Multidisciplinary treatments often represent a challenge for the dental team. In many cases, clear aligners could improve treatment planning and outcome. (Image: Ladanifer/Shutterstock)
The evolution of clear aligner therapy has transformed the way we connect and communicate with our patients. As clinicians, it has also redefined our ability to diagnose and plan treatment for our patients’ wants and needs.
Fig. 1: Visual representation of the AORTA principles, demonstrating the hierarchy of importance of each factor involved in aesthetic orthodontic principles when undertaking a smile transformation.
We are all aware that the age of connectivity and social media means that our patients’ wants have gravitated around aesthetics. The digital workflow of clear aligners has enabled technology to arm the modern clinician with the ability to automate visual differential treatment plans. This allows the visual collaboration of orthodontic, facial aesthetic and prosthodontic principles. Importantly, this visual and accurate simulation provides patient interaction with and connection to the treatment plan. It empowers the patient to try the treatment before committing and to establish an emotional connection to what he or she wants.
The principles that I apply are the AORTA (Aesthetic Orthodontic and Restorative Training Academy) principles, amalgamating prosthodontic, aesthetic orthodontic and facial aesthetic principles to establish functional and aesthetic solutions with minimally invasive dentistry and/ or surgery (Fig. 1). The principles can be grouped into:
extra-oral considerations;
peri-oral considerations; and
dentition considerations.
This article demonstrates the application of these principles in clear aligner treatment for cases of gummy smile and buccal corridor asymmetries and cases requiring restorative augmentation. The cases are drawn from the AORTA Clinical Handbook written by me and Dr George Abdelmalek and the AORTA online continuing professional development course (www.aortaaustralia.com) presented by me and Dr Abdelmalek.
Gummy smile
The clinician needs to evaluate whether gummy smile situations can be managed with a minimally invasive approach using clear aligners for intrusion and/or other minimally invasive modalities, such as tooth augmentation, gingivectomy, facial injectables, lip fillers and dermal fillers, or whether we should approach treatment invasively with a conventional surgical intervention by orthognathic surgery to correct vertical and/or transverse discrepancies based on skeletal discrepancies in conjunction with clear aligner therapy. The preferred approach is becoming clear. Digitising the diagnostic process and using minimal intervention is the preferred approach. It is not only in the sphere of orthodontic principles that we must look for the solution: we must also look at means of camouflage and/or use multidisciplinary modalities like facial aesthetic enhancers and/or prosthodontic principles. Gone are the days of the choice of orthognathic surgery and conventional orthodontics or nothing!
Based on the AORTA simple, advanced, complex (SAC) protocols of predictable movement, a gummy smile can be improved by 3 mm intrusion of the maxillary anterior teeth. The principle here is that the gingival height will follow the intrusion of the teeth in relation to the enamel exposed supragingivally. It is then up to the clinician to decide how to augment this gummy smile reduction from an orthodontic beginning by gingivectomy, lip fillers and injectables in the upper lip facial muscles rather than conventional or orthognathic surgery modalities.
Case 1
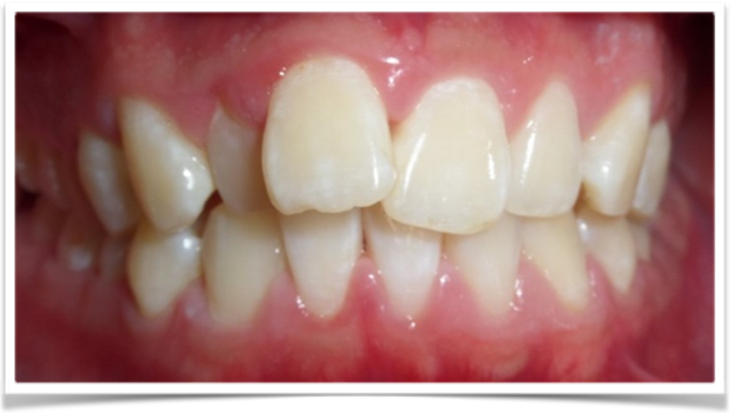
This patient desired improvement of her smile aesthetics with minimal restorative involvement (Figs. 2–4). She presented with significant excess gingival display in the maxilla, producing a gummy smile from tooth #15 to tooth #25 of about 5 mm. The patient also had a maxillary midline towards the left side and a thin upper lip. The patient had a dental Class II/I relationship on the left side and healthy gingival tissue of a medium-thickness biotype with no signs of local or general gingivitis or periodontitis. There were also no signs of any restorations or risk of or active dental caries.
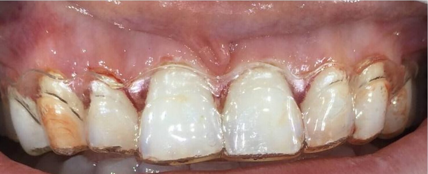
After six months of weekly changeover of aligners (25 out of 33 aligners in the maxillary arch and 25 out of 25 aligners in the mandibular arch and no refinement) and achieving adequate intrusion of the six maxillary anterior teeth, the pre-restorative segment of the treatment was complete (Figs. 5 & 6). The next phase was a digitally planned soft-tissue recontouring of the labial tissue of the six maxillary anterior teeth. For this purpose, a digital surgical guide was made by our laboratory at AORTA using our PRO 4K printer (Asiga; Figs. 7–10). This was followed by in-chair tooth whitening and then composite augmentation of the incisal edges of teeth #13–23 (Figs. 11 & 12). The patient was then placed into retention with Zendura FLX thermoplastic retainers (Bay Materials) based on resin 3D-printed models produced by our PRO 4K printer, providing accuracy and superior fit as observed by the patient. The retainers and models were all made by our dental laboratory at AORTA.
Fig. 2: Patient’s facial photograph to be considered in the treatment plan. (All images: Dr John Hagiliassis)
Fig. 3: Close-up view of the patient’s smile.
Fig. 4: Orthodontic digital simulation using Invisalign software to show the pretreatment position (blue) and the predicted result after treatment (white).
Fig. 5: Patient’s facial photograph after aligner treatment.
Fig. 6: Close-up view of the patient’s smile after aligner treatment.
Fig. 7: Digital planning of soft-tissue recontouring done in-house at the AORTA dental laboratory.
Fig. 8: Close-up view of the surgical guide created using 3D planning, the PRO 4K printer and Zendura thermoplastics.
Fig. 9: Patient’s facial photograph after soft-tissue recontouring.
Fig. 10: Close-up view of the patient’s smile after soft-tissue recontouring.
Fig. 11: Patient’s facial photograph after soft-tissue recontouring, direct restoration and whitening.
Fig. 12: Close-up view after soft-tissue recontouring, direct restoration and whitening.
Case 2
This 14-year-old patient too desired improvement of her smile aesthetics with minimal restorative involvement. She did not want fixed orthodontics. She presented with significant excess gingival display in the maxilla, producing a gummy smile from tooth #14 to tooth #24 of about 3 mm. The patient also had a maxillary midline coinciding with her facial midline and a thin upper lip. The patient had a dental Class I relationship bilaterally with an overjet of 4 mm and overbite of 80% (Figs. 13–15). This patient presented with healthy gingival tissue of a medium-thickness biotype with no signs of local or general gingivitis and/or periodontitis. There were also no signs of any restorations or risk of or active dental caries.
After 18 months of fortnightly (39 maxillary and mandibular aligners) and then weekly changeovers of two refinement aligners, the result was achieved by masking the gummy smile, broadening the smile and balancing the buccal corridors. The patient was placed into retention phase with clear thermoplastic retainers made by our laboratory using the PRO 4K.
The overjet was reduced to 1.5 mm and the overbite finished at 30%. There was no need for any restorative or soft-tissue augmentation. Anterior maxillary intrusion of 1.5–2.9 mm was achieved, reducing the gummy smile from tooth #13 to tooth #23 (Figs. 16 & 17).
Fig. 13: Patient’s facial photograph to be considered in the treatment plan.
Fig. 14: Close-up view of the patient’s smile.
Fig. 15: Orthodontic digital simulation using Invisalign software to show the pre-treatment position (blue) and the predicted result after treatment (white).
Fig. 16: Patient’s facial photograph after aligner treatment.
Fig. 17: Close-up view of the patient’s smile after aligner treatment.
Buccal corridors
In this section, we will explore how clear aligners can balance facial aesthetic asymmetry. The AORTA principles encourage clinicians to establish extra-oral, peri-oral and dental parameters. When evaluating the patient’s buccal corridors, the clinician needs to assess the patient’s extra-oral vertical fifths and establish the patient’s facial midline (glabella and/or Cupid’s bow). Establishing these refence points helps the clinician to identify buccal corridor asymmetries from the perspective of facial aesthetic balance.
Clear aligners can provide non-surgical alternatives and non-parabolic arch expansion to reduce the buccal corridors’ negative space and improve facial balance. Based on the AORTA SAC protocols of predictable movement, buccal corridors could be improved by 2–4 mm labial translation of the maxillary posterior teeth. The principle here is to optimise facial aesthetic balance, not symmetry, and use clear aligners to expand the arch non-parabolically.
Case 1
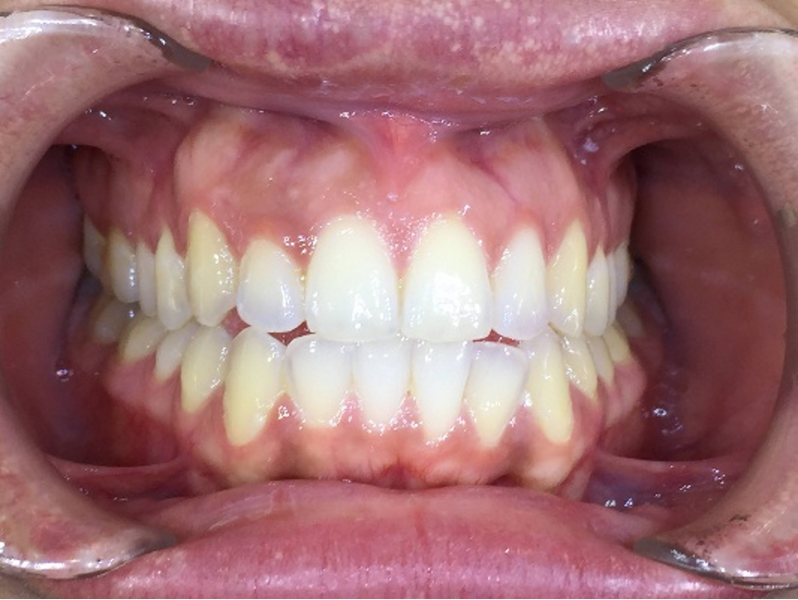
The patient presented wanting to enhance his smile. He had undergone fixed orthodontic treatment as a child, for which tooth #31 had been extracted. He had an inverted smile line, a wider buccal corridor on the right and wider maxillary vertical fifths on the left. The treatment objective was to align his smile as well as use the clear aligner software to broaden the non-parabolic arches to balance the asymmetrical buccal corridors and ensure that the smile line was parallel with the interpupillary line (Figs. 18–22).
The key is to assess the smile line and choose a reference tooth according to which the other teeth in the smile line are moved to balance the facial aesthetic objectives. In this case, tooth #21 was the reference tooth according to which the other teeth were extruded to correct the inverted smile line. The treatment was completed within 13 months, including in-chair tooth whitening, and the patient has been in retention for five years (Figs. 23 & 24).
Fig. 18: Patient’s facial photograph to be considered in the treatment plan.
Fig. 19: Close-up view of the patient’s smile.
Fig. 20: Using AORTA’s simple, advanced, complex protocols to demonstrate the treatment goals.
Fig. 21: Patient’s facial photograph.
Fig. 22: Orthodontic digital simulation using Invisalign software to show the pre-treatment position (blue) and the predicted result after treatment (white).
Fig. 23: Patient’s facial photograph after aligner treatment.
Fig. 24: Close-up view of the patient’s smile after aligner treatment.
Case 2
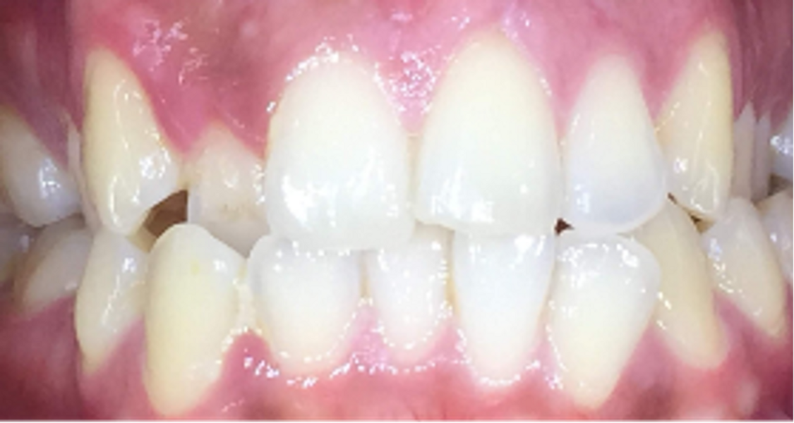
The patient presented with the goal of enhancing her smile. She had a narrow smile, bilateral posterior crossbite and an anterior crossbite with tooth #12. From the extra-oral perspective, the patient was also wider on the right vertical fifth (Figs. 25–28). The treatment objective was to correct the anterior crossbite and posterior crossbite and to simultaneously correct the asymmetrical buccal corridors by further broadening the arch on the right more than the left. Once the alignment had been completed, the case was finished with in-chair tooth whitening and composite augmentation of teeth #12 and 22 (Figs. 29–31).
Fig. 25: Patient’s facial photograph to be considered in the treatment plan.
Fig. 26: Close-up view of the patient’s smile.
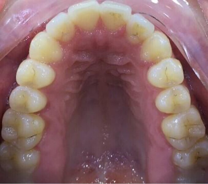
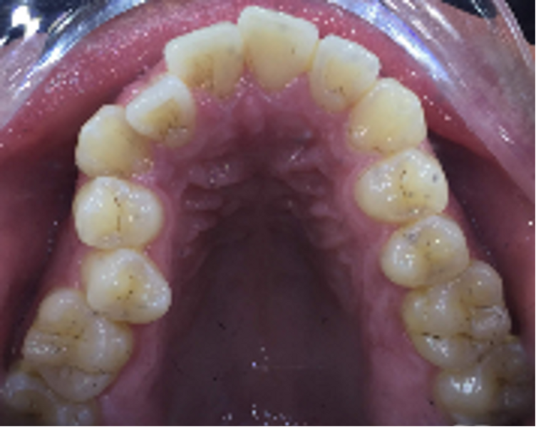
Fig. 27: Occlusal view of the maxillary arch.
Fig. 28: Orthodontic digital simulation using Invisalign software to show the pre-treatment position (blue) and the predicted result after treatment (white).
Fig. 29: Patient’s facial photograph after aligner treatment.
Fig. 30: Close-up view of the patient’s smile after aligner treatment.
Fig. 31: Occlusal view of the maxillary arch after aligner treatment.
In this third section, we will explore how clear aligner simulations with Virtual Interdisciplinary Smile Simulation (VISS) can be digitally enhanced to demonstrate restorative augmentation after orthodontic treatment. This digital diagnostic and treatment planning service from AORTA digital laboratory has evolved since 2018 and is able to create a digital simulation of treatment with any aligner system, as well as of any direct or indirect restorative treatment or soft-tissue augmentation.
This concept of a virtual smile simulator evolved from the notion of seeking to create patients’ emotional connection to treatment through the clear aligner software. Its purpose is better smile creation by digitising the diagnosis, treatment planning and patient engagement process. This software enables the clinician to better diagnose and plan treatment using aesthetic orthodontic, prosthodontic and facial aesthetic principles from an extra-oral, perioral and dentition perspective.
When evaluating the STL files after clear aligner simulation of any aligner system, the clinician can assess whether there are hard- or soft-tissue augmentation options. From the soft-tissue perspective, if there is asymmetry of the zenith heights of the anterior gingival tissue or a need to lengthen tooth dimensions, this can be digitally simulated. The tooth perspective of the post treatment STL file can digitally simulate direct or indirect restorations to optimise the golden proportions regarding tooth length–width ratio. This can provide choices for both the clinician and the patient. This digital workflow can also provide superior informed choice pre- and post-treatment with clear aligners by simulating a restorative-only solution for comparison with the clear aligner simulation.
Now more than ever, when a patient is seen wanting a smile makeover involving veneers to straighten and whiten his or her teeth, the clinician can provide better digital visual and transparent treatment plan options. This can demonstrate what the consequences would be for restoration with veneers compared with a clear aligner solution with minor augmentation of embrasures with direct restorative solutions. The clinician can evaluate how much tooth preparation is required and provide more information on the risks of tooth preparation of misaligned teeth versus clear aligner treatment followed by tooth restoration with either direct or indirect restorations.
The following cases will demonstrate the revolutionary power and choice given to both the patient and the clinician by VISS to engage transparently and collaboratively for successful treatment outcomes. This enables the patient and the clinician to establish a clear emotional connection to the patient’s wants and needs.
Case 1
This first case was a female patient in her twenties wanting to improve her smile. She had a traumatic anterior crossbite with dentinal and enamel fractures on teeth #11, 21, 31 and 41. She had received a plan elsewhere for veneers as her only option. I decided to use the clear aligner software to demonstrate what was possible and then demonstrate her restorative options using VISS. Furthermore, to be transparent with the patient, we decided to simulate the restorative solution before aligner treatment to assist and educate the patient on what it would look and feel like.
This powerful visualisation tool (Figs. 32–34) creates the best-informed consent for the patient and protects the clinician by demonstrating the true differences and consequences of both scenarios and risks. The patient can see the difference in tooth preparation required and therefore the consequences and risk associated with it. This approach trumps any verbal consent or generic brochure available.
The patient, based on the VISS simulation, decided to undergo Invisalign treatment, which lasted for ten months. Her choice of direct or indirect restoration was then rediscussed, and we decided on Philips in-chair whitening and IPS e.max veneers (Ivoclar) on the six maxillary anterior teeth and the mandibular central incisors (Figs. 35–37).
Fig. 32: Patient’s facial photograph to be considered in the treatment plan, alongside a close-up view of the patient’s smile.
Fig. 33: Patient’s facial photograph to be considered in the treatment plan, alongside the Invisalign software simulation.
Figs. 34a–e: Simulated VISS images showing the situation pre-treatment (a & d), post-treatment (c & e) and after restorative treatment (purple).
Fig. 35: Patient’s facial photograph after clear aligner treatment, alongside a close-up view of the patient’s smile.
Figs. 36a–e: Simulated VISS images showing the situation pre-treatment (a), post-treatment (b & e) and after restorative treatment (purple; c & d).
Fig. 37: Patient’s facial photograph after restoration and tooth whitening, alongside a close-up view of the patient’s smile.
Case 2
The second case using VISS demonstrates the power of visualisation of a restorative solution, clear aligner solution or both. This technique predictably engages the patient to realise that it is not necessarily a decision of one or the other but both. The patient desired veneers and presented with an anterior crossbite of teeth #11 and 21, narrow teeth #12 and 22 in relation to teeth #11 and 21, asymmetrical buccal corridors and a gummy smile tendency (Figs. 38–41).
In collaboration with the clear aligner software and VISS, we provided the patient with choice and collaboration for both a restorative and orthodontic solution. We began with clear aligners first to balance the buccal corridors, creating space equally and symmetrically around teeth #12 and 22. This treatment was orthodontically established within ten months. VISS was then engaged to facilitate soft-tissue recontouring and a restorative solution on teeth #12 and 22 only versus soft-tissue recontouring and a restorative solution for the eight maxillary anterior teeth (Figs. 42 & 43). The patient proceeded with optimal tooth colour and shape via IPS e.max veneers on the eight maxillary anterior teeth after alignment and soft-tissue recontouring of the maxillary anterior teeth (Figs. 44–46).
Figs. 38a & b: Patient’s smile (a) before and (b) after aligner treatment.
Figs. 39a & b: Patient’s smile (a) after aligner treatment and (b) after veneers and soft-tissue recontouring.
Figs. 40a & b: Patient’s smile (a) prior to any treatment compared with (b) after clear aligner treatment, veneers and soft-tissue recontouring.
Fig. 41: Patient’s facial photograph pre-treatment during the consultation phase, alongside a close-up view of the patient’s smile.
Fig. 42: Patient’s facial photograph before aligner treatment, alongside the Invisalign software simulation.
Fig. 43: Patient’s facial photograph and close-up view of the patient’s smile after clear aligner treatment had commenced, but prior to soft-tissue recontouring and veneers.
Fig. 44: Demonstrating the VISS protocols by showing the patient simulated soft-tissue recontouring of the eight maxillary anterior teeth to present to the patient as a treatment option.
Fig. 45: A second option presented to the patient showing soft-tissue recontouring of the two maxillary lateral incisors for comparison.
Fig. 46: The result after veneers, soft-tissue recontouring and whitening.
Case 3
The final case was a patient in her late teens wanting to improve her smile. Owing to social media exposure, she wanted veneers, but was apprehensive of the risks. VISS enables optimal informed consent based on demonstration of what a veneer option can achieve and how versus a clear aligner solution with direct restoration enhancement. The patient chose what made her feel comfortable by visualising the risks without pressure or bias. She could make a self-assessed decision based on how both options made her feel and rationalise the result (Figs. 47–49).
Fig. 47: Patient’s photograph to be considered in the treatment plan, alongside close-up photographs of the patient’s smile from different views.
Fig. 48: Simulated VISS images showing the situation pretreatment and post-treatment with six veneers superimposed (purple) and the final result.
Fig. 49: Simulated VISS images showing the situation pretreatment, after aligner treatment and after direct restoration too (purple).
Fig. 50: The result after veneers, soft-tissue recontouring and whitening.
As the clinician, I achieved ideal informed consent, as both options were viable, predictable and acceptable. My responsibility was to present the visual aids with the risks, pros and cons to allow the patient to determine the path best for her. We proceeded with six months of Invisalign to align and improve her smile. Once orthodontic treatment had been completed, we performed tooth whitening and augmented teeth #12 and 22 (Fig. 50).
Conclusion
As these cases indicate, clear aligner and digital treatment planning can provide the clinician and patient with comprehensive and minimally invasive alternatives to camouflage and address the patient’s aesthetic concerns effectively and predictably. VISS provides better smile creation by digitising the diagnosis, treatment planning and patient engagement process. It could not be done without digitising the dental practice and patient experience with intra-oral scanners and the dental laboratory, whether in-house or external, and using cutting-edge 3D printers like PRO 4K.
As a key participant at the ongoing EuroPerio11, Nobel Biocare is presenting its latest innovations aimed at advancing clinical excellence, and Dental ...
A comprehensive free webinar to feature on Dentsply Sirona Academy on 22 January will delve into the intricacies of clear aligner case selection, tooth ...
A female adult patient visited our clinic with the primary concern of the aesthetics of her maxillary anterior teeth. She was particularly dissatisfied with...
Ectopic canines are a complex condition to treat with aligners only, since it is not easy to create a reliable and stable anchorage unit for forced ...
NEW YORK, U.S.: The benefits of aligner therapy for patients are clear, but the different treatment models that manufacturers offer have already shown ...
LEIPZIG, Germany: Last year, clear aligner therapy provided dentists around the world with an attractive income stream even as patient volumes remained ...
BERLIN, Germany: Remote aligner therapy is convenient and cost-effective for patients, but is this treatment option as sound as visiting an experienced ...
In recent years, the purview of orthodontics has grown to include an increasing number of adult patients, many of whom present with complex malocclusions ...
DAMASCUS, Syria: The use of clear aligners in mild to moderate cases of malocclusion has been the subject of numerous studies, particularly as more dentists...
CHENGDU, China: Tooth root development depends on precise cell communication pathways. Researchers from China have shown how two genes, Gli2 and Gli3, work...
TOKYO, Japan: Every dental practitioner aims for smooth and efficient procedures that deliver optimal patient experiences and treatment outcomes. Kuraray ...
LONDON, England: SprintRay has announced that it will host the London stop of its Midas World Tour, an exclusive hands-on educational event showcasing ...
To post a reply please login or register