Prof. Ivana Miletić from the Department of Endodontics and Restorative Dentistry at the University of Zagreb School of Dental Medicine in Croatia is one of nine speakers of the upcoming GC international congress on minimum intervention (MI) dentistry. In her online presentation, she will demonstrate the clinical use and advantages of glass hybrid material in everyday practice.
Prof. Miletić, on 20 June, GC Europe will be hosting its first International MI Congress. Do you believe that minimally invasive dentistry should be more of a priority in general? Absolutely. I believe that this is the way for us dentists to accomplish much more for our patients in daily practice. If we implement the MI philosophy in routine work, we will approach our patients holistically, know all the factors that influence the patient’s susceptibility to developing any kind of an oral disease, including caries, eliminate or, at least, control these factors and create an individual treatment plan with prevention as a priority.
In your webinar, you will speak about the clinical use of glass hybrids. What has been your personal experience with the material? Ever since I started working as a clinician, I have used a glass ionomer-based material regularly, almost daily, owing especially to its chemical adhesion to hard dental tissue and its bioactivity. Naturally, I have always paid close attention to every new improvement of the glass ionomer-based material, and of course, when glass hybrid technology was introduced about five years ago, I was among the first clinicians to use it in my country. This technology has improved the way I work. Furthermore, I am very satisfied with the functional and aesthetic results, and so are my patients.
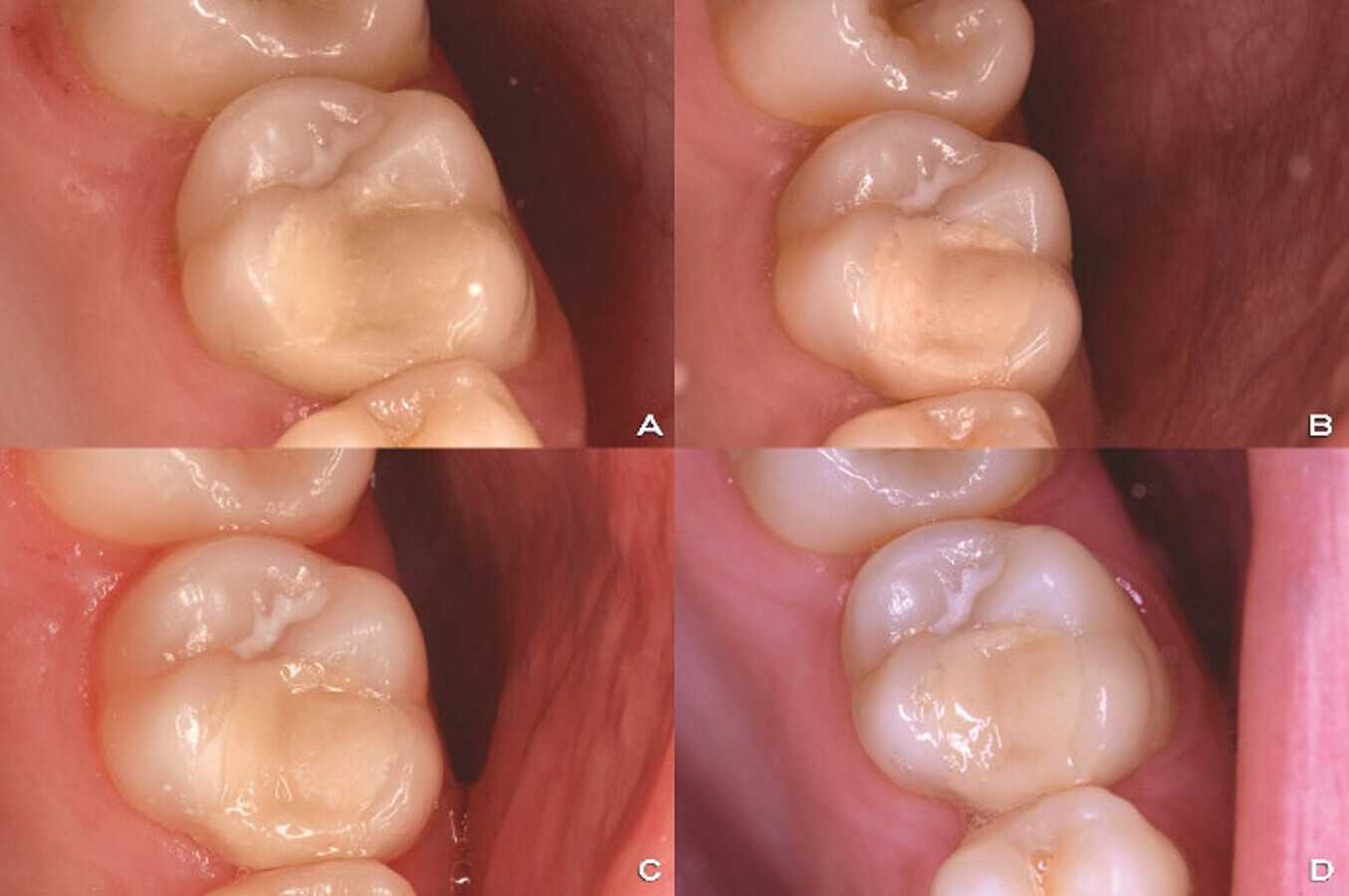
Restoration with glass hybrid EQUIA Forte. After the placement (A), 1–year recall (B), 2–year recall (C) and 3–year recall (D). (Image: Ivana Miletić)
What are some advantages of this restorative material compared with other materials? What I like about glass hybrids is that they are quite forgiving and tolerant regarding clinical challenges like that of maintaining a dry working field. What’s more, the restorative procedure is quite simple and quick, which is sometimes a huge advantage, especially when working with children and older adults.
To what extent is it a minimally invasive material? Glass hybrids are clearly minimally invasive materials because, as a long-term restorative material, they offer the unique opportunity to remove only soft and infected dentine and achieve sufficient and strong chemical bonding to demineralised dentine. Furthermore, the battery effect of the material, releasing and recharging with fluoride ions, provides protection, especially in patients with a high risk of caries occurrence, and healing in very deep carious lesions.
Which patient group are glass hybrids targeted at and why? Although glass hybrids can be used in many clinical situations, some patient groups in particular can benefit from this material. I would certainly emphasise children, because the procedure is much less time-consuming in comparison with composite, but also the elderly, who may suffer from various diseases and may require shorter and more time-efficient appointments. All patients with a high caries risk will surely benefit from the bioactive properties of glass hybrids.
Editorial note:
Prof. Ivana Miletić’s webinar, titled “Glass-hybrids: Your partner in routine work”, will be broadcast live on 20 June at 4:20 p.m. CEST. Participants will be able to earn a continuing education credit by answering a questionnaire after the lecture. Dental professionals who would like to join the webinar may register at the GC Europe Campus.
Through the Minamata Convention on Mercury in 2013, the countries of the EU committed themselves to completely or largely eliminating mercury-containing ...
Glass hybrid restoratives offer a unique combination of advantages in dentistry. They are biocompatible and require neither the application of bonding ...
LUCERNE, Switzerland: EQUIA Forte and EQUIA Forte HT, the glass hybrids from GC, are the ideal partners for dentists who want to practise environmentally ...
BERLIN, Germany: A four-country randomised controlled clinical trial recently proved the clinical performance and superior cost-effectiveness of glass ...
In order to avoid the shortcomings of conventional metal-based materials and to create natural-looking dental restorations, lithium disilicate has become ...
RHODES, Greece: Researchers have recently presented the results of a five-year multicentre clinical study involving the EQUIA Forte glass-hybrid restorative...
Dr Andreas Kurbad established his private practice in Viersen in Germany in 1990 and started using CEREC in 1994. He has published more than 100 papers on ...
The co-editor-in-chief of the Journal of Adhesive Dentistry and chair of the Department of Oral Health Sciences at KU Leuven in Belgium, Prof. Bart Van ...
Differences within material classes in CAD/CAM ceramics are not obvious at first glance. A knowledge of materials science is required in order to classify ...
VIENNA, Austria: At EuroPerio11, which is currently being held in Vienna in Austria, GC will present a dedicated symposium focusing on the clinical ...
Education
Live webinar Mon. 8 June 2026 1:00 pm EST (New York)
On 3 and 4 October, dental professionals from around the world will gather in Tokyo in Japan for the sixth GC International Dental Symposium. Organised as ...
TOKYO, Japan: Leading dental manufacturer GC Corp. has invited global dental professionals to save the date for its sixth International Dental Symposium, ...
MUNICH, Germany: On 1 and 2 December, the International Society for Minimum Intervention Dentistry held a consensus workshop in Munich in Germany. Hosted at...
To post a reply please login or register