Search Dental Tribune

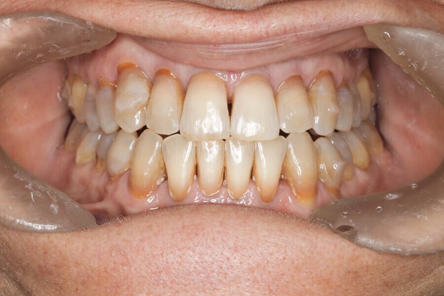
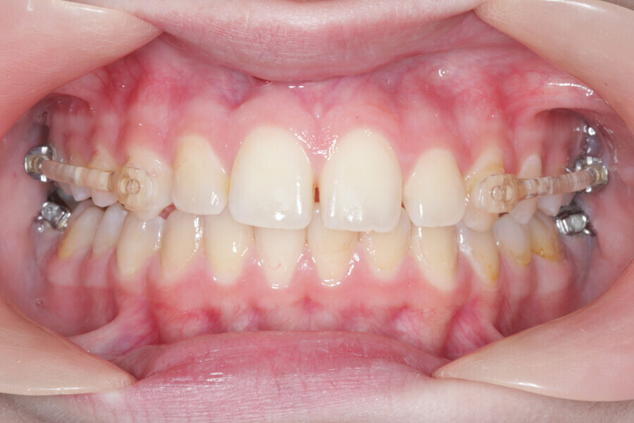
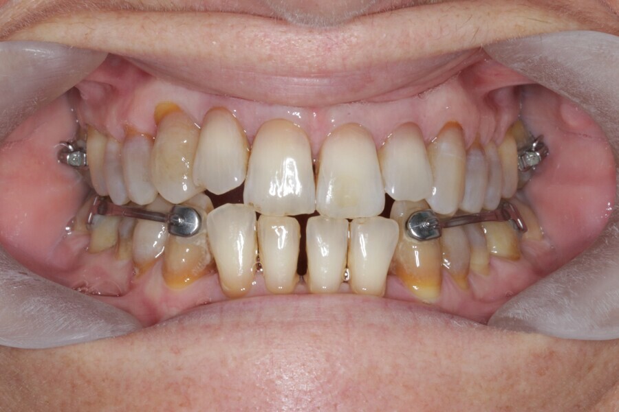
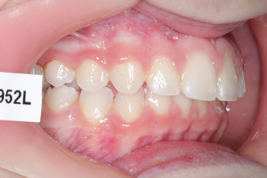
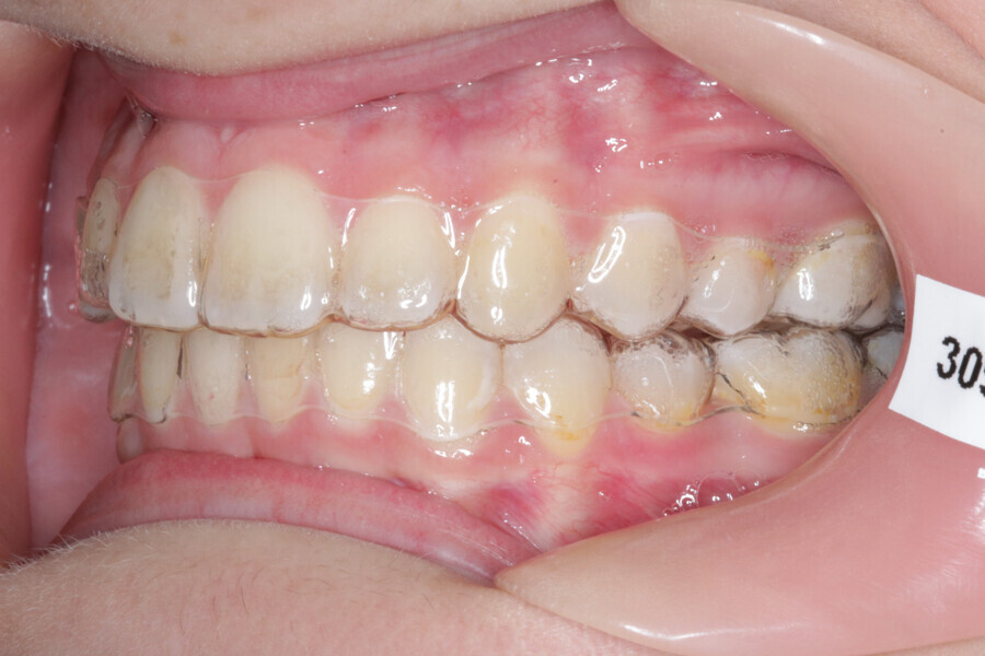
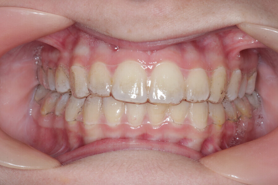
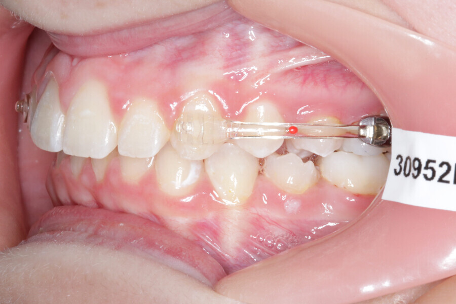
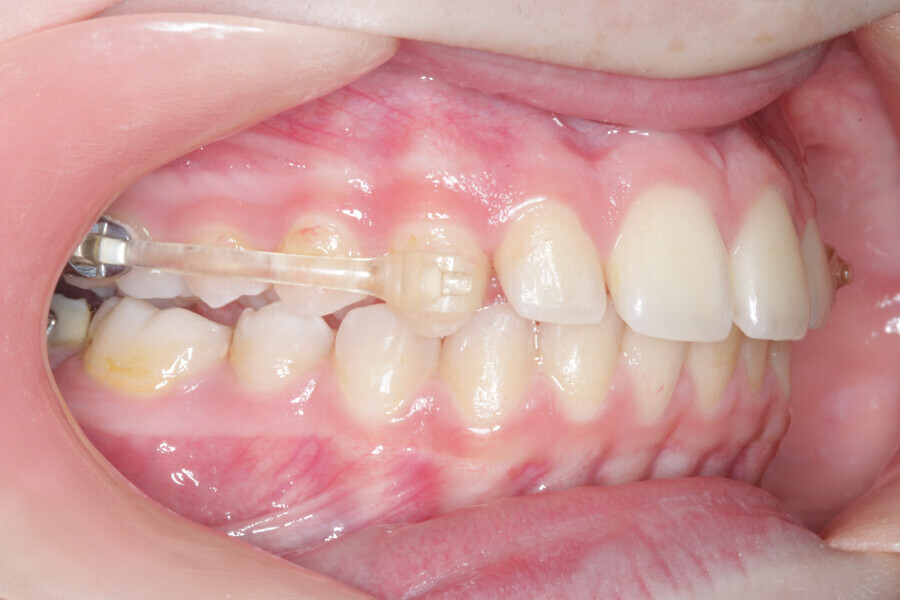
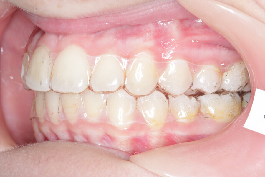
The Carriere Motion appliance is a technology that first addresses the patient’s sagittal dimension, to establish a Class I platform prior to comprehensive orthodontic treatment. (All images: Luis Carrière)

Mon. 5. June 2023

save

When Dr Edward Angle first classified malocclusions for orthodontic treatment, he created the categories of Class I, II and III, the principal categories by which cases are still identified today. In founding his classification system on this one dimension—the sagittal dimension—Dr Angle confirmed the sagittal relationship to be of primary importance and the one most critical and, indeed, most difficult to solve.

The resolution of a Class II molar relationship without severe skeletal disharmonies can be carried out with a variety of appliances. The first and the oldest is the extra-oral traction headgear designed by Kloehn,1, 2 followed by the Wilson arch with its mechanics with modules3 and the Cetlin removable plate.4, 5 Other appliances are nickel–titanium coil springs,6 the pendulum appliance 79 and repelling magnets.10 They produce mainly a dental effect. There is another group that includes the Herbst appliance,9,11 the Jasper Jumper, Forsus, the Bite Fixer and the Bite Block, which have the added skeletal effect of pulling the mandible forward, with the concomitant result of molar distalisation.

There is a characteristic common to all of them: they distalise maxillary molars as a unit. An exception is the Cetlin plate, which promotes the distalisation of maxillary molars with its removable appliance, pulling the second premolars distally to a certain degree, owing to the effect of the transseptal fibres.

Sequential distalisation with aligners is also a single unit movement. Maxillary molars, premolars and canines must thus be distalised in a sequence of movements until corrected. This sequence of movements has disadvantages, since it increases the treatment time and, according to the latest published study, has a lack of distalisation predictability.12

Using aligners as the primary approach for sequential distalisation of the posterior segments and distalisation of the maxillary molars as a unit, and doing the same with the premolars and canines, will not only prolong the treatment procedure of distal sagittal correction, but also limit the capacity of the approach to benefit the anteroposterior relationship of the mandible and the maxilla. It will also increase the total number of refinements required, as this addresses the sagittal dimension.

Aligner therapy is a perfect alternative to traditional fixed orthodontic appliances. Treatment with aligners is normally a premium option for a patient, and therefore using this approach should provide all the expected results that a traditional orthodontic treatment would give. Traditional orthodontics addresses the adequate position of the soft tissue, the patient’s facial profile, the ideal and adequate maxilla mandible sagittal relationship, and correct functional and aesthetic occlusion. Aligners have to be able to work at all those levels.

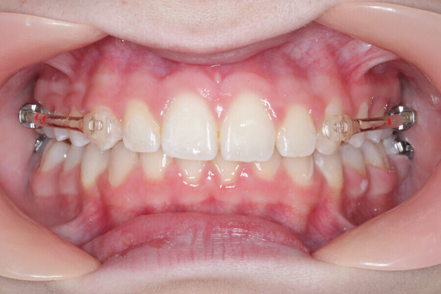
The Carriere Motion appliance 1315 is a technology that first addresses the patient’s sagittal dimension,16 to establish a Class I platform prior to comprehensive orthodontic treatment. This is accomplished usually within the initial three to four months of treatment. We call this protocol “Sagittal First”. Sagittal First eliminates competing force vectors inherent in traditional methodologies when traction is employed concurrent with fixed appliance treatment. The Carriere Motion appliance distalises a group of posterior teeth in the same operation,1215 as a block, from the maxillary canines to the molars, helping the repositioning of the mandible, when necessary, specifically when the structures of the temporomandibular joint are incorrectly positioned at the beginning of the treatment. The objective is to change the posterior occlusal plane and sagittally correct the position of and relationship between the maxilla and mandible.

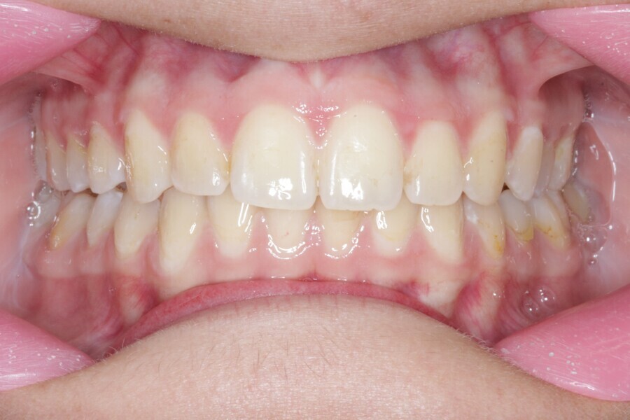
After obtaining a Class I platform in the buccal segments (intercuspation of molars, premolars and canines), the clinician finishes the treatment with aligners if appropriate. Using the Sagittal First approach makes it possible to obtain a Class I occlusal scenario in an easier and simpler way and to minimise the number of aligners necessary and to shorten the period of aligner treatment.

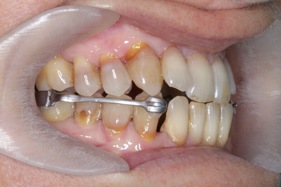
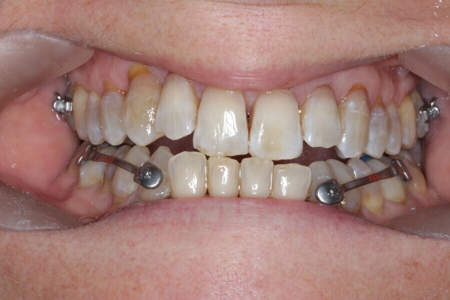
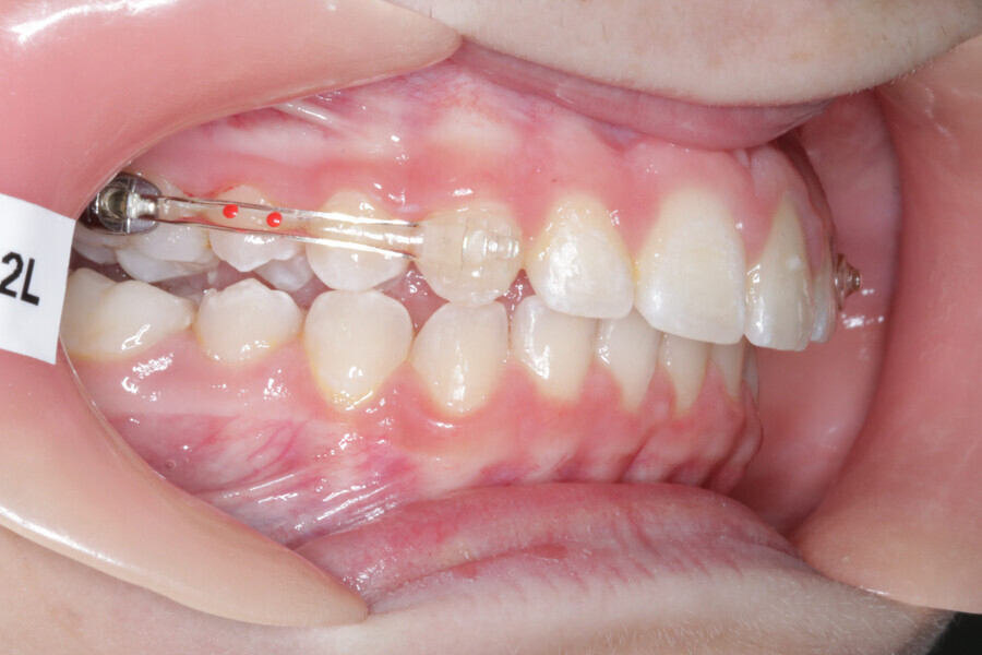
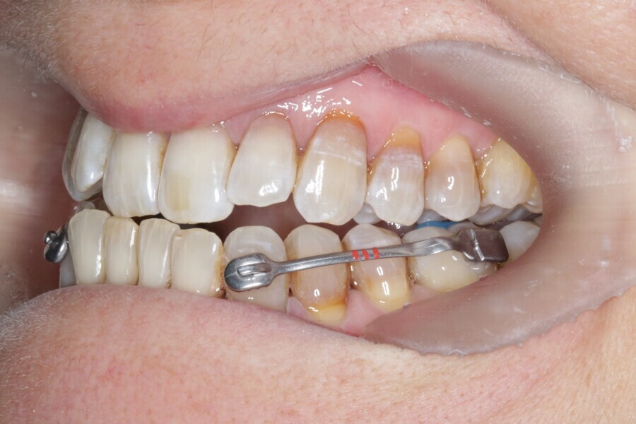
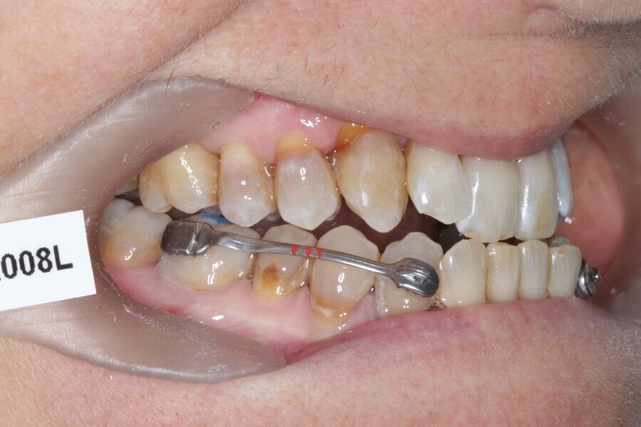
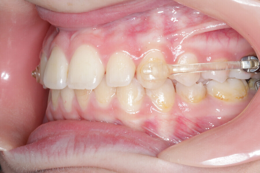
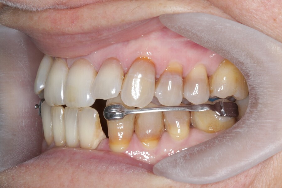
Bonding of the Carriere Motion 3D Clear Class II appliance

Treatment commences with the Carriere Motion 3D Clear Class II appliance bonded directly to the maxillary canines and first molars. For the first month.1/4 in., 6 oz intra-oral elastics are used and 3⁄16 in., 8 oz elastics for the second and third months. The elastics are changed every 8 hours and engaged for Class II traction to molar tubes, or Carriere Motion 3D Sidekick bondable hooks, bonded to the mandibular second molars if possible or mandibular first molars if necessary. A vacuum-formed clear Essix 0.04 in. retainer is employed in the mandibular arch for maximum anchorage.

Bonding of the Carriere Motion 3D Class III appliance

Treatment commences with the Carriere Motion 3D Class III appliance bonded directly to the mandibular canines and mandibular first molars and the use of 1/4 in., 6 oz intra-oral elastics. The elastics are changed every 8 hours and engaged for Class III traction to molar tubes, or Carriere Motion 3D Sidekick bondable hooks, bonded to the maxillary first or second molars. A vacuum-formed clear Essix 0.04 in. retainer is employed in the maxillary arch for maximum anchorage.

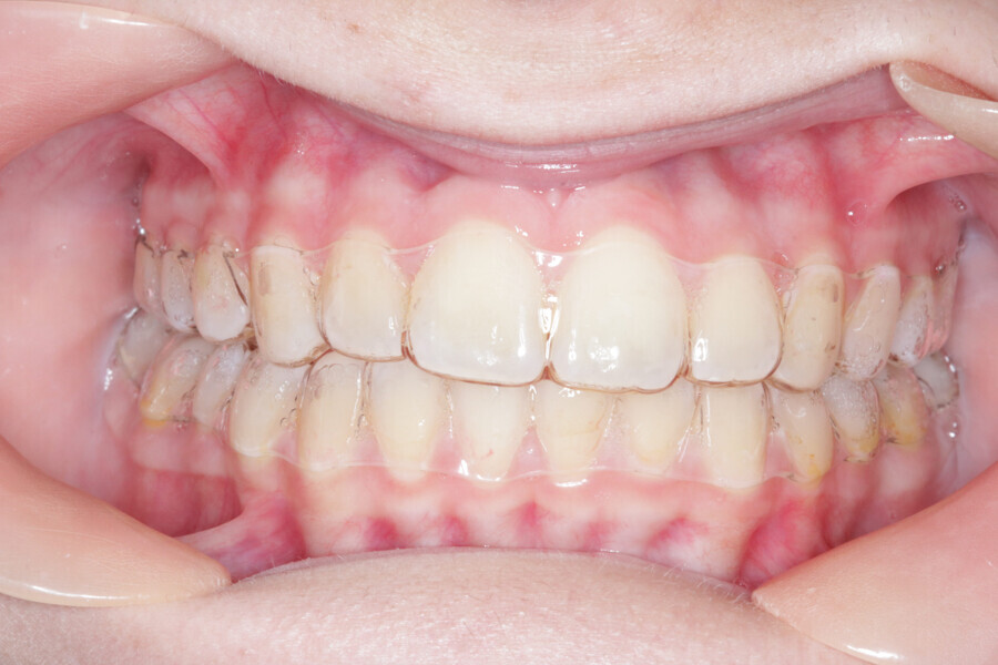
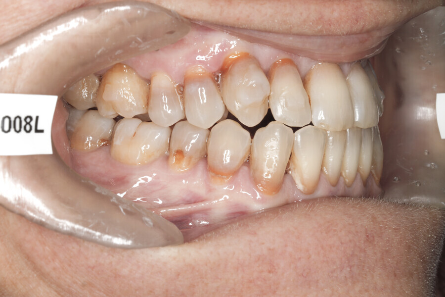
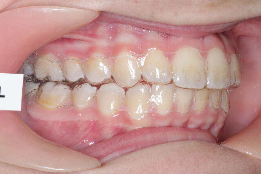
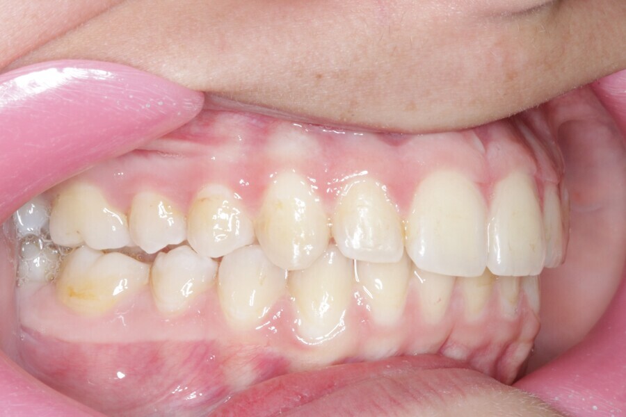
Achieving of a Class I platform

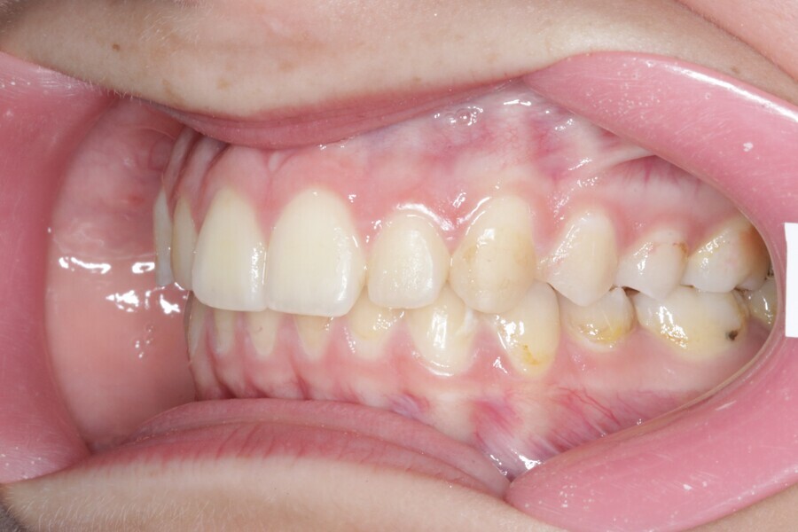
By the end of the first month of sagittal correction, some evidence of de-rotation of the first molars13 and movement of the buccal segment (molars, premolars and canines) towards a Class I occlusion should be noticeable. Space will also begin to open between the incisors. After three to four months of sagittal correction, the occlusal platform of the Class I platform will normally have been accomplished17 (Sagittal First), and the case will be ready to progress to the next stage.

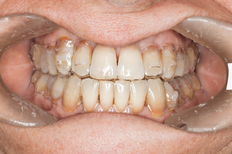
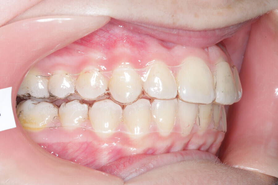
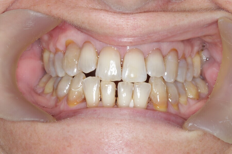
When preparing the case for aligners, an overcorrection of the Class I occlusal platform is recommended; a quarter of a cusp is ideal. The Motion appliance will be removed to finish with aligners, and the results will be kept intact with passive vacuum-formed clear retainers (12 hours a day) until the active aligners are received. Once the Class I platform has been reached, the case can be finished with a reduced number of aligners.

Two cases are shown, one Class II case (Figs. 1–24) and one Class III case (Figs. 25–47), both using the Carriere Motion appliance and Reveal clear aligners. In both cases, we also targeted a soft-tissue and facial improvement, taking advantage of the capacity of the Carriere Motion 3D appliance to change the posterior functional occlusal plane.

Editorial note:

This article was published in aligners—international magazine of aligner orthodontics vol. 2, issue 1/2023.

Tags:
To post a reply please login or register
advertisement
advertisement