When I first heard about clear aligners in the early 2000s (the US Food and Drug Administration approved the use of clear aligners to straighten teeth in 1980), it must have sounded like science fiction. The fact that it was created in Silicon Valley by people who had nothing to do with the dental industry, in seeking solutions that do not require complicated appliances in the mouth, is really an incredible story.
In fact, some of the greatest leaps in medicine have come from people outside of the medical industry. We live in an era in which technology powered by incredible software is completely redefining our industry. Having been in dentistry for 22 years, I have never felt so excited about the future. The reason why so many companies continuously develop new technologies and software is based on one simple factor. Humans want faster, better, cheaper, not just on the patient side but on the practitioner side as well.
Pierre Fauchard, a Frenchman with an obvious passion for straight teeth, is credited with inventing modern orthodontics in the eighteenth century. However, evidence shows that the topic of tooth straightening goes back to ancient Greece. There is also evidence of the Etruscans using straightening and space maintaining devices. So, evidently, for the longest time, people have given importance to their occlusion and smiles.
I remember going to the dentist when I was 10 years old and having a removable palate expander fitted, which cost my mother a fortune. I lost it in the first week and thereafter had a guilty relationship with orthodontics to such an extent that I never pursued studying it. I never showed any real interest in developing my skills, but always understood the importance of pretreatment orthodontics in complex cases and not just the classic straightening of teeth in teenagers. I was very lucky to have had some amazing mentors in the beginning of the millennium who inspired me to always do the right thing and take the long road when facing complex treatment plans.
Fig. 1: Differences between (left) a typical LED and (right) the ATP38. Vp = Positive voltage; Vn = Negative voltage; E = Energy.
Fig. 2: Before (left) and after (right). The case was solved over three months with 12 clear aligners (Smilers) and photobiomodulation
therapy (with the ATP38), applied every week for six minutes every time aligners were changed.
Fig. 3: Before (left) and after (right). The case was solved over four months with 16 clear aligners
(Smilers) and photobiomodulation therapy (with the ATP38), applied every week for six minutes every time aligners were changed.
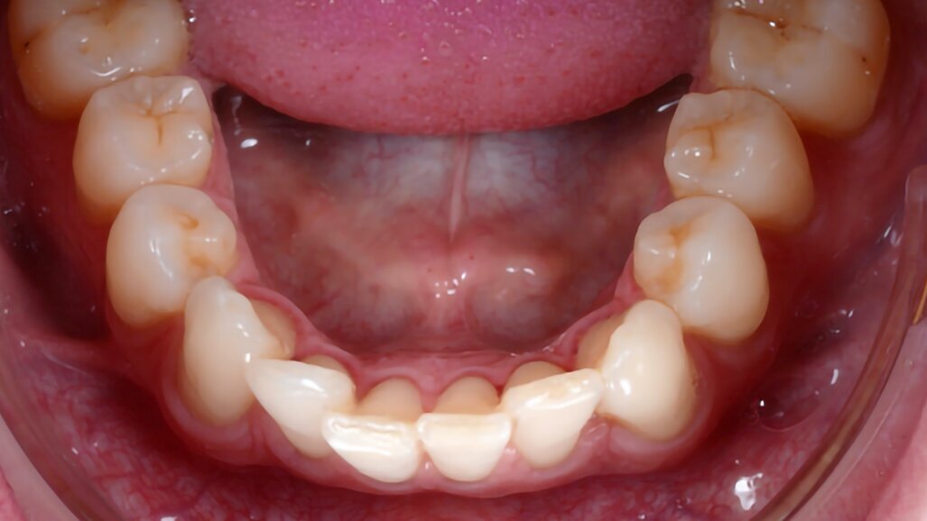
Fig. 4: Before (left) and after (right). The case was solved over two months with eight clear aligners
(Smilers) and photobiomodulation therapy (with the ATP38), applied every week for six minutes every time aligners were changed.
Fig. 5: Photobiomodulation protocol: on the day the patient changes the aligner, photobiomodulation therapy (with the ATP38) is applied for six minutes, using blue(470 nm), green (525 nm), amber (590 nm) and red (620 nm) light.
When I opened my first private practice in late 1999, I realised that this area, orthodontics, needed to be developed in my clinic, so I started working with a colleague in early January 2000, using the classic brackets with the elastics and the regular monthly visits that became the classic cash cow for both the clinician and the practice. I did not really pay much attention to this, as I was so focused on my implant and cosmetic dentistry practice. This was how everybody else was doing it back then in Portugal. This colleague was trained to extract first premolars in almost every single overcrowding case with teenagers, a practice that I now find quite reductive, because I do not think you should ever generalise, and we now know many cases can be treated without extractions.
In 2001, I started working with a new orthodontist, trained classically in Italy, and she has been running my orthodontic department ever since. Our focus has mostly been on using the Damon system and Invisalign. We started using these systems as early as 2005. We were one of the first clinics in Europe to start working seriously with these systems, and I am proud to say that our almost 18-year working relationship has been an incredible success, there having been no tooth lost owing to aggressive movement and not one case of root resorption so far. Meticulous planning is the key of success. Furthermore, the prediction of the length of the treatment proposed has almost always been correct. We found out very early on that patients like to know when their treatment will be finished, and a well-trained professional, with the right tools and good experience, can achieve within a few months a time frame which is almost always as planned. There are several reasons for this success. The first is that, back in 2004, we invested in a digital dental panoramic machine (orthopantomogram) with a cephalometric arm in order to obtain lateral cephalometric radiographs for a complete analysis. This allowed us to do proper treatment planning without having to outsource. Another reason was that I made my orthodontist, even though she really enjoys general dentistry as well, focus her practice exclusively on orthodontics. This was not a common practice in Portugal back then. Orthodontics was generally performed by general practitioners. The same was the case for implant dentistry and prosthodontics. The general thought was, why share the profits when I can do it myself? I somehow implicitly understood that having somebody focused only on this area would lead to better results. Looking back, it was a smart decision. In the past decade, the practice has grown and we have become a globally recognised centre for complex cases. When it comes to orthodontics, we always try to solve complex issues without surgery when possible. It is amazing what you can do with a highly skilled orthodontist who works calmly and has an in-depth knowledge of biology and mechanics.
Notwithstanding, as the clinical director of a leading dental centre, part of my job is to bring in new technologies and techniques that can improve the workflow at the practice. I spend a great deal of time attending congresses around the globe, speaking to very clever people, and over the years, I have learned how to filter the noise from the facts. I thought it would be useful to share what we have discovered over the past year and a half about a relatively new system on the market that combines clear aligners, obviously a software driven technique, with advanced photobiomodulation. This is in effect a non-invasive method for an accelerated orthodontic treatment.
What has happened in the last two decades around the concept of clear aligners and the associated technology has truly rocked the foundations of the dental world, and without a doubt, the race for the best system has been one that is only paralleled by the implant industry. If you look at things from a larger perspective, very few companies have recently gained so much press in social and traditional media as industry giants Invisalign and SmileDirectClub, two of the few companies that have promoted their products directly to the final consumer. I have always been a big fan of anything that brings dentistry to mainstream media. These companies have done a great deal to inspire people to straighten their teeth and fix their smiles.
Obviously, in the case of direct-to-consumer aligner companies, there is always a disclaimer that the patient must have a clean bill of oral health before receiving orthodontic treatment. However, publicly traded companies are usually highly focused on profits, like most large businesses should be, and perhaps the focus on acquiring new clients is a little too financially driven, and in a clinical setting, there are not enough medical and diagnostic barriers between the problem and the solution. There is absolutely nothing that can replace a quality check-up done by an experienced dentist with the proper diagnostic tools.
We all know that this trend of direct consumerism for orthodontic treatment has created substantial pushback from the dental community. I believe that the issues raised are valid, and they give rise to a greater question: can orthodontics be a direct-to-consumer product? I have my thoughts on this, but I guess the simplistic answer is no. The risk of poor orthodontics, planned by technicians or artificial intelligence alone without any radiographs or CBCT scans, is in my opinion a health risk. Poor treatment planning can lead to periodontal and occlusal issues that can scar a person for life and lead to massive health and financial issues as well. Therefore, orthodontics should never be taken lightly, no matter how simple the case seems to be. Every single orthodontic treatment should be planned by a well-trained orthodontist with in-depth knowledge of biology and mechanics, backed up by CBCT scans and/or panoramic radiographs with a cephalometric study. Notwithstanding, there is, in my opinion, a major role that software companies can play in improving the quality and speed of these treatments.
Many patients around the world looking for clear aligner options recognise very famous brands and of course are quite impressed when they discover clinics in the area that hold a certain member status, as providers of these brands. This obviously creates the impression that they are somehow better than the other providers of exactly the same service, when in fact the only difference is the volume of cases sold, which indicates nothing about the quality of care but everything about their capacity to sell treatments. It took me many years to understand that we should be more focused on acquiring a status based on the final radiographs or CBCT scan and the final position of the teeth and final occlusion. This would make more sense. I would love to see companies award these different statuses based not on volume of sales but on successful cases treated without any biological interference. If you look at it from a larger perspective, it is almost a kind of marketing, as it creates the illusion for the consumer that one provider is better than another based on the quality of care when that is not the case. I am sure that these companies will say otherwise, and to be fair, clear aligner companies provide a service that is founded on the information given to them by the dentist. They do not claim to do the diagnosis, and they thus rely entirely on the accuracy and authenticity of the information provided. It really is up to each doctor to ensure that a comprehensive diagnosis and examination have been performed. If these companies were concerned with compliance with the rules and ethics, then they might not have a business, as we all know many dentists cut corners on time and costs when they can. I have seen in my career so many patients come into my clinic with aligners or traditional orthodontic appliances with conditions such as caries and much worse, such as infections in the bone, that were clearly there before orthodontic treatment was started. In my opinion, the main reason is that a lot of orthodontists do not receive payment for general dentistry or prophylaxis, only for their orthodontic work. This leads to a corruption of care. We must all be aware of the fact that there are many clinics that cut corners for a multitude of reasons. Another important factor is the time it takes to do a proper diagnosis, and in many cases, dentists do not get paid to pursue this in depth. Critical thinking is not financially rewarded. This is the main raison d’être of slowdentistry.com. Therefore, to be able to outsource all of this analysis is awesome for many, who simply send the basic information and accept whatever is sent their way from the company’s technicians without even looking. The patient knows no difference between these aligners and those fabricated by a team that spent hours analysing and discussing the case with peers after all appropriate diagnostic tools were utilised. The box looks the same, the steps look the same, and in many simple cases, the results might be good. I doubt however that this will be the case with complex cases or cases with underlying problems such as thin biotype and bone loss, that can only be visualised with a digital CBCT, combined with a good perio probing, when only an intra-oral scan was sent in.
We live in a world where things are rapidly changing and consumers are becoming more aware of their rights. This is why I believe that systems that do treatment planning using the largest amount of data possible, always using radiographs or CBCT scans, and that are focused on understanding the situation at the end of care and not just the beginning will be the most successful in the future. Hopefully things will change soon in this regard and the public will understand that, in orthodontics, it is the final result, not the volume of sales, that should define success. We are physicians of the mouth. If we do things properly we can dramatically improve our patients’ lives. It is time to slow down and remember what our job is all about. We should not be in a rush to make money before taking care of our patients.
Let us get back to understanding what has happened in the industry over the past decade or so. In recent years, I have slowly started to understand that there has to be more to orthodontics than just fixing teeth. I, and many leading dentists around the world, have for quite some time been using aligners as a pretreatment requisite in order to establish a minimally invasive treatment protocol. One of the first to make this possible was the Digital Smile Design (DSD) methodology, which was pioneered by Dr Christian Coachman, a Brazilian dentist and dental technician, and really took the dental world by storm. It initially started with planning full-arch smiles and then reverse-engineered the treatment steps, thanks to an interdisciplinary software program, NemoStudio. This was very well received around the world, by the dental industry and by patients, and has now become a household brand. DSD is, in effect, an architect of smiles. It is no longer necessary to explain what a new smile will look like or to use complicated manual mock-ups; everything is software-driven using 3D printing. That is why I believe Invisalign made a move to collaborate with the DSD brand, and they have been doing a good deal to promote this concept of treatment plan acquisition. My team and I were one of the first in the world to employ DSD planning in treating a case in order to tell Invisalign what we wanted based on the final anatomy of the veneers before we had even started the treatment. We started to work on the case in early 2018, and the results were incredible.1 (We have published a few articles on this matter.)
It is with great pleasure that I am seeing more dentists using DSD and of course clear aligners as a pretreatment for large, complex cases that will later involve prosthodontics with or without dental implants, regardless of the fact that it adds to the cost and to the timing of each procedure. For me, it is no longer acceptable to grind healthy enamel simply to fix the tooth position so that you can place your ceramic restorations fast. We owe it to our patients to be as minimally invasive as possible. We all know that a natural, healthy tooth is the best kind of tooth and I argue with my patients that want “same day” veneers and try to convince them for a slower approach with aligners, bleaching, saving them enamel and cash as well.
I must give credit to the biomimetic groups around the world and to the Facebook page Style Italiano, for their work, which really boosted the concepts of minimally invasive adhesive dentistry and brought it front and centre. So many more high-quality dentists are focusing on minimally invasive therapies as a result of all of this information being made accessible by these groups and the hard work of all of these great teachers.
The race to the top is on, and there are many interesting companies that are working on better, faster and more biological solutions. One of these is a French company that really has done something extraordinary which needs to be bought into the spotlight, and that is Biotech Dental, whose CEO is Philippe Veran. The chief clinical officer, Dr Olivia Veran, bought to our attention the Smilers concept, which uses as a foundation the software NemoCast (NEMOTEC), which is the same software as DSD employs. NEMOTEC, a Spanish company, was acquired in 2019 by Mr Veran as the foundation for Smilers and is the treatment planning software for Biotech implants. This is something quite unique.
With my background in interdisciplinary treatment planning and being a fan of using clear aligners in combination with other treatments in complex oral rehabilitation cases, I tested this system back in early 2018, and to our great surprise, it was very impressive. Not only was it just as good as the previous systems I had worked with; in some cases, it was better. Why? The Smilers system is run by NEMOTEC and can acquire the DICOM file of a CBCT scan, as well as an intra-oral scan, and perform true 3D planning based not only on the tooth-to-tooth relationship but also on the relationship of the roots to the bone and surrounding ligaments. To the best of my knowledge, no other system can do this. Moreover, if you need to plan your implant case halfway through the treatment, the same planning centre can do that as well, so you can have your surgical guide to place implants while you are still doing your orthodontic movements, saving precious time so that everything is concluded at the end of the orthodontic treatment. I visited Biotech’s headquarters in the south of France, nestled in a very beautiful part of the world that also makes extraordinary wine. The technology is impressive, and planning is done by orthodontists and not only technicians. Now Biotech has launched Smilers Expert, a platform dedicated to the orthodontist. Orthodontists can modify the treatment plan and have control over the timeline.
I also realised that the cross-over of other technologies in Biotech’s portfolio, such as the ATP38, a photobiomodulation low-level light therapy device capable of non-invasive accelerated orthodontic movement, would be a game-changer compared with other clear aligner systems.
The increased demand for rapid orthodontic treatment, especially by adult patients, has led to the development of different methods to accelerate the rate of tooth movement. Different approaches have been developed according to their target. Some of these methods seek to enhance the body’s natural pathways activated during tooth movement, while others use agents that stimulate an artificial pathway. All approaches attempt to increase bone resorption as a key rate-controlling factor in orthodontic tooth movement. We can classify these approaches into invasive and minimally invasive techniques. The most common one is corticotomy, which involves exposing the alveolar bone by reflecting an extensive gingival tissue flap, followed by numerous deep cuts and perforations into the cortical and trabecular bone between the tooth roots, using a rotary high-speed drill. Although it has been proved an efficient technique in cases of mild to moderate crowding, not all patients want to have surgery. Piezo-incisions and micro-perforations are alternative techniques; however, they are still considered invasive.
Minimally invasive techniques too have been developed to accelerate orthodontic movements. A possibility could be using chemical agents such as parathyroid hormone or osteocalcin to increase the bone turnover and stimulate rapid tooth movement. Nevertheless, these methods appear to be invasive and do not represent a solution to patients who do not want to be subjected to injections, apart from being an expense for the dental office. Physical stimulation methods such as high-frequency and low-magnitude forces (vibration) are non-invasive techniques designed to be used at home with the aim of increasing and prolonging osteoclastic activity in the periodontal ligament. However, these methods require a great deal of compliance from patients.
More recently, the application of heat, light and minute electric currents and an electromagnetic field during orthodontic treatment have demonstrated an increase in the rate of tooth movement. In this field of research, lowlevel light therapy or light-emitting diodes (LEDs) has been demonstrated to be an effective minimally invasive technique. The application of a specified set of wavelengths for an appropriate duration has been shown to be a means of accelerating orthodontic movement. This therapy is also known as photobiomodulation therapy. Its objective is to activate cells at a mitochondrial level and to make them produce more energy, adenosine triphosphate, which is essential for cell repair and regeneration. There are several LED devices in the market; however, the ATP38 (Swiss Bio Inov) has proved to be the most efficient owing to the semiconductor on the site of light emission, which focuses and energises the light in a similar way to a laser beam, rather than dispersing the light as other LEDs do.
For the past year, we have exclusively been using this French system, patient acceptance has been 100% and my team absolutely loves it. We are managing to streamline the planning with complex cases, from the smile design to the orthodontic planning and the implant planning. But what really makes this quite awesome is the combination with the ATP38. To the best of my knowledge, there is nothing quite like it on the market today! And that is not marketing; that is simply a fact.
We owe it to our patients to continuously up our game and keep searching for things that can improve their lives, faster, better and more affordably. We might sometimes have to invest a little more money in the beginning in order to save a great deal of time in the long run and to obtain consistently better results, which is, without a doubt, the best practice builder known to the dental industry. Staying ahead of the game and staying relevant are critical to staying successful. You cannot do that without new technologies and great companies that are willing to work incredibly hard so that we can all have better, stress free lives.
Acknowledgement
I am grateful to Dr Ana Paz for her contribution to this article. Dr Paz is a full-time biological dentist and heads the scientific research and development department at the White Clinic in Lisbon in Portugal. She was an early adopter of photobiomodulation therapy in combination with clear aligners in a clinical setting.
Clinical note
The ATP38 device can be used in combination with any clear aligner system, as well as traditional orthodontic appliances.
Reference
1 Stanley M, Gomes Paz A, Miguel I, Coachman C. Fully digital workflow, integrating dental scan, smile design and CAD-CAM: case report. BMC Oral Health. 2018 Aug 7;18(1):134.
Editorial note: This article was published in ortho–international magazine of orthodontics, Vol.5, Issue 2/2020.
Tags:
A female adult patient visited our clinic with the primary concern of the aesthetics of her maxillary anterior teeth. She was particularly dissatisfied with...
Ectopic canines are a complex condition to treat with aligners only, since it is not easy to create a reliable and stable anchorage unit for forced ...
Complete Dental Solutions (CDS) is a leading dental practice in Downey in California in US and is a well-established dental practice that I have the ...
BERLIN, Germany: Remote aligner therapy is convenient and cost-effective for patients, but is this treatment option as sound as visiting an experienced ...
At the seventh European Aligner Congress, discussions around aligner materials and digital workflows highlighted a question of growing relevance to ...
LONDON, England: After years of hosting leading aligner events across Europe, the European Aligner Society (EAS) will hold its first forum in North America ...
HELSINKI, Finland: Planmeca has announced that its Planmeca Emerald and Planmeca PlanScan intraoral scanners are now compatible with ClearCaps’ clear ...
There has probably never been a better time to practise dentistry. However, dentists and patients are being bombarded with images of beautiful smiles and, ...
Aligner orthodontics is one of the fastest-growing areas of cosmetic dental treatment. To broadly assess patient satisfaction with aligner therapy, a team ...
The popularity of clear aligners has surged in recent years, making them a preferred orthodontic solution for many patients.1–3 However, the success of ...
Live webinar
Thu. 14 May 2026
12:00 pm EST (New York)
Live webinar
Thu. 14 May 2026
2:00 pm EST (New York)
Prof. Hani Ounsi DDS PhD FICD
Live webinar
Tue. 19 May 2026
11:00 am EST (New York)
Live webinar
Tue. 19 May 2026
1:00 pm EST (New York)
Prof. Dr. med. dent. Ivo Krejci
Live webinar
Wed. 20 May 2026
7:00 am EST (New York)
Dr. Graham Carmichael BDSc (Hons), DClinDent (Pros), FRACDS, Dr. Robert Gottlander DDS
Live webinar
Wed. 20 May 2026
9:00 am EST (New York)
Live webinar
Wed. 20 May 2026
1:00 pm EST (New York)
Prof. Dr. med. dent. Tim Joda PhD, MSc, eMBA
YOU CAN GIVE ME INFORMATION ABOUT THE PRICE OF THE ATP38 AND HOW I CAN OBTAIN IT. SOME SPECIAL REQUIREMENT IS REQUIRED?