Search Dental Tribune

Dental News

Sino-Dental 2024 showcases global innovations in dentistry

BEIJING, China: Yesterday, Sino-Dental 2024 opened its doors to the global dental community. Being hosted at the China National Convention Center in ...

save

Webinar to explore orthodontic therapy in the context of minimally invasive treatment

A free webinar on 19 June will offer participants an opportunity to learn about how to implement orthodontic treatment as a fundamental tool in the context...

save
Event 14 - 21 June 2024

Event date tester #1

Innovations in inclusive oral care: A conversation with Dr Maike Siemons

Following on Oral-B Big Rethink initiative,the brand, together with the International Association for Disability and Oral Health (iADH), recently introduced...

save

Using phased personalised care plans to manage root caries, especially among older people

As restorative dentistry shifts focus from core operative procedures to individual patient needs and values, the demand for holistic patient care for ...

save

New treatment for aphthous ulcers to undergo a clinical trial in Sweden

UMEÅ, Sweden: Recurrent aphthous stomatitis (RAS) is the most common painful oral mucosal disease in the world, occurring in 5%–25% of the world’s ...

save
advertisement

A look into the Implant Solutions World Summit 2024: Interview with Dr Malene Hallund

Dr Malene Hallund is an esteemed oral and maxillofacial surgeon and the visionary owner of the NORD advanced dentistry and oral surgery practice in ...

save

Curcumin holds promise in treating oral disease and cancers

BARI, Italy: An increasing number of products are appearing on the market aimed at replacing toothpastes and mouthrinses containing synthetic constituents ...

save

Major contributors revitalise WHO global strategy for oral health

GENEVA, Switzerland: The World Health Organization (WHO) has unveiled a new global oral health action plan, seeking to improve oral health outcomes and ...

save
Event 02 - 03 December 2026

2026

Location: Panait Cerna Oradea

UK to review guidelines on infective endocarditis prevention

LONDON, UK: Earlier this year, researchers from the University of Sheffield confirmed that dental patients at high risk of infective endocarditis (IE) ...

save

Indian paediatricians want to know more about oral health

GHAZIABAD, India: Nearly half of all children in India have early childhood caries (ECC), and research shows that reducing ECC incidence requires the ...

save
advertisement

The 122 Taper Kit: An innovation in dental implant technology

SEOUL, South Korea: Precision and ease of use are crucial for patient comfort and optimal results in implant dentistry. Osstem Implant, one of the leaders ...

save

Matcha: A new ally in the fight against periodontal disease

TOKYO, Japan: Extensive research shows that Porphyromonas gingivalis is linked with the initiation and progression of periodontal disease. The antimicrobial...

save

3D-printing inlays, onlays and overlays with SprintRay: A revolutionary approach to dental restorations

Dentistry has undergone a remarkable transformation with the advent of 3D-printing technology. Gone are the days when patients had to endure multiple visits...

save

Record-breaking Smile of the Year Awards 2024 celebrates dental excellence

SOFIA, Bulgaria: On the evening of 16 May, 19 teams of dental professionals received designer trophies branded with the Smile of the Year logo at the ...

save
advertisement

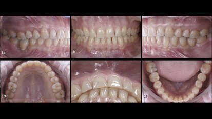
Skeletal and dental Class II, Division I malocclusion solved in 11 months with MTO system: Using Carriere Motion Appliance and clear aligners without extraction

Clear aligners are increasingly being used by orthodontists and requested by patients for its aesthetics, better hygiene and comfort. Thanks to ...

save

Straumann Group Enterprise Solutions leads the way in serving DSO customers

BASEL, Switzerland: Straumann Group has launched a dedicated brand for dental support organisations (DSO) and large dental institutions around the world. ...

save

Dürr Dental – Vista Pano 2.0

Thu. 30. May 2024

Digital panoramic X-ray device with S-Pan technology

save

Dürr Dental – MyLunos Duo

Thu. 30. May 2024

The all-rounder for all purposes

save
advertisement
advertisement

Eco-friendly dentistry: “The best time to start was yesterday. The next best time is now.”

Procurement, waste generation and water management are three major categories where dental practices could potentially become more sustainable. This is in ...

save

Exocad introduces PartialCAD 3.2 Elefsina for greater design flexibility for partial dentures

DARMSTADT, Germany: Exocad, an Align Technology company and a leading dental CAD/CAM software provider, has announced the release of PartialCAD 3.2 ...

save

Webinar on guided surgery, CBCT and CAD/CAM technology: From single-tooth replacement to full-arch cases

A webinar on 5 June will provide dental professionals with the knowledge and skills to harness the power of digital tools in dentistry. The presentation ...

save

Colorado and Minnesota join Dentist and Dental Hygienist Compact

DENVER, US: Colorado and Minnesota have become the eighth and ninth states to join the Dentist and Dental Hygienist (DDH) Compact. This occupational licence...

save
advertisement

Nobel Biocare launches Zygoma Academy

KLOTEN, Switzerland: At the recent Envista Summit in Barcelona in Spain, Nobel Biocare announced its latest advancement in professional development: Zygoma ...

save

Mixed trends stir dentistry majors

LEIPZIG, Germany: The first quarter of 2024 has yielded mixed results for dental companies. Leading dental laser provider BIOLASE experienced a 22% drop in ...

save

FDI World Dental Congress 2024 promises a valuable continuing education and networking experience

ISTANBUL, Turkey: FDI World Dental Federation has recently announced the programme for the much-awaited World Dental Congress 2024 (WDC24), scheduled to be ...

save

ROOTS SUMMIT continues to advance endodontic excellence

ATHENS, Greece: Endodontic enthusiasts from all around the world travelled to the Eugenides Foundation in Athens recently to attend the 25th anniversary ...

save
advertisement
advertisement