In cases of severe posterior bone atrophy, Straumann Pro Arch is a solution that helps achieve fixed restoration for the patient. Straumann Guided Surgery and the coDiagnostiX planning software (Dental Wings) can produce predictable results in cases of complex bone anatomy or when implants are placed such to obtain planned multi-unit angulation. With CARES Visual (Straumann), we can obtain a precise framework fit on the original components, which is fundamental for the final restoration.
Initial situation
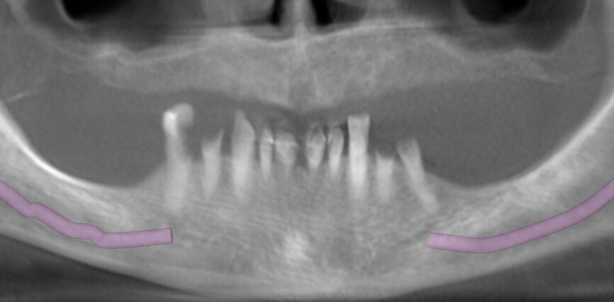
A 70-year-old female patient in good general health presented to a private practice with an edentulous maxilla and partially edentulous mandible seeking a fullmouth rehabilitation. Conditions in the maxilla allowed satisfactory retention of a new complete denture, which was accepted by the patient, while the mandible exhibited severe atrophy of the hard- and soft-tissue in the posterior region and hopeless teeth in the frontal area, as observed clinically and confirmed by a CT scan (Fig. 1).
Treatment planning
Bone quality in the mandible allowed placement of four implants in the anterior region, with both lateral implants tilted, and did not allow for any implants to be placed in the distal area. For these reasons, the Pro Arch concept was chosen as a treatment modality. As bone conditions in the mandible were very difficult in terms of correct implant placement, it was decided to place them with the help of a surgical guide.
The planning included several steps. First, the hopeless teeth in the mandible were to be extracted, followed by delivery of a complete immediate denture, as they did not offer any stable support for a surgical guide. Six weeks later, owing to the lack of keratinised tissue in the premolar regions, apical repositioning and a free gingival graft were performed (Fig. 2). After 1.5 months, the denture was relined with a mixture of barium sulphate and resin, transforming the denture into a radiographic stent (Fig. 3). Another CT scan was recorded with the stent in the mouth (Fig. 4). The stone cast of the stent was poured (Fig. 5), giving us the actual clinical picture of the mucosa, and both cast and stent were scanned to obtain their STL files. Using the coDiagnostiX planning software, the radiopaque saddle of the stent and the STL scan were matched, which also allowed the stent to be matched with the cast as positive and negative, thus, giving us the soft-tissue volume. Implants were planned in a prosthetically driven manner at sites #34, 32, 42 and 44, with corresponding screw-retained abutments (Fig. 6).
Because of an open-flap procedure owing to the lack of keratinised tissue and the placement of long implants (all Straumann BLT Roxolid, SLA implants; 4.1 × 12.0 mm), it was decided to make two surgical guides: first, a mucosa-supported guide only for drilling the template fixation pins (Straumann; Fig. 7); and second, a pin-supported guide for fully guided implant placement (Fig. 8).
The software can be used to choose a screw-retained abutment in implant planning. Also, we can plan abutment placement with the engraving of implant rotation markers on the guide. This planning helps us stop at the right moment in terms of rotation at the very end of implant placement. We planned to convert the denture into an immediate temporary fixed restoration and deliver the final restoration three months after implant placement.
Surgical procedure
On the day of surgery, two impressions were taken: first with the guide for the pins for stable drilling (Fig. 9), then with the existing prosthesis (Fig. 10) for its correct conversion into an immediate restoration. The first mucosa-supported guide was used for drilling the sites for template fixation pins (Fig. 11). Next, the guide was removed, the flap was raised and the second guide was fixed with the pins at the corresponding sites (Fig. 12).
Implant beds were prepared (Figs. 13 & 14) and Straumann BLT implants placed with a torque setting of more than 35 Ncm, following the protocol to allow correct subsequent screw retained abutment placement (Figs. 15 & 16). Bone around the implants was prepared with bone profilers (Straumann) for the same reason (Fig. 17). The crest was flattened (Figs. 18 & 19), screw-retained abutments were screwed to 35 Ncm (Fig. 20) and covered with healing caps, and the wound was sutured (Fig. 21).
Prosthetic procedure
Provisional restoration
On the same day of the surgery, the existing denture was converted into an immediate temporary fixed restoration by adjusting it on temporary abutments directly in the mouth (Fig. 22), and an impression was taken as a double- check. The restoration was tightened to 15 Ncm (Fig. 23). Ten days later, the sutures were removed, the control CT scan was recorded (Fig. 24) and the results were assessed with the coDiagnostiX evaluation tool.
Final restoration
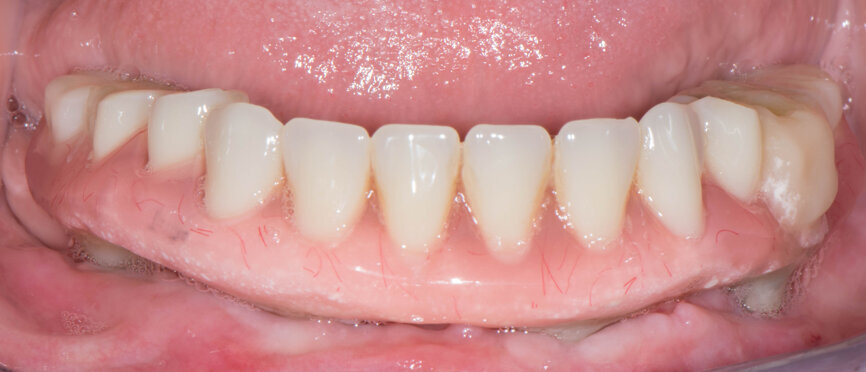
Two months after the implant placement, impressions were taken and the precision was checked with a verification jig (Figs. 25 & 26). The vertical dimension of the provisional prosthesis was followed when mounting the casts in the articulator (Figs. 27 & 28). The analogue set-up was tried in (Fig. 29), then scanned by the Straumann CARES 7 series scanner together with the model. The framework on Straumann Variobase screwretained abutments was designed in CARES Visual following the set-up anatomy (Fig. 30), then milled from titanium (Fig. 31). The passive fit of the framework was checked, and it was then veneered with resin with the denture teeth in place (Figs. 32 & 33). Variobase abutments were cemented into the prosthesis, and the final restoration was tightened to 15 Ncm (Fig. 34). Screw holes were closed with PTFE tape and composite.
Treatment outcomes
This case shows how digital technologies help achieve good results in complex surgical conditions and facilitate immediate predictable temporisation. It demonstrates that correct prosthetically driven implant planning results in a satisfactory final restoration.
Acknowledgements
Alexandr Dolgolaptev (framework) and Vyacheslav Bakaev (veneering) for performing the laboratory procedures.
Editorial note: This article was published in CAD/CAM - international magazine of digital dentistry No. 02/2019.
BERLIN, Germany: According to implantology and periodontics specialist Dr Juan Arias Romero, a new synergy between digital planning, guided implant ...
Patients often present to the dental office asking how long it will take to complete a full-mouth dental implant rehabilitation from start to finish. ...
A 62-year-old male patient was referred to my practice for implant planning and treatment in the maxillary anterior region. The teeth in the maxillary ...
Full-arch implant-supported reconstruction continues to provide viable solutions to restore and improve function, enhance aesthetics and change quality of ...
Implant planning and placement in the completely edentulous maxilla can present challenges both surgically and prosthetically whether a removable or fixed ...
When a patient presents to your dental practice with questionable and/or non-restorable teeth requiring full-mouth extractions, the greatest concern is ...
When a patient presents to your dental practice with questionable and/or non-restorable teeth requiring full-mouth extractions, the greatest concern is ...
The evolution of digital dentistry has revolutionised the way dental procedures are planned and executed. This case highlights the integration of various ...
Proper 3D implant positioning is a crucial factor for predictable implant and prosthodontic treatment. Guided osteotomy preparation and placing implants ...
The procedure of implantation is becoming an increasingly popular method for replacing teeth. The critical factor in the achievement of a therapeutic and ...
Live webinar
Tue. 19 May 2026
11:00 am EST (New York)
Live webinar
Tue. 19 May 2026
1:00 pm EST (New York)
Prof. Dr. med. dent. Ivo Krejci
Live webinar
Wed. 20 May 2026
7:00 am EST (New York)
Dr. Graham Carmichael BDSc (Hons), DClinDent (Pros), FRACDS, Dr. Robert Gottlander DDS
Live webinar
Wed. 20 May 2026
9:00 am EST (New York)
Live webinar
Wed. 20 May 2026
11:00 am EST (New York)
Live webinar
Wed. 20 May 2026
1:00 pm EST (New York)
Prof. Dr. med. dent. Tim Joda PhD, MSc, eMBA
Live webinar
Thu. 21 May 2026
12:00 pm EST (New York)
Dr. Leonardo Muniz DDS, MSC
To post a reply please login or register