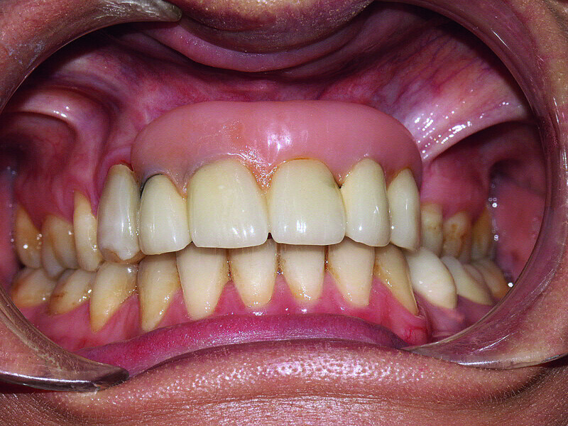
Fig. 1 : Initial prostheses: Lip support was ensured by a large false gingiva, and fractured cosmetic material at the right maxillary canine was evident. The patient’s smile showed the prosthetic teeth placed off-centre and an infiltration at the right lateral incisal level.
Fig. 2 : Initial prostheses: Lip support was ensured by a large false gingiva, and fractured cosmetic material at the right maxillary canine was evident. The patient’s smile showed the prosthetic teeth placed off-centre and an infiltration at the right lateral incisal level.
Fig. 3: Examination after three years revealed
a negative short-term prognosis for the implants owing to significant recession at the right implant and hyperplastic tissue.
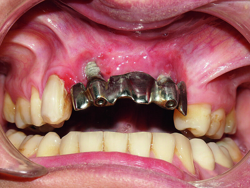
Fig. 4: The framework was unscrewed, abutments removed and implants easily removed.
Fig. 5: Implant removal site showing even greater deterioration in bone volume.
Fig. 6: The grafts were harvested from the chin symphysis and firmly attached by surgical screws in the recipient site.
Fig. 7: The grafts were harvested from the chin symphysis and firmly attached by surgical screws in the recipient site.
Fig. 8: The properly compressed PRF membranes permitted complete coverage of the surgical site, in this instance on the maxilla.
Fig. 9: The properly compressed PRF membranes permitted complete coverage of the surgical site, in this instance on the maxilla.
Fig. 10: Panoramic radiograph showing the grafts to be correctly healed and satisfactorily adhered to the recipient bone sites.
Fig. 11: Increased vestibular bone volume allowed positioning of the teeth at the crestal bone level and reduction of the false gingiva.
Fig. 12: A key of the added wax was taken and fabricated in clear casting resin.
Fig. 13: The reopened site showing correct graft integration, a notable increase in cortical bone and excellent vascularity.
Fig. 14: Testing of the sterilised
surgical drilling guide proved drilling would be at the centre of the reconstructed bone ridge.
Fig. 15: Aadva self-tapping implants were placed.
Fig. 16: All five implants equipped with threaded cover screws and the surrounding tissue sutured.
Fig. 17: Loaded implants, healing abutments in situ.
Fig. 18: The healing abutments were removed and replaced with pick-up impression copings secured with self-curing resin.
Fig. 19: Removal of the impression and fitting of the impression copings with their laboratory equivalent.
Fig. 20: Removal of the impression and fitting of the impression copings with their laboratory equivalent.
Fig. 21: Model of the framework, temporarily including the canine, cast in pattern resin.
Fig. 22: The model was scanned before being transferred to a machining centre.
Fig. 23: The model was scanned before being transferred to a machining centre.
Fig. 24: After scanning, the computer prefi guration of the framework was validated.
Fig. 25: Testing of the titanium framework on the working model and verifi cation of stability.
Fig. 26: Testing of the titanium framework on the working model and verifi cation of stability.
Fig. 27: The cosmetic material placed onto the framework.
Fig. 28: The prosthesis was attached with screws and the necessary occlusal verification was conducted.
Fig. 29: The prosthesis was attached with screws and the necessary occlusal verification was conducted.
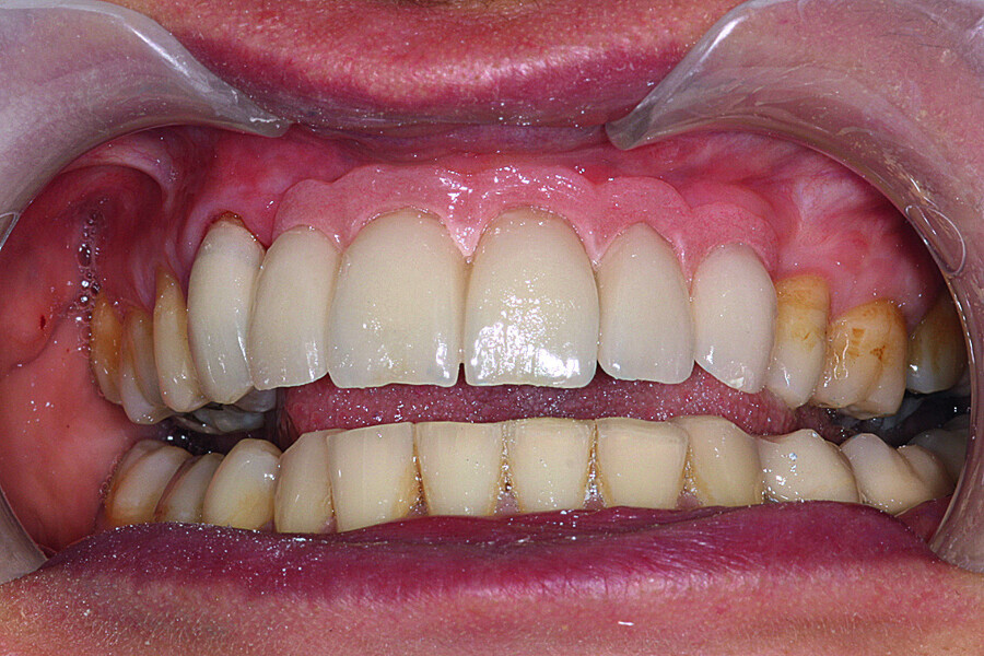
Fig. 30: The patient’s smile showing now well-balanced
incisors in line with the face’s sagittal plane, lip support appearing to be correct.
Fig. 31: Removal of the validation prosthesis and examination of the
areas of compressed mucosa and difficult for dental hygiene. Reinstallation of validation prosthesis after correction.
Fig. 32: Final prosthesis framework and the coping for the right canine tested on the working model.
Fig. 33: Final prosthesis framework and the coping for the right canine tested on the working model.
Fig. 34: After fitting of the zirconia framework, the ceramic was cast using the exact parameters validated by the resin prosthesis.
Fig. 35: After fitting of the zirconia framework, the ceramic was cast using the exact parameters validated by the resin prosthesis.
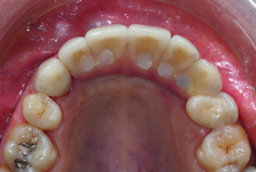
Fig. 36: Installation of the final prosthesis and verification of
correct occlusion. Screw channels filled with composite.
Fig. 37: Installation of the final prosthesis and verification of
correct occlusion. Screw channels filled with composite.
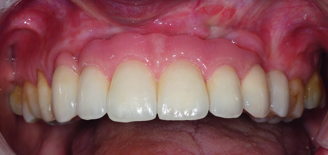
Fig. 38: Final cosmetic check-up showing correct lip support with the new extremely reduced false gingiva.
Fig. 39: Final cosmetic check-up showing correct lip support with the new extremely reduced false gingiva.
Fig. 40: Radiographic check-up after seven years.