The aesthetics are always a significant challenge during implant restoration, especially in the aesthetic zone, in addition to the full consideration required regarding function. In this article, we present a case of multiple tooth fractures due to trauma. After tooth extraction, immediate implantation and guided bone regeneration (GBR) were performed. During the prosthetic procedure, the design and transfer of the emergence profile of the soft tissue, functional design and occlusal adjustment, as well as the CAD/CAM process, were satisfactorily realised to achieve the aesthetic and functional goals.
Case report
Dental history
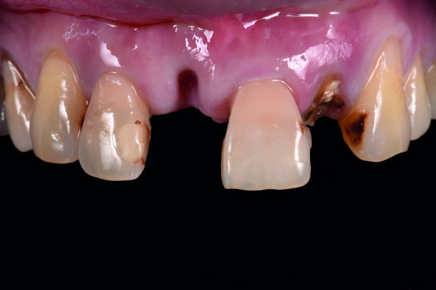
A 40-year-old female patient had sustained trauma to her anterior teeth caused by accidental syncope three weeks before. The clinical examination found that tooth #11 had been luxated; the crowns of teeth #12 and 21 had fractured, with the residual margin extending 3–5 mm below the gingiva and the teeth affected by Grade III mobility; and the crown of tooth #22 had fractured, with the residual margin at gingival level. There were no obvious abnormalities in the remaining teeth (Figs. 1–4). After excluding major systemic diseases, it was decided that she required fixed implant restoration with high demands regarding aesthetics and function.
Fig. 1: Pre-op frontal view of the anterior teeth.
Fig. 2: Pre-op occlusal view of the anterior teeth.
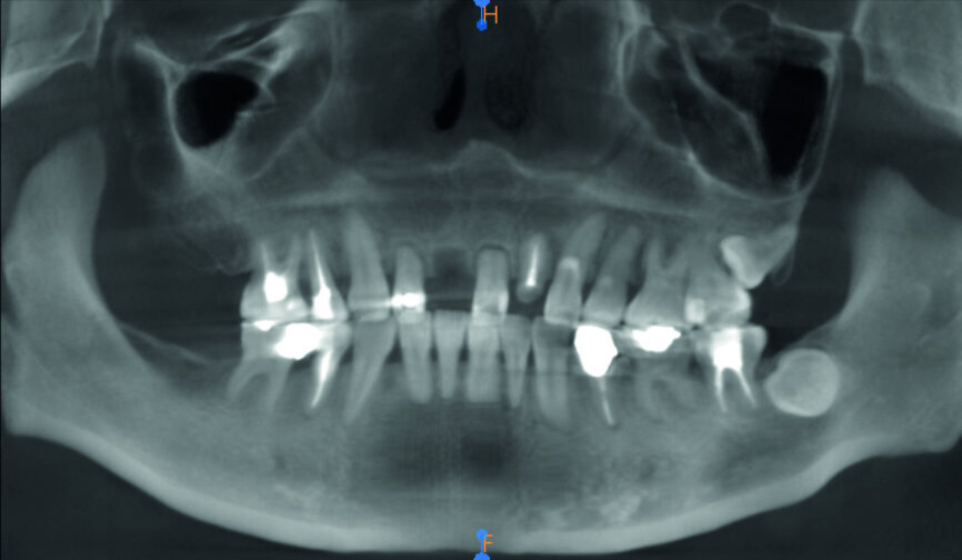
Fig. 3: Pre-op panoramic radiograph.
Fig. 4: Pre-op CT analysis.
Fig. 5: Frontal view of the anterior teeth immediately post-op.
Fig. 6: Occlusal view of the anterior teeth immediately post-op.
Fig. 7: Frontal view of the anterior teeth three months post-op.
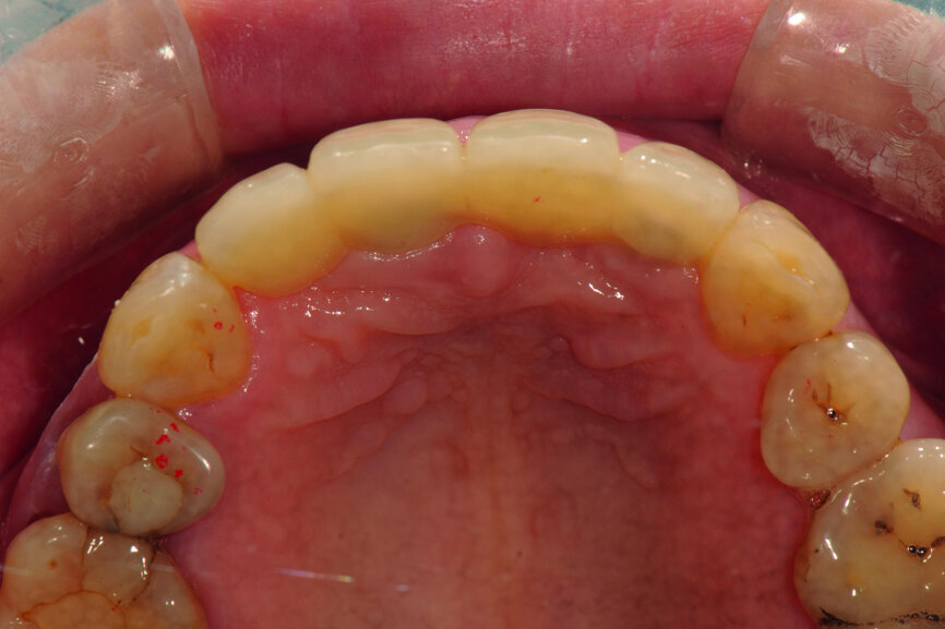
Fig. 8: Occlusal view of the anterior teeth three months post-op.
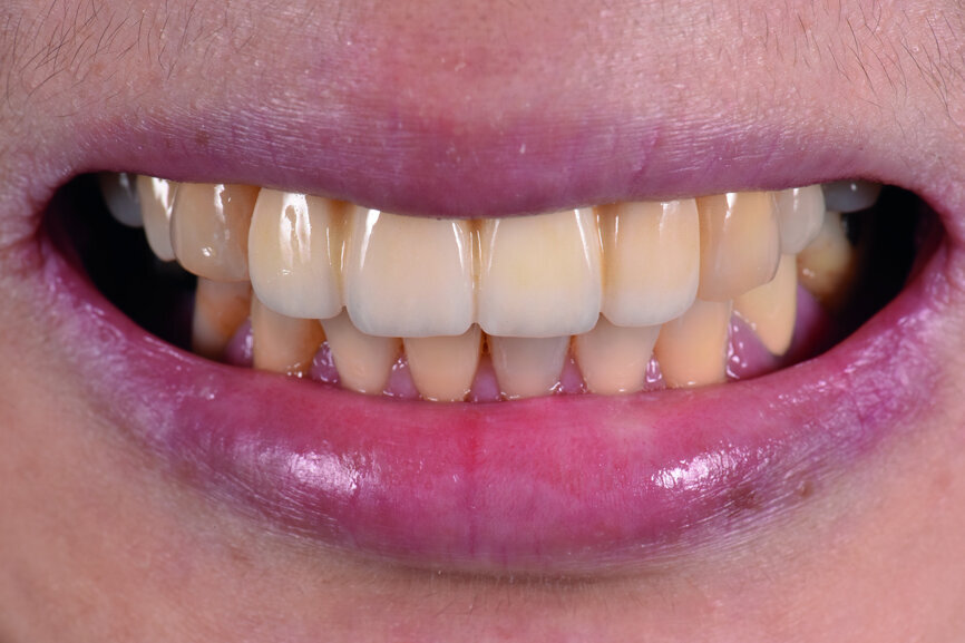
Fig. 9: Patient smiling three months post-op.
Fig. 10: The overjet and overbite between the implants and the mandibular anterior teeth.
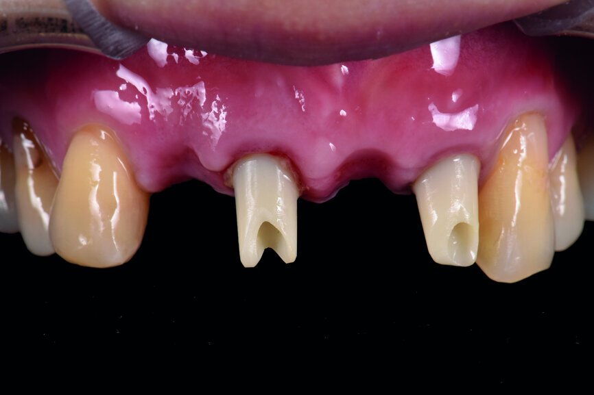
Fig. 11: The emergence profile three months post-op.
Fig. 12: Two impression copings connected for the implant level impression.
Fig. 13: Reshaping of the artificial gingival contour on the model in order to obtain a good gingival aesthetic effect (performed by dental technician Samuel Chou).
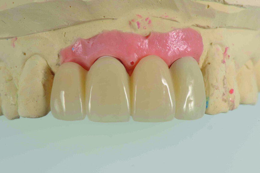
Fig. 14: Provisional restoration on the model.
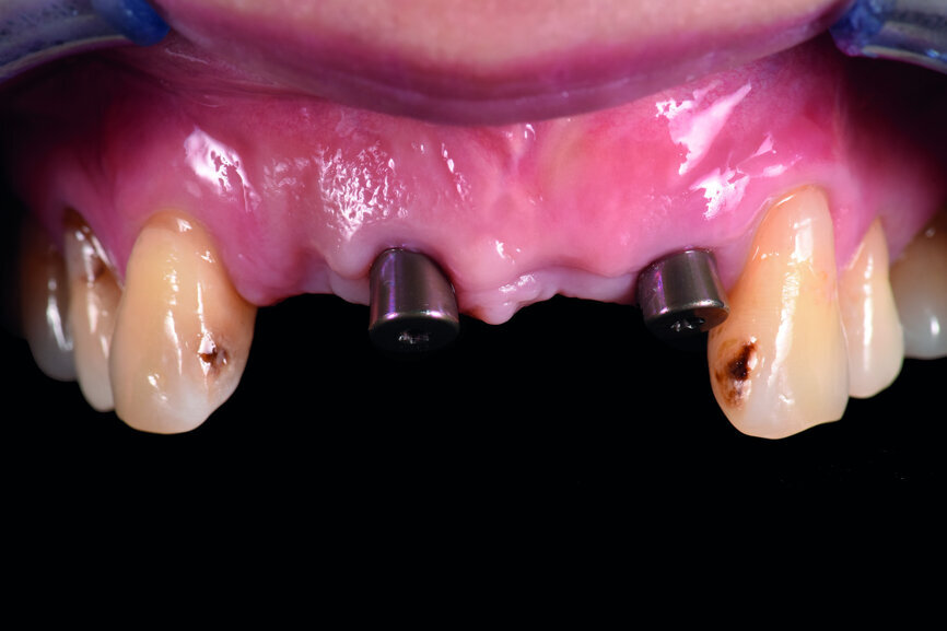
Fig. 15: Insertion of provisional abutments.
Fig. 16: Modification of the gingival contour under the pontic.
Fig. 17: Finishing of the reshaping of the gingiva.
Fig. 18: Frontal view of the provisional restoration just after delivery.
Fig. 19: The patient smiling with the provisional restoration in situ.
Fig. 20: The patient smiling
after adjustment of the labial contour of tooth #13.
Fig. 21: Frontal view of the anterior teeth after adjustment of the labial contour of tooth #13.
Fig. 22: ICP contact on tooth #13 after reshaping of the lingual surface with resin (12 μm occluding paper, red).
Fig. 23: Lateral guidance on tooth #13 after reshaping of the lingual surface with resin (12 μm occluding paper, red).
Fig. 24: Facebow transfer of the provisional restoration.
Fig. 25: Mounting of the provisional restoration.
Fig. 26: Mounting of the mandibular model according to ICP bite registration.
Fig. 27: According to the anterior guidance of the provisional restoration, the individual incisal guide table was set.
Fig. 28: Emergence profile after shaping by the provisional restoration.
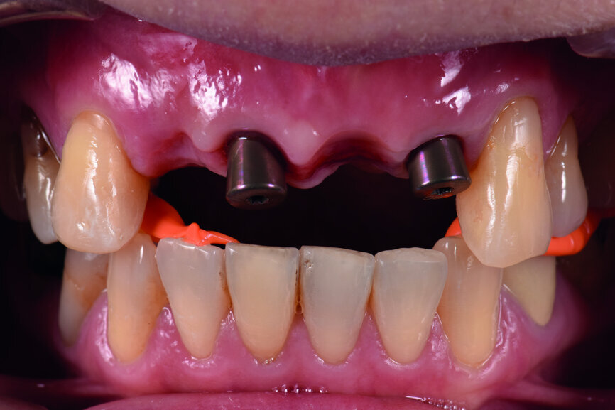
Fig. 29: Individual impression coping.
Fig. 30: Implant level impression.
Fig. 31: Insertion of 5 mm healing abutments to obtain sufficient retention for the bite registration material. The same posterior ICP bite registration was used as for the provisional restoration in order to ensure the ICP was stable.
Fig. 32: ICP bite registration on the healing abutments.
Fig. 33: Cross-mounting of the maxillary cast model.
Fig. 34: Step-by-step model scanning.
Fig. 35: The provisional digital model was matched with the cast digital model.
Fig. 36: The incisal guide table was set
in the virtual articulator.
Fig. 37: Design of the abutment.
Fig. 38: Design of the bridge.
Fig. 39: Manufacture of the restoration with multilayer zirconia.
Fig. 40: Final restoration (performed by dental technician Chunyu Duan).
Fig. 41: The zirconia bridge without any ceramic veneer.
Fig. 42: The titanium-based zirconia abutment.
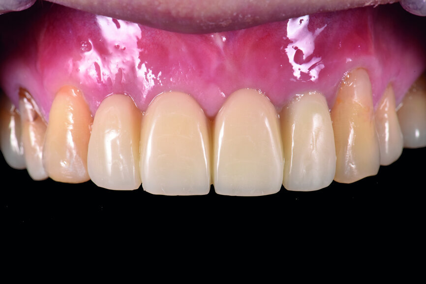
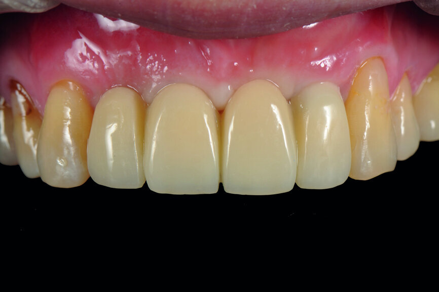
Fig. 43: Frontal view of the anterior teeth just after delivery.
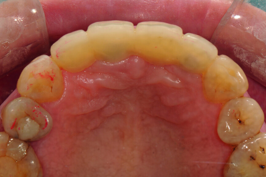
Fig. 44: ICP occlusal contact (12 μm occluding paper, red).
Fig. 45: Protrusive contact just after delivery; only tooth #11 achieved contact (12 μm occluding paper, black).
Fig. 46: After occlusal adjustment, the protrusive contact was even on the restoration (12 μm occluding paper, black).
Fig. 47: Protrusion just after delivery.
Fig. 48: Frontal view of the anterior teeth after two weeks.
Fig. 49: Patient smiling two weeks after delivery of the final restoration.
Fig. 50: CT analysis post-op.
Treatment procedure
Teeth #12, 21 and 22 were extracted. Tooth #11 underwent early implantation and tooth #22 immediate implantation with GBR (Figs. 5 & 6). After three months of healing, osseointegration had taken place. An implant level impression was taken for fabricating a provisional bridge supported by temporary abutments for teeth #12–22. The technician modified the shape of the artificial gingiva on the model in order to form the proper gingival curve and emergence profile, then finished the provisional bridge, while the dentist modified the gingival shape using an olive-shaped bur intraorally (Figs. 7–18).
The aesthetic and functional outcomes of the provisional restoration were checked. The tip of tooth #13 was too low to achieve a good smile line. When checking the intercuspal position (ICP) and lateral excursion using 80 μm occluding paper, tooth #13 was found to be out of contact. After reshaping the labial contour and filling the lingual surface with resin, tooth #13 had good contact and guidance during ICP and lateral excursion (Figs. 19–23).
Once the aesthetic and functional outcomes had been confirmed, the anterior guidance of the provisional restoration was recorded on an articulator (Artex, Amann Girrbach) and its individual incisal guide table (Figs. 24–27). Next, the emergence profile of the provisional restoration was transferred and the cast model was made and mounted on the articulator (Figs. 28–33).
The cast model was scanned step by step to obtain a digital model and this was integrated with a virtual articulator. The anterior guidance of the virtual articulator was set according to the data from the provisional restoration. Next, the design was completed on computer and the titanium-based zirconia abutment and fixed zirconia bridge produced via CAM. After staining and glazing, the final restoration was completed (Figs. 34–41). The final restoration demonstrated a good outcome, both aesthetically and functionally (Figs. 42–50).
Discussion
This patient came to the clinic just after the trauma, and according to the intraoral condition, immediate implantation could have been carried out. However, owing to the unexplained accidental syncope, diseases of the central neural system were to be excluded first, so delayed dental treatment was suggested.
Three weeks later, after a general physical check-up, implantation was begun. Usually, operation within 48 hours after tooth extraction is considered as immediate implantation, while operation within the first six weeks after tooth extraction is considered as early implantation. Therefore, in this case, implant #11 was early implantation and implant #22 immediate implantation. The preoperative CT analysis showed that the labial side of the alveolar ridge of teeth #12, 11 and 22 was deficient; thus, GBR was needed in order to obtain sufficient bone quantity.
After three months of healing, both hard and soft tissue around the implants had been well maintained, providing a sufficient foundation for the maxillary restoration. In order to form a good gingival shape, either the provisional restoration can be adjusted step by step or the shape of the soft tissue can be designed first, the provisional restoration manufactured to meet the aesthetic demand directly, then the soft tissue intraorally adjusted and reshaped.
In this case, we followed the second option. After using an olive-shaped bur to adjust the form of the gingiva under the pontic, making it match the provisional restoration, which had already been well designed and manufactured, a perfect soft-tissue outcome was achieved.
By means of regular methods to transfer the emergence profile, it was copied to the final restoration, which is the foundation for the good soft-tissue effect of the final prosthesis.
It was also very important to obtain the proper anterior guidance during the maxillary incisal implant restoration procedure. We carried out the adjustment of the anterior guidance during the provisional restoration procedure. Once the patient had adapted, we set the individual incisal guide table according to the provisional restoration, cross-mounted the cast model with the provisional restoration model and used the same data to form the anterior guidance of the final restoration.
When manufacturing the final restoration, a CAD/CAM system was used. Digital models, ICP relationship and data on anterior guidance were integrated into the virtual articulation system. In the process of CAD, the precise design of both aesthetic and functional aspects could be realised.
In this case, a titanium-based zirconia abutment and zirconia bridge were used. The zirconia material used on the titanium base was a special zirconia with extremely high strength, which can guarantee excellent strength and durability of the restoration even if very thinly applied. The zirconia material used for the bridge restoration was a kind of CAD/CAM zirconia with a high translucency and 3-D multilayer colour. Without any ceramic veneer, only with a little staining and glazing, an excellent colour and translucent effect can be achieved.
This was a difficult implant-supported aesthetic restoration case. With the great efforts of the surgeons, prosthodontists and technicians, a satisfactory result was achieved.
The surgeons in this case were Drs Feng Liu and Miaozhen Wang and the prosthodontists were Drs Feng Liu and Xiaorui Shi. The restoration was completed by dental technicians Samuel Chou and Chunyu Duan.
Editorial note: A list of references is available from the publisher. This article was published in CAD/CAM - international magazine of digital dentistry No. 02/2018.
No-preparation ultrathin veneer is one of the most minimally invasive restorations. Its thickness ranges from 0.3 to 0.5 mm. In the right circumstances ...
The E4D in-office CAD/CAM unit (Editorial note: Planmeca E4D Technologies) has been employed in an investigative laboratory study to design and mill an ...
Implant-supported single-tooth crowns in the aesthetic zone are a special challenge, particularly when immediate implantation is planned—if there is ...
Although CAD/CAM technology is not new to our profession, its widespread use is increasingly becoming the norm rather than the exception among dental ...
Dr. Gary Hack is an associate professor at the University of Maryland School of Dentistry, where he teaches in the Department of Advanced Oral Sciences and ...
A graduate of Paris Descartes University (now the University of Paris), Dr Léon Pariente currently runs a private practice in the French capital that ...
Dental crowns have been used for decades to restore compromised, heavily restored teeth, and for aesthetic improvements. New Computer Aided Design/Computer ...
Today’s computer-aided design and manufacture (CAD/CAM) technologies contribute greatly to restorative dentistry and provide clinicians with advanced ...
Despite the increasing popularity of the current CAD/CAM laboratory systems and continuing technical advances, some clinicians have remained reluctant to ...
The concept of digital dentistry is one that started out small and has progressively increased in momentum until its boundaries appear to have become ...
Live webinar
Wed. 20 May 2026
7:00 am EST (New York)
Dr. Graham Carmichael BDSc (Hons), DClinDent (Pros), FRACDS, Dr. Robert Gottlander DDS
Live webinar
Wed. 20 May 2026
9:00 am EST (New York)
Live webinar
Wed. 20 May 2026
11:00 am EST (New York)
Live webinar
Wed. 20 May 2026
1:00 pm EST (New York)
Prof. Dr. med. dent. Tim Joda PhD, MSc, eMBA
Live webinar
Thu. 21 May 2026
12:00 pm EST (New York)
Dr. Leonardo Muniz DDS, MSC
Live webinar
Fri. 22 May 2026
10:00 am EST (New York)
Dr. Paweł Aleksandrowicz PhD
Live webinar
Fri. 22 May 2026
11:00 am EST (New York)
To post a reply please login or register