Search Dental Tribune

Long-term restorative glass hybrids—eco-friendly and cost-effective evolution from GC

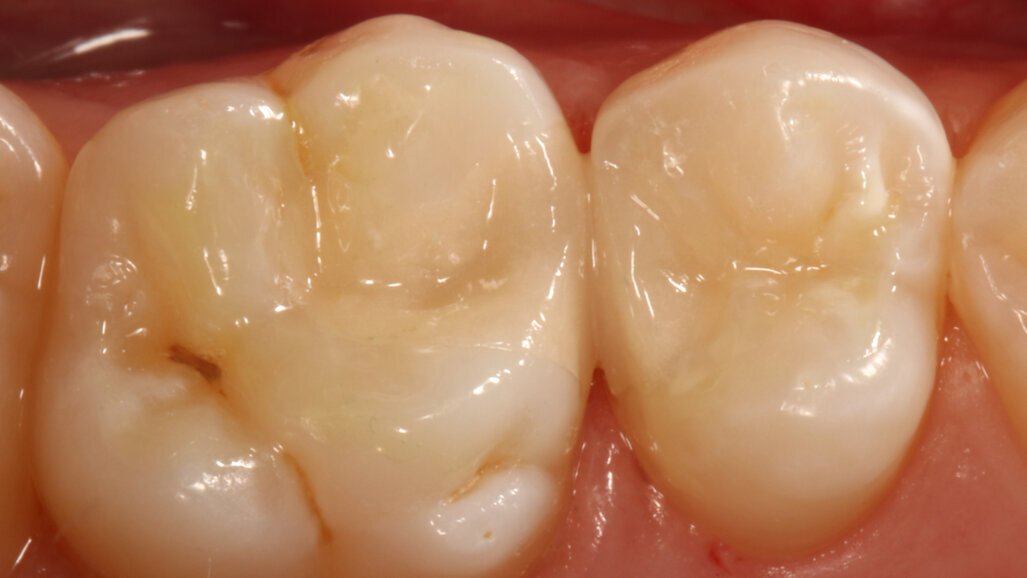
Finished restoration with GC’s glass hybrid material. (Image: Zeynep Bilge Kütük)

Mon. 3. April 2023

save

LUCERNE, Switzerland: EQUIA Forte and EQUIA Forte HT, the glass hybrids from GC, are the ideal partners for dentists who want to practise environmentally friendly dentistry. A unique eco-friendly capsule and a lower amount of waste and energy consumption make these glass hybrids the restorative material of choice.

Following the green dentistry or eco-friendly dentistry approach, dental professionals are seeking alternatives in order to reduce environmental impact while still delivering high-quality treatment to their patients. This innovative way of dentistry reduces waste, preserves energy and decreases pollution with the use of the latest techniques and procedures.

With 25% less plastic than the competition, EQUIA Forte and EQUIA Forte HT capsules aim to reduce carbon dioxide emissions while preserving the high quality of the product. Moreover, the overall waste generated by this capsule is lower compared with that generated by similar products, according to a recently published report from the DENTAL ADVISOR Biomaterials Research Center that investigated the mass of the capsule packaging and the amount of wasted restorative material of several direct-placement dental restorative materials.

The overall waste generated by EQUIA Forte HT capsules is lower compared with that generated by similar products. (Image: DENTAL ADVISOR)

The overall waste generated by EQUIA Forte HT capsules is lower compared with that generated by similar products. (Image: DENTAL ADVISOR)

The cost-effectiveness of glass hybrids has been intensively evaluated in several independent, long-term randomised clinical trials. Results have proved that, whereas they performed similarly to resin composite, glass hybrid restorations required shorter procedure time and less interventions over the years, as isolation is not mandatory for glass hybrids and they can be inserted using bulk placement, allowing fast insertion of the material in the dental cavity. In addition, the finishing and polishing steps are performed more quickly compared with composites as a result of the resin coat that creates a glossy surface within a few seconds. Such features not only make glass hybrids cost-efficient but may also contribute to reducing the consumption of energy and water while also reducing the amount of waste.

Fig. 1, a–c: Treatment of a high caries risk patient with EQUIA Forte TH. (Images: Zeynep Bilge Kütük)

Fig. 1, a–c: Treatment of a high caries risk patient with EQUIA Forte TH. (Images: Zeynep Bilge Kütük)

Offering less plastic, reduced waste and proven cost-effectiveness, glass hybrids contribute towards the evolution of a greener dentistry.

More information can be found at www.gc.dental.

Tags:
To post a reply please login or register
advertisement
advertisement