Search Dental Tribune

Fig. 1: BENEfit for Aligner technique: a combination of sliders and expanders on palatal temporary anchorage devices and aligners. (All images: Prof. Benedict Wilmes)

Thu. 27. July 2023

save

Aligners are gaining in popularity in orthodontics. Advantages are aesthetics and less risk of white spot lesions.1 With aligners, teeth can be effectively tipped and rotated (depending on their morphology).2 However, a treatment objective of pure bodily tooth movement with aligner therapy exclusively can prove challenging to achieve with a high degree of predictability, especially when molars are to be moved bodily. While there are limited reports of successful movements of up to 2.5 mm in distalisation cases reported in the literature, a high level of patient compliance is expected if intermaxillary elastics are to be applied for extended periods.35 Moreover, the potential side effects of intermaxillary elastics must be considered, in terms of contributing to shift of the anchor teeth. This might be a severe problem, especially in unilateral applications.

Skeletal anchorage (temporary anchorage devices) for more reliable anchorage

With the goal of achieving more reliable anchorage, the use of mini-implants has increased over the last several years.68 Currently, the alveolar process and the infrazygomatic crest region are still frequently used insertion sites for mini-implants. However, owing to a high failure rate and the risk of root damage, insertion in these areas seems far from satisfactory.9 Moreover, buccally inserted mini-implants might be positioned in the intended path of tooth movement, and bodily tooth movement is still not guaranted. Conversely, insertion in the anterior palate provides the advantage that all teeth can be moved without any interference from the mini-implants.10, 11 Furthermore, the anterior palate is an area of high bone quality, a thin attached mucosa, minimal risk of tooth injury and a reported high success rate of more than 90%.9, 1214 Teeth can be moved bodily if palatal sliders with rails are employed. As a consequence, it seems recommendable to use mini-implants inserted in the anterior palate and sliders and expanders for anchorage to avoid unwanted movement of anchor teeth and to reduce the need for intermaxillary elastics, as well as for bodily tooth movement to avoid tipping of teeth during desired bodily movements (in contrast to the use of mini-implants placed in the infra-zygomatic crest). This new combination of sliders/expanders on palatal TADs and aligners is called the BENEfit for Aligner technique (Fig. 1).

Recent developments in CAD/CAM techniques have been published showing the possible use of insertion guides for palatal TADs to enable insertion of TADs and TAD-borne appliances in just one appointment (Fig 2).15 These guides may also give less experienced dentists greater confidence in palatal TAD insertion. Nowadays, TAD borne appliances can be printed in metal using selective laser melting procedures, offering more customisation opportunities (Fig. 3).16, 17

Connection of aligners and sliders

If clear aligners are to be used with a TAD-borne slider, the use of bonded tubes (Fig. 4) or metal-printed shell with attachments is recommended (Fig. 5).18 The advantage of bonded tubes or printed shells is that the adaptability and fit of the aligner is not undermined by the presence of stainless-steel molar bands. The aligner material can cover this bonded connection similarly to a large attachment (Fig. 4).

Fig. 2: CAD/CAM insertion guide.

Fig. 2: CAD/CAM insertion guide.

Fig. 3: CAD/CAM metal-printed Mesialslider.

Fig. 3: CAD/CAM metal-printed Mesialslider.

Fig. 4: Bonded tube for the connection from a Beneslider to a molar. After distalisation, the appliance should be left in situ for molar anchorage (made passive by using a steel ligature).

Fig. 4: Bonded tube for the connection from a Beneslider to a molar. After distalisation, the appliance should be left in situ for molar anchorage (made passive by using a steel ligature).

Fig. 5: Design of a metal-printed shell.

Fig. 5: Design of a metal-printed shell.

Maxillary molar distalisation

Class II malocclusion is frequently encountered in orthodontic practice. While there are limited reports of successful maxillary molar distalisation of up to 2.5 mm using aligners and Class II elastics in the literature, a high level of patient compliance is expected with adjunctive use of intermaxillary Class II elastics, to be worn during the long period of the sequential maxillary molar distalisation.3, 4, 19 Moreover, the potential side effects of Class II elastics must be considered in terms of mesial shift of the mandibular anchor teeth and resultant protrusion of the incisors. This might be a severe problem, especially in unilateral Class II elastic applications, having the potential for development of a mandibular midline shift, maxillary arch rotation, yaw discrepancy and transverse occlusal canting.

The Beneslider is a maxillary molar distalisation appliance, principally designed on the use of one or two mini-implants and coupled in a median or paramedian orientation in the anterior palate.2022 By modifying the angulation of the rail, it is possible to achieve simultaneous intrusion or extrusion of the molars.18, 23, 24 After distalisation of the maxillary molars, steel ligatures can be used or the springs removed to modify the Beneslider from an active distalisation device to a passive molar anchorage device. The primary objective is to stabilise the maxillary molars during the retraction of the maxillary anterior teeth.

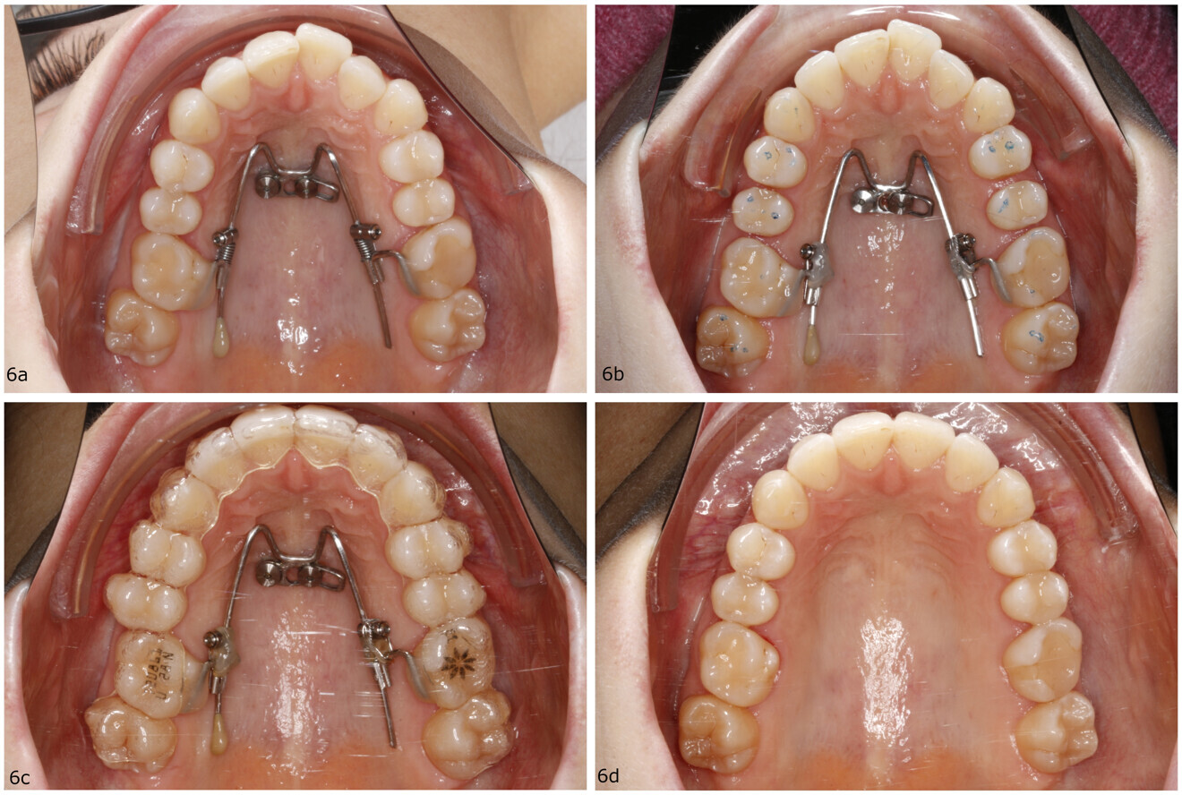
Figs. 6a–d: Treatment progress of a 25-year-old female patient with anterior crowding and incisor proclination. (a) Beneslider in place. (b) Situation after molar distalisation. (c) Subsequent aligner finishing. (d) Result.

Figs. 6a–d: Treatment progress of a 25-year-old female patient with anterior crowding and incisor proclination. (a) Beneslider in place. (b) Situation after molar distalisation. (c) Subsequent aligner finishing. (d) Result.

Clinical case (Beneslider)

A 25-year-old female patient presented with maxillary anterior proclination, anterior crowding and an Angle Class II malocclusion. The maxillary posterior teeth were noted to be mesially positioned. The patient specifically requested an invisible orthodontic treatment option, to be performed on a non-extraction basis.

The treatment plan was bilateral distalisation with the Beneslider and finishing with aligners. After insertion of a Beneslider (Fig. 6a; PSM) and distalisation of the molars (Fig. 6b), digital scans were taken for fabrication of aligners (Fig. 6c; Invisalign). As soon as the molars had been moved into a Class I occlusion, all the spaces were closed distally using the aligners. The treatment was completed after 15 months (Fig. 6d).

Space closure and mesialisation

Unilaterally or bilaterally missing maxillary teeth are encountered frequently in clinical practice. The aetiology of hypodontia can be congenital absence of lateral incisors or second premolars, significant ectopic displacement of maxillary canine teeth or dentoalveolar trauma resulting in anterior tooth loss. The treatment options available to address missing teeth are space closure or space opening with a view to subsequent prosthetic replacement. Both of these treatment approaches can influence the overall aesthetics, periodontal health and function of the final occlusal result.25 Single tooth osseointegrated implants in the maxillary anterior region have the highest reported risk of aesthetic complications from infrapositioning, owing to continued facial growth and the continuing eruption of the adjacent teeth.26, 27 In many cases, space closure mesially and protraction of the maxillary posterior teeth seem to be the favourable treatment goal. Class III elastics have been utilised to augment anchorage in the case of a missing maxillary tooth. However, this anchorage modality requires a high level of patient compliance and may result in the side effects described.

The Mesialslider appliance was introduced as a means to achieve sliding mechanics using mini-implants in the anterior palate and enables the clinician to mesialise or protract the maxillary molars and thus close arch spacing, either unilaterally or bilaterally, without the need for additional buccal brackets.20, 21, 28, 29 The appliance is versatile, and contralateral distalisation of teeth is possible (Mesial Distalslider).30 As an alternative to the conventional Mesialslider, which is attached to molars, additional force can be added to premolars using bonded tubes (B-Mesialslider).31

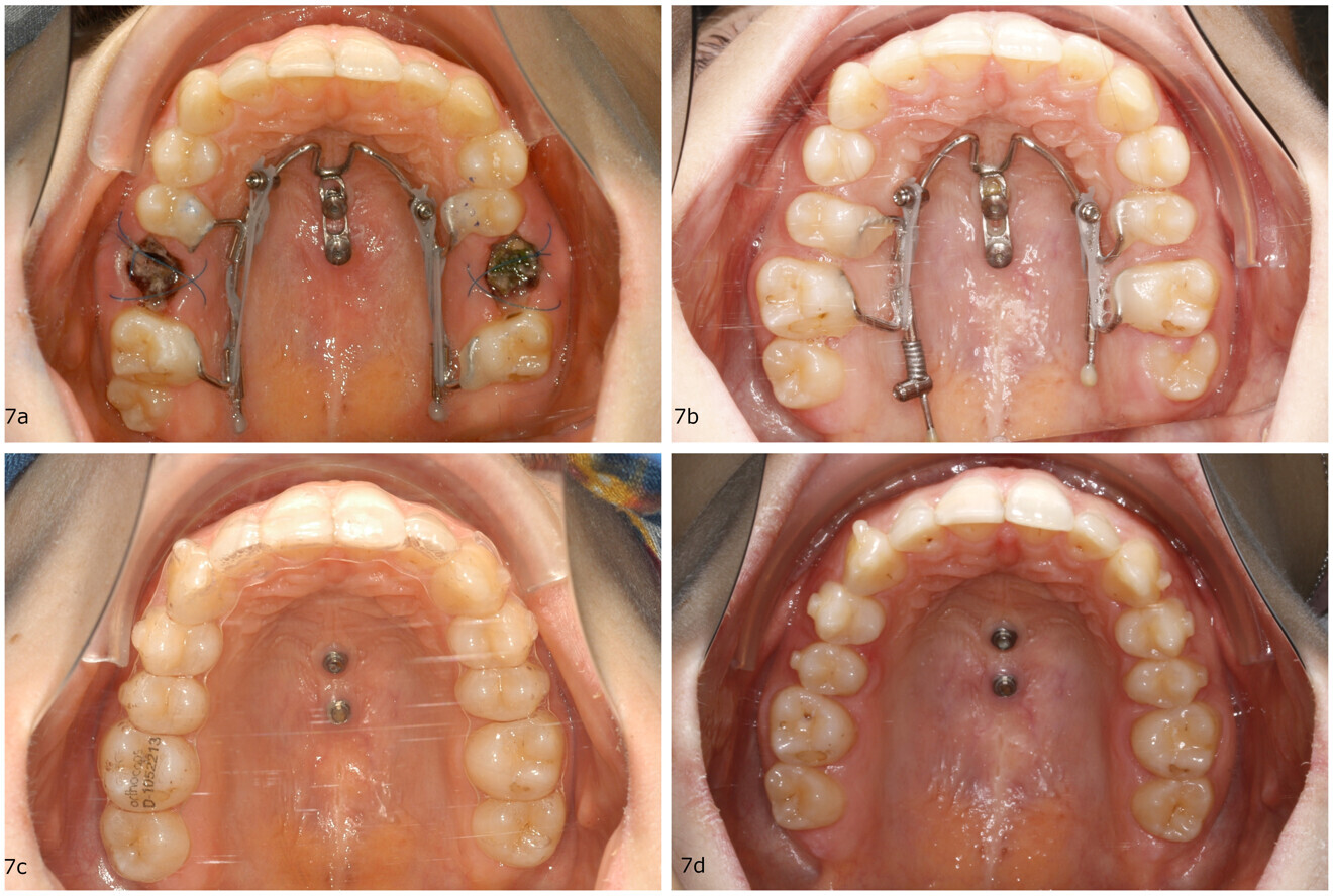
Figs. 7a–d: Treatment progress of a 22-year-old female patient with extracted maxillary first molars. (a) Mesialslider in place after extraction of upper first molars. (b) Situation after ten months. (c) Subsequent aligner finishing. (d) Result.

Figs. 7a–d: Treatment progress of a 22-year-old female patient with extracted maxillary first molars. (a) Mesialslider in place after extraction of upper first molars. (b) Situation after ten months. (c) Subsequent aligner finishing. (d) Result.

Clinical case (space closure)

A 22-year-old female patient presented with Class II malocclusion and maxillary first molars that required extraction. The treatment was initiated with the insertion of two mini-implants (2 × 9 mm anteriorly and 2 × 7 mm posteriorly; BENEfit, PSM) positioned in the midline of the anterior palate and the Mesialslider appliance (Fig. 7a). To optimise the timing, the extraction of the molars was deferred until immediately before the commencement of treatment, to facilitate expedient space closure (owing to the underlying expected regional acceleratory phenomenon). The distalisation springs (nickel–titanium, 250 g) were activated immediately after insertion of the Mesialslider. Owing to the Class II malocclusion, the maxillary first premolars were to be distalised. After ten months, significant mesial bodily movement of the maxillary premolars and molars was noted (Fig. 7b). The slider was removed, and scans were taken to facilitate detailing of the occlusion with sequential aligners (Fig. 7c). A thermoformed splint was worn during the night-time until fabrication of the aligners. The second phase of the treatment was completed with aligners for detailing and finishing the occlusion (orthocaps, Ortho Caps). The treatment was completed over 15 months (Fig. 7d).

Expansion in the maxillary arch

Rapid palatal or maxillary expansion is considered the optimal procedure for achieving skeletal widening of the maxilla.32, 33 Since the anchor teeth distribute the forces to the bony structures, distribution of the forces to as many teeth as possible and completion of root growth are considered essential. However, side effects, for example, tooth tipping, root resorption, decrease in buccal bone thickness or dehiscence, and loss of marginal bone height resulting in gingival recession, may occur.3437

Recently, mini-implants have been used to share the load of the expansion with the anchor teeth, to reduce or eliminate the unwanted dental side effects. Wilmes et al. introduced the Hybrid Hyrax expander in 2007 using two mini-implants in the anterior palate and two (primary) molars.8, 20, 38, 39 Similar expanders were published in the following years, by Garib in 2008,40 Lee in 2010,41 and Moon in 2015,42 called miniscrew-assisted expansion. In the conventional Hybrid Hyrax, the mini-implants and molars are used as anchors for rapid maxillary expansion. However, if a patient is treated with aligners, it seems advantageous to avoid any connection with the dentition, with the goal of aligning all teeth free of interference from an expander that must stay in the mouth for retention. Consequently, pure bone-borne expanders were developed for use with two (BMX expander) or four mini-implants (Quadexpander).

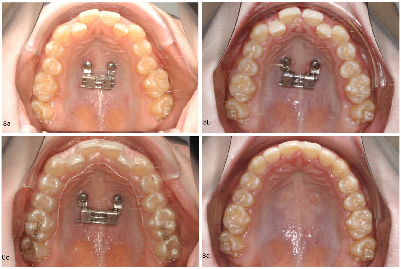
Figs. 8a–d: Treatment progress of a 13-year-old female patient with a severe maxillary transversal deficiency. (a) Insertion of two mini-implants in the anterior palate and the BMX expander. (b) Expanded maxilla after four weeks of activation. (c) Subsequent aligner finishing. (d) Result.

Figs. 8a–d: Treatment progress of a 13-year-old female patient with a severe maxillary transversal deficiency. (a) Insertion of two mini-implants in the anterior palate and the BMX expander. (b) Expanded maxilla after four weeks of activation. (c) Subsequent aligner finishing. (d) Result.

Clinical case (BMX expander)

A 13-year-old female patient presented with a severe maxillary transversal deficiency. The patient and her parents requested treatment with aligners and made an informed decision to proceed with treatment using a mini-implant-borne expander for the maxilla and aligners for levelling of the teeth afterwards.

The treatment started with insertion of two mini-implants (2 × 9 mm) in the anterior palate under local anaesthesia (Fig. 8a). A prefabricated BMX expander (8 mm; PSM) was first adapted by pre turning the expansion screw directly chairside and fixed with two fixation screws. Expansion activation was initiated by performing one activation per day for a total of about 0.2 mm expansion per day. After four weeks of activation, the maxilla had been expanded by approximately 5.5 mm (Fig. 8b). Subsequently, scans were taken for the aligner finishing (ClearCorrect). The BMX expander was kept in place for skeletal retention (Fig. 8c). The aligner treatment was finished after ten months (Fig. 8d). The whole treatment duration was 12 months (one month of expansion, one month for aligner manufacture and ten months of aligner finishing).

Direct printing of aligners will be one of the hot topics, at the next BENEfit User Meeting.

Direct printing of aligners will be one of the hot topics, at the next BENEfit User Meeting.

CAD/CAM design and metal printing of a mini-screw-anchored expansion (MARPE).

CAD/CAM design and metal printing of a mini-screw-anchored expansion (MARPE).

Twelfth BENEfit User Meeting

The combination of sliders, expanders and aligners (BENEfit for Aligner technique) was the main topic of the BENEfit User Meeting, which took take place on 2 and 3 June 2023. An outstanding line-up of speakers will cover recent updates on mini-screw-anchored rapid palatal expansion techniques and direct printing of aligners. Usually, 500 attendees from all over the world attend, attracted by the high level of the meeting, including the discussion sessions.

Round-table discussion at the last BENEfit User Meeting.

Round-table discussion at the last BENEfit User Meeting.

Five hundred attendees at the last BENEfit User Meeting.

Five hundred attendees at the last BENEfit User Meeting.

Editorial note:

This article was published in aligners—international magazine of aligner orthodontics vol. 2, issue 1/2023. A list of references can be obtained from the publisher upon request.

Tags:
To post a reply please login or register
advertisement
advertisement