In 2021, Dr Sofia Karapataki received the “Most Influential Female in Dentistry—Greece” award from the Global Health and Pharma magazine. (Image: OEMUS MEDIA)
Conducted in collaboration with the Medical University of Graz in Austria, a new independent study followed patients treated with the two-piece Patent Dental Implant System for five to 12 years and found no cases of peri-implantitis—even in patients with compromised health. The study was led by Athens-based implant specialist and researcher Dr Sofia Karapataki. In this interview, she talks about the need for a reliable tooth replacement solution that works well in challenging cases too and offers long-term performance.
Dr Karapataki, congratulations on the publication of your long-term study on two-piece Patent implants published in the International Journal of Oral and Maxillofacial Implants, one of the highest-impact journals in the field. What surprised you the most about the results? Everyday dentistry can be very challenging. In my private dental clinic in Athens, I treat every patient who walks through my practice doors. Patients in need of tooth replacement often present with typical risk factors for dental implant treatment, either local ones such as periodontitis or general health conditions such as osteoporosis or diabetes. These patients are usually considered far from ideal candidates for dental implant treatment. They are often under medication, have poor oral hygiene or are heavy smokers. Also, compliance—which is crucial for the longevity of implants—is often poor among these patients.
Furthermore, even in “ideal” patients, we, as practitioners, cannot guarantee that their state of health will remain the same in the future. For instance, I have had patients who developed cancer and underwent intense medical treatments. These patients had dental implants, and the challenge was to follow them up appropriately. My long-term study included exactly the sorts of patients that I treat daily in my practice.
What surprised me the most was that, even in these challenging cases, the two-piece Patent implants investigated yielded remarkable results. The most remarkable result was that, even after 12 years, no instances of peri-implantitis and a very low number of cases of peri-implant mucositis were found.
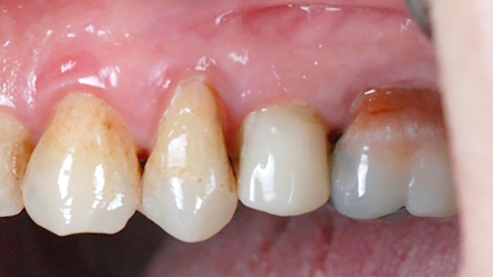
A Patent implant between two periodontally involved teeth after eight years of function with stable marginal bone levels and healthy soft tissue (no bleeding on probing). (Image: Karapataki et al.)
Why did you choose Patent as your implant system? I was determined to find a tooth replacement solution that works in the challenging cases I have mentioned. It was difficult to find a system that was supported by extensive research. To my surprise, I found that fewer and fewer implant systems today undergo comprehensive scientific evaluation before they are introduced to the market. This means less predictability and a higher risk for patients and surgeons. In contrast, Patent has been extensively investigated in scientific studies, including in long-term clinical trials.
Following up on the Patent implants you placed, what did you observe? I observed stable marginal bone levels and healthy soft tissue completely free of inflammation during annual recalls, even in patients with pre-existing health conditions and poor oral hygiene. For instance, I observed cases where the bone and soft tissue around a Patent implant remained unaffected by chronic tissue inflammation around both adjacent teeth. This was a sensational finding!
How can this be explained? The key to success lies in the strong and intimate soft-tissue adhesion to the transmucosal surface of the Patent implant, serving as an ideal defence barrier against bacteria. Additionally, fast healing has been observed around Patent dental implants in studies, ensuring greater safety in compromised patients, who typically show a pattern of slower healing.
Why did you initiate this long-term study on two-piece Patent implants? I found it remarkable how well this implant system performed in the patients that I encountered daily in my practice. Therefore, I wanted to validate my clinical experience and analyse the performance of this tooth replacement solution in a scientific setting. The study results speak for themselves: no peri-implantitis after up to 12 years, only 7.7% peri-implant mucositis at the patient level, survival and success rates of 100%, and only minor prosthetic complications.
What is your conclusion based on these long-term results? If Patent performs exceptionally well over the long term in my pool of compromised patients, as both the study findings and my clinical experience prove, then trust me, it will perform as reliably in the general patient population! The Patent Dental Implant System is the best choice for every patient and dentist.
ZURICH, Switzerland: At a press event in Zurich on 15 February, Dr Roland Glauser, a Zurich-based expert in comprehensive implantology, highlighted ...
NYON, Switzerland: Those who prioritise their overall health also understand the importance of oral health and consistently seek professional prophylaxis. ...
Being able to not only customise treatment plans but provide bioidentical implants to patients is a dream that may not be too far off considering the ...
BASEL, Switzerland/KOBLACH, Austria: BioHorizons Camlog and Amann Girrbach recently joined forces and have announced their collaboration in the field of ...
ALTENDORF, Switzerland: The first long-term study on two-piece zirconia dental implants has been published and addresses a major research gap. Over a period...
Pulsed Nd:YAG dental lasers are surgical tools used to obtain specific surgical objectives as defined in the LANAP (laser-assisted new attachment procedure)...
Education
Live webinar Wed. 3 June 2026 1:00 pm EST (New York)
GENEVA, Switzerland: Dental teams are on the front line in addressing tobacco use; however, advising patients on cessation has become more complex with the ...
SCHAAN, Liechtenstein: Ivoclar, a global provider of integrated solutions for high-quality dental care, has launched two new five-axis milling machines, the...
PUNE, India: Although the Diagnostic Criteria for Temporomandibular Disorders classification system has helped standardise temporomandibular disorder (TMD) ...
To post a reply please login or register