Full-arch dental implant rehabilitation is a viable treatment choice for patients who are edentulous or who have teeth that are compromised and in need of extraction. Regardless of a freehand or fully guided surgical protocol, treatment outcomes for full-arch implant-supported restorations have helped patients regain proper function, aesthetics and quality of life.1–3
Additionally, the ability to place implants immediately after tooth extraction has become a viable treatment modality which can often reduce the time to delivery of functional restorations.4 However, the residual alveolar ridge may require grafting to fill defects left by extraction sockets, or pre-existing concavities.5, 6 It is well understood that substantial bone resorption and loss of bone volume can occur when extraction sites are not grafted.7, 8 Avila-Ortiz et al. concluded that “alveolar ridge preservation is an effective therapy to attenuate the dimensional reduction of the alveolar ridge that normally takes place after tooth extraction”.9 The gold standard has always been autologous tissue harvested from the patient, but it is not always easy to harvest or readily accessible. Therefore, most clinicians currently utilise bone and membranes available through tissue banks. However, current innovations have fortunately provided a new, previously untapped source of this autologous tissue: the extracted tooth, which is often readily available when full-arch implant rehabilitation is planned. This current article will demonstrate that it is possible to provide enough grafting material volume to fill all residual sockets and concavities from extracted teeth harvested during immediate implant placement for a dual-arch surgical procedure.
Case report
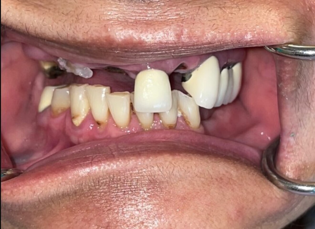
A 68-year-old female patient presented with failing dentition in the maxillary and mandibular arches due to years of neglect and patchwork dentistry. The patient was unhappy with the condition of her teeth and was embarrassed to go out in public. She had difficulty chewing owing to missing and fractured teeth in the maxillary arch, did not have any posterior mandibular teeth, and did not have a repeatable bite position. The patient had been to several dentists, who offered differing treatment plans, and was very confused regarding potential options to correct the deficiencies to improve her quality of life. Options that were presented included removable partial dentures, a maxillary complete denture and a mandibular removable partial denture, and implant-supported removable and fixed restorations for both arches. The patient wished to determine whether a fixed full-arch restoration could be considered for both the maxilla and mandible.
The patient’s medical history revealed hyperthyroidism and hip replacement within the past five years. Clinical examination confirmed the diminished condition of the patient’s dentition, and the need for a thorough 3D assessment of her existing anatomical presentation and that this could only be accomplished with a CBCT scan was explained to the patient. The CBCT scan allowed for the inspection of the anatomy in multiple views and with the digital tools afforded by the software (Carestream 3D Imaging, Carestream Dental; Fig. 1). The panoramic reconstruction served as a scout film to help visualise the condition of the patient’s dentition (Fig. 2). The maxillary arch exhibited several fractured teeth, several that had undergone previous root canal therapy, a single crown and a four-unit posterior bridge on teeth #24, 25, 26 and 27. Using the embedded link, the original CBCT scan data was then exported from the Carestream 3D Imaging software directly to Blue Sky Plan software (Blue Sky Bio). Blue Sky Plan offers additional planning and design tools to aid in accurate diagnosis, treatment planning and surgical guide fabrication.
The preliminary plan consisted of placing implants in strategic positions to support implant-supported fixed restorations accurately delivered with the implementation of static, sequential surgical guides (Fig. 3).
Fig. 3a: Six implants planned for maxillary arch fixed restoration.
Fig. 3b: Five simulated implants with two tilted to avoid the inferior alveolar nerves in the mandibular arch.
Each potential implant receptor site was designated by tooth number for the maxillary and mandibular arches. Manufacturer-specific simulated implants were then refined within the cross-sectional images, recording diameters and lengths in screenshots for the maxilla (Fig. 4) and the mandible (Fig. 5) utilised during the surgery as colour printouts.
Figs. 4a–f: Cross-sectional planning for maxillary implants and angled multi-unit abutments.
Fig. 4b
Fig. 4c
Fig. 4d
Fig. 4e
Fig. 4f
Figs. 5a–e: Implant planning for the mandibular arch with straight and angled multi-unit abutments.
Fig. 5b
Fig. 5c
Fig. 5d
Fig. 5e
When assessing the potential mandibular implant receptor sites, the buccal and lingual cortical plates appeared to be well defined. However, careful inspection revealed a deficient density within the intermedullary bone. Yellow abutment projections represented simulated abutment trajectories helpful in the determination of screw access channels within the transitional and definitive prostheses. It was also possible to place realistic simulated abutments based on the desired angulation and tissue cuff height chosen from the implant library within the software.
The planning continued with the examination and manipulation of the 3D reconstructed volume of the mandible and maxilla (Fig. 6a). Using the isolate function within the Blue Sky Plan software, the mandibular arch was separated from the maxillary arch, which with the merging of the intra-oral scanning data helped with the restoratively driven planning and refinement of implant positioning (Figs. 6b & c). The implants were then planned with precise regard for the emergence of the screw access channels represented by the yellow abutment projections which extended above the occlusal plane (Fig. 6d). Once each of the implant receptor sites and the vertical positions had been validated, the amount of alveolar reduction (after tooth extraction) was determined. A bone reduction guide was then designed with four anchor pins for stable fixation to the mandible (Fig. 7a). The various components of the diagnostic progress can be better appreciated using selective transparency to visualise structures based on their density (Fig. 7b). Selective transparency was again utilised to visualise the final location of the three central straight implants and the two angled implants, clearly indicating the safe proximity to the bilateral inferior alveolar nerves (Fig. 8a). The translucent STL model of the mandibular teeth and virtual teeth helped relate the implant positions to the restorative plan (Fig. 8b). The sequential osteotomy drilling guide was designed based upon the parameters of the implant system and guided drilling kit utilised. The osteotomy drilling guide was to be secured to the mandible with the same fixation pins as used for the bone reduction guide (Fig. 9).
Fig. 6a: 3D volumetric reconstruction of the maxilla and mandible.
Fig. 6b: The isolated mandibular arch.
Fig. 6c: STL surface model merged with DICOM data with virtual posterior teeth.
Fig. 7b: Reduced mandible, nerves and simulated implants with selective transparency.
Fig. 8a: Transparent reduced mandible, five implants and yellow abutment projections.
Fig. 8b: Transparent STL model and virtual teeth.
Fig. 9: Osteotomy drilling guide seated on the mandible.
Clinical procedure
The patient presented with a collapsed bite due to missing, mobile and fractured teeth, which severely affected her ability to masticate food, resulting in embarrassment and a diminished quality of life (Fig. 10). After a thorough review of the diagnostic process, the treatment plan was presented and accepted by the patient for maxillary and mandibular implant-supported fixed restorations. At the request of the patient, one long procedure was scheduled to be completed under sedation administered by a dental anaesthesiologist. Once the patient had been sedated, bilateral mandibular blocks were accomplished with 2% lidocaine with 1:100,000 adrenaline and 4% articaine. The remaining mandibular teeth were extracted using periotomes, elvatomes, and forceps (all TBS Dental), and all the sockets were thoroughly debrided and then irrigated with 0.12% chlorhexidine gluconate (Fig. 11). Many of the extracted teeth were free of decay, root canal therapy or fillings, and therefore it was elected to utilise the patient’s own teeth to fabricate autologous grafting material for use in both maxillary and mandibular arches. The process of harvesting grafting material from tooth structure has been successfully reported in the literature and has become a great source of autologous tissue when teeth are to be extracted and grafting is required.
Fig. 10: Pre-op retracted view.
Fig. 11: Mandibular extractions.
When teeth are to be extracted, often the extraction sites and implant receptor sites will require some type of grafting to manage the resultant anatomical defects and bony concavities. Currently, most bone grafting is dependent on tissue banks to supply us with bone in a bottle in various shapes, sizes and formulations. While these products are essential to have on hand, when teeth are to be extracted, perhaps an alternative concept would be to use the autologous material from enamel and dentine to serve as grafting material to fill defects and augment the surgical sites. As many of our patients present with a failing dentition due to alveolar bone loss, dentine grinding has gained popularity as an important ancillary method to gain significant volumes of grafting material, especially when patients are to undergo full-arch dental implants.10–12 One such innovation is the Smart Dentin Grinder (KometaBio; Fig. 12a).
Once the remaining mandibular teeth had been extracted and evaluated, a diamond bur in a high-speed handpiece was used to clean the tooth roots and areas of the enamel, removing all debris, soft-tissue tags, fillings and decay. The teeth were then dried and placed in the single-use sterile chamber attached to the Smart Dentin Grinder (Fig. 12b). The grinding process was timed for 3 seconds, followed by a 10-second sorting process, and was repeated until the teeth were sufficiently ground, and the particles were separated and sorted by size within the cannister and collection drawers. The particle size ranged from 250–1,200 μm as collected in two separate drawers (Fig. 12c). The volume of autologous particulate material was impressive at approximately 5–6 cm3 of grafting material generated from the extracted teeth. According to the recommended cleansing protocols, the grafting material was transferred from the top and bottom drawers to a sterile dish. The entire volume of grafting material was then covered with the dentine cleanser solution and left covered for 5 minutes. The material was then dehydrated with a sterile gauze. This liquid cleansing process effectively rendered the dentine particulate bacteria-free without harming the collagen, bone morphogenetic proteins and growth factors imbedded in the dentine. A phosphate-buffered saline was then used to neutralise the pH levels, followed by dehydrating with a sterile gauze and a repeat of the rinsing process, and saved for later use as needed in both the maxillary and mandibular arches. The entire process can range from 8 to 10 minutes and is usually completed by a trained auxiliary.
Fig. 12a: Smart Dentin Grinder and extracted teeth.
Fig. 12b: Teeth in the cutting chamber.
Fig. 12c: Large and small particle sizes sorted into two drawers.
A full-thickness mucoperiosteal flap was elevated from the approximate areas of tooth #46 to tooth #35 and carefully reflected to expose the alveolar ridge. A bone reduction guide was placed over the site and fixated with four anchor pins. The bone was then reduced to the planned vertical height with rongeurs and flattened with carbide burs in a straight handpiece (Alveoplasty Kit, Meisinger USA). Based upon the 3D planning, the 3D-printed osteotomy drilling guide was designed to fit over the reduced bone and fixated in the same holes as the bone reduction guide (Fig. 13). The fixation pins were of two different lengths and secured the resin guide to the mandible (Fixation Kit, ROE Dental Laboratory). The osteotomies were prepared with sequential guided drills for accuracy, and five implants (Helix Grand Morse, Neodent) were placed approximately 2 mm subcrestally (Fig. 14). Although the implants all exhibited moderate insertion torque, the intermedullary bone density within the mandibular implant receptor sites was poor, as previously noted during the diagnostic phase.
Each implant was then objectively tested for stability using resonance frequency analysis, and implant stability quotient (ISQ) values were recorded (Osstell IDx, Osstell). The ISQ values confirmed the initial CBCT assessment of the mandibular bone, and a decision was made to bury the implants and leave them covered for approximately 2–3 months to provide sufficient opportunity and time for the implants to fully integrate within the mandibular bone prior to loading. Each subcrestally placed implant received a 2 mm cap screw to fill the coronal osteotomy site. All the residual tooth sockets and any defects or concave areas were then filled with the dentine grafting material (Fig. 15). Two 20 × 30 mm collagen membranes (MaxxMem, Community Tissue Services) were then draped over the grafted site and stabilised with deep horizontal mattress sutures. Closure was then achieved with continuous and interrupted sutures using #4/0 thread (VICRYL, Ethicon).
Fig. 13: Surgical guide fixated to the mandible.
Fig. 14: Five implants placed as planned.
Fig. 15: Dentine graft covering socket defects.
A similar procedure was completed for the maxillary arch. After local infiltration of anaesthetic agents, all remaining root tips and teeth were atraumatically extracted and all sockets thoroughly debrided. A full thickness mucoperiosteal flap was elevated from approximately the area of tooth #16 to tooth #26 to expose the residual alveolar ridge. Once the bone had been reduced, an osteotomy drilling guide was fixated to the maxillary arch (Fig. 16). Osteotomies were then prepared, and six Helix Grand Morse implants were placed through the guide (Figs. 17 & 18). The stability of each implant was objectively measured, and the ISQ values were found to be below the threshold for immediate loading.
Fig. 16: Surgical guide fixated to the maxillary arch for guided drilling protocols.
Fig. 17: Implant delivered through the guide.
Fig. 18: Fully template-guided implants were placed.
Fig. 19a: Implants and residual sockets.
Fig. 19b: Collagen membrane placed over the graft site.
Fig. 20: Post-op panoramic radiograph showing the implants and grafted sites.
Therefore, the maxillary implants were buried in a two-stage protocol. To preserve the width and height of the residual alveolar ridge, the extraction sites were all filled with the grafting material gleaned from the teeth extracted from the mandibular arch (Fig. 19a) and covered with large 20 × 30 mm collagen membranes (Fig. 19b). The immediate postoperative panoramic radiograph showed the placement of five implants for the mandibular arch and six for the maxillary arch (Fig. 20). The classic radiolucent appearance of fresh extraction sites was not evident, as each had been filled with the dentine grafting material. Small, round radiolucent holes could be visualised in the mandibular arch from the four fixation screws. The 2D panoramic reconstructed view is somewhat distorted and thus the true trajectory of each implant cannot be accurately appreciated. It was the original plan that the right and left most distal tilted implants would receive 30° angulated multi-unit abutments at the appropriate tissue cuff height once the implants had been uncovered and after osseointegration had been confirmed.
The patient was then brought out of sedation and allowed to recover until she was fully coherent and ambulatory. Immediate complete dentures were then delivered to the patient after soft-tissue relining had been accomplished to improve fit. Postoperative instructions were provided to the patient orally and in writing. The procedure was well tolerated, and the patient was subsequently followed for suture removal and healing progress.
Discussion
When full-arch implant restoration is contemplated for patients who are partially dentate, immediate extractions will be required. Many will require extractions of perfectly intact teeth and roots, which can provide an excellent source of autologous grafting material. These extraction sockets may leave significant voids in the bony architecture of the remaining alveolar ridge. As it is recommended that implants should be planned with 3D imaging acquired through CBCT scans, the diagnosis should also include an assessment of where the teeth will be extracted and what type of bony defects will be left after extraction. When implants are planned to be placed directly within fresh extraction sockets, often there is a gap on the buccal wall, which can be filled with grafting material to help preserve the bony housing. In other areas, the entire sockets can be filled to reduce potential for volumetric shrinkage of the ridge over time. The current case presentation illustrated the effectiveness of utilizing an innovative device to grind extracted teeth to produce sufficient graft volumes required during the surgical phase of full-arch implant rehabilitation. Calvo-Guirado et al. found that, after processing with the Smart Dentin Grinder, “0.25 gr of human teeth produced 1.0 cc of biomaterial” and that the “chemical composition of the particulate was clearly similar to natural bone”.13 The present case illustrated immediate extraction and immediate implant placement for a delayed loading protocol with autologous dentine grafting material, which can also be used for immediate loading protocols when appropriate.
Conclusion
Full-arch implant-supported restorations can be either fixed or removable overdentures. Regardless of the proposed treatment modality, when extractions are required, it is recommended that grafting be an integral and necessary part of the surgical procedure. The use of autologous tissue generated from the patient’s own teeth has many advantages, including:
It represents a biocompatible material and is not recognised as a foreign body.
It has almost the same composition as bone, comprised of higher density hydroxyapatite and Type I collagen fibre.
Dentine and enamel are tougher than cortical bone and therefore provide an excellent scaffold and hence osteoconductivity.
Dentine contains good amounts of morphogenetic proteins and growth factors that aid in the regeneration process to form new bone relatively quicker than most grafts; hence, it is osteoinductive.
A single tooth, dependent on the type, can produce anywhere between 0.5 cm3 and 2.5 cm3, providing an ample amount of grafting material.
Autologous dentine does not require a secondary harvesting site and therefore eliminates morbidity, risk and pain associated with that secondary procedure.
Cost related to purchasing bone grafting material from tissue banks is reduced.
While dentine grafting can be especially useful with full-arch implant-supported restorations, additional uses can include conventional socket preservation, onlay grafting, sinus augmentation, creating sticky bone with platelet-rich fibrin and partial extraction (socket shield),14 like any other available grafting material. Patients are also pleased that their own cells are being used to enhance the healing process. More research, especially long-term studies and follow-up, is recommended to quantify the benefits of this adjunct modality to provide autologous grafting material for patients in need.
Modern dentistry should strive to preserve all maintainable natural teeth whenever possible, in line with the principles of minimal invasiveness and ...
Patients often present to the dental office asking how long it will take to complete a full-mouth dental implant rehabilitation from start to finish. ...
Modern dentistry is undergoing a technological revolution, driven by the integration of advanced digital tools in diagnostics, planning and treatment. Among...
Full-arch implant-supported reconstruction continues to provide viable solutions to restore and improve function, enhance aesthetics and change quality of ...
NEW YORK, U.S.: Developing the right treatment plan for a patient is a critical step to ensuring predictable results. In a free Dental Tribune Study Club ...
Improvements in digital technologies in recent years have transformed several industries, including implant dentistry. These novel methodologies have ...
In a free Dental Tribune Study Club webinar on Wednesday, 11 March, Dr Hyun-Jun Jung will be covering the topic of how to create and apply a surgical guide ...
NEW YORK, U.S.: For several years, Prof. Paul Tipton has been a pioneer in evaluating modern superstructure materials. In an upcoming free Dental Tribune ...
Digital workflows in dentistry have revolutionised how clinicians approach complex procedures, enhancing precision, efficiency and patient outcomes. Among ...
Dealing with implant restoration is challenging, and this process would be impossible if we could not communicate freely between the clinic and laboratory. ...
Education
Live webinar Thu. 23 April 2026 11:00 am EST (New York)
To post a reply please login or register