Search Dental Tribune

3D-printed provisional restorations on the build platform and evident supporting structures. (All image: Stefanie Lindner and Andreas Keßler)

Dental erosion caused by direct acid exposure without bacterial involvement has become increasingly clinically relevant in recent years.1 The extent of tooth structure loss due to such erosion depends on various individual factors.Both endogenous acids, such as gastric acid, and exogenous acids can cause erosion. Exogenous acids can originate from medications or acid vapours in the air during occupational exposure. However, the most common sources are food and drinks.3

The clinical pattern of erosion in the posterior region ranges from initial trough-shaped defects on the cusp tips to complete loss of the occlusal relief with dentine exposure. Severe erosive tooth structure defects are often accompanied by a reduction in occlusal vertical dimension (OVD). A variety of treatment options are available to restore the original OVD, although no technique or material has proved to be superior in the literature.4, 5 However, modifications of the occlusal relationship should be tested with occlusal splints and/or long-term provisional restorations before irreversible reconstructive measures are taken.

The provisional treatment phase allows testing of the aesthetic and phonetic optimum as well as a test drive of the newly defined OVD. Provisional restorations should be as minimally invasive as possible while meeting the increasing demands for aesthetics and function. If well accepted by the patient, the maxillomandibular relationship of the provisional restoration can be transferred to the final restoration.

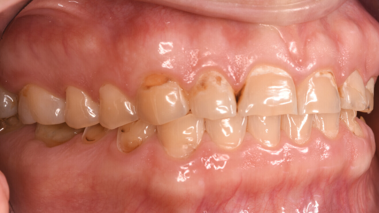
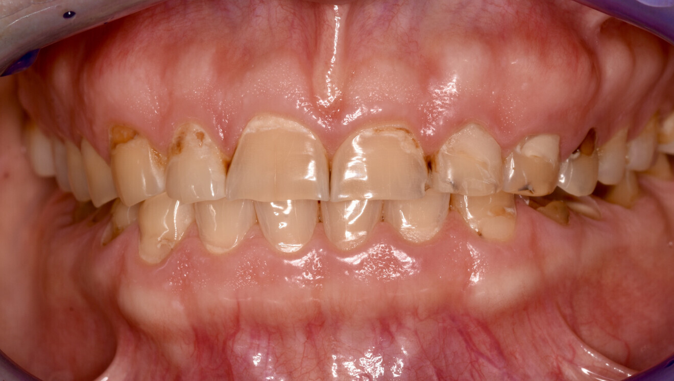
Fig. 1a: Initial situation. Recognisable loss of vertical dimension in the frontal view.

Fig. 1a: Initial situation. Recognisable loss of vertical dimension in the frontal view.

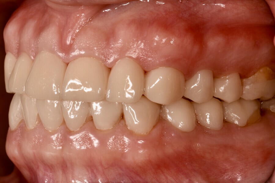
Fig. 1b: Initial situation. Left lateral view.

Fig. 1b: Initial situation. Left lateral view.

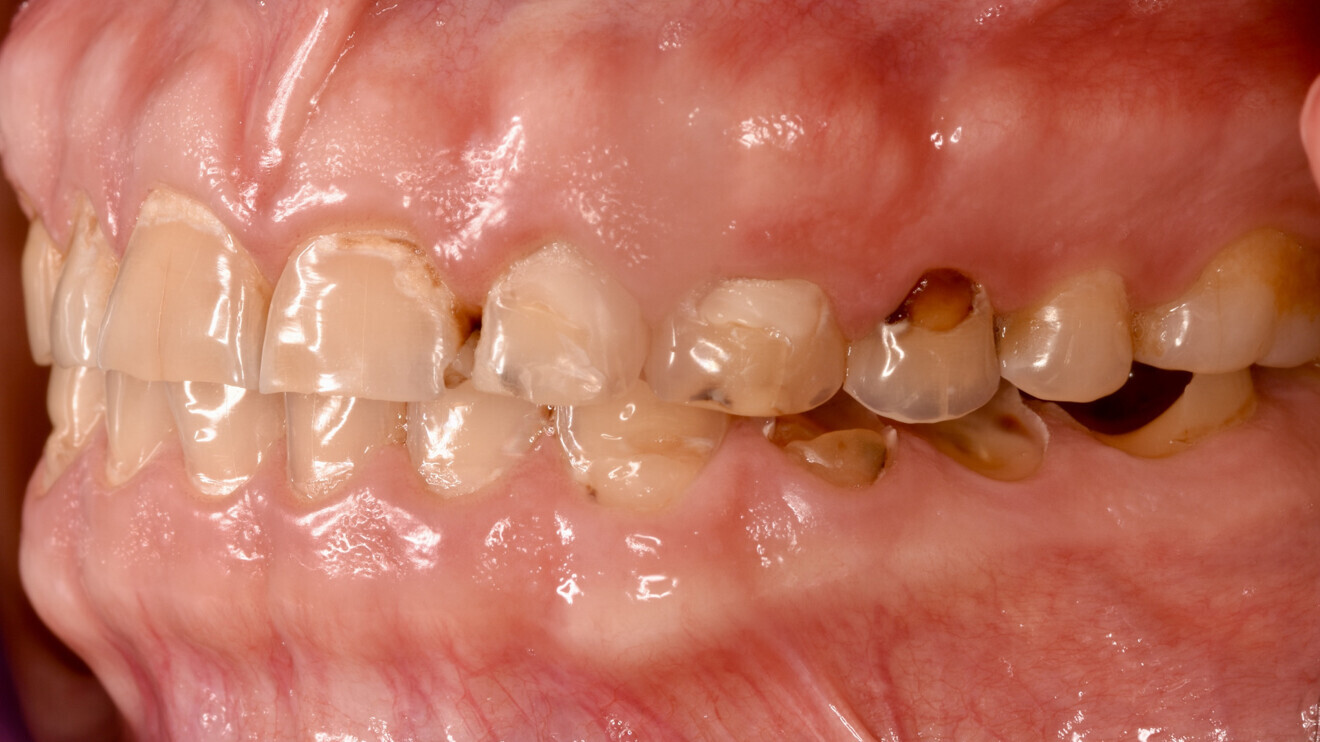
Fig. 1c: Initial situation. Right lateral view.

Fig. 1c: Initial situation. Right lateral view.

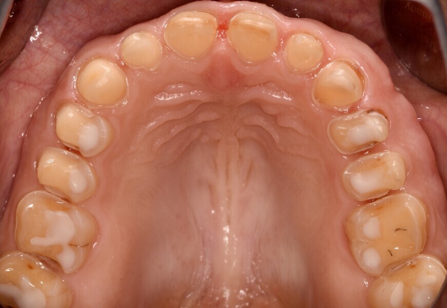
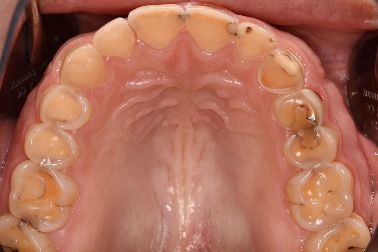
Fig. 1d: Almost complete loss of the occlusal relief in the upper jaw.

Fig. 1d: Almost complete loss of the occlusal relief in the upper jaw.

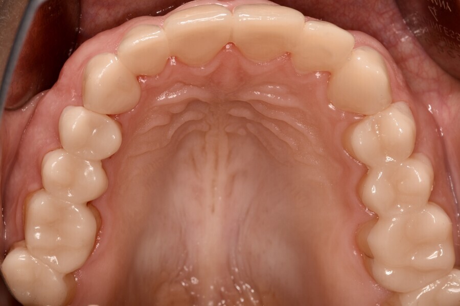
Fig. 1e: Almost complete loss of the occlusal relief in the lower jaw.

Fig. 1e: Almost complete loss of the occlusal relief in the lower jaw.

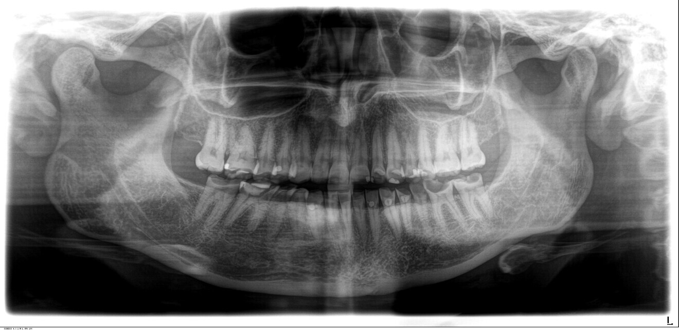
Fig. 1f: Dental panoramic tomogram.

Fig. 1f: Dental panoramic tomogram.

Fig. 2: Treatment procedure.

Fig. 2: Treatment procedure.

Long-term provisional restorations can be produced in the dental laboratory with CAD/CAM using subtractive processes. Subtractive manufacturing contrasts with additive manufacturing, commonly known as 3D printing, which is rapidly emerging as a supplementary or alternative method in digital dentistry. Subtractive manufacturing can cause chipping in the marginal areas of restorations owing to the contact pressure of the tools. In contrast, the additive technique, by creating a layered structure, enables the cost-effective and time-efficient production of complex geometries.6 The present case report illustrates the potential of 3D-printed long-term provisional restorations for complex rehabilitation with an increase in the OVD.

Clinical case presentation and diagnosis

 In January 2023, a 40-year-old female patient with an unremarkable general anamnesis presented to the general outpatient clinic of the Department of Conservative Dentistry and Periodontology of the university hospital of LMU Munich in Germany. The patient was dissatisfied with the aesthetic appearance of her teeth and complained of occasional hypersensitivity to hot and cold drinks. Her dietary history revealed excessive cola consumption of about 2 l per day.

The clinical and radiographic examination revealed pronounced erosive defects on all teeth (Figs. 1a-f). To prevent nocturnal wear of the remaining tooth structure, an occlusal splint had been prepared by the patient’s general dentist in the past. Quick screening for temporomandibular disorder using the tool developed by the German Society of Craniomandibular Function and Disorders was carried out and revealed no functional abnormalities. The diagnosis was generalised, highly pronounced erosion due to exogenous acid (cola), abrasion and attrition with decreased OVD, multiple carious lesions, dentine hypersensitivity, gingivitis and compromised aesthetics.

Treatment planning and conservative pretreatment

 As part of the pre-prosthetic pretreatment (Fig. 2), the carious lesions were treated with resin composite fillings. In addition, a professional dental cleaning was performed, oral hygiene instructions were given and information was provided on a healthy diet (including avoidance of excessive cola consumption). The professional dental cleaning was repeated several times during the course of treatment.

To treat this case, the conventional approach of adapting the masticatory system to a new maxillomandibular relationship with increased OVD using a mandibular splint was chosen. For the manufacture of the splint, an intra-oral scan (Primescan, CEREC Software 5.2.9, Dentsply Sirona) was performed (Figs. 3a & b). The maxillomandibular relationship in centric occlusion was digitally registered by means of an anterior jig and a facial scan. The scan data was sent to the dental laboratory, and the models were aligned in a virtual articulator using exocad DentalCAD. The required OVD was determined by means of a digital diagnostic wax-up. The splint was digitally designed in the lower jaw and fabricated from polymethylmethacrylate (PMMA) using the subtractive technique (Figs. 4a & b).

Fig. 3a: Digital scan of the initial situation. Upper jaw.

Fig. 3a: Digital scan of the initial situation. Upper jaw.

Fig. 3b: Digital scan of the initial situation. Lower jaw.

Fig. 3b: Digital scan of the initial situation. Lower jaw.

Fig. 4a: Mandibular splint made of PMMA.

Fig. 4a: Mandibular splint made of PMMA.

Fig. 4b: Mandibular splint in situ.

Fig. 4b: Mandibular splint in situ.

Mock-up

 To facilitate communication with the patient in the further course of treatment, a mock-up was 3D-printed based on the digital wax-up using the printable composite V-Print c&b temp (VOCO; Fig. 5). The mock-up was intended to give the patient an initial visualisation of the intended aesthetic and functional corrections.

Tooth preparation

 After completion of the splint pretreatment and good acceptance of the newly defined occlusal relationship on the part of the patient, defect-orientated preparation of the teeth was carried out. In the posterior region, large areas of exposed dentine were restored with adhesive build-up fillings (Tetric EvoFlow, Bleach, Ivoclar). The maxillary and mandibular posterior teeth and the maxillary anterior teeth were prepared for 3D-printed long-term provisional restorations (Figs. 6a & b). The veneer preparation on the mandibular anterior teeth was carried out as part of the final restoration in the last treatment step.

An intra-oral scan of the prepared teeth was performed (Primescan), and the scan data was transmitted to the dental laboratory (Figs. 7a & b). The prepared teeth were treated with provisional restorations made of Structur 3 (VOCO) using the direct technique until the long-term provisional restorations had been completed. With the help of splints made from 3D-printed models of the digital wax-up, an intra-oral transfer was possible for the fabrication of the direct provisional restorations.

Fig. 8: Provisional restorations in the CAM software with supporting structures.

Fig. 8: Provisional restorations in the CAM software with supporting structures.

3D printing

The scan data of the upper and lower jaw was digitally matched with the digital scan of the initial situation by means of anatomical reference points in the exocad software. The maxillomandibular relationship initially determined for the fabrication of the splint could thus be adopted, and the digital design of the restorations could be carried out. For stability, the provisional restorations in the anterior and posterior regions were designed as contiguous segments in this case. The STL data set of the restorations was then transferred to the CAM software Netfabb 2022.0 (Autodesk), and supporting structures were added to the non-functional areas (Fig. 8). The long-term provisional restorations were printed from V-Print c&b temp (Fig. 9).

After a dripping time of 10 minutes, unpolymerised resin residue was removed from the printed objects using a brush soaked in isopropanol. The objects were then detached from the build plate, and the supporting structures were removed. Post-polymerisation was performed 15 minutes after the last isopropanol contact, using two cycles of 2,000 flashes each in the Otoflash G171 (NK Optik). After post-processing, the provisional restorations were finished and polished to a high gloss (Figs. 10a-g). Finally, the temporary luting was completed with a dual-polymerising temporary luting composite (Bifix Temp, VOCO; Figs. 11a-e).

Final restorations

After the provisional restorations had been worn for six months, the newly defined occlusal relationship was transferred to final restorations. Adhesively fixed restorations made of monolithic lithium disilicate (IPS e.max Press, Ivoclar) were the first choice (Figs. 12 & 13). Owing to the thin margins in some areas, it was preferable for the restorations to be fabricated using the press technique.

A protective splint was recommended for night-time wear at the end of treatment to ensure long-term clinical stability. To protect against acid-induced erosive tooth structure loss, the use of a fluoride toothpaste with low abrasion and the avoidance of acidic foods and drinks were also suggested.

Fig. 12: Veneer preparation of the mandibular anterior teeth.

Fig. 12: Veneer preparation of the mandibular anterior teeth.

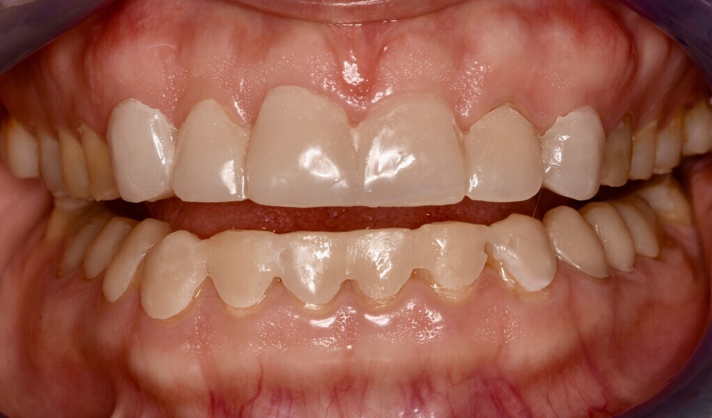
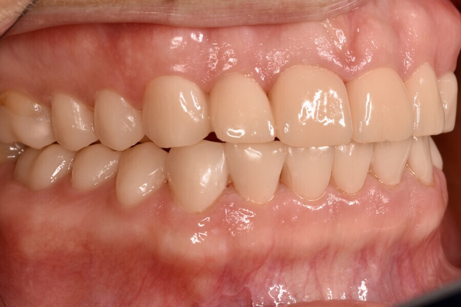
Fig. 13: Final lithium disilicate restorations.

Fig. 13: Final lithium disilicate restorations.

Discussion

3D printing is being used more and more frequently in the fabrication of provisional restorations. Nowadays, 3D-printed long-term provisional restorations made of composite are mostly produced using the stereolithography (SLA) and the related digital light processing (DLP) technology. The results of recent studies show that provisional restorations fabricated using DLP and SLA technologies offer sufficient flexural strength.7 In the clinical case presented, no fracture was recorded at any time during the wearing period of the printed restorations.

The principle of SLA is based on the layer-by-layer build-up of an object from an ultraviolet-sensitive liquid monomer mixture, which is polymerised and solidified using a laser. Layer thicknesses of between 25 and 100 µm are usually printed.6 A lower layer thickness leads to high-resolution object surfaces but also a slower production time. DLP printers differ from SLA printers only in the design of the exposure unit and the polymerisation of the monomer by structured light not by a laser. This ensures faster printing of multiple objects.8

The monomers used for SLA and DLP printers are based on methacrylates to which photoinitiators with a weight of 3%–5% are added owing to the initially short exposure time during the printing process.6 When printing, the resin is polymerised only up to the gel phase. Material-specific light polymerisation after the printing process is therefore also necessary in order to achieve the final conversion rate and the desired mechanical and biological properties.9, 10

The absolute mechanical properties of the composites are mainly influenced by the filler added. In studies, filled printable composites showed comparable mechanical properties to millable or direct composites.11, 12 Filled printable composites should be preferred to unfilled printable composites owing to the correlation between the amount of filler and the mechanical properties.13

Currently, the amount of filler added is a maximum of 30% by volume and is therefore lower than that of direct composites or millable composites. A further increase in the amount of filler in the printable composite would increase the viscosity of the material, and flow between the base of the vat and the build platform after a printing cycle would no longer be guaranteed.14

While the fabrication time increases linearly with the number of objects to be produced in the subtractive process, it is independent of the number of objects on the build plate in the 3D-printing process. This results in a major time advantage in the production of long-term provisional restorations. From a purely economic perspective, additive manufacturing builds only the required object and minimal supporting structures, leading to material efficiency. In contrast, the subtractive process must account for the material loss from the blank to the final product and the wear of the processing instruments. Another advantage of additive manufacturing is the geometric freedom it offers in the design process. Complex structures, including overhangs and internal cavities, can be easily reproduced, whereas subtractive processes are limited by the accessibility of the cutting tool. Additionally, in the subtractive process, the milling tool applies pressure to the object, increasing the risk of chipping in areas with thin edges.

Conclusion

The present case report demonstrates that additively manufactured provisional restorations offer new opportunities for complex prosthetic rehabilitation. A fully digital workflow can be implemented, allowing for 3D-printed provisional restorations to enable rapid aesthetic improvements and test changes in the OVD.

Owing to the capability of printing very thin layers, the transition of the restoration to the tooth can be designed very delicately. This reduces the risk of secondary caries, and marginal staining can be easily polished. To summarise, additive manufacturing enables economical fabrication of restorations with considerable complexity and high aesthetic requirements.

Editorial note:

This article was published in 3D printing–international magazine of dental printing technology Vol. 4, Issue 2/2024. The list of references can be found here.

Topics:
Tags:
To post a reply please login or register
advertisement
advertisement