Access cavity preparation is crucial for endodontic success, with modern trends favouring minimal designs over traditional large cavities. (Image: edwardolive/Shutterstock; clinical images: Alessando Fava)
Preparation of the access cavity represents the first operative stage of every endodontic treatment and plays a fundamental role in locating the root canal orifices, allowing proper manual scouting and correct shaping, cleaning and obturation. It involves creating an intracoronal access of well-defined shape, size and position and is paramount in determining the outcome of each subsequent step. The prognosis of an endodontic treatment largely depends on the appropriate preparation of the access cavity.1–3
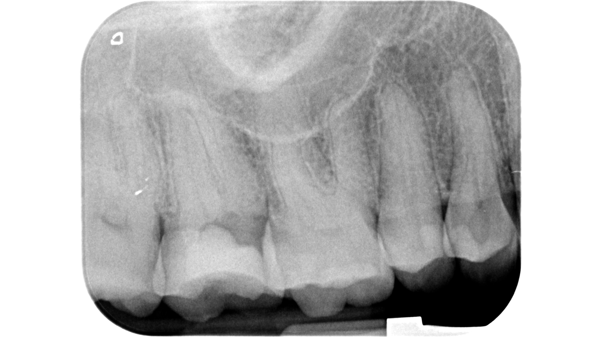
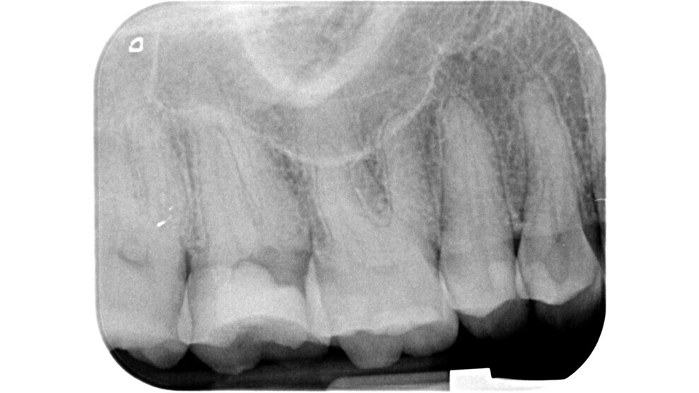
Fig. 1: Pre-op radiograph of a maxillary molar undergoing emergency treatment at another practice.
An inadequate access cavity in terms of position, depth and extension can lead to complications in the subsequent phases, making it impossible to locate the canal orifices, overstressing the mechanical nickel–titanium (NiTi) files or weakening the residual dental structure (Figs. 1–5). While, in the past, there was a tendency to emphasise the importance of a large access cavity that would allow the insertion of manual and mechanical instruments following the main axis of the canal, in recent years, the proposal of minimal access cavities defined in various ways (“ultra-conservative cavity”, “ninja cavity”, “truss access cavity”)4 has become predominant.
In the first case, the need for a larger access cavity was dictated by the fact that NiTi instruments with the well-known characteristics of super elasticity and flexibility were not yet in use for the mechanical shaping of the canals. Making the access to the canal as straight as possible would therefore have placed less stress on the instruments and created greater visibility for the operator. Nowadays, this kind of access cavity would be anachronistic, since the evolution of materials has allowed for a more conservative approach. In fact, albeit in different ways, both classic NiTi instruments (austenitic) and heat-treated ones (martensitic) are characterised by higher flexibility and resistance to cyclic fatigue and are able to tolerate different insertion axes.
Nevertheless, an ultra-conservative approach may be particularly dangerous, as it would imply reduced visibility and result in excessive stress of the shaping files. Furthermore, there would be no substantial benefits in terms of endodontic treatment outcome and dental structure preservation.4, 5 It is then safe to assert that such access cavity preparation is a practice that serves no purpose and can jeopardise the endodontic treatment outcome.
Fig. 2: Image of the access cavity prepared, showing excess removal of healthy tissue in the mesiobuccal and apical direction.
Fig. 3: Large residual pulp stone completely obstructing the palatal canal.
Fig. 4: Canal system shaped and cleaned before obturation.
The current approach is towards a conservative access cavity that can guarantee enough visibility inside the pulp chamber to carry out shaping, irrigation and obturation, the pillars of endodontics. The first step to preparing an access cavity with these characteristics is the clinical and radiographic assessment of the tooth to be treated. The clinician should carefully evaluate the following important aspects that can yield valuable information for the approach to access cavity preparation: the position and inclination of the tooth (Figs. 6 & 7), the 3D extension of the carious process if present, the quality of pre-existing restorations and the relationship to the periodontium.
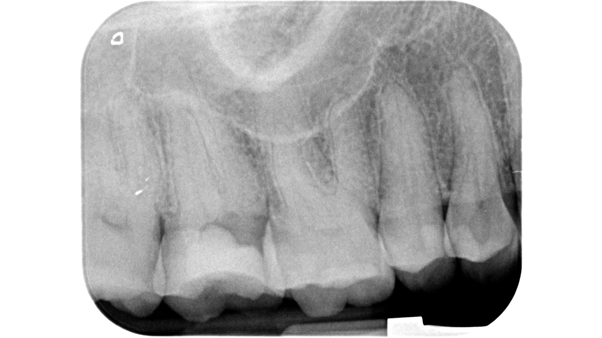
Fig. 5: One-year follow-up radiograph.
The interpretation of radiographic examinations is of considerable importance, and the parameters to be investigated are as follows:
quality of the restorations placed on the tooth and any secondary infiltration;
presence of periradicular or periapical radiolucency;
bone defects of periodontal origin;
appearance of the pulp chamber and the root canal system;
root canal anatomy;
presence and quality of previous root canal treatment;
presence or suspicion of internal or external root resorption; and
presence or suspicion of perforation or fracture.
A careful analysis of this clinical and radiographic data is of primary importance to achieve a periodontal and restorative diagnosis that could impact on the retention of the tooth. Moreover, it may significantly reduce the risk of gross errors in access cavity preparation. Before focusing on the preparation of the access cavity, the removal of carious tissue and improper restorations gives the opportunity of directly detecting sound dental structure (restorative diagnosis) and avoids contamination of the root canal system during treatment as well.6 The resulting restorative diagnosis covers the identification of cracks, fractures and secondary caries, as well as evaluation of the residual tooth substance—all factors that can influence the prognosis of the tooth.
Fig. 6: Pre-op radiograph of a mesially tilted mandibular molar with irreversible pulpitis (probable colonisation from the distal periodontal lesion).
Fig. 7: Post-op radiograph showing the correct insertion axis during the preparation of the access cavity.
Cleaning the cavity makes it possible, if necessary, to perform a pre-endodontic reconstruction in order to easily and properly obtain dental dam isolation. When possible, a definitive pre-endodontic reconstruction is preferred. The endodontic treatment will definitely be made easier and the risk of contamination reduced. The time taken for pre-endodontic reconstruction will be compensated for during the post-endodontic build-up, since the perimeter of the restoration will have already been defined (Figs. 8–12).
The operative steps of the access cavity preparation can be divided into penetration and design, orifice localisation, and finishing. The first step is strategic and preparatory to completing the subsequent ones. First of all, the cavity design must allow full visibility of the pulp chamber floor and canal orifices. An incomplete removal of the chamber roof or part of the pulp chamber tissue (e.g. pulp horns) can jeopardise the success of the treatment. The localisation step can prove very challenging, especially in calcified teeth. At that stage, diamond rotary instruments must be put aside, and the operator must rely on a series of dedicated devices. Sometimes, a further enlargement of the access cavity in the finishing step is necessary to simplify probing and shaping. Typically, the Batt bur (a round-ended tapering bur with a non-working head) is used for this purpose, but specific sonic or ultrasonic inserts can also be used. These devices are used for the removal of dentine overhangs and a straighter access to the canals. Their non-cutting tip protects the floor of the pulp chamber, while their tapered shape prevents undercut preparations.
Fig. 8: Pre-op radiograph showing severe carious processes affecting teeth #45 and 46.
Fig. 9: Isolation of the operating field and positioning of two matrices to perform both pre-endodontic reconstructions after removal of the infected tissue.
Fig. 10: Completion of the reconstructions of the missing walls.
Fig. 11: Teeth #45 and 46 shaped and cleaned, ready for obturation of the root canal system.
Fig. 12: Radiograph after definitive restoration of the mandibular right quadrant.
Several general guidelines help in the preparation of an appropriate access cavity. Those presented by Krasner and Rankow in a well-known 2004 paper have important clinical implications and help to reduce errors to a minimum.7 This publication lists nine rules:
The law of centrality emphasises the centrality of the pulp chamber to the perimeter of the crown at the level of the cemento-enamel junction (CEJ).
The law of concentricity states that the walls of the pulp chamber are always concentric to the external surface of the tooth at the level of the CEJ.
The law of the CEJ states that the CEJ is the most consistent, repeatable landmark for locating the position of the pulp chamber.
The first law of symmetry states that the canal orifices are equidistant from a line drawn in a mesiodistal direction through the pulp chamber floor (with the exception of maxillary molars).
The second law of symmetry states that the canal orifices lie on a line drawn in a mesiodistal direction across the centre of the pulp chamber floor (with the exception of maxillary molars).
The law of colour change states that the colour of the pulp chamber floor is always darker than the walls adjacent to it.
The first law of canal orifices states that the canal orifices are always located at the junction between the walls and the floor.
The second law of canal orifices states that the canal orifices are located at the angles of the floor–wall junction.
The third law of canal orifices states that the canal orifices are located at the end of the developmental root fusion lines.
Among these, some are of fundamental clinical importance. For example, in more difficult conditions, such as in the case of a prosthetically prepared tooth, where the classic reference points are lost, the knowledge of the first three laws allows us to trace an access cavity that follows the perimeter of the tooth and scout for the orifices within this area. From an embryogenic point of view, the dental crown is the projection of the development of the pulp tissue.
The law of colour change can help when approaching calcified canals, as the clinician can constantly distinguish the lighter walls of the pulp chamber from the darker floor and therefore look for the orifices in the latter area. This characteristic is persistent and constitutes a guide during the exploration of sclerotic teeth.
In order to facilitate the preparation of the access cavity and the finding of the canals, I propose three additional rules of a strictly operative nature that can optimise preparation, making it increasingly predictable and repeatable: the diamond rule, the opalescence and translucency rule and the dentinal powder rule.
The diamond rule
This refers to the use of a specific type of diamond bur for the penetration step, in particular for maxillary and mandibular molars and maxillary furcated premolars. Deutsch et al. determined morphological measurements concerning the relationship between the occlusal surface and the height and position of the roof and the floor of the pulp chamber in multi-rooted teeth.8, 9 In these teeth, the roof of the pulp chamber is located at the CEJ. In molars, the distance between the top of any cusp and the roof of the pulp chamber is approximately 6.30 mm, and in maxillary furcated premolars, it is 6.94 mm. The pulp chamber of maxillary and mandibular molars has a height of approximately 1.5–2.0 mm, and the average distance from the floor of the chamber to the furcation is approximately 3.0 mm (Table 1; Fig. 13). A more recent publication confirmed these measures employing a micro-CT analysis.10 This means that dentists can rely on plenty of data to approach each root canal therapy in a rational and predictable way.
Table 1.
It is often recommended to begin the penetration step of a molar with a round coarse diamond bur from the middle of the occlusal table or in correspondence to the most evident pulp horn in a preliminary radiographic analysis. Once the pulp horn has been located, the widening of the cavity will follow in search of the orifices. Alternatively, keeping in mind a geometric cavity design that is always the same depending on the tooth to be treated and regardless of the presence of calcifications guarantees a repeatable and safer approach. It will be guided by reference points depicted by the pulp anatomy, rather than relying on a search-and-explore technique.
Typically, each operator has preferences dictated by his or her own experience. As suggested by Berutti and Castellucci, the use of a round-ended cylindrical bur, whose design allows drawing of a geometric access based on the projection of the perimeter of the pulp chamber floor on the occlusal surface, greatly simplifies the penetration step in both single- and multi-rooted teeth.11 The bur used for this purpose has a diamond working part of 6 mm (#880-314-012, Komet Dental), which, recalling one of Deutsch et al.’s rules, must not penetrate beyond the occlusal landmark. The risk of overextending the preparation and weakening, if not perforating the floor, would become excessively high (Fig. 14). The diamond part of the bur indicates the point beyond which it is not recommended to progress in maxillary furcated premolars or in maxillary and mandibular molars. If calcifications prevent identification of the orifices, the operator must refrain from proceeding with an aggressive rotating instrument and rather shift to a gentler and sensitive device to locate the canals (e.g. sonic or ultrasonic inserts, multibladed rosehead burs).
Other reasons suggest this kind of bur as the first to be used: just like a pencil, its round end can trace a conservative and repeatable cavity design on the occlusal surface, and it can slide in the apical direction while maintaining a linear axis. These features significantly reduce the risk of carving sharp-angled grooves near the pulp chamber floor; therefore, the design will be much smoother and unnecessary loss of sound dental tissue will not occur.
Fig. 13: Locations of the measurements performed by Deutsch et al. on a micro-CT scan of a mandibular molar.8, 9 A = pulp chamber floor to furcation; B = pulp chamber roof to furcation; C = buccal cusp to furcation; D = buccal cusp to pulp chamber floor; E = buccal cusp to pulp chamber roof; F = pulp chamber height.8, 9 (Image: Elio Berutti)
In cases of pulp chamber calcifications, it can be tricky to discriminate the floor from residual calcification. Starting to probe a canal with manual or mechanical instruments before having removed all the chamber calcifications can be a hazardous approach, resulting in difficult file insertion, greater stress during shaping and dissemination of debris inside the canals that could obliterate them at different levels.
The pulp chamber floor reflects light differently to calcified tissue, providing a valuable guide to the operator. The pulp chamber floor always appears darker and more opaque compared with calcified tissue, which tends to be shiny and have a vitrified appearance (Figs. 15–20). The use of a light source together with a magnifying system greatly eases this evaluation, and it should be considered a mandatory device for anyone performing endodontic treatment.
Fig. 15: Pre-op radiograph of a mandibular molar affected by irreversible pulpitis.
Fig. 16: Intermediate phase of treatment, after pre-endodontic reconstruction, access cavity preparation and preliminary canal shaping. Note the presence of a pulp stone on the floor of the chamber with a translucent appearance.
Fig. 17: Removal of the stone using a manual excavator.
Fig. 18: Stone removed.
Fig. 19: Appearance of the pulp chamber after obturation. Note the typical opacity of the floor without any calcification.
Fig. 20: Post-op radiograph.
Because it is almost impossible to identify the aforementioned differences when irrigating solutions fill the cavity, the pulp chamber must first be dried. Next, the alternating use of various devices (used at low speed, with air syringe cooling and no water) allows the calcified residue to be detached and eliminated. Among the devices to be used, I recommend:
ceramic long-shanked round burs (K1SM, Komet Dental), which allow controlled and intuitive excavation;
EndoTracer burs (H1SML, sizes 006, 008 and 010; Komet Dental), a series of multi-purpose burs, characterised by a long, slim neck and available in two different lengths (31 and 34 mm);
dedicated sonic and ultrasonic inserts to guarantee high visibility and control; and
vanadium excavators to remove large calcifications.
Depending on size and location, one or more of these devices will be sufficient to dislodge and remove pulp stones. At this stage, it is very useful to perform repeated sodium hypochlorite irrigation, followed by careful drying to visualise the progress made and continue in an increasingly precise way.
The subsequent step, manual and mechanical scouting, could be challenging in more complex cases owing to obstruction of the orifice. A calcification that extends deeper into the canal could make probing impossible, even if the smallest instrument available is used. Obstructions confined to the orifice can be bypassed thanks to a specific endodontic tool, the 10/0.04 or 15/0.04 Micro-Opener (Dentsply Sirona). Its handle allows a firm yet sensitive grip and improved visibility compared with a classic manual file (Figs. 21–26).
Fig. 21: Pre-op radiograph of a necrotic maxillary molar exhibiting symptoms on mastication. Note the evident contraction of the pulp chamber and the root canal system.
Fig. 22: Preparation of the access cavity and identification of a layer of vitrified and shiny calcified dentine.
Fig. 23: Identification of two canal orifices inside the calcified tissue that must be removed before proceeding to the probing and shaping step.
Fig. 24: Calcified tissue that had extended for a few millimetres also inside the palatal canal and been removed using a 15/.04 Micro-Opener.
Fig. 25: Appearance of the pulp chamber after shaping and canal cleaning. Note the typical opacity of the floor without any calcification.
Fig. 26: Post-op radiograph.
The dentinal powder rule
This rule is a guide for the clinician when the orifices have not yet been found or when the obstructions extend deeper. This rule draws its foundation from the law of colour change described by Krasner and Rankow.7 The root canal system is always located in an area that appears darker than the surrounding surrounding root canal walls, allowing advancement to be guided by this chromatic distinction. By slowly grinding dentine in the apical direction (no water spray, low revolutions per minute, air syringe cooling), the correct centring will be maintained, and all of a sudden, a white dot will appear. This is dentinal powder produced by the action of the rotating instrument and accumulated in greater quantities in correspondence with the canal orifice.
The ideal device to employ to scout for the canal is once again the EndoTracer bur. The long shank allows perfect control during its use. In close proximity to the apex, both diameter and speed will have to be reduced, and it will prove necessary to pause frequently in order to check the instrument’s path.
This selective grinding of dentine can deposit white powder on the orifice in a very short time. Therefore, if the first steps have not made it possible to locate the canal, it is advisable to alternate between irrigation with sodium hypochlorite and drying and then start again with a new excavation cycle (Figs. 27–33). This stop-and-go approach will help avoid any mistakes.
Fig. 27: Pre-op radiograph of a maxillary molar. Note the evident contraction of the pulp chamber and the root canal system.
Fig. 28: Identification of white dots of dentinal powder accumulated in correspondence with the canal orifices during the selective removal action with the EndoTracer bur.
Fig. 29: Identification of white dots of dentinal powder accumulated in correspondence with the canal orifices during the selective removal action with the EndoTracer bur.
Fig. 30: Long-shanked EndoTracer burs (#006, 008 and 010).
Fig. 31: Cleaned and shaped root canal system.
Fig. 32: Cleaned and shaped root canal system.
Fig. 33: Post-op radiograph
Once the canal trace has been located, it is necessary to try to probe it even for a few millimetres with a Micro-Opener or a #6 or 8 K-type file. The greatest difficulty that the endodontist faces when introducing the first instrument into a canal is knowing how to resist the anxiety of prematurely probing that canal up to the foramen. In this exploration stage, great care must be taken to avoid obstructing the canal again. This is possible with repeated rinsing and alternating of manual probing attempts without force and without hastening the descent to the working length.
Unlike ultrasonic inserts, which are often prone to creating a pointed apically oriented path and partially eliminating the chromatic differences, the use of strategic rotating tools such as the EndoTracer bur preserves these fundamental reference landmarks and indeed facilitates the accumulation of dentinal debris precisely where there is a natural depression, namely the canal lumen.
Calcified teeth can be difficult to handle, but the application of the three aforementioned rules allows the clinician to discriminate among reference points naturally present in the pulp–dentine complex and to use targeted strategic devices in order to locate the access cavity and orifices while minimising the risks of false paths or perforations. Small changes can lead to significant improvements over time, and the consistency in achieving specific goals will pay off in the long run.
Errors accumulate during procedures. That’s the reason botching the access at the start of an RCT is so much more devastating than say, problems that ...
Registration for ROOTS SUMMIT 2024 is open, and the organisers would like to introduce some of the great speakers and their lecture topics for next year’s...
At a lecture session at AEEDC Dubai, Prof. Lakshman Samaranayake, Vice-Dean of the Department of Oral and Craniofacial Health Sciences at the University of ...
I enjoy seeing the articles in cosmetic dentistry in which clinicians recount their creation of magnificent works of art through digital restorative ...
A main cause of endodontic failure is the recolonisation of the poorly treated root canal system with micro-organisms. The primary goal of endodontic ...
HAIPHONG, Vietnam: A new case report has demonstrated what a conservative prosthetic pathway can achieve when a patient with a relatively complex anterior ...
Treating molars has always been challenging for clinicians. The variety of anatomical configurations causes many difficulties during the instrumentation ...
MINNEAPOLIS, U.S.: University of Minnesota researchers have studied how oral bacteria adhere to surfaces and develop biofilms in the oral cavity. In the ...
To post a reply please login or register