Search Dental Tribune

Clinicians can use CBCT scans and diagnostic guides to overcome challenges in implant placement, particularly in narrow spaces, ensuring optimal surgical and prosthetic positioning to avoid potential complications and improve treatment outcomes. (Image: Natalya Lys/Shutterstock; clinical images: Drs Gregori M. Kurtzman, Sean W. Meitner)

Implant placement in spaces that are narrow in the mesiodistal dimension poses challenges related to the surgical aspect of treatment. This is further complicated by the anatomy in the buccolingual dimension, which cannot be accessed with standard 2D (periapical and panoramic) radiographs. This is more common in the mandibular anterior and maxillary lateral positions and is related to the dimensions of those teeth under healthy conditions.

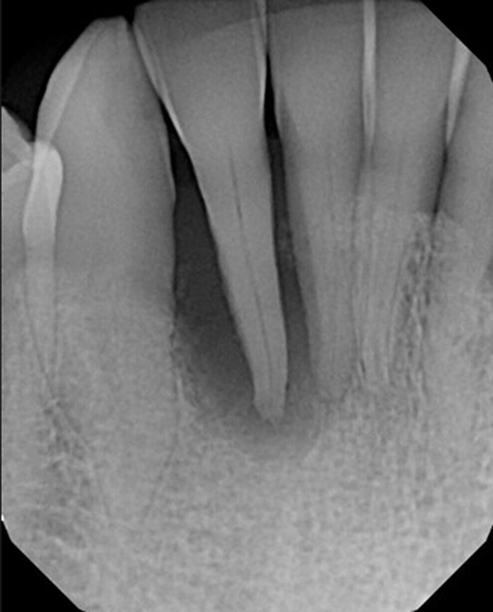
Fig. 1: Periapical radiograph of the maxillary anterior to evaluate the mobile tooth #42 and the adjacent dentition.

Fig. 1: Periapical radiograph of the maxillary anterior to evaluate the mobile tooth #42 and the adjacent dentition.

CBCT provides a more complete 3D view that visualises the buccolingual dimension as well as the mesiodistal aspects of the site that will be receiving the implant.1, 2 However, prosthetic positioning is typically missing from CBCT scans.3, 4 That missing information can be acquired with the use of a diagnostic guide worn during the CBCT scan, the diagnostic guide having the ideal prosthetic positions for the planned implants.5, 6 That data can then be used in virtual planning to better determine where the implants need to be positioned, including their angulation, restoratively. This will also aid in determining whether grafting of the buccal aspect of the ridge will be required to position the implant. Should ridge augmentation be required and be performed as a prelude to implant placement, a new diagnostic guide can be fabricated and used to design and fabricate the surgical guide based on virtual planning.7, 8

Implant surgical guides may be fabricated in the laboratory or in the office. The benefits of in-office fabrication are decreased guide preparation time, decreased cost for diagnostic and surgical guides and affordability of an in-office preliminary guide that can be worn during the initial diagnostic CBCT scan.

The components of the Guide Right system (DePlaque) for creating a diagnostic guide and surgical guide consist of: (1) straight and offset guide posts; (2) straight and angled guide sleeves; (3) a 3/32 in. pilot drill; and (4) additional drills with depth stops that match the interior of the guide sleeves. The offset guide posts are designed as two pieces. The upper removable part is available in 0.0–3.5 mm offset in 0.5 mm increments. Regarding the guide sleeves, guide sleeve inserts are available to guide each successive drill in the intended sequence to the final osteotomy diameter and allow use of the final implant brand drill for the final osteotomy preparation. The following case will detail fabrication of the preliminary CBCT guide using this system and the necessary correction for fabrication of the final surgical guide to be used for osteotomy creation and implant placement.

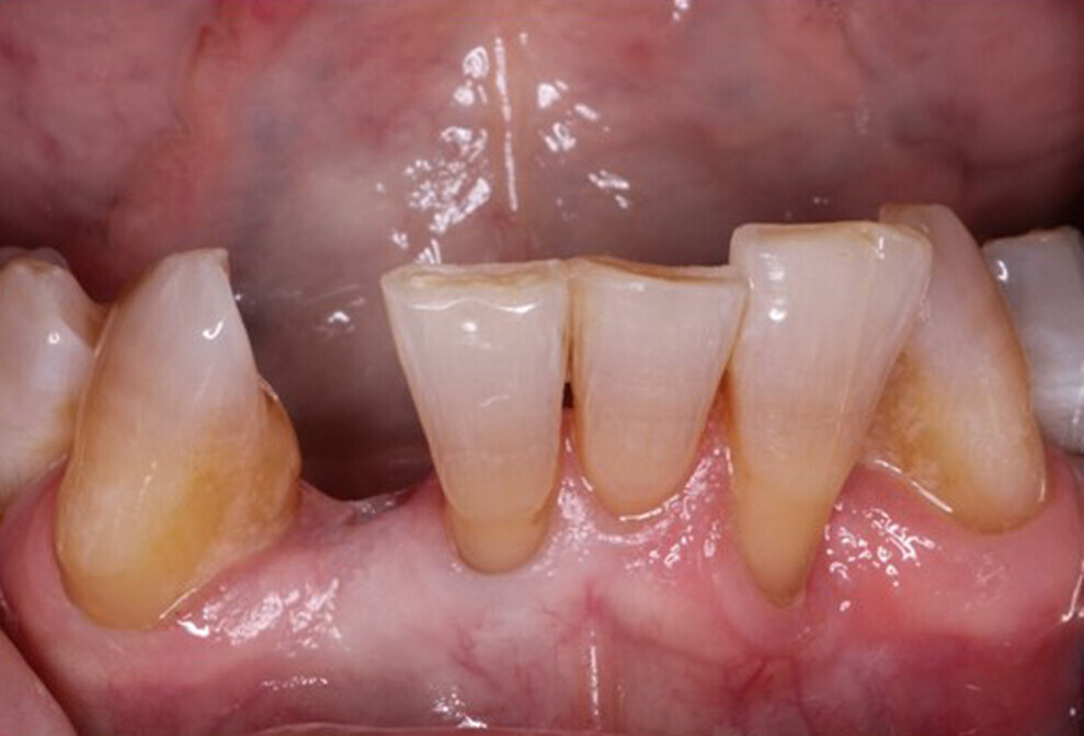
Fig. 2: Healed extraction site eight weeks after extraction of tooth #42.

Fig. 2: Healed extraction site eight weeks after extraction of tooth #42.

Case report

A 60-year-old male patient was referred for mobility of the mandibular right lateral incisor (tooth #42) and associated discomfort with the tooth. Examination noted Grade III mobility of tooth #42 and no mobility of the adjacent teeth. A periapical radiograph was taken, and a large lesion was noted around tooth #42, and there was no osseous support (Fig. 1). A thin area of bone was noted between tooth #41 and tooth #42, and we suspected possible involvement of the apical area of tooth #41 regarding the lesion around tooth #42. Tooth #41 had no percussion sensitivity, and the patient did not indicate any temperature sensitivity in the area prior to the appointment.

Extraction of tooth #42 and delayed implant placement were recommended to the patient. This would also allow for further evaluation of tooth #41 and the potential need for endodontic treatment or extraction should the tooth become sensitive or mobile during healing of the extraction site. The patient agreed to the treatment recommendations, and a consent form was signed. Local anaesthetic was administered, and tooth #42 was atraumatically extracted.

The patient returned eight weeks after extraction of tooth #42 for evaluation of tooth #41 and of site healing and for initiation of the planning phase of implant treatment (Fig. 2). Keratinised soft tissue had covered the extraction socket, and no inflammation was noted. Tooth #41 was examined, and no mobility was noted, nor was there percussion sensitivity. The patient indicated an absence of hot or cold sensitivity in the area. The treatment plan was reviewed for placement of an implant in site #42 and a delayed loading protocol, allowing for osseointegration of the implant before restoration. An impression of the mandibular arch was taken to initiate the planning phase of treatment with fabrication of a diagnostic guide, and the patient was scheduled for the next appointment.

The conventional impression was utilised to create a stone cast to be used to fabricate a diagnostic guide. The 3/32 in. Guide Right pilot drill was utilised to create a guide hole in the planned implant site on the cast that was parallel to the adjacent teeth and centred in the extraction site (Fig. 3). A Guide Right one-piece guide post was inserted into the pilot hole on the cast (Fig. 4). Next, a Guide Right guide sleeve was inserted over the guide post with the retentive cleat positioned to the lingual aspect (Fig. 5). A light-polymerising resin (primopattern LC Gel, primotec) was placed over the cleat and then a roll of light-polymerising resin (primosplint, primotec) was placed on the lingual aspect of the teeth on the cast (Fig. 6). The resin was then pressed on to the lingual aspect of the teeth and the occlusal surfaces, light-polymerised and removed from the cast, creating the diagnostic guide (Fig. 7).

Figs. 3a–c: Pilot hole made in the cast at the planned implant site, paralleling it to the adjacent teeth and centring it in the site (a & c). Guide Right pilot drill (b).

Figs. 3a–c: Pilot hole made in the cast at the planned implant site, paralleling it to the adjacent teeth and centring it in the site (a & c). Guide Right pilot drill (b).

Figs. 4a & b: Guide post is inserted into the pilot hole made with the drill in the model (a & c). Guide Right guide post (b).

Figs. 4a & b: Guide post is inserted into the pilot hole made with the drill in the model (a & c). Guide Right guide post (b).

Figs. 5a & b: Guide Right guide sleeve and post (a). Guide sleeve placed over the guide post with the retentive cleat positioned on the lingual aspect (b).

Figs. 5a & b: Guide Right guide sleeve and post (a). Guide sleeve placed over the guide post with the retentive cleat positioned on the lingual aspect (b).

Figs. 6a & b: Primopattern LC Gel placed over the cleat (a). Primosplint placed on the lingual aspect of the teeth on the cast (b).

Figs. 6a & b: Primopattern LC Gel placed over the cleat (a). Primosplint placed on the lingual aspect of the teeth on the cast (b).

Figs. 7a & b: Resin adapted to the lingual and occlusal aspects of the teeth (a). Diagnostic guide (b).

Figs. 7a & b: Resin adapted to the lingual and occlusal aspects of the teeth (a). Diagnostic guide (b).

At the next appointment, the diagnostic guide was tried in intra-orally and fit and stability confirmed on the arch. A CBCT scan was taken with the diagnostic guide in place. The patient was scheduled for the implant placement phase of treatment.

The CBCT scan with the diagnostic guide in place was imported into implant planning software (Carestream Dental) and analysed for implant placement at the planned implant site. A virtual implant (3.3 × 12.0 mm) was placed in the planning software with respect to the available anatomy in the mesiodistal and buccolingual dimensions. The virtual implant was viewed in cross section to access its orientation with respect to the guide sleeve on the diagnostic guide (Fig. 8). A line was drawn through the long axis of the virtual implant and of the guide sleeve to analyse what corrections would be necessary in the buccolingual dimension (Fig. 9). A 6° angle correction between the virtual implant axis and guide sleeve axis would be required (Fig. 10). A shift of 2 mm from the position of the guide sleeve and virtual implant position would also be required.

Fig. 8: Cross-sectional view of the planned implant site with the diagnostic guide in place and the virtual planned implant in the ideal position relative to the anatomy.

Fig. 8: Cross-sectional view of the planned implant site with the diagnostic guide in place and the virtual planned implant in the ideal position relative to the anatomy.

Figs. 9a–c: Long axis of the virtual implant (blue line) drawn in (a). Long axis of the guide sleeve (green line) added (b). Angle correction in the buccolingual dimension (red line) was determined to be 6° (c).

Figs. 9a–c: Long axis of the virtual implant (blue line) drawn in (a). Long axis of the guide sleeve (green line) added (b). Angle correction in the buccolingual dimension (red line) was determined to be 6° (c).

 Fig. 10: Required angle correction of 6° (red line) between the planned implant axis (blue line) and the axis of the guide sleeve (green line).

Fig. 10: Required angle correction of 6° (red line) between the planned implant axis (blue line) and the axis of the guide sleeve (green line).

Figs. 11a–c: Mesiodistal positioning of the virtual planned implant in the planning software (a). Virtual planned implant position (blue line) in relation to the guide sleeve (green line; b) in the mesiodistal dimension, requiring a 4° angle correction (red line; c).

Figs. 11a–c: Mesiodistal positioning of the virtual planned implant in the planning software (a). Virtual planned implant position (blue line) in relation to the guide sleeve (green line; b) in the mesiodistal dimension, requiring a 4° angle correction (red line; c).

Next, the mesiodistal positioning was analysed in the planning software. The long axis of the virtual implant and guide sleeve were again placed in the software. A 4° angle correction was determined to be needed for ideal implant placement in this dimension (Fig. 11).

A 2 mm offset guide post that would position the upper portion of the guide post to the lingual aspect was selected. Utilising the Guide Right bending tool, a 6° correction was made to the guide post, completing the first angle correction (Fig. 12). The second angle correction was made by reorienting the modified 2 mm offset guide post with the bending tool, achieving a 4° correction (Fig. 13). The completed two-bend guide post incorporated a 6° correction (first bend) in the buccolingual direction and a 4° correction (second bend) in the mesiodistal direction (Fig. 14).

The modified guide post was inserted back into the guide hole in the cast with the top oriented to the lingual aspect, a 3.85 mm upper removable part was placed over the top of the modified guide post in the cast, and a guide sleeve was placed on the upper removable part with the cleat oriented to the lingual aspect (Fig. 15). Primopattern LC Gel was placed over the cleat and primosplint placed in a similar manner to when the diagnostic guide was fabricated and light-polymerised to complete the corrected surgical guide (Fig. 16).

Fig. 12: First angle correction made utilising the bending tool to bend the offset guide post 6° in the lingual direction.

Fig. 12: First angle correction made utilising the bending tool to bend the offset guide post 6° in the lingual direction.

Fig. 13: Second angle correction of the modied offset guide post 4° to the distal aspect.

Fig. 13: Second angle correction of the modied offset guide post 4° to the distal aspect.

Figs. 14a–c: Guide post before correction (a), after the first angle correction of 6° to the lingual aspect (b) and after the second angle correction of 4° to the distal aspect (c), completing the two-bend guide post modication.

Figs. 14a–c: Guide post before correction (a), after the first angle correction of 6° to the lingual aspect (b) and after the second angle correction of 4° to the distal aspect (c), completing the two-bend guide post modication.

Figs. 15a & b: Upper removable part placed over the modied offset guide post on the cast and the guide sleeve placed over it with the cleat to the lingual aspect (a), all on the cast (b).

Figs. 15a & b: Upper removable part placed over the modied offset guide post on the cast and the guide sleeve placed over it with the cleat to the lingual aspect (a), all on the cast (b).

Figs. 16a & b: Primopattern LC Gel placed over the cleat and primosplint adapted to the cast (a). Corrected surgical guide after light polymerisation (b).

Figs. 16a & b: Primopattern LC Gel placed over the cleat and primosplint adapted to the cast (a). Corrected surgical guide after light polymerisation (b).

The patient returned for implant placement, and the consent form was reviewed and signed by the patient. The surgical guide was tried in intra-orally to verify its fit to the arch and stability. Local anaesthetic was administered. A flapless surgical approach was undertaken. Initially, a pilot drill with a 3.9 mm depth stop was utilised through the guide sleeve on the surgical guide to start the osteotomy (Fig. 17). To accommodate the thickness of the gingival tissue (3 mm) plus the length of the implant (12 mm), a length from the top of the guide sleeve of 15 mm was selected and an appropriate length guide sleeve set on the drills. The drilling sequence through the surgical guide was completed with a Straumann 2.8 mm drill with the 15 mm guide depth. A 3.3 × 12.0 mm implant was then placed into the osteotomy and the Straumann explantation tool utilised to place the platform of the implant 1–2 mm subcrestally. A 2 mm high healing abutment was placed with its top flush with the gingival crest. A CBCT scan was taken to document the implant placement relative to the surrounding anatomy. Analysis of the scan demonstrated ideal placement in the narrow site, respecting the adjacent anatomy in the mesiodistal and buccolingual directions.

Figs. 17a & b: Corrected surgical guide inserted intra-orally (a) and utilised to guide the osteotomy drills for site preparation (b).

Figs. 17a & b: Corrected surgical guide inserted intra-orally (a) and utilised to guide the osteotomy drills for site preparation (b).

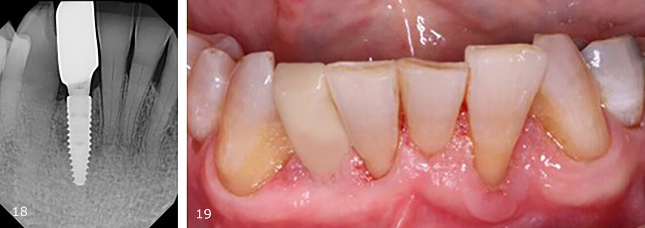
Fig. 18: Periapical radiograph of the restored implant, demonstrating good implant placement with respect to the anatomy in the narrow site. Fig. 19: Implant restoration in situ.

Fig. 18: Periapical radiograph of the restored implant, demonstrating good implant placement with respect to the anatomy in the narrow site. Fig. 19: Implant restoration in situ.

The restorative phase of treatment was initiated after three months of osseointegration. Restoration was completed with a screw-retained crown. A periapical radiograph was taken to confirm seating of the implant restoration on the platform (Fig. 18). Radiographically, it was noted that the bone level on the mesial and distal aspects was at the top of the platform and that there was complete bone fill on the distal aspect of tooth #41. Clinically, the gingiva was healthy and keratinised and presented with no inflammation (Fig. 19).

Discussion

It is well established that surgical guides aid in ideal placement of implants, and the use of CBCT is becoming a routine part of the planning and fabrication of surgical guides. CBCT scans provide valuable information when planning implant placement, but prosthetic positioning is not possible with a typical scan. Information from a dental cast may be used to ideally position the implant prosthetically, which is especially critical in narrow sites. The information is then transferred to the CBCT scan by use of a diagnostic guide. Coordinating the cast and CBCT data allows prosthetic positioning to be utilised with the virtual planning.9, 10 A diagnostic guide fabricated on a cast of the pretreatment arch aids in guiding planning and analysis, providing data to the planning software to better aid in surgical guide design.

The particular case featured in this article required ridge augmentation to create dimensions that would accommodate implant placement. After healing of the grafted ridge, a new CBCT scan was taken with the diagnostic guide, and implant planning in the software was then performed with the new osseous anatomy.

Design of the diagnostic guide uses straight guide posts on the pretreatment cast. The offset guide post is used when a correction to the osteotomy position is required, positioning the osteotomy to the facial or lingual aspect based on the CBCT analysis. This allows use of the guide hole in the initial cast to correct the position and angulation of the guided osteotomy when fabricating the corrected surgical guide.

Conclusion

Guided implant placement allows the practitioner to avoid misplacement with regard to the surrounding anatomy. This is particularly critical when placing an implant into a narrow site. When done freehand, this may result in contact with the root of the adjacent teeth or a lack of interproximal bone, which may lead to implant failure owing to insufficient bone between the implant and tooth. A CBCT scan provides analysis of the planned site in 3D, but as implant treatment is restoratively driven, there needs to be a way to incorporate the restorative position with the anatomy to best plan for ideal implant placement. Utilisation of a diagnostic guide allows that information to be part of the implant planning and fabrication of a corrected surgical guide for ideal implant placement in narrow sites and avoids potential problems with surgical placement as well as with restoration of the implant.

Editorial note:

This article was published in digital—international magazine of digital dentistry vol. 4, issue 4/2023. A complete list of references can be found here.

Topics:
Tags:
To post a reply please login or register
advertisement
advertisement