibular difference 20.9 mm 19.3 mm 26.8 mm
Lower anterior facial height 73.9 mm 74.9 mm 73.4 mm
Figs. 30a–h: (a–e) Intra-oral and (f–h) extra-oral photographs taken on 23 June 2021.

Figs. 30a–h: (a–e) Intra-oral and (f–h) extra-oral photographs taken on 23 June 2021.

Discussion

One of the most popular approach used for the treatment of Class II malocclusion is the correction of the horizontal and vertical overbite. The stability of the treatment outcomes depends on factors such as diagnostic methods, treatment planning procedures and the orthopaedic device used.10

In our case, we opted for treatment without extractions, but with the use of a CMA, we were able to achieve a correct relationship between the jaws, decreasing the overjet and correcting the overbite. The correction of this Class II malocclusion resulted in a significant improvement of the patient’s profile and therefore in his satisfaction with the treatment.

The literature includes articles that address the treatment of Class II malocclusion using miniscrews. Bechtold et al., for example, conclude that the total arch distalisation can achieve stable results lasting one year after retention and that long-term skeletal changes may not be expected because total arch distalisation may prevent it.11 Also, by using miniscrews, there is a minor steepening of the occlusal plane.

The use of CMA, together with fixed appliances, as treatment for this Class II pathology has been carried out previously. Rodríguez corrected a similar Class II malocclusion using these two methods.3 He explains that this appliance generates a distal rotation movement around the maxillary first molars’ palatal roots, allowing the mandible to advance as the maxillary first molars are de-rotated. For this reason, Class II correction can reduce the overjet, by promoting a change in the occlusal plane. His case provides clinical evidence of sagittal stability at least five years after treatment.

For the present clinical case, in addition to the CMA, it was necessary to use fixed multi-bracket appliances together with copper NiTi archwire, ligatures and elastics for the splinting and distalisation of the teeth. The surgical option was also considered because this type of malocclusion is one of the most complicated to treat in an adult patient. Combination of orthodontic treatment and bimaxillary orthognathic surgery is accepted despite the risk of relapse that these treatments may present.12 The patient’s refusal of surgical treatment was one of the main reasons for using the CMA.

Even though the results obtained were satisfactory, early treatment using functional appliances is recommended to reduce the incidence of incisal trauma to the permanent maxillary incisors, especially in patients with excessive overjet and/or incompetent lip closure, thus improving their self-esteem and social experiences using functional appliances.13 The age of our patient meant we could not employ these orthopaedic options.

Conclusion

The CMA is a device that can correct mild, moderate and severe sagittal dentoalveolar discrepancy. Furthermore, it has proved to be an efficient alternative to extractions when dealing with correction of a complete Class II malocclusion. The results obtained in this case and the patient’s satisfaction four years after the treatment confirmed the stability offered by the treatment approach taken in this case.

Editorial note:

The list of references can be found here.

Tags:
To post a reply please login or register
advertisement
advertisement