Search Dental Tribune

Dental News

Dental caries experience continues to decline

COLOGNE, Germany: A recent study has assessed trends in dental caries experience in permanent dentition in Germany. The findings show that dental caries in ...

save

Interview: “Bruxism requires dentists to look beyond the mouth”

The Greeks had a word for what we now refer to as bruxism: brychein—the grinding or gnashing of teeth. With references to this “gnashing of teeth” in ...

save

Interview: Athletes are very receptive to improving their oral health for better performance

Studies have consistently reported poor oral health in elite athletes, the detrimental effects of which not only impact their general health, but also their...

save
advertisement

Interview: Why is implant dentistry expanding so fast in China?

Dental implant workflow is taking over in Hong Kong, but Hong Kong isn’t alone. The growth of implant dentistry is happening across every region in China....

save

3Shape and GuardLab announce equipment and marketing partnership

COPENHAGEN, Denmark: 3Shape, an award-winning developer and manufacturer of 3-D scanners and CAD/CAM software solutions for the dental industry, has ...

save

FDA proposes new fluoride standard for bottled water

SILVER SPRING, Md., U.S.: The Food and Drug Administration (FDA) has recently proposed the lowering of the allowable level of fluoride in bottled water when...

save

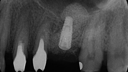
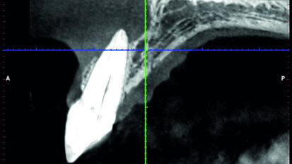
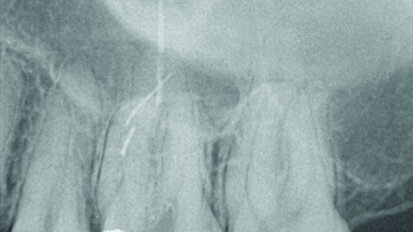
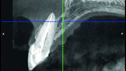
Trends in dentistry: What is currently happening in implantology?

Dentistry is developing quickly and even more so the field of implantology. To update dentists, Dental Tribune International asked four implantology ...

save

ACTEON – X-Mind prime

Tue. 9. April 2019

Simple is the New Smart ! Today, the use of a multi-function imaging system blending 2D panoramic, cephalometric and CBCT imaging is essential in any dental procedure. The support of diagnostic CBCT ...

save
advertisement

Australian government continues to support child dental care scheme

CANBERRA, Australia: The Australian government has recently announced it will be committing A$1 billion to ensure the sustainability of the Child Dental ...

save

ACTEON – X-Mind trium true low dose

Mon. 8. April 2019

TRUE LOW DOSE is the latest X-Mind trium CBCT innovation from ACTEON, with up to 50% less radiation exposure* and no loss of image quality and accuracy.

save

Interview: The battle between digital and analogue

The use of digital technologies in dentistry is on the rise, a fact that clinicians Dr Galip Gurel, Dr Stefan Koubi and dental technician Hilal Kuday are ...

save

Oral Reconstruction Global Symposium 2020 to take place in New York

NEW YORK, U.S.: The Oral Reconstruction Foundation has announced the theme and venue for its 2020 Oral Reconstruction Global Symposium. With a lineup of ...

save
advertisement

The fully digital Pro Arch protocol

The Straumann Pro Arch concept involves different treatment solutions for the fully edentulous patient. The objective is to provide a predictable, ...

save
advertisement

Facial transplant surgery improves speech in patient with severe facial trauma, study finds

NEW YORK, U.S.: Facial transplantation is one of the most extensive facial reconstructive surgeries available. The procedure involves the partial or total ...

save
advertisement

ACTEON - PURE REFLECT mirrors

Sat. 6. April 2019

Visual examination is the first stage in diagnosis. So mirrors quickly became essential in dentistry as the practitioner's third eye. Knowing that in the oral cavity, dentists work with indirect ...

save
Event 26 - 27 April 2019

Scottish Dental Show 2019

Lunos—An insider tip for hardening the tooth surface

BIETIGHEIM-BISSINGEN, Germany: As part of prophylactic treatment, fluoridation plays a major role in the protection against caries. In addition, it can halt...

save
advertisement

Interview: In many European countries, dental hygiene is still not recognised as a profession

Trained at Eastern Washington University in the US in its pioneering dental hygiene programme, Dr Tracey Lennemann has been living in Europe since 1988, ...

save
advertisement