Search Dental Tribune

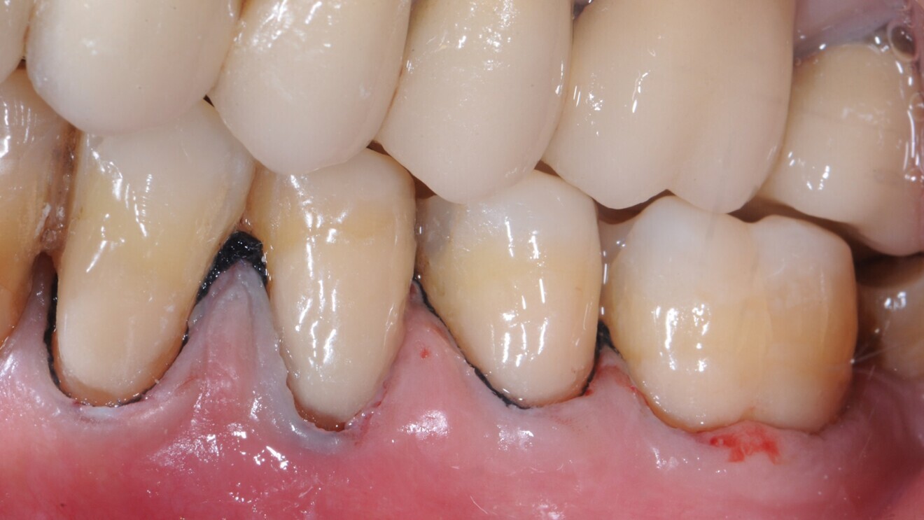
Fig. 1: Multiple cervical non-carious lesions prior to treatment. (All images courtesy of Dr Matteo Basso, Italy)

Tue. 21. February 2023

save

For about a century, dental amalgam has been the standard restorative material for posterior carious lesions. Given its ease of placement, its moisture tolerance particularly and its relatively high resistance against masticatory forces and secondary caries, amalgam remains the restorative standard in most statutory or public health insurance schemes today. While concerns abouts its biocompatibility and wider health effects have repeatedly entered public debate, a number of studies have been able to refute such assumptions and to show the general safety of amalgam if properly placed.

The use of amalgam will likely cease in many countries over the next years—grounded in the Minamata Convention on Mercury, emanating from the spillage of mercury used in an industrial process in the city of Minamata in Japan and a series of widespread health effects due to subsequent mercury uptake. The vast majority of nations worldwide have signed the Minamata treaty, binding the signees to reduce and eventually stop the use of mercury in any industrial process. In that sense, dentistry is an outlier; only for dentistry did the treaty not mandate a complete phase-out of the material but a phase-down. Signing nations promised to undertake measures to reduce the use of dental amalgam, for example via the reinforcement of prevention or the development and adoption of alternative restorative strategies. In many countries in the world, including all countries of the EU, policymakers have indeed decided to overachieve this promise and phase out the use of dental amalgam completely. For some groups, such as pregnant or lactating women, this phase-out has already become reality. Within this reality, dentists are now faced with an important question: what alternative material should they use?

Restorative options in the post-amalgam era

In the last 60 years, a range of amalgam alternative materials have been introduced. Broadly, they fall into three categories:

  1. resin-based composite materials, placed in increments to compensate for polymerisation shrinkage and to allow safe polymerisation;
  2. glass-based materials, namely glass ionomers and glass hybrids;
  3. materials combining the properties of both material classes—the terminology in this category is not consistent and the clinical evidence often limited.

Resin composites

Resin composites have a long tradition of being used as an alternative to amalgam, in particular for posterior load-bearing restorations extending into the proximal surface. Micro- and nano-hybrid resin composites have shown excellent physical properties, such as high resistance against abrasion and erosion, high flexural strength, good polishability and excellent aesthetics. Moreover, these materials can be placed adhesively and therefore do not rely on macro-retentive cavity preparation, allowing for minimally invasive dentistry. Notably, the placement of resin composites comes with a number of prerequisites, like strict moisture control, stepwise preparation and conditioning of the cavities, such as involving acid etching and adhesive placement. In recent years, the trend towards simplifying these application steps has been a focus of manufacturers, for example by combining the etching and the adhesive steps or by reducing the need for incremental placement by using bulk fill composites instead.

Nevertheless, the placement of resin composites—in equigingival or subgingival situations in particular—is technically demanding. Moreover, the material itself is relatively costly compared with dental amalgam. Hence, resin composites can safely be regarded as a contemporary amalgam alternative, but nevertheless do not check all the boxes.

Glass ionomers and glass hybrids

For several decades, glass ionomers have not been considered a full-fledged amalgam alternative, mainly because of their limited stability against abrasion and erosion and their low flexural strength, which results in limited longevity in occlusal-proximal posterior cavities. More recent generations of this material glass have been developed to specifically address the main weaknesses. A more advanced category of glass-based materials, called glass hybrids, claims to have overcome most limitations regarding abrasion and erosion stability and to have significantly improved flexural strength. This has been achieved by alterations in the chemical composition of the material—mainly the introduction of an additional, smaller and highly reactive glass particle and longer acrylic acid chains. Moreover, the introduction of an additional coating step for the occlusal or other accessible surfaces, involving a nano-resin material being placed on to the rougher glass surface, protects the porous glass body against acid and abrasion. This coating has also been found to significantly improve the aesthetics of this formerly poorly polishable material. When the coat wears off, the glass hybrid undergoes a unique second maturation, substantially increasing the restoration’s hardness.1

In laboratory studies, it was confirmed that indeed the glass hybrids have significantly superior properties compared with their predecessors while retaining the advantages of this material class, namely the option of bulk placement, the ease of placement and high bioactivity—especially the known release of fluoride. However, laboratory studies are not necessarily perfect surrogates for clinical behaviour. Only clinical studies can demonstrate the true effects of any material alterations and the potential suitability of a restorative material as an amalgam alternative.

Glass hybrids: Clinical data as hard currency

Like with most scientific advances, the development of the glass hybrids was not a revolution but an evolution. A number of studies—some even practice-based—investigated the direct predecessors of glass hybrids and confirmed the advances of this material class over the last 15 years, refuting the notion of glass-based materials being merely a temporary material.2–4 The current generation of glass hybrids has been assessed in several studies that are presented in more detail in the subsequent paragraphs. Reassuringly, these studies were not all associated with manufacturers and were conducted by a range of groups from all over the world. Moreover, they dealt with different clinical indications and employed robust clinical designs, such as randomised control trials, to compare the glass hybrid material against an accepted standard of care like a resin composite. Two main application fields have been explored—cervical and posterior as well as load-bearing lesions.

Cervical lesions (Figs. 1–3)

The cervical placement of glass ionomers, especially resin-modified glass ionomers, has a long tradition and is backed by a wealth of clinical studies demonstrating the usefulness of this material for this purpose. Resin-modified glass ionomers have consistently outperformed alternative materials when it comes to survival and success of cervical restorations.5 For glass hybrids, two randomised trials comparing this material against resin composites were identified.

The first study included a small sample of 25 patients with non-carious cervical lesions and bruxism.6 In these overall rather young patients, 148 lesions were randomly restored, indicating a massive clustering of the lesions per patient, with either a glass hybrid (EQUIA Forte, GC) or a resin composite (ceram.x one universal, Dentsply Sirona). After six, 12 and 24 months of follow-up, the restorations were re-evaluated using the modified United States Public Health Service (USPHS) criteria. When assessing the 126 remaining restorations in 22 patients at the 24-month recall, it was apparent that both materials had performed similarly. Only for marginal adaptation was a significant difference found, the glass hybrid showing slightly reduced adaptation. Secondary caries was not observed on any of the restorations.

Fig. 2: Cervical lesions restored with the glass hybrid EQUIA Forte.

Fig. 2: Cervical lesions restored with the glass hybrid EQUIA Forte.

Fig. 3: Glass hybrid restorations at follow-up after 6.5 years.

Fig. 3: Glass hybrid restorations at follow-up after 6.5 years.

Another study, with a follow-up of 36 months, assessed the survival, quality and costs of glass hybrid (EQUIA Forte) and resin composite restorations (Filtek Supreme XTE, 3M) for managing sclerotic non-carious cervical lesions.7 In 88 patients (50–70 years of age) with 175 lesions, restorations were placed directly without any mechanical preparation, which eventually resulted in high annual failure rates for both groups. Restoration quality was assessed at one, 18 and 36 months using the FDI World Dental Federation criteria. Costs were evaluated using a micro-costing approach (accounting for the time for material placement) and, during follow-up, fee items of the statutory insurance in Germany. Of the 88 patients, 43 received the glass hybrid (83 restorations) and 45 received the resin composite (92 restorations); cluster randomisation had been applied. At 36 months, 17 glass hybrid restorations and 19 resin composite restorations showed total retention loss, and five glass hybrid restorations had been partially lost. There was no significant difference between the materials. The FDI ratings were not significantly different for any domain except surface lustre. Here, the composite restorations were superior to the glass hybrid ones, although it should be noted that the latest generation of glass hybrids address such aesthetic effects. Costs were significantly lower for the glass hybrid restorations—both initially (€32.57; SD: €16.36) and in the long term (€41.72; SD: €25.08)—compared with the resin composite restorations (€51.60; SD: €26.17).

In summary, both studies—randomised trials of a robust design—indicate the suitability of glass hybrids for restoring cervical lesions. Moreover, they not only demonstrate that the material shows similar survival, but also flag the advantageous cost-effectiveness of this material. That glass ionomer materials work well for this indication is not necessarily new. However, aspects concerning the economic differences between composites and glass hybrids for managing cervical lesions had not been assessed in detail before. Regardless of the restorative material used, preparation of sclerotic surfaces is likely beneficial.

Occlusal-proximal lesions (Figs. 4–9)

In contrast to cervical lesions, glass ionomers were not considered for restoration of posterior, load-bearing and proximally extended cavities in the past. As mentioned, their limited flexural strength and abrasion and erosion resistance have often compromised the success and survival of glass ionomer restorations for this indication. However, with the glass hybrid materials, a number of clinical studies have now refuted that notion. Two recent randomised trials are particularly noteworthy.

In the first trial, a glass hybrid (EQUIA Forte), a bulk fill composite resin (Filtek Bulk Fill Posterior Restorative, 3M) and a micro-hybrid composite resin placed incrementally (Charisma Smart, Kulzer) were compared.8 In total, 109 teeth in 54 rather young patients (31 female, 23 male; mean age: 22 years) with two-surfaced (mesio-occlusal, disto-occlusal) cavities in permanent teeth were randomly restored. The restorations did not extend towards cusps and all cervical margins were placed in sound enamel (i.e. not subgingivally). After caries removal and minimally invasive preparation, the materials were placed. After up to 24 months, 84 restorations were evaluated using the modified USPHS criteria. Composite restorations showed better anatomical form, contact points, colour matching, surface texture and overall survival compared with the glass hybrid restorations.

Fig. 4: Class I restoration on tooth #47 with marginal discoloration and recurrent caries prior to treatment.

Fig. 4: Class I restoration on tooth #47 with marginal discoloration and recurrent caries prior to treatment.

Fig. 5: Class I glass hybrid restoration with EQUIA Forte after placement.

Fig. 5: Class I glass hybrid restoration with EQUIA Forte after placement.

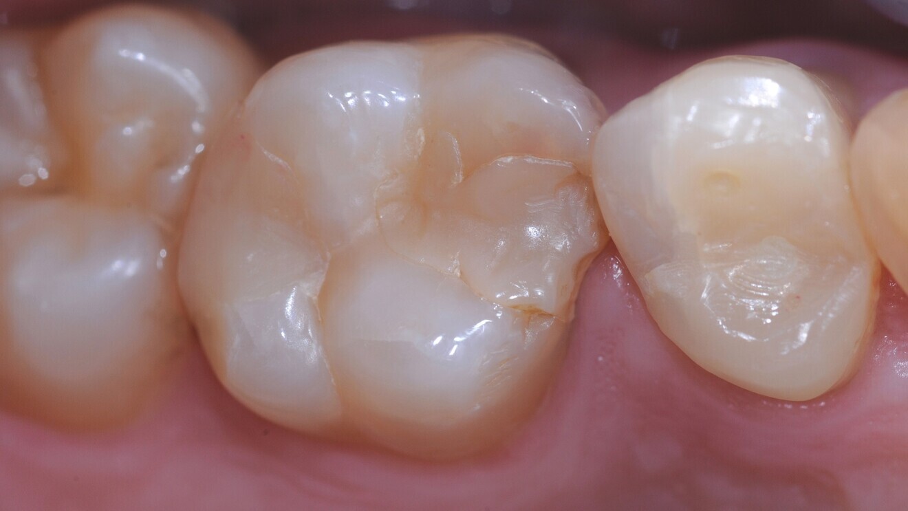
Fig. 6: Glass hybrid restoration at follow-up, three years after placement.

Fig. 6: Glass hybrid restoration at follow-up, three years after placement.

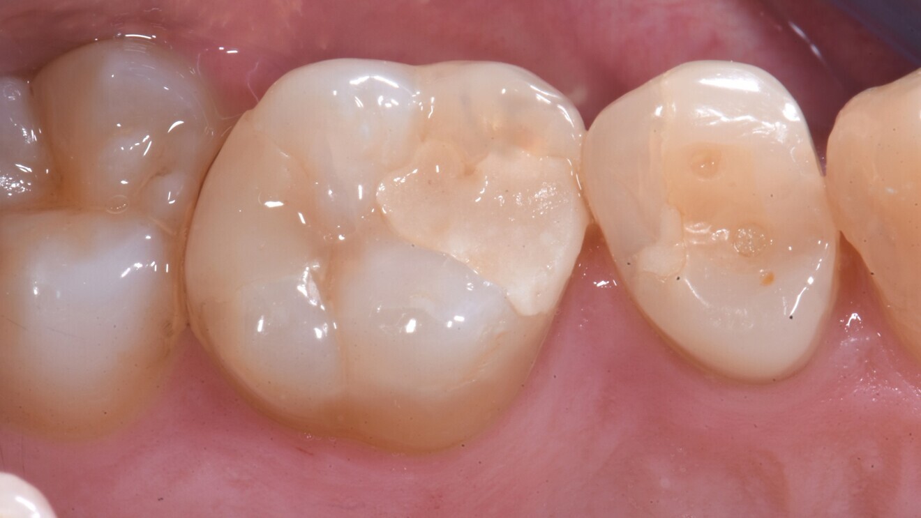
Fig. 7: Class II restoration on tooth #26 with secondary caries.

Fig. 7: Class II restoration on tooth #26 with secondary caries.

Fig. 8: Class II glass hybrid restoration with EQUIA Forte on tooth #26 after treatment.

Fig. 8: Class II glass hybrid restoration with EQUIA Forte on tooth #26 after treatment.

Fig. 9: Class II glass hybrid restoration five years after treatment.

Fig. 9: Class II glass hybrid restoration five years after treatment.

A multinational randomised controlled split-mouth trial in four university hospital centres in ZagrebCroatia, Belgrade in Serbia, Milan in Italy and Izmir in Turkey compared a glass hybrid (EQUIA Forte) against a nano-hybrid composite (Tetric EvoCeram, Ivoclar) for a similar indication.9, 10 The study involved occlusal-proximal two-surfaced restorations in the molar region in adults with a permanent dentition; each individual needed to have two similar cavities in vital (positive response to ethyl chloride) molars of the same jaw to allow for the split-mouth design. A total of 360 restorations were placed in 180 patients. Per patient, one tooth was randomly selected to be restored with the glass hybrid and the other with the composite. Pre-contoured sectional matrices were employed and cavities conditioned according to the manufacturer’s instructions prior to placing the material. For the composite, a two-step self-etching adhesive (Adhese Universal, Ivoclar) was employed. Patients were followed up after one week, one year, two years and three years and the restorations assessed using the FDI criteria. Additionally, the costs of each restoration from the patient’s perspective were calculated, accounting for direct medical costs. To assess cost-effectiveness, incremental cost-effectiveness ratios were used, expressing the cost difference according to gained or lost effectiveness.

In that trial, patients in Italy were older than in the other centres, and overall, more patients were female than male. Thirty-two patients dropped out over the three-year period, and 21 received retreatments of 27 restorations. The mean survival time of the restorations was high across all centres and did not differ significantly between the two materials (Table 1). In three of the countries, the composite was more expensive both initially and over the long term (over the three-year follow-up and accounting for managing complications too). When assessing the cost-effectiveness (in US$ and survival in months), the composite was usually more costly than the glass hybrid in three of the countries. Overall, each additional month without complications for the composite compared with the glass hybrid group cost US$270.

Table 1: Patient characteristics and mean (standard deviation) costs and survival times.
Parameter Country
Croatia Italy Serbia Turkey
Age (years) 26.5 (7.4) 44.6 (15.8) 31.7 (11.4) 30.6 (11.2)
Sex (f/m) 44/16 16/16 16/12 40/20
Glass hybrid cost (US$) 92.7 (7.4) 146.1 (12.9) 44.0 (3.3) 66.2 (11.9)
Composite cost (US$) 126.42 (16.3) 146.2 (19.3) 61.0 (3.5) 128.6 (3.8)
Survival time glass hybrid (months) 35.1 (3.4) 35.3 (2.3) 34.1 (6.2) 35.0 (3.0)
Survival time composite (months) 34.3 (5.1) 35.0 (4.0) 34.9 (4.6) 35.8 (1.0)

The emerging body of evidence demonstrates that the glass hybrids are also promising for posterior, proximally extended cavities. While there are some inconsistencies regarding the comparative longevity of glass hybrids versus composites for this purpose between the two studies described, the results of the large multinational trial especially are assuring. In four independent centres, concordant results were generated, confirming that both the composite and glass hybrid were suitable materials for load-bearing cavities over the three-year observational period. Notably, the cost-effectiveness of glass hybrid was once more confirmed, deeming it a particularly good amalgam alternative when cost considerations are important, for example in low- and middle-income countries but also in most statutory or social insurance settings in high-income countries. Using an extrapolation model, it was further demonstrated that this cost-effectiveness was likely to be retained in the long term. A 2021 study found the added effectiveness of the composite to be minimal but also more costly than the glass hybrid.11 In sensitivity analyses, and under certain assumptions, the glass hybrid was even more effective and still less costly than the composite.

Glass ionomers as essential medicines

Given the advantages of glass ionomers and glass hybrids and the recent advancements, a World Health Organization (WHO) expert committee declared in 2021 that “[glass ionomer cement] has caries-preventive properties due to continued capture and release of fluoride ions, which remineralise carious tooth structures, and have a bacteriostatic effect. Glass ionomer cement results in lower rates of recurring caries compared to composite or amalgam restorations and reduces the incidence of new cavities on other teeth. The simplicity of application makes glass ionomer cement suitable for primary healthcare and field settings, including for people with special needs”.12 As a result, glass ionomers were, as one of only a few dental materials, defined as essential medicines,13 that is, materials needed for a basic healthcare system. Essential medicines are usually the most efficacious, safe and cost-effective materials for a particular condition (in this case, dental caries). In 2019, glass hybrids were recognised by FDI as a class of restorative materials suitable for single-surface restorations and Class II restorations in permanent teeth.14, 15

Conclusion

The era of dental amalgam is slowly coming to an end, and it can be expected that, in the future, the use of amalgam will cease entirely in most healthcare systems. There is not a single material that fulfils all the requirements for an amalgam replacement; instead, a range of materials with different properties are available and dentists will need to make informed choices about which material suits which indication best. Glass ionomers and glass hybrids are among the potential amalgam replacements and have shown considerable evolution over the last two decades. Evidence supports the use of glass hybrids for both cervical and posterior load-bearing restorations. The cost-effectiveness and applicability of these materials are likely superior to those of other materials, while improvements in further material characteristics (specifically flexural strength) would be welcome to establish this material as truly universal amalgam replacement material. For most healthcare systems worldwide, though, glass ionomers and glass hybrids are already essential medicines according to the World Health Organization.

Editorial note:

The list of references can be accessed here.

Tags:
To post a reply please login or register
advertisement
advertisement