Now more than ever, it behoves dentists and laboratories to work together as part of an interdisciplinary and collaborative team to coordinate treatment, select ideal restorative material(s), and plan cases, particularly those involving full-mouth reconstructions. [1, 2] Fortunately, a number of digitally based technologies can be incorporated into the treatment thorough diagnostic and treatment planning processes, [3] as well as used for fabricating various components of treatments. When used in
combination with a systematic and collaborative plan for preparing and executing treatment, these tools can enable the team to achieve success when restoring a patient’s smile to proper form, function, and health.
Simultaneously, other advances in technology and material science have provided dentists and laboratories with restorative zirconia options that can be cost-effective and aesthetic alternatives when full-mouth rehabilitations are needed. [4, 5] In fact, computer-aided design/computer-assisted manufacturing (CAD/CAM) make it possible for laboratories to collaborate with dentists to deliver monolithic zirconia restorations with individual characterisations that demonstrate high flexural strength and excellent long-term stability (e.g. Zenostar, Wieland, Ivoclar Vivadent). [6-8]
Because this material can be milled at the laboratory from single blocks using CAD/CAM technology, laboratories and their dentists can collaborate directly regarding the aesthetic and functional characteristics required. The ceramist can then complete the restorations using stains, glazes, and colours to finalise the restorations.
Overall, the foundations of this collaborative process are the digital CAD/CAM and communication technologies (e.g. digital photographs, digital radiographs, intraoral scans, 3-D restoration design software) that enable laboratory technicians to virtually design the zirconia restorations. These same technologies also facilitate the workflow by powering the milling of monolithic blocks into crowns and bridges, with subsequent sintering and stain characterisation requiring less time. [7, 8]
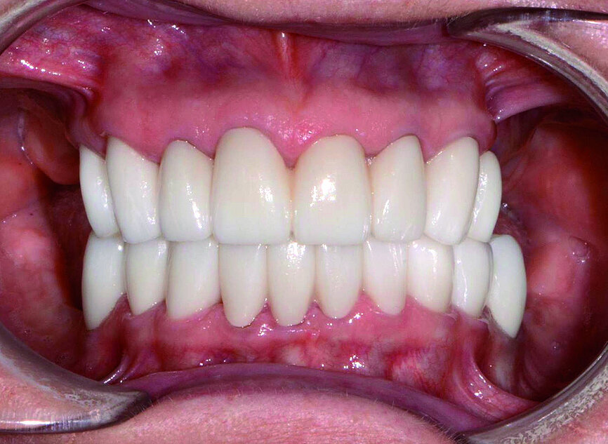
Fig. 1: Retracted preoperative view.
Fig. 2: Acquiring a CBCT scan with the CS 8100 3D (Carestream).
Fig. 3: Tooth-Borne Surgical guide by 3DDX.
Fig. 4: Guided Surgery Kit from OCO Biomedical.
Fig. 5: Engage dental implant depicting the thread pattern and auger tip.
Fig. 6: Prepared maxillary and mandibular teeth with implants already placed.
Fig. 7: Achieving full arch impressions with Panasil from Kettenbach.
Fig. 8: Upper and lower provisional restorations.
Fig. 9: Virtual plan of Zenostar restorations.
Fig. 10: Milled restorations on Stratos 100 articulator from Ivoclar Vivadent.
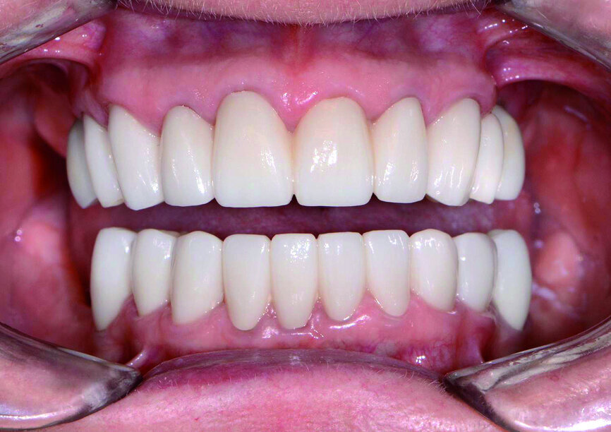
Fig. 11: Seated maxillary and mandibular restorations on teeth.
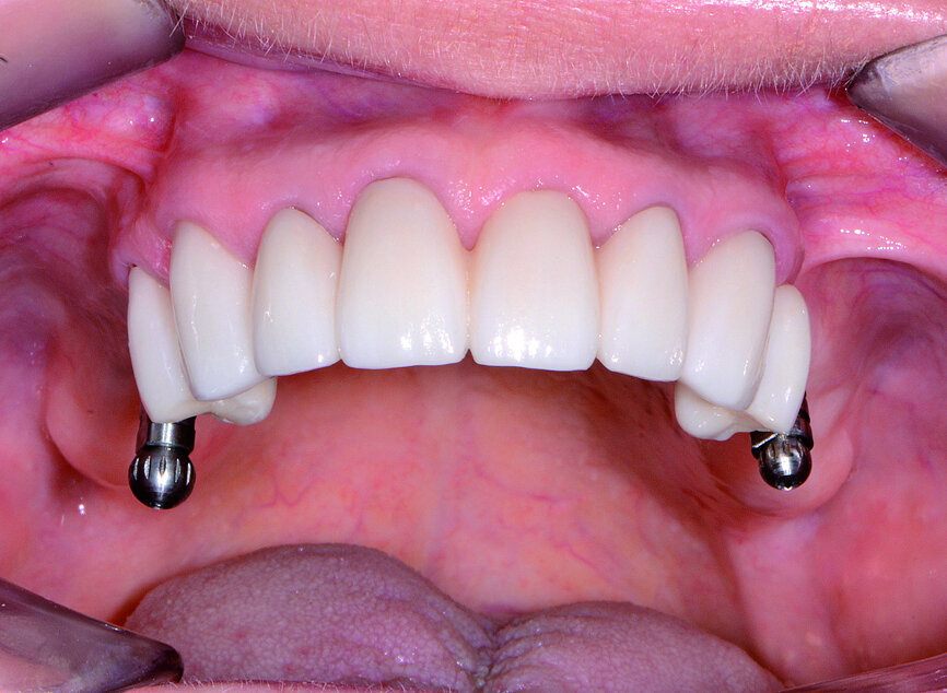
Fig. 12: Extended healing caps on implants creating an emergence
profile.
Fig. 13: Capturing an ISQ reading with Osstell.
Case report
A woman in her mid-60s was referred to the dentist because she was dissatisfied with the appearance of her smile (Fig. 1). The initial diagnostic evaluation during the first appointment included a series of digital images with study casts, centric relation bite record, face-bow transfer and a CBCT using CS 8100 3D (Carestream Dental; Fig. 2).
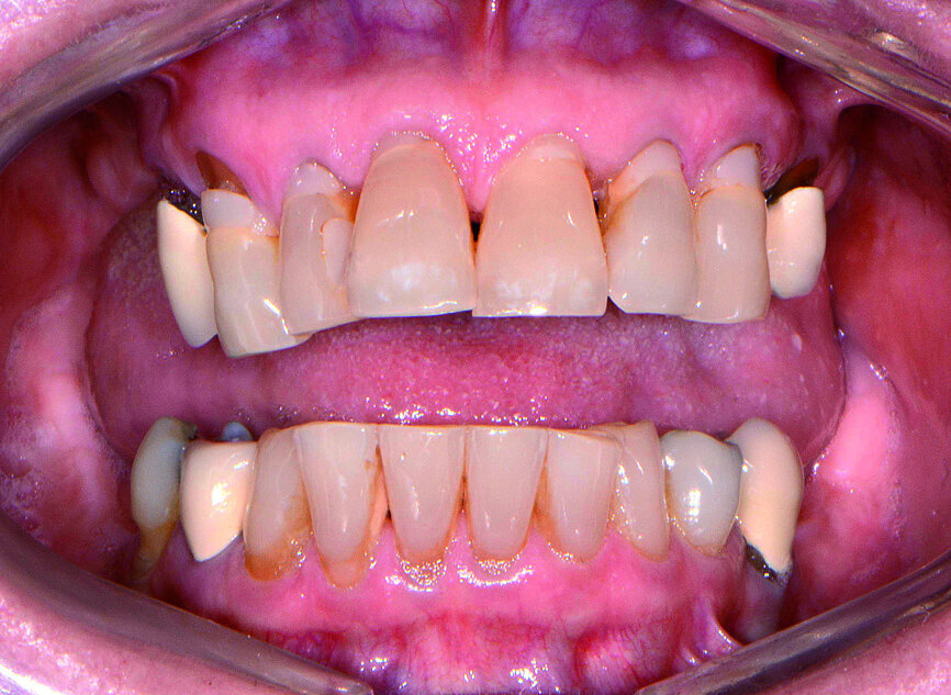
The examination revealed several maxillary teeth with worn composite restorations, cracked or leaking amalgam restorations, recurrent decay at the margins of existing restorations, and abfractions with cervical decay. Tooth #12 had a periapical lesion due to a failing root canal and periodontal disease with class II mobility. Existing crown restorations on teeth #20 and #28 had recurrent decay on the facial aspects, with recession. Teeth #21 and #29 had large amalgam restorations with deteriorating margins, as well as cracks present. Although no restorations were present in the anterior mandibular teeth, there was severe incisal edge wear due to possible grinding and parafunction.
Treatment planning
After reviewing the clinical findings and mounted models, the patient was diagnosed with a restricted envelope of function and decreased vertical dimension from continuous wear. [9] To develop a treatment
plan and determine if the vertical dimension could be increased, the laboratory fabricated a diagnostic 3-D White Wax-Up, along with a preparation guide and temporisation fabrication template, based on all of the analogue and digital records that were transferred from the dentist.
It was determined that the maxillary central incisors could be lengthened by 1.2 mm to improve the aesthetics, and the canines would also be lengthened to restore canine guidance in lateral excursions. Overall, vertical dimension would be increased by 1.5 mm.[10] For the lower anterior, the goal was to correct the length-to-width ratio and create a less worn appearance. [11] It was further determined from the diagnostic wax-up that aesthetics and function could be enhanced by restoring the remaining dentition. Since tooth #12 required an extraction, replacement options were discussed with the patient.
Further evaluation determined that the patient would require block grafts in the areas of teeth #18 and #19, as well as #30 and #31, to enable implant placement. In the maxillary arch, placing implants in the molar regions would require sinus augmentation, but implants could be placed in the #4 and #13 positions without major bone grafting procedures. [12, 13]
The ultimate treatment agreed to by the patient consisted of splinted monolithic zirconia (Zenostar, Wieland, Ivoclar Vivadent) crown restorations from #5 to #12, with #12 being a distal cantilever pontic. In the areas of teeth #4 and #13, dental implants would be placed, followed by their corresponding custom abutments and crown restorations. In the lower arch, the teeth would be segmentally connected with splinted crowns: premolars, separate canines, and then incisors.
According to the manufacturer, the selected zirconia material combines excellent flexural strength with the aesthetics of natural tooth shades. In this particular case, the patient desired a 040 bleach shade (Ivoclar Vivadent Chromascop). Zenostar is especially suitable for making monolithic restorations, but can also be used as an aesthetic framework material for a layered technique. [4-8]
Surgery and provisionalisation
A tooth-supported surgical guide (3D Diagnostix) and Guided Surgery Kit (OCO Biomedical) was used during the osteotomies (Figs. 3 & 4) followed by dental implant placement of dental implants (Engage, OCO Biomedical; Fig. 5).
Tooth #12 was atraumatically extracted using Physics Forceps from GoldenDent and the socket grafted with a putty blend of cortical mineralised and demineralised bone grafting material, followed by a pericardium membrane and primary closure by suturing the tissue with 3.0 mm silk sutures; and the remaining teeth prepared for crown restorations. Any old amalgam restorations or indications of recurrent decay were removed and cored, and any necessary endodontic therapy was performed (Fig. 6).
At the time, the laboratory provided the 3-D White Wax-Up, a clear reduction guide was also delivered and then used to ensure adequate reduction for the definitive zirconia crown restorations. Full arch impressions were taken (Fig. 7) using polyvinylsiloxane impression material (Panasil, Kettenbach), along with a bite relation using a jig fabricated on the 3-D White Wax-Up models. A shade was also taken, photographed, and later transferred to the laboratory.
Then, using a matrix impression (Sil-Tech, Ivoclar Vivadent) of the 3-D White Wax-Up, a provisional restoration, which would aid in determining the best size, shape, colour, and position for the definitive restorations, was made using a bleach shade of temporary material (Fig. 8). After the patient returned a few weeks later for evaluation of aesthetics, phonetics, and bite, the dental laboratory was instructed to replicate the 3-D White Wax-Up when fabricating the definitive restorations.
Laboratory design and manufacturing
The 3-D White Wax-Ups, colour photographs, impressions, and bite relations were forwarded to the dental lab (Arrowhead Dental Lab), along with specific instructions regarding the size, shape, and colour of the restorations. The laboratory technician scanned the 3-D White Wax-Ups in order to select the appropriate arch form, tooth size, and occlusion from the digital options available in the treatment planning software.
Once a virtual model was created, the full-contour restorations were digitally designed, and virtual images of the proposed reconstruction were forwarded through 3Shape Communicate to the dentist’s e-mail for review and approval (Fig. 9). Any minor adjustments in tooth shape and contour were sent back to the dental technician so that the most ideal aesthetic and form could be achieved.
Once the final design and adjustments to the zirconia restorations were completed, the appropriate monolithic zirconia block(s) were selected and milled. After milling, minor adjustments were made while the restorations were in the green state, using only grinding instruments. Little or no pressure was applied during this process, but water was used to prevent excessive frictional heat from fracturing the zirconia.
The internal aspects of the restorations were sandblasted with 50 μm alumina at 50 psi to enhance adhesion and cementation, after which contaminants were removed using steam or ultrasonic cleaning for 15 minutes. Zirconia surfaces must be free of dirt, milling dust/residue, and oily-greasy elements.
After the restorations’ surfaces were cleaned, they were sintered appropriately, and then any characterisation with stains and glazes was performed. The restorations were hand polished, evaluated (Fig. 10), and returned to the dentist for cementation (Fig. 11).
Abutments and remaining crown restorations
Four months later, the healing caps were removed from the implants in the #4 and #13 areas (Fig. 12) and ISQ values tested using the Osstell unit. Since the readings were very favourable (Fig. 13), impression posts were inserted (Fig. 14) and full arch impressions captured for use by the laboratory in fabricating the final crown restorations and custom abutments. The laboratory was able to scan the impressions, use digital file splitting to simultaneously design the custom abutments and crowns, and then precisely mill each component to the required parameters (Fig. 15). Ultimately, the custom abutments were placed and torqued two weeks later and the crown restorations were seated to complete the case (Fig. 16).
Conclusion
A systematic method for treatment planning, material selection, tooth preparation, and cementation enables dentists and laboratories to effectively and efficiently address patient needs. In the case described here, the patient was very pleased with her smile rehabilitation, in addition to being able to receive all of the necessary treatment procedures at the same practice. With a technology-driven and digitally supported collaborative relationship, laboratories and dentists can achieve such outcomes more routinely, predictably, aesthetically, and functionally.
Special thanks to Chris Barnes and his team at Arrowhead Dental Lab for the abutments and restorations and 3DDX for the implant planning and surgical guide.
Editorial note: A list of references is available from the publisher. This article was published in CAD/CAM - international magazine of digital dentistry No. 03/2017.
Patients facing the loss of their natural dentition have more treatment options than ever before. The traditional complete denture, once the standard of ...
Patients facing the loss of their natural dentition have more treatment options than ever before. The traditional complete denture, once the standard of ...
Prudent clinical judgement and careful consideration of the risks and benefits of various treatment options are essential for the treatment planning and ...
With greater public awareness about cosmetic dental reconstructions, dentists are often challenged with greater demands from the patient. This increased ...
The most important innovation in recent years in the field of guided bone regeneration (GBR) is customised CAD/CAM titanium meshes, which allow for ...
The E4D in-office CAD/CAM unit (Editorial note: Planmeca E4D Technologies) has been employed in an investigative laboratory study to design and mill an ...
When a patient presents to your dental practice with questionable and/or non-restorable teeth requiring full-mouth extractions, the greatest concern is ...
The prevalence of edentulous patients in Germany has been steadily declining for many years. According to the Sixth German Oral Health Study, the prevalence...
CAD/CAM technology and materials are currently used in a number of clinical applications, including the fabrication of indirect restorations. CAD/CAM gives ...
Dr. Gary Hack is an associate professor at the University of Maryland School of Dentistry, where he teaches in the Department of Advanced Oral Sciences and ...
Live webinar
Thu. 14 May 2026
12:00 pm EST (New York)
Live webinar
Thu. 14 May 2026
2:00 pm EST (New York)
Prof. Hani Ounsi DDS PhD FICD
Live webinar
Tue. 19 May 2026
11:00 am EST (New York)
Live webinar
Tue. 19 May 2026
1:00 pm EST (New York)
Prof. Dr. med. dent. Ivo Krejci
Live webinar
Wed. 20 May 2026
7:00 am EST (New York)
Dr. Graham Carmichael BDSc (Hons), DClinDent (Pros), FRACDS, Dr. Robert Gottlander DDS
Live webinar
Wed. 20 May 2026
9:00 am EST (New York)
Live webinar
Wed. 20 May 2026
1:00 pm EST (New York)
Prof. Dr. med. dent. Tim Joda PhD, MSc, eMBA
To post a reply please login or register