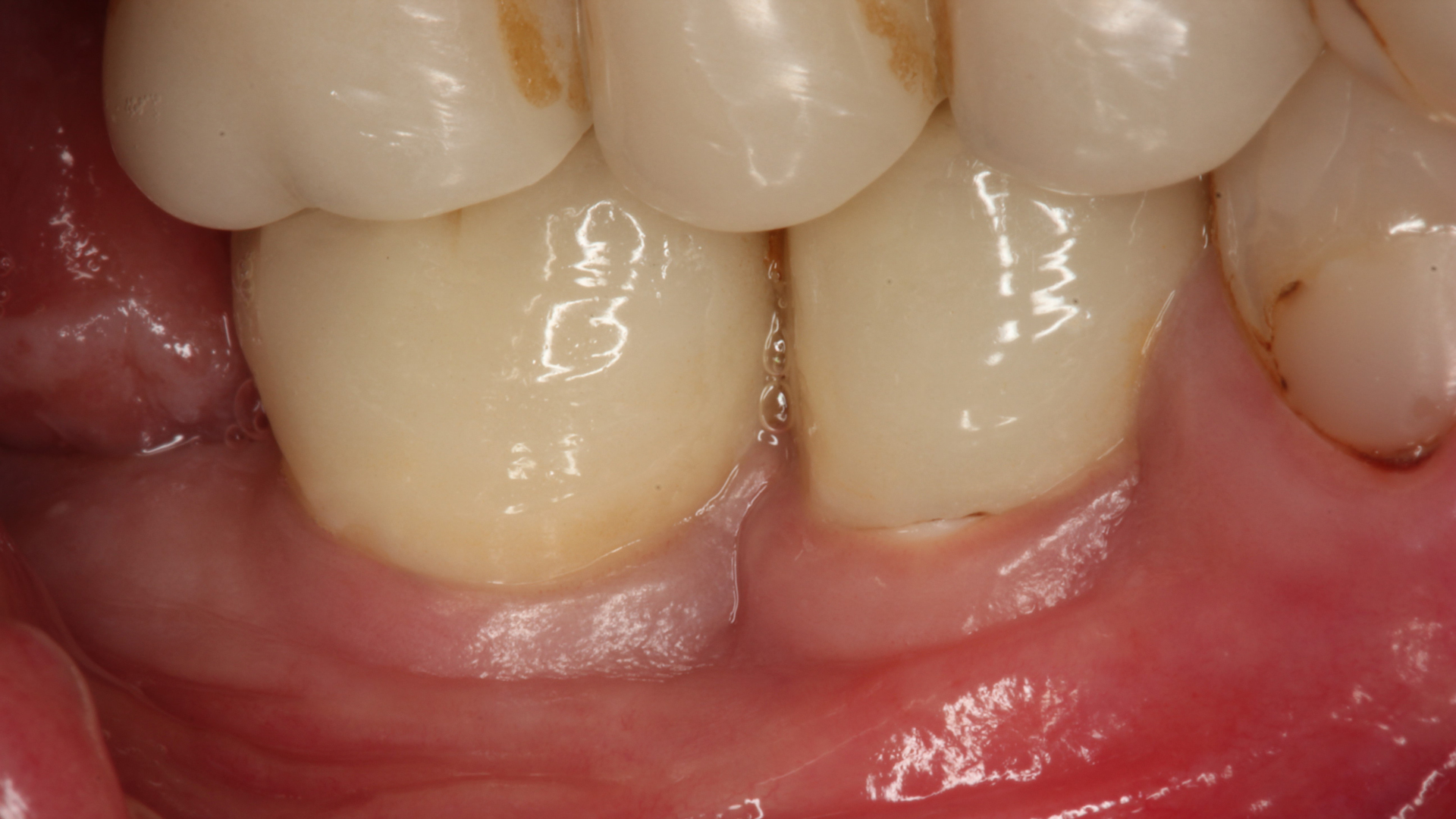
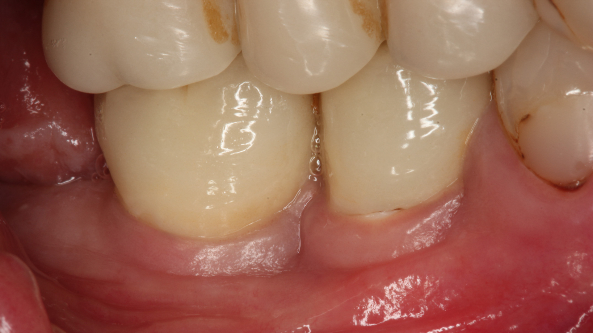
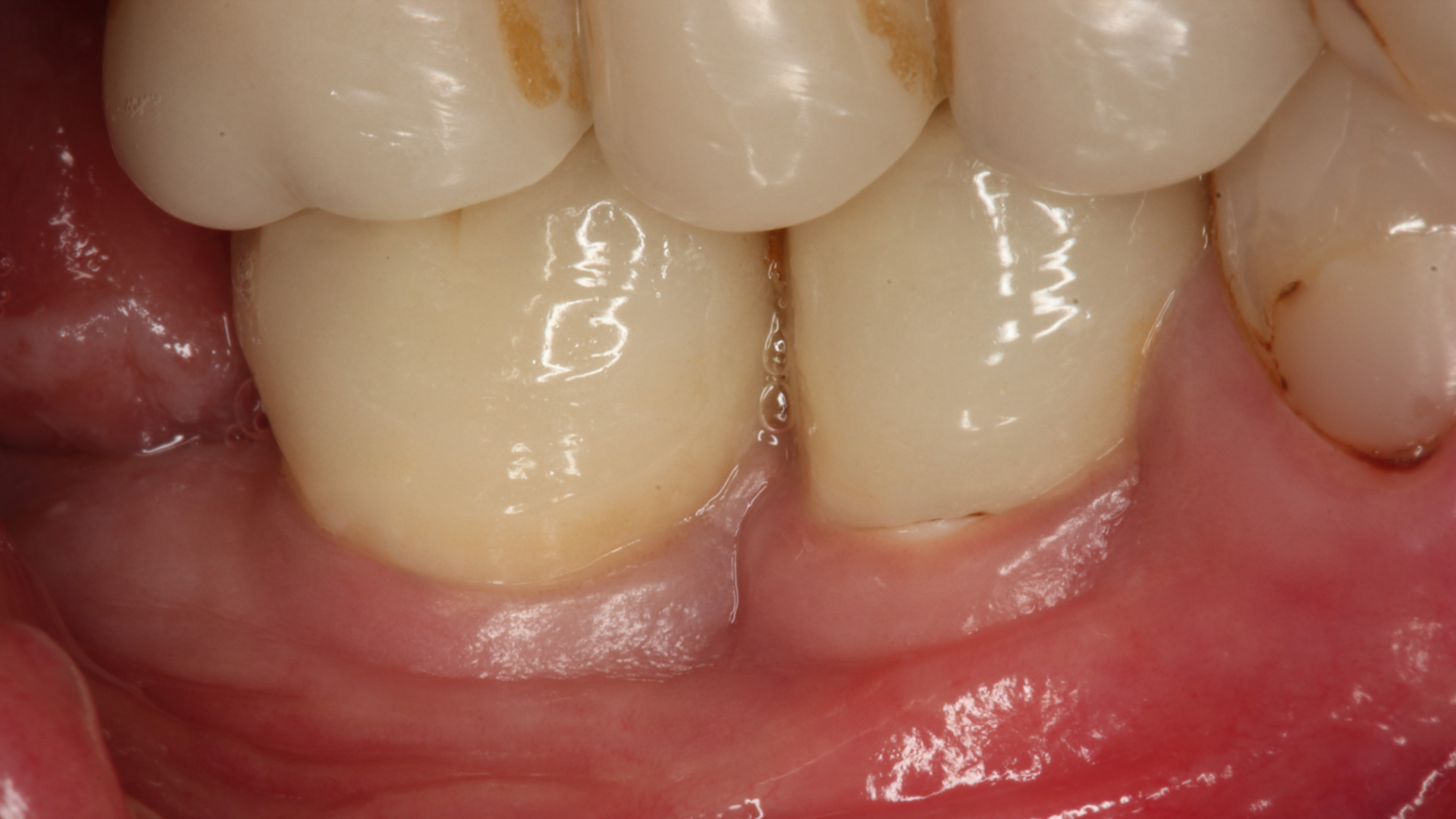
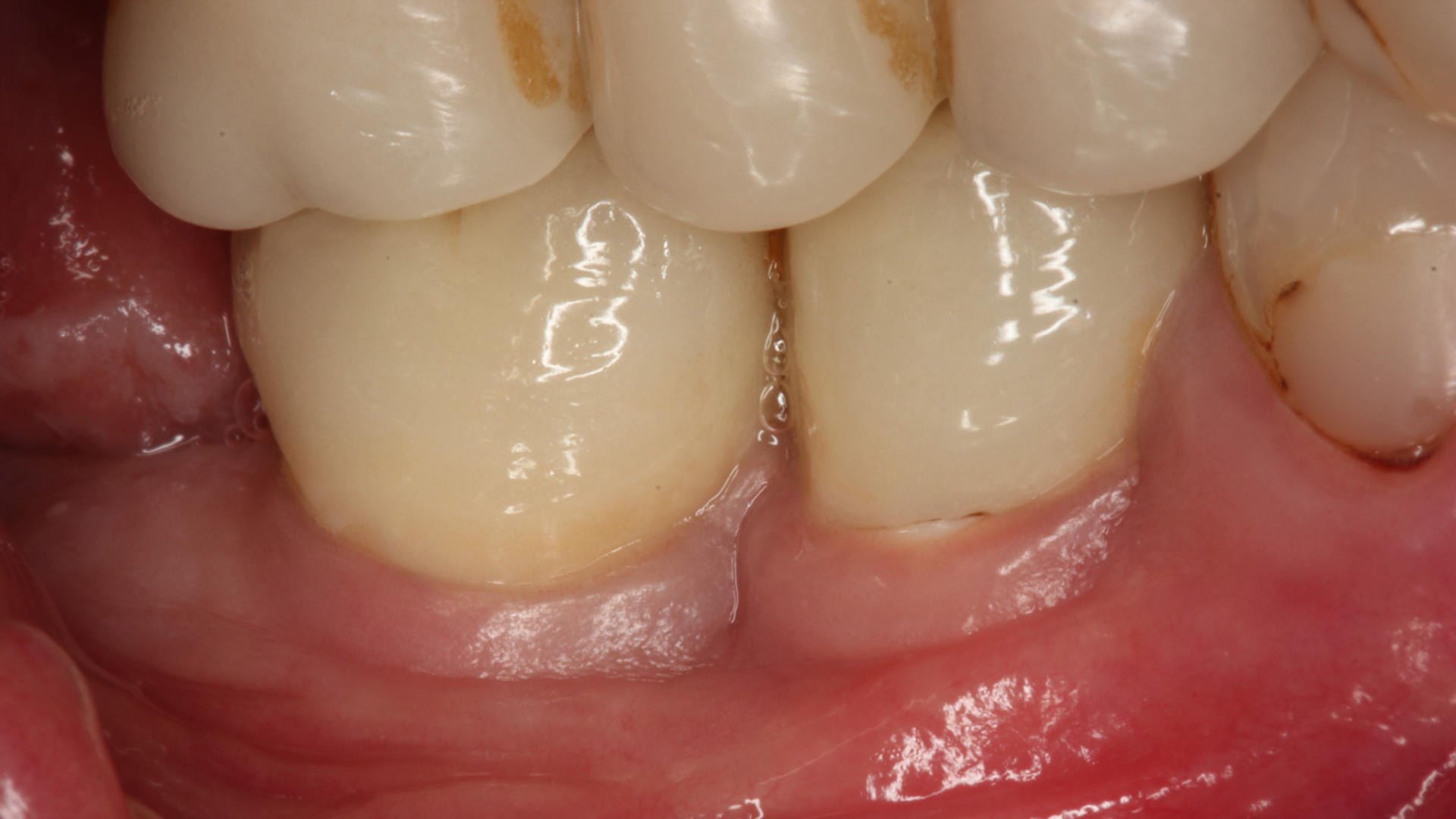
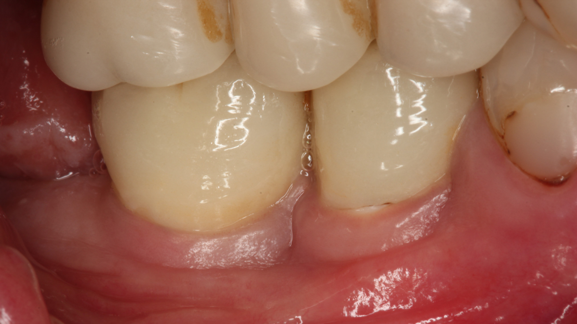
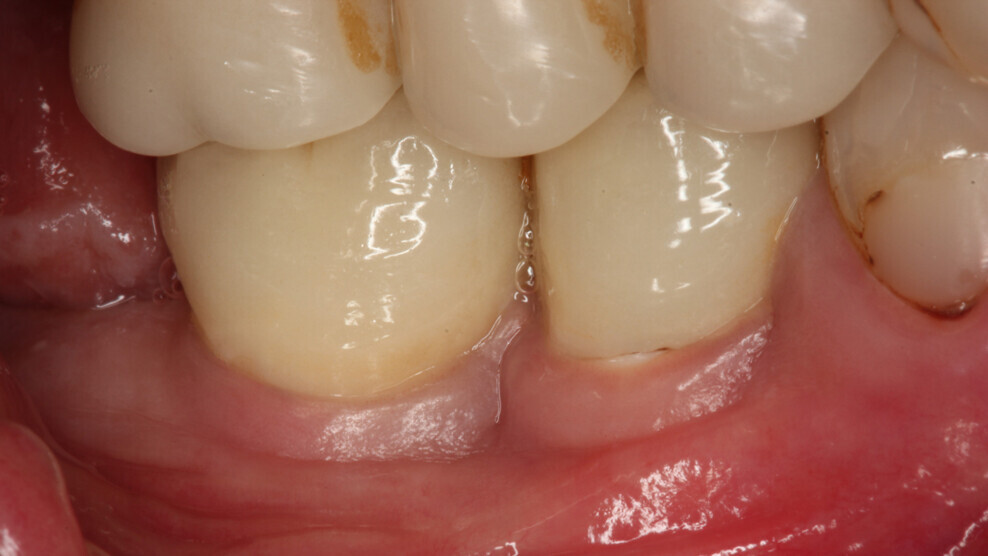
Dr Sofia Karapataki and her team monitored 39 dental implant patients with 91 Patent implants over five to 12 years and observed no cases of peri-implantitis or implant loss. (Image: Karapataki et al. 2023)
ZURICH, Switzerland: At a press event in Zurich on 15 February, Dr Roland Glauser, a Zurich-based expert in comprehensive implantology, highlighted peri-implantitis as a primary challenge in implant dentistry, a view supported by leading dental associations. Research shows that nearly half of patients experience peri-implant mucositis, often leading to peri-implantitis, which affects 22% of patients and is a leading cause of implant failure. The two-piece Patent Dental Implant System aims to combat this by preventing chronic tissue inflammation, and it was reported at the briefing that a new study on this zirconia system found no peri-implantitis after up to 12 years, even in compromised patients.
Dr Sofia Karapataki, an implantologist from Greece and the lead researcher of the study, explained that in the study researchers from the Medical University of Graz in Austria and Heinrich Heine University Düsseldorf in Germany had monitored 39 dental implant patients with 91 Patent implants over five to 12 years. Just 7.7% of patients (accounting for 9.9% of all implants) showed signs of peri-implant mucositis, she said, adding that marginal bone loss (MBL) exceeding the first thread was observed at 35.0% of mesial sites and 27.4% of distal sites. A smaller number of sites showed MBL beyond the first thread but not past the third, and there was only one instance of pocket deepening to 4 mm with bleeding, yet MBL was under 1.65 mm. There were no cases of peri-implantitis or implant loss.
The study included patients with challenging conditions for implant treatment, such as Down’s syndrome or cancer, or those on medications like antihypertensives and immunosuppressants. (Image: Karapataki et al. 2023)
In the study, Dr Karapataki aimed to validate her own clinical experiences by including patients with challenging conditions for implant treatment, such as Down’s syndrome or cancer, or those on medications like antihypertensives and immunosuppressants, as well as patients with periodontitis or thin gingival biotypes and those who smoked heavily. Remarkably, even after 12 years, these patients maintained stable and healthy tissue levels around their implants. “If an implant system performs well in the demanding daily clinical environment, where patients with general health conditions and various risk factors are common, then we can hope for more implant treatments without peri-implantitis in day-to-day implant practice,” Dr Karapataki said.
According to Dr Glauser, the study confirms once again the efficacy of the Patent implant system’s potential to maintain bone stability after tooth replacement. He attributed the fostering of mature, healthy, dense and stable soft tissue witnessed by the study to the soft-tissue adhesion achieved by the Patent system in the transmucosal region, adding that a strong and intimate contact between the soft tissue and the implant surface makes it difficult for bacteria to penetrate the tissue. “The goal should be to prevent peri-implantitis from the outset—after all, prevention is the best therapy,” Dr Glauser remarked.
Research shows that nearly half of dental implant patients experience peri-implant mucositis, often leading to peri-implantitis, which affects 22% of patients and is a leading cause of implant failure. (Image: Karapataki et al. 2023)
Dr Roland Glauser spoke about the relevance of the study results for implantology. (Image: Patent)
According to Dr Glauser, “The goal should be to prevent peri-implantitis from the outset”. (Image: (Image: Patent)
Marco Waldner, CEO of Patent, credits the system’s success in preventing bacterial infection and ensuring positive outcomes to its unique design, surface and materials. Waldner emphasised the importance of preventing peri-implantitis through careful implant selection and noted that dentists have seen long-term success with this approach over a period of 20 years.
The Patent implant system was developed in 2003 by German implant dentists Drs Johan Feith and Wolfgang Winges. Their goal was to foster a strong soft-tissue adhesion to the implant surface that prevents bacteria from invading the peri-implant tissue via a combination of a specialised surface topography and unique soft-tissue-level design and material composition. The technology was acquired by Zircon Medical Management in 2019.
DUBAI, UAE: Currently, Andrew Medical, an innovative start-up company from Italy that specialises in the development and production of 3D-printed titanium ...
LOS ANGELES, US: With reported cases as high as 19%, the battle against peri-implantitis has left clinicians and researchers constantly searching for ways ...
Digitalisation has penetrated the dental implantology field extensively, considerably changing how patients are treated. Widespread access to digital tools ...
ALEXANDRIA, Egypt: Growth factor-containing products have long been studied as a way to enhance osseointegration. Researchers at Alexandria University have ...
Big data use in dental research is proving quite useful in identifying potential confounding variables and health factors that could affect treatment ...
Education
Live webinar Thu. 23 April 2026 11:00 am EST (New York)
To post a reply please login or register