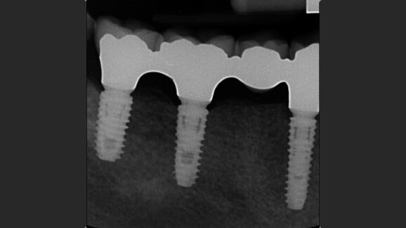
Objective: The objective of this study was to evaluate the implant survival and success rates as well as the physiological marginal bone remodeling expected using Osstem implants.
Materials and methods
This investigation was designed as an open-cohort prospective study on completely or partially edentulous patients who received at least one bone level implant with a sandblasted and acid-etched surface and an 11° Morse taper connection. Outcome measures were the success rates of the implants and prostheses, complications, marginal bone level changes, insertion torque, implant stability quotient, bone density and soft-tissue biotype.
Results
A total of 243 implants were placed in 90 consecutive patients and followed up for a minimum period of one year after loading (mean of 17.6 ± 2.5 months; range of 12–24 months). Five implants failed in five patients, resulting in a cumulative implant survival rate of 97.9%. Insertion torque of < 35 N cm was found to be a risk factor for implant failure (p = 0.0068). No definitive prosthesis failed, resulting in a cumulative prosthetic survival rate of 100%. Four patients experienced one technical complication each, resulting in a cumulative prosthetic success rate of 97.2%. The cumulative mean marginal bone loss between implant placement and the follow-up one year after loading was 0.37 ± 0.25 mm (95% CI: 0.26–0.30). Comparison of marginal bone loss and the investigated risk factors found statistically higher marginal bone loss for smokers, a thin gingival biotype and guided bone regeneration (p < 0.05).
Conclusion
Low implant failure and physiological marginal bone remodeling of 0.37 mm within one year after loading can be expected using Osstem TSIII implants in the daily practice.
Editorial note: The full article was published in the 1/2017 issue of the Journal of Oral Science and Rehabilitation. It can be accessed free of charge at www.dtscience.com.
GUANGZHOU, China: Immediate loading of dental implants has become a popular option because it shortens treatment time, improves aesthetics and increases ...
Dental technicians have so many different restorative materials and design and finishing concepts available to them that it can seem difficult to select the...
BUDAPEST, Hungary: Previous studies have suggested that surface roughness is one of several key factors that influence the degree of biological integration ...
The objective of this study was to investigate the effect of sandblasted, large-grit, acid-etched (SLA) implant surfaces treated with titanium dioxide ...
The aim was to evaluate the three-year outcome of nonsubmerged dental implants with buccal periimplant defects treated with a guided bone regeneration ...
The aim of this multicenter prospective study was to evaluate the survival rate of implants after insertion using low torque (< 35 N cm), by recording ...
Objectives: The objective of this study was to assess spontaneous bone healing after enucleation of large jaw cysts without using any grafting material.
The long-term clinical success of dental implants is dependent upon osseointegration, which is defined as a direct functional and structural connection ...
As implant dentistry continues to evolve to meet our patient’s demands for aesthetic tooth replacements with minimal downtime or inconvenience, the ...
KAYSERI, Turkey: COVID-19 has infected over 670 million people. The disease can impact bone metabolism, stimulating bone resorption, reducing serum ...
Live webinar
Thu. 14 May 2026
12:00 pm EST (New York)
Live webinar
Thu. 14 May 2026
2:00 pm EST (New York)
Prof. Hani Ounsi DDS PhD FICD
Live webinar
Tue. 19 May 2026
11:00 am EST (New York)
Live webinar
Tue. 19 May 2026
1:00 pm EST (New York)
Prof. Dr. med. dent. Ivo Krejci
Live webinar
Wed. 20 May 2026
7:00 am EST (New York)
Dr. Graham Carmichael BDSc (Hons), DClinDent (Pros), FRACDS, Dr. Robert Gottlander DDS
Live webinar
Wed. 20 May 2026
9:00 am EST (New York)
Live webinar
Wed. 20 May 2026
1:00 pm EST (New York)
Prof. Dr. med. dent. Tim Joda PhD, MSc, eMBA
To post a reply please login or register