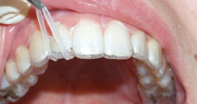
MOSCOW, Russia: One primary benefit of aligners over fixed appliances is that, because they can be removed, biofilm formed on the teeth can be more easily reached and removed by the patient. Indeed, studies have reported better results for plaque and gingival health with aligners. However, biofilm forms on irregularities such as micro-scratches, microcracks and elevations on the surface of aligners. With the ultimate aim of creating an effective and safe biofilm-destroying drug, researchers at the Peoples’ Friendship University of Russia have isolated and analysed the composition of this biofilm and the microorganisms’ ability to form biofilm and determined their morphometric and densitometric indicators.
The microorganisms most dominant on the aligners after only a day of wearing them were Bifidobacteria, yeast-like fungi of the genus Candida, Escherichia coli, Peptostreptococcus anaerobius, Porphyromonas gingivalis, Prevotella buccae, Staphylococcus aureus and Streptococcus mitis. The researchers were also able to identify the microorganisms that were the strongest producers of biofilm and thereby exert a predominant influence in the ecological community.
Because of the risk of reduced effectiveness of anti-inflammatory therapy and the development of caries and other inflammatory diseases, biofilm formation during therapy requires constant monitoring. Scientists have thus focused on the interaction between aligners and the oral microflora, especially regarding species composition and antibiotic resistance. Oral microorganisms and their properties, such as biofilm formation, adhesion and the ability to incorporate solid particles, change over time, according to location and under certain conditions. Studies cited by the researchers therefore suggested that longer-term investigations would be necessary to evaluate whether the levels and variety of microflora in the mouth associated with the use of orthodontic appliances return to pre-intervention levels.
The study, titled “Isolation of clinical microbial isolates during orthodontic aligner therapy and their ability to form biofilm”, was published in Dentistry Journal on 3 January 2023.
Tags:
BOULDER, US: After raising an astounding US$1.3 million (€1.24 million) in a seed funding round, Vitro3D will take its place as a commercial rival in ...
Clear aligners have come a long way in the past 25 years and have evolved to be incredibly pervasive and effective, thanks to enormous consumer demand and ...
LEIPZIG, Germany: Disappointing third-quarter results from SmileDirectClub (SDC) and Align Technology show that clear aligners are struggling to live up to ...
Live webinar
Thu. 14 May 2026
12:00 pm EST (New York)
Live webinar
Thu. 14 May 2026
2:00 pm EST (New York)
Prof. Hani Ounsi DDS PhD FICD
Live webinar
Tue. 19 May 2026
11:00 am EST (New York)
Live webinar
Tue. 19 May 2026
1:00 pm EST (New York)
Prof. Dr. med. dent. Ivo Krejci
Live webinar
Wed. 20 May 2026
7:00 am EST (New York)
Dr. Graham Carmichael BDSc (Hons), DClinDent (Pros), FRACDS, Dr. Robert Gottlander DDS
Live webinar
Wed. 20 May 2026
9:00 am EST (New York)
Live webinar
Wed. 20 May 2026
1:00 pm EST (New York)
Prof. Dr. med. dent. Tim Joda PhD, MSc, eMBA
To post a reply please login or register