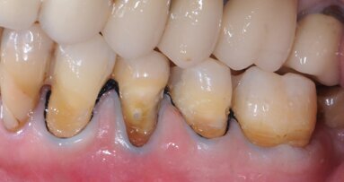
LUCERNE, Switzerland: G-CEM ONE is the newest self-adhesive resin cement from GC that simplifies procedures and brings together high bond strength, effortless clean-up and long-lasting aesthetics. In a series of laboratory tests measuring G-CEM ONE’s bond strength, DENTAL ADVISOR has reported that the self-adhesive cement “performed as well or better than competitive materials tested in the self-adhesive mode” and that, when used in conjunction with GC’s Adhesive Enhancing Primer (AEP), “bond strength to enamel and dentine was highest among the tested groups”.
According to GC, G-CEM ONE has an excellent self-curing ability for a wide range of indications. It provides flexibility by being effective in all cementation procedures and for any type of restoration—including metal-based, resin and all-ceramic inlays, onlays, crowns, bridges and posts—while demonstrating outstanding bond strength to enamel, dentine and all indirect restorations.
The optional AEP possesses GC’s touch-curing technology, which allows for rapid curing of the cement at the critical tooth interface to prevent gap formation and provide early bond strength. AEP is easy to apply, and no additional light-curing is needed—it can simply be applied and air-dried.
According to GC, G-CEM ONE is a truly universal, non-technique sensitive, versatile and reliable product.
The full research report from DENTAL ADVISOR is available here.
Tags:
LUCERNE, Switzerland: Dentists agree that GC Initial LiSi Block delivers excellent margin quality and saves significant time because it is “just mill, ...
LUCERNE, Switzerland: On 11 February 2021, GC Corp. celebrated its 100th anniversary. As part of the continued celebrations surrounding this milestone, the ...
LEUVEN, Belgium: In celebration of its 100th anniversary, GC is holding a symposium on 27 May dedicated to luting. During the online event, three ...
The number of universal adhesives being offered by the dental industry nowadays can make it difficult to decide whether it may be worth switching to another...
The co-editor-in-chief of the Journal of Adhesive Dentistry and chair of the Department of Oral Health Sciences at KU Leuven in Belgium, Prof. Bart Van ...
For about a century, dental amalgam has been the standard restorative material for posterior carious lesions. Given its ease of placement, its moisture ...
Alsip, Ill., U.S.: GC America will be hosting a one-day virtual symposium on Oct. 29 as part of the many events accompanying GC’s centennial celebrations....
FLORIANÓPOLIS, Brazil: Between 27 and 30 April, more than 1,200 dental professionals took part in the many engaging activities and learning opportunities ...
LEUVEN, Belgium: GC is committed to giving dental professionals easy access to educational resources. After a number of successful online symposia, the ...
Differences within material classes in CAD/CAM ceramics are not obvious at first glance. A knowledge of materials science is required in order to classify ...
Live webinar
Mon. 8 June 2026
1:00 pm EST (New York)
Dr. Anthony Mak B.D.S, Prof. Marleen Peumans
Prof. Judith Jones D.D.S; M.P.H., Prof. Kakuhiro Fukai D.D.S., Ph.D, Dr. Bathsheba (Bethy) Turton
Dr. Poonam Jain BDS, MS, MPH
Dr. Kostas Karagiannopoulos, MDT Stefan M. Roozen MDT
Dr. Julie Driscoll DMD, FAGD
To post a reply please login or register