Search Dental Tribune

(Image: Andrey_Popov/Shutterstock)

Wed. 13. November 2024

save

Today, most aligner systems incorporate attachments as part of their treatment protocol. In most cases, dentists are requested to add a substantial number of attachments. Attachments are made from composite materials, come in a variety of shapes and sizes, and are bonded to the teeth to allow the aligner to grip on. Aligners, in my opinion, appeal to many patients because of their simplicity, short treatment time and attractiveness. However, attachments lower the acceptance rate of aligner therapy because they are unappealing and annoying to both the patient and the dental team, and they frequently wear, discolour and fall off. In my clinic, I never utilise attachments, keeping the treatment time short and achieving the same results.

In my clinic, I offer comprehensive aesthetic treatments, for which I apply the Progressive Smile Makeover Concept, which I developed ten years ago, to standardise the treatment planning process. This treatment modality emphasises an interdisciplinary approach to diagnosis and treatment planning. The concept combines the beauty of natural tooth morphology with a minimally invasive strategic treatment approach in order to achieve harmony and balance in the aesthetic outcome. The workflow promotes the approach of no anaesthesia, no drilling and no pain using the technique of aligning, whitening and restoring. The workflow includes multiple steps to ensure predictable outcomes. The steps incorporate digital photography for clear images for case evaluation, digital smile analysis using free software to assess the smile and clear aligner therapy as a tool to leverage the natural beauty of the restorative treatment result when tooth alignment is required. In this article, I set out the progressive Smile Makeover Concept workflow and demonstrate its application in four cases treated according to it—using no attachments.

Aligner therapy in my office

I fabricate the aligners in my office, reducing the costs and optimising the turnaround time required to deliver the aligners. This gives my practice complete control over the treatment time, quality and outcome.

Several factors contribute to effective treatment results. Among these are the fit, sheet material and trim line. To ensure good fit, I take accurate impressions and produce precise models. I select the finest sheet material available on the market to produce optimal pressure to move teeth efficiently. To establish an optimal hold on the teeth, I prepare the aligners with a flat trim line 2 mm above the gingival zenith. For long-term stability, all cases treated with aligners are retained with fixed wires or with removable appliances, depending on patient’s decision during the treatment planning discussion.

Aligner workflow according to the Progressive Smile Makeover Concept

Arch analysis and case assessment

To measure the amount of tooth crowding, we use Hancher’s technique.1 We simply pour the models, measure the width of the teeth involved and the curve of the teeth aligned virtually and then subtract these measurements from each other. The number we obtain is the space required to align the teeth or the interproximal reduction to be performed. A digital calliper can be used to calculate the measurements. The curve can be determined based on a landmark. The landmark is the best-positioned tooth or point on a tooth in the arch to which all the other teeth must move. The landmark selection is based upon the functional and aesthetic criteria of the case.

Treatment

After taking the necessary digital photographs and completing a comprehensive oral examination, we take diagnostic maxillary and mandibular impressions and duplicate them to fabricate the working models. Thereafter, impressions are taken at two-week intervals to fabricate four aligners, two for the maxillary and two for the mandibular arch.

The patient wears each aligner for seven days on each arch and then switches to the second aligner the following week. The first set of aligners is fabricated with two different plastic sheets of 0.5 mm and 1.0 mm in thickness. The patient will start wearing the 0.5 mm thick aligner set in the first week and use the 1.0 mm thick aligner set in the second week. All the subsequent aligners are made of material of 1 mm in thickness. The reason we fabricate the first aligner set with material of 0.5 mm in thickness is to reduce initial discomfort associated with primary pressure. Once the teeth become looser, the aligners made of the 1.0 mm thick plastic sheets will not cause any significant discomfort. The plastic sheets are thermoformed on the set-up models made for tooth movement using a vacuum forming machine.

In the last two weeks of treatment, we initiate the whitening procedure using 9.5% hydrogen peroxide for 14 days. This protocol saves time, as the whitening procedure will be completed at the same time as alignment. Furthermore, we use the last aligner set as a retainer if the arrangements with patient during the treatment plan discussion excluded the fixed wire retention method. Interproximal reduction and predictive proximal reduction are performed accordingly based on the arch analysis and space needed.

Retention

After finishing the active stage of treatment, the teeth are retained in the aligned position using either a removable appliance or a fixed bonded wire on the back of the teeth. To assist in proper wire seating, the laboratory sets up a multistrand 0.15–0.18 mm stainless-steel wire on a jig. The retention time frame depends on the case and the patient’s compliance. If the patient declines fixed retention, we recommend wearing an Essex retainer of 1 mm in thickness for six months all the time and then for a further six months at night only. Afterwards, the patient can reduce wearing the retainer to twice per week at night only, under observation. If tooth movement is noticed, then fixed wire retention will be recommended. The stability of the result is achieved when the alveolar bone remodelling is finished.

Cases

The next section demonstrates the aforementioned workflow on the basis of four cases. These were treated without the use of any attachments.

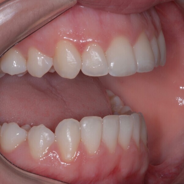
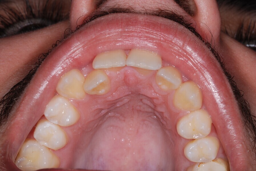
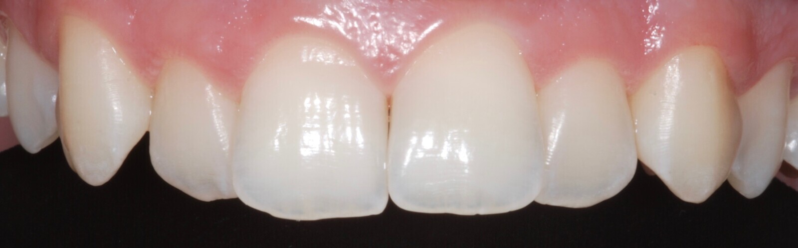
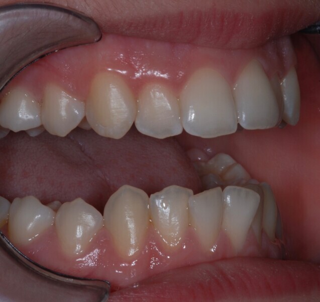
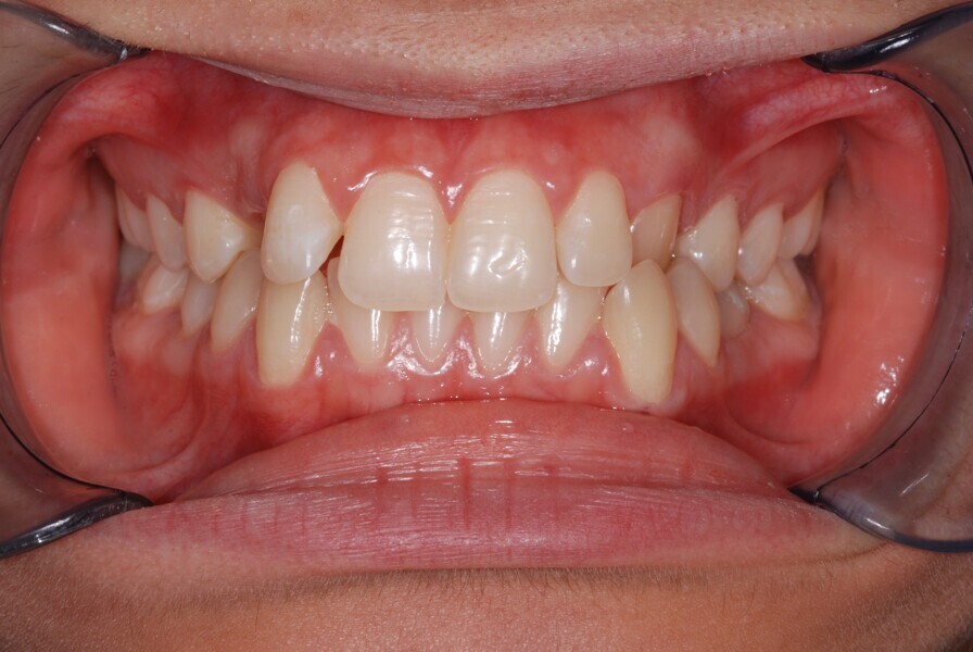
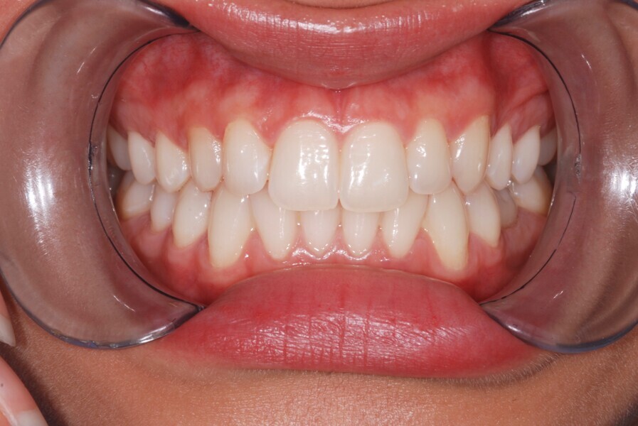
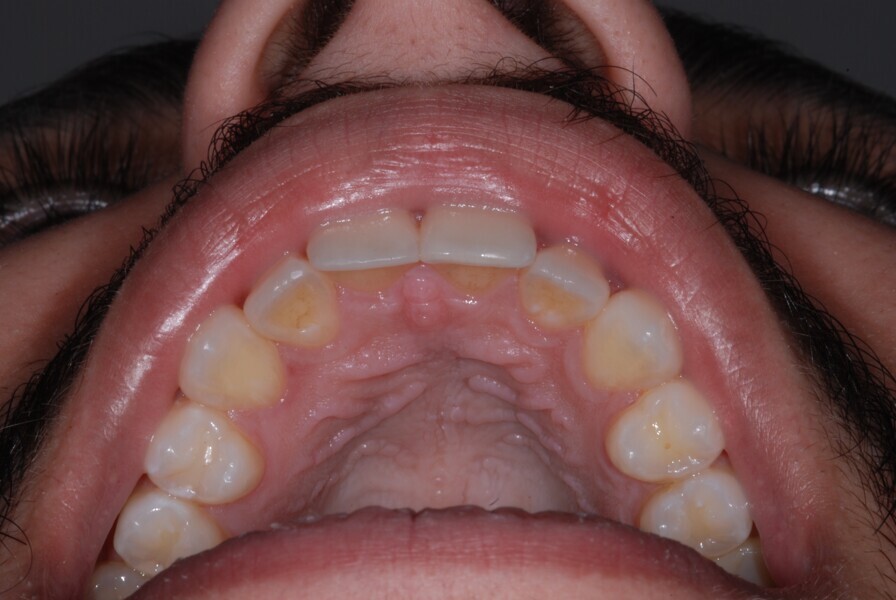
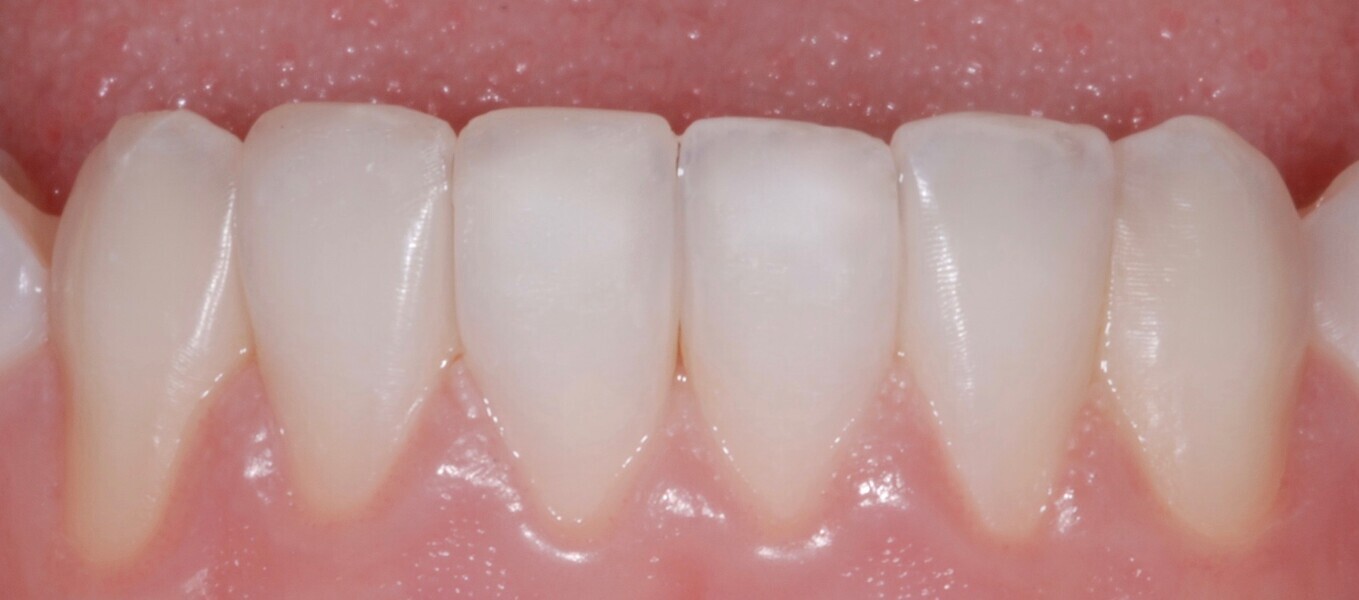
Case 1 (Figs. 1–12)

 A 19-year-old college student presented in our office with the primary concern of tooth misalignment. An anterior crossbite of dental origin was observed. It took a total of seven months for the maxillary arch and nine months for the mandibular arch to achieve the desired result with aligners. At the end of treatment, we whitened the teeth.

Case 2 (Figs. 13–22)

For as long as she could remember, this young periodontist has postponed her dental treatment to avoid the severe tooth preparation required for typical restorative smile makeovers. She made the decision to start treatment when she learned about our less invasive treatment protocol using a removable aesthetic solution. Within nine months, we were able to accomplish the intended outcome with aligners, whitening and composite restorations.

Case 3 (Figs. 23–32)

 A university student presented with anterior cross bite involving a lateral incisor. The treatment was completed in six months. Tooth whitening and edge bonding enhanced the aesthetic result.

Case 4 (Figs. 33–40)

A young student wished to have the colour and alignment of her teeth improved. Aligner therapy resolved the misalignment concerns in both arches. At the end of treatment, we whitened the teeth before restoring the worn incisal edges with additive composite.

Conclusion

Today, there is higher demand for treatment that is more aesthetic. Most adults prefer removable appliances to fixed metal appliances. Aligners offer the advantages of superior aesthetics and comfort compared with fixed appliances. Patients appreciate aligner therapy as an aesthetic orthodontic treatment because aligners are simple to use and visually appealing and aligner therapy progresses relatively fast. The addition of composite attachments to the treatment regimen adds challenges and brings into question the viability of the technique. Without a doubt, auxiliaries such as expanders, distalisers, anchorage and elastics may be beneficial in more complicated cases. However, more research needs to be done to determine the indications for which composite attachments are required as well as the scientific validity of their application. Attachments might not be as attractive as aligners with dimples built on to them. A dimple is a tiny indentation created in the aligner to place more pressure on a tooth to facilitate desired tooth movement or to improve retention.

Editorial note:

1. Hancher P. Orthodontics for esthetic dentistry. 2005 winter;20(4):80–92.

Topics:
Tags:
To post a reply please login or register
advertisement
advertisement