In a free webinar on Tuesday, 26 May, Dr Miguel Nobre will discuss the use of the high-performance polymer JUVORA PEEK as the ideal material for the prosthetic framework for implant restorations. (Image: Miguel Nobre)
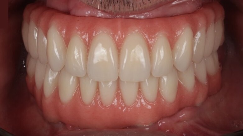
There is increased interest in the long-term clinical outcomes and quality of life of patients treated with full-arch implant-supported dental prostheses with frameworks made of a high-performance PEEK polymer, rather than the traditionally used metals or ceramic materials. In a free webinar on Tuesday, 26 May, expert Dr Miguel Nobre will focus on the clinical outcomes for edentulous patients who have received full-arch implant-supported prostheses with JUVORA PEEK frameworks.
Dr Nobre, what makes the high-performance PEEK polymer you will be presenting in your webinar the ideal material for the prosthetic framework? We consider the high-performance JUVORA PEEK polymer to be the ideal prosthetic framework owing to the material’s light weight, resilience and shock-absorbing characteristics that, when applied to full-arch restorations, mimic the behaviour of natural teeth; as well as the capacity to produce such a framework through CAD/CAM.
PEEK substructure after computed-assisted manufacturing. (Image: Miguel Nobre)
Does the material also have its limitations? Yes, it has, just like all materials. The limitations include the colour of the material, but this can easily be overcome in full-arch restorations (as we use it as the framework) and together with other materials in veneers (ceramic, acrylic or composite).
What are the three main learning objectives for the viewers of your webinar? After the lecture, the viewers should be able to understand how to maintain excellence in the long term for the All-on-4 MALO CLINIC protocol for implant-supported rehabilitations, to identify the threats to the short-term and long-term success of All-on-4 rehabilitations and to recognise the potential impact of a PEEK framework on the successful outcome of All-on-4 rehabilitations.
Final post-treatment orthopantomography. (Image: Miguel Nobre)
IOANNINA, Greece: Numerous finishing techniques are available for zirconia-based screw-retained implant-supported prostheses; however, most of them are ...
In a free upcoming Straumann Group webinar on Monday, 2 December, host Dr Abid Faqir is tackling the subject of immediate implant placement. He has a broad ...
MADRID, Spain: In front of an enthusiastic audience on the opening morning of the annual European Association for Osseointegration congress, Invibio hosted ...
BERLIN, Germany: The number of implants placed is constantly increasing, and so are the possibilities of different prosthetic solutions. Researchers from ...
NEW YORK, U.S.: Modern endodontics is a branch of restorative dentistry and according to some professionals, its goal is not only the prevention or ...
NEW YORK, U.S.: For several years, Prof. Paul Tipton has been a pioneer in evaluating modern superstructure materials. In an upcoming free Dental Tribune ...
The aim of the study was to assess the clinical performance of implant-supported mandibular complete fixed prostheses with conometric retention after 3 ...
AMSTERDAM, Netherlands: EuroPerio9 is the place to be for the latest news about periodontal health and its impact on overall health. On Wednesday June 20, ...
LOS ANGELES, U.S.: With the 33rd annual meeting of the Academy of Osseointegration (AO) taking place in Los Angeles, attendees are eagerly awaiting the ...
Achieving success with modern dental ceramics depends on a number of factors, among them the physical properties of the materials and the fabrication and ...
Education
Live webinar Wed. 29 April 2026 7:00 pm EST (New York)
Root canal anatomy with all of its inherent complexity still represents a very serious challenge to modern root canal therapy. Even with many breakthroughs ...
SCHAAN, Liechtenstein: On 14 April, media representatives gathered for the first Ivoclar Media Connect event at the new Ivoclar Campus at the company’s ...
BALTIMORE, US: Growing evidence suggests that the oral microbiome may influence the development of cancers beyond the oral cavity. In a recent preclinical ...
To post a reply please login or register