Advances in 3D printing hardware, software and materials have enabled predictable chairside, same-day production of multiple restorations in one visit. (Image: xiaoliangge/Adobe Stock; clinical images: Dr Andrew Ip)
Advancements in hardware, software and materials science have meant that same-day 3D printing of dental prostheses—even chairside—is now a predicable reality. What may have taken hours in the past can now be achieved within an hour. As a result, 3D-printed restorations have become an increasingly popular restorative option in many situations.
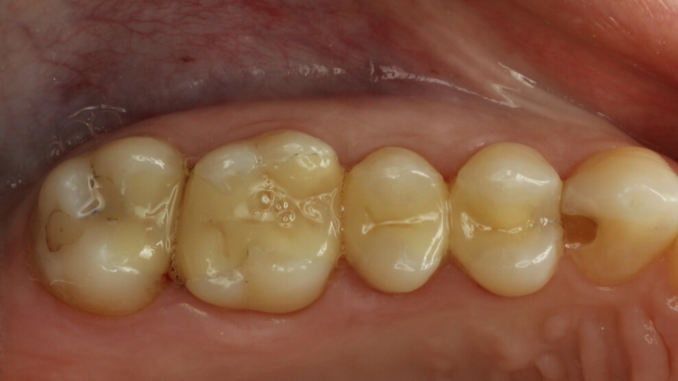
Fig. 1: Initial situation with failing amalgam restorations.
Where 3D printing shines is the production of multiple items simultaneously. Hardware accessories, such as automated wash and polymerisation units, can reduce overall workflow times, while validated restorative solutions like crown kits streamline material selection and preparation—together enabling efficient restorative treatment of quadrants in a single appointment. As a result, technology ultimately improves not only the patient experience, since there is no need for a subsequent appointment, but also the operator experience, because he or she no longer needs to handle direct restoration matrices intra-orally, and the anatomy and interproximal contacts of each restoration are produced accurately and precisely using CAD/CAM methodology. In this case report, I will share how CAD software and 3D printing can predictably produce several restorations for a patient during a single appointment.
Initial situation
A 35-year-old female patient attended our practice. She was medically fit and healthy, but admitted that she had not seen a dentist for many years owing to her needing to look after her young children. She reported generalised, short-lasting cold sensitivity, and upon clinical examination, she exhibited several ageing amalgam restorations that had been placed in her home country many years before in the maxillary right quadrant. More specifically, she had failing amalgam restorations on the mesio-occlusal surfaces of tooth #17, mesio-occluso-distal surfaces of teeth #16 and 15, and disto-occlusal surfaces of tooth #14 (Fig. 1). Owing to her time constraints, she wished for all these restorations to be replaced at the same appointment.
Treatment plan
The patient was scheduled for replacement of all four amalgam restorations with indirect 3D-printed restorations in a single appointment, during which the site would be initially anaesthetised, the existing failing restorative work removed, an intra-oral scan (Medit i700) of the site taken and the restorations designed chairside (Fig. 2). The indirect restorations would subsequently be 3D-printed, manually washed and polymerised, characterised and then definitively cemented.
Single-appointment treatment
The patient was sufficiently anaesthetised, and the amalgam restorations from tooth #17 to tooth #14 were removed uneventfully. After cavity preparation and intra-oral scanning, the Medit ClinicCAD app was used to design her restorations chairside. The sculpting tools were employed to over-emphasise the occlusal anatomy of each restoration. This would allow for easier characterisation with staining material.
The restorations were printed on the Max 2 (Asiga; Fig. 3) using the VarseoSmile TriniQ crown kit (Shade A3; BEGO) in 100 µm layers because this material is indicated for and has been cleared for the production of single-unit indirect restorations. The printing process took around 15 minutes (Fig. 4). The restorations were nested with the occlusal surfaces oriented towards the build platform because this has been shown to produce the most accurate result for this restoration type.1
Fig. 2: Chairside design of 3D-printed restorations using Medit ClinicCAD.
Fig. 3: Max 2 3D printer.
Fig. 4: Freshly printed restorations.
The printed restorations were manually cleaned with presoaked isopropyl alcohol wipes. It is important not to immerse printed hybrid ceramic material in alcohol, because it has been shown to affect the bond strength between the material and dental cements when exposure is longer than 10 minutes.2 Characterisation was achieved with FinalTouch composite stains (VOCO), and the restorations were glazed with Rodin Glaze N2-Free (Pac-Dent) prior to final polymerisation (Figs. 5 & 6). The printed restorations were polymerised in a CURIE Plus unit (Ackuretta) according to the manufacturer’s instructions and recommendations. Failure to follow the manufacturer’s instructions may affect not just the physical properties of the restoration but also its biocompatibility.3
Fig. 5: 3D-printed restorations fitted on a printed dental model.
Fig. 6: 3D-printed restorations before cementation.
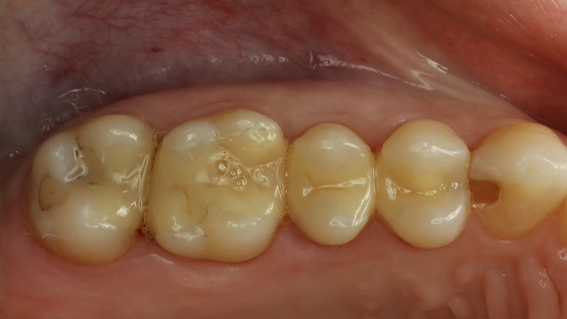
Fig. 7: Final result of all 3D-printed restorations cemented in the mouth.
The fitting surfaces of the restorations were sand-blasted, and the restorations were then cemented individually using PANAVIA V5 resin cement (Kuraray Noritake Dental; Fig. 7). It is important to bond these restorations, and the application of bonding agents can increase the shear bond strength between 3D-printed restorations, resin cements and their underlying substrates.4 After bonding, the occlusion was checked and adjusted as required.
Conclusion
It is known that 3D-printed restorations are accurate enough to be clinically acceptable for use.5, 6 However, the use of 3D-printed ceramic-reinforced composites as definitive restorations continues to be a controversial topic owing to issues of wear resistance and surface roughness in the first generation of these materials.7 There appears to be some merit in their application in partial-coverage situations, particularly in light of advancements in materials science. Where 3D printing truly shines is the production of multiple restorations such as this particular case portrays.
Overall, we achieved a positive outcome for this patient. Her dental issues were efficiently addressed within a single appointment as requested. It will be interesting to see how these restorations present at follow-up appointments. Developments in software, hardware and materials mean that this type of dentistry will inevitably become more consistent and reliable.
JAZAN, Saudi Arabia: Zirconia-based restorations, renowned for their durability and aesthetics resembling natural teeth, have gained popularity over the ...
The digital revolution in dentistry has introduced increasingly efficient and predictable workflows, enabling clinicians to drastically reduce treatment ...
I have been a registered denturist for over 20 years. At our laboratory and clinic, we specialise in removable prosthetic solutions: partial dentures, ...
In recent years, 3D-printed polymer-infiltrated ceramic resins, also defined as hybrid composites, have emerged as a promising option for definitive dental ...
Digital workflows are constantly being improved with innovations in technique, software and materials and tailored to dental diseases and patient cases. ...
DUBAI, UAE: At AEEDC Dubai 2026, SprintRay is once again presenting its chairside 3D-printing workflow for definitive restorations. Designed to streamline ...
BEGO is a modern company with 130 years of dental expertise that has made a name for itself in 3D printing—most recently with the introduction of the ...
SAN JOSE, Calif., US: Align Technology has completed its acquisition of Cubicure, a polymer specialist and pioneer of direct 3D-printing technology based in...
DALLAS, US: Researchers at The University of Texas at Dallas have introduced a novel approach to ceramic 3D printing that could streamline the production of...
Education
Live webinar Wed. 29 April 2026 7:00 pm EST (New York)
To post a reply please login or register