Search Dental Tribune

Combining aligners with Mini-Tube Appliances enables controlled eruption of moderately impacted canines with minimal patient compliance and improved aesthetics. (Image: chinnarach/Adobe Stock; clinical images: Drs Alessandro Greco and Andrea Rombolà)

Ectopic canines are a complex condition to treat with aligners only, since it is not easy to create a reliable and stable anchorage unit for forced eruption.1 Some authors suggest the use of elastics from the impacted canine to the maxillary aligner, but this increases the level of compliance required of the patient for a difficult movement and lengthens the overall treatment time.2 For this reason, the use of temporary anchorage devices (TADs) during forced eruption is a reliable treatment option recommended by several authors in order to completely avoid patient compliance.3 Both direct and indirect TADs can be used according to personal preference to manage forced eruption.

An alternative to TADs when impaction of the canines is less severe is the combination of aligners with an auxiliary called the Mini-Tube Appliance (MTA; Osstem Orthodontics). This useful auxiliary works like a conventional tube, but is covered with white resin to improve the aesthetics and has a silver-covered metallic slot (0.018 in. in diameter; Figs. 1 & 2). The advantage of these auxiliaries over a conventional sectional bracket system are their greater aesthetics, small size, ease of cleaning and, in particular, reduced friction thanks to the silver coating.

Fig. 1

Fig. 1

Fig. 2

Fig. 2

Because MTA has no bondable surface, the bonding procedure after enamel preparation begins with applying a thin composite layer. The tube is then submerged in the composite while carefully preventing resin from entering the slot, polymerised, and finally covered with a second composite layer. This approach makes it possible to debond this auxiliary by breaking the composite and re-bonding the same tube in a different position.

By using this auxiliary in combination with aligners, forced eruption can be managed completely without requiring further patient compliance. For this, rounded sectional archwire is inserted through the MTA. The wire can be nickel–titanium (NiTi) or stainless steel depending on the stage of treatment.

The ideal sequence of treatment is as follows: (1) space creation for canines by means of aligners; (2) forced eruption with MTAs by means of sectional archwire; (3) space maintenance with passive aligners; and (4) torque correction and finishing with additional active aligners. This approach can be considered efficient, since the number of aligners and the treatment plan will be limited to predictable movements, avoiding reliance on aligners to perform difficult extrusive movement.

Case report

History and assessment
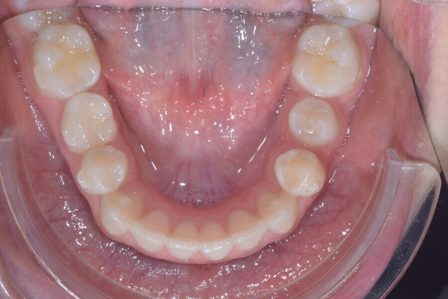
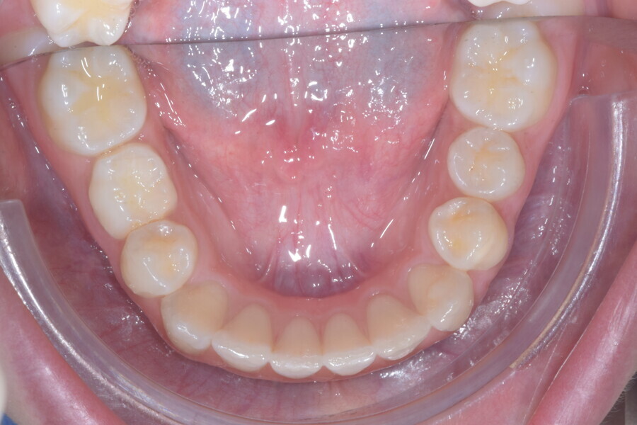
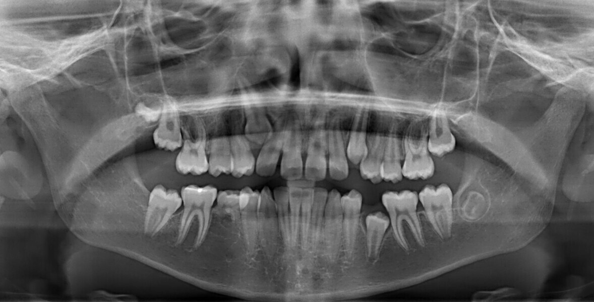
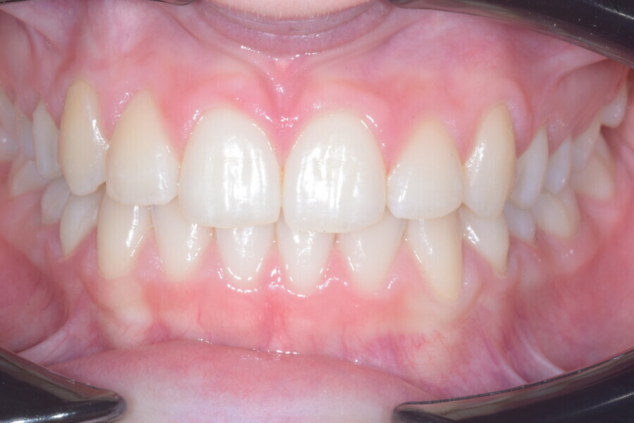
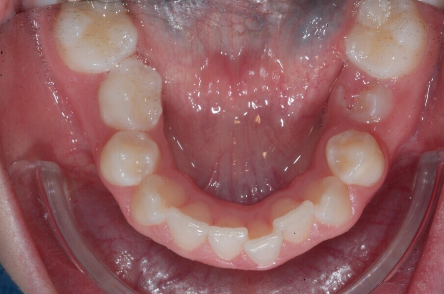
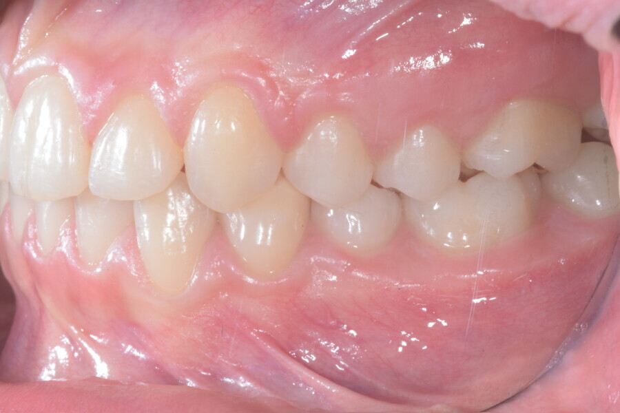
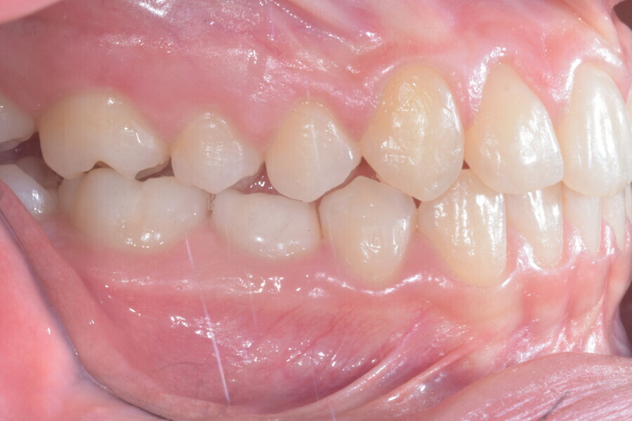
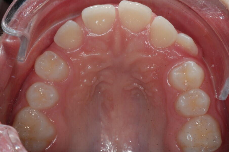
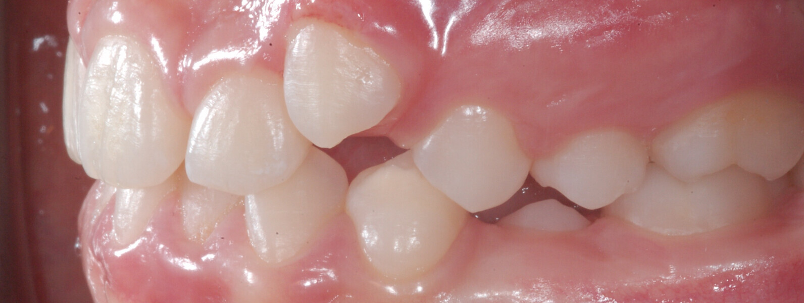
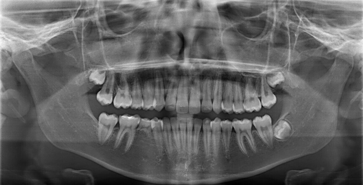
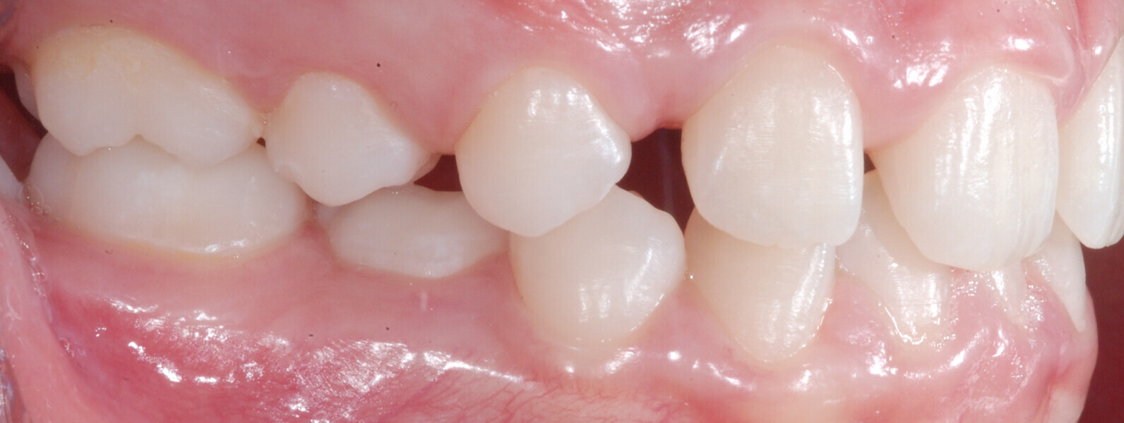
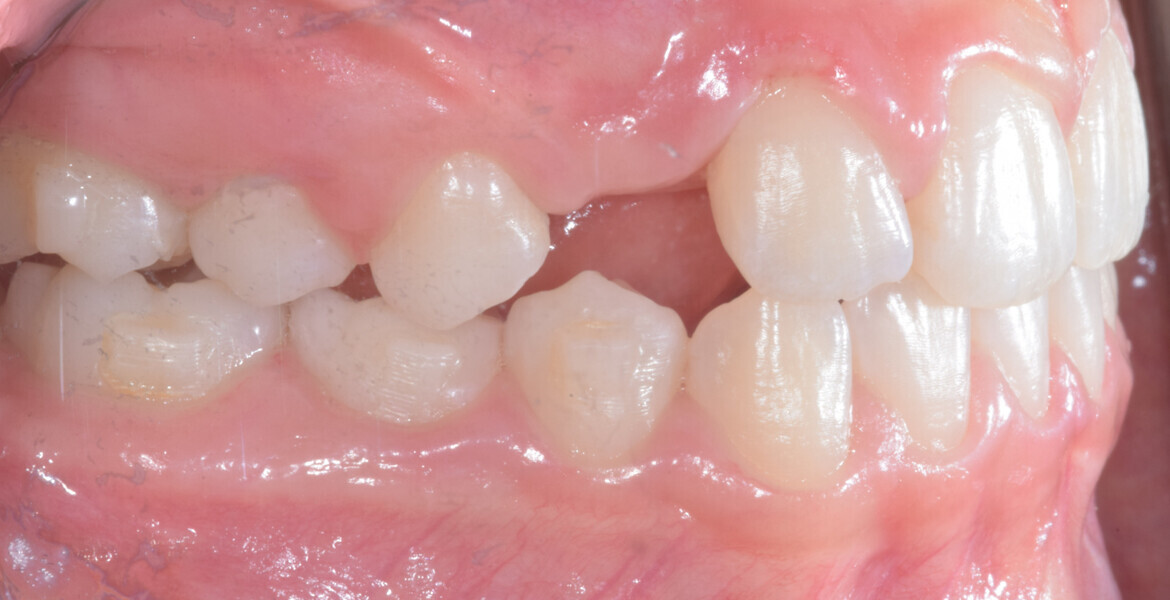
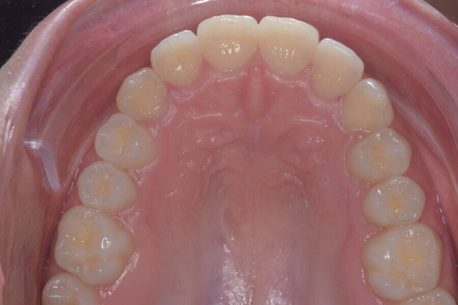
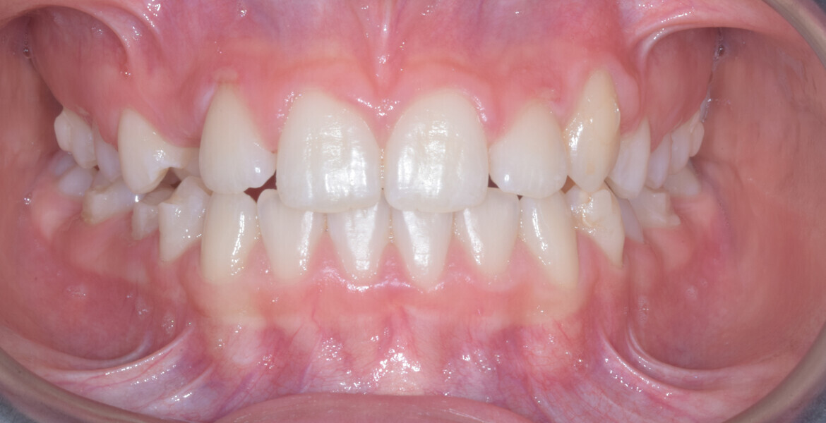
A 14-year-old female patient presented with the chief complaint of midline deviation and dental crowding in both arches. Facial analysis showed a hypodivergent growth pattern, a normal nasolabial angle, a harmonious profile and proper chin projection. Clinical examination revealed a Class III skeletal relationship (ANB = 0°) and Class I molar relationship. The maxillary right canine was absent, and this had led to space loss and mesial drift of posterior teeth on the right side, resulting in a slight Class II molar relationship. The maxillary left canine had erupted in a high position. The mandibular arch displayed crowding despite the agenesis of the right second premolar and the persistence of the primary molar (Figs. 3–11). The radiograph showed the probably premature loss of the maxillary right primary canine and consequently impacted maxillary right permanent canine, and the agenesis of the mandibular right second premolar and the mandibular right third molar (Fig. 12).

Fig. 3

Fig. 3

Fig. 4

Fig. 4

Fig. 5

Fig. 5

Fig. 6

Fig. 6

Cephalometric analysis showed normal incisor inclination (U1–PP = 112°) and slightly uprighted mandibular incisors (IMPA = 88°), consistent with dental compensation commonly observed in Class III skeletal malocclusions. Cephalometric analysis confirmed a reduced lower anterior facial height associated with a hypodivergent pattern (Figs. 13 & 14).

The proposed treatment plan was orthodontic treatment with aligners (Invisalign, Align Technology) for alignment, levelling and space creation for tooth #13, followed by use of MTAs with sectional archwire for forced eruption. This would be finalised by a further aligner stage to refine the canine position and overall occlusal relationship.

Treatment progress
The digital treatment plan (ClinCheck) provided 18 aligners in each arch. The treatment objectives were focused on aligning and levelling the mandibular arch without excessively proclining the mandibular incisors, in order to control the Class III skeletal malocclusion by means of interproximal reduction and slicing of tooth #85. In the maxillary arch, the treatment plan focused on space creation for tooth #13 by distal rotation of the maxillary right molar and mesialisation of the maxillary right lateral incisor simultaneously to centre the midlines. Class II elastics were planned to control distal movement on the right side, and triangular elastics on the high canine were planned on the left side with button cutouts for the aligners. Lateral and posterior maxillary torque were planned to be close to 0° to achieve wider arch design and ideal intercuspation. No digital over-engineering was planned in the set-up, and lingual attachments according to personal preference were placed in the maxillary arch for aesthetic and biomechanical reasons (Figs. 15–19). Eruption compensation for tooth #13 was employed. Because of the age of the patient, the aligners were changed every seven days over the treatment period of less than five months.

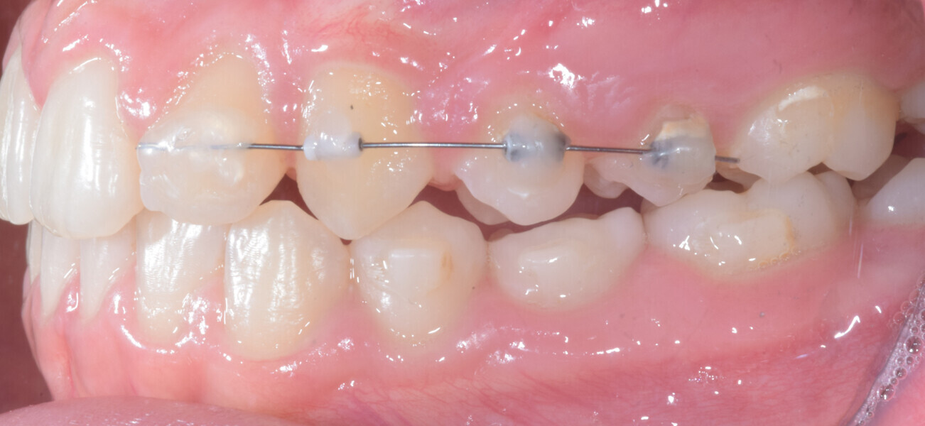
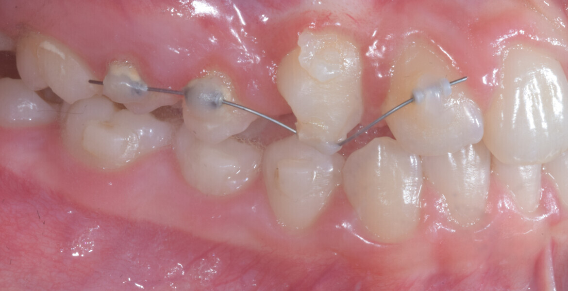
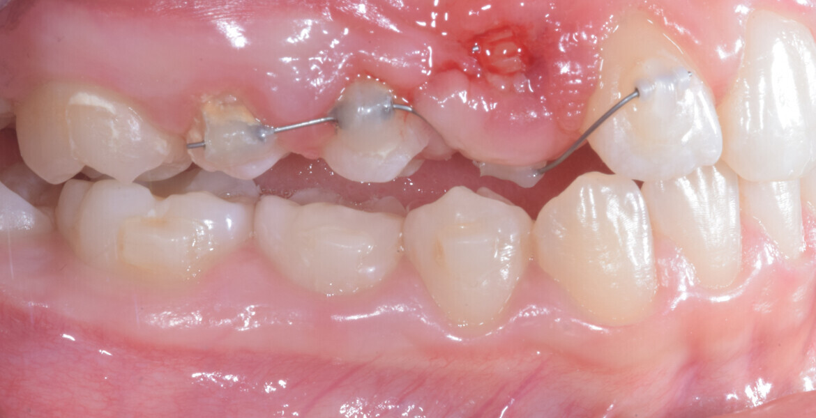
At the end of the first stage of aligner treatment (Figs. 20–24), the auxiliary phase began with the bonding of two MTAs on the maxillary right premolars. A 0.016-in Australian archwire, shaped into a cantilever configuration, was then inserted into the MTAs, and a cutout was created on the final aligner. To prevent rotation, the archwire was cinched distal to tooth #15 and the cinch covered with composite.

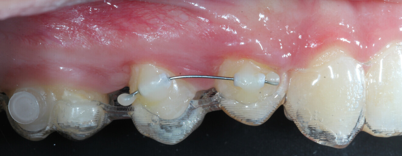
At the same time, the impacted canine was exposed by laser, a button was bonded on to it and the cantilever was connected to the button using an elastomeric thread. The final aligner was used for space maintenance while the cantilever was reactivated until the canine had erupted (Figs. 25–27). After complete eruption, further MTAs were bonded on the canine and on the lateral incisor, and a 0.014 in. NiTi archwire was used to finalise the eruption (Figs. 28–30). Only at the end of the forced eruption phase did the further aligner stage take place, aimed at achieving an ideal Class I relationship on the right by maxillary right mesialisation using Class III elastics and 27 maxillary aligners and 13 mandibular aligners (Figs. 31–33).

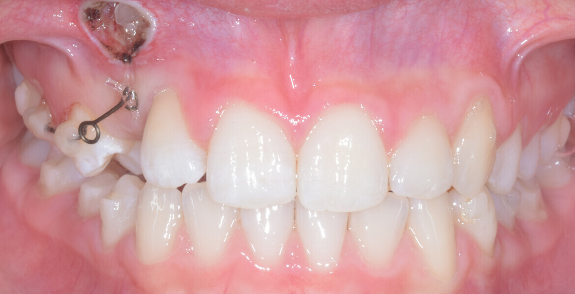
The overall treatment time was 16 months, 11 months of aligner treatment (five months initially for space creation and six months for finalisation after canine eruption) and five months of treatment with MTAs and sectional archwire. At the end of the treatment, a full Class I canine and molar relationship had been obtained, and the impacted canine had fully erupted (Figs. 34–38). A balanced smile with centered midlines had been achieved with an acceptable relationship between the maxillary incisors and lower lip, and torque control of the lateral and posterior segments had generated a broader smile. The limited movement of the upper lip on smiling detected at the beginning was stable, but the smile had improved in terms of expansion and the buccal corridor (Figs. 39–42).
Fig. 39

Fig. 39

Fig. 40

Fig. 40

Fig. 41

Fig. 41

Fig. 42

Fig. 42

The final panoramic radiograph showed an ideal periodontal condition of the impacted canine and of the mouth overall (Fig. 43).

Superimposition of the cephalometric radiographs showed the following interesting changes due to the orthodontic treatment (Figs. 44–48):

  • The inclination of the maxillary incisors with respect to the maxillary plane had changed by about 4° (U1–PP from 112° to 116°), and the inclination of the mandibular incisors with respect to the mandibular plane had changed by only 1° (IMPA from 88° to 90°), so had substantially remained stable.
  • The relative extrusion of the maxillary and mandibular molars by the sectional archwire and Class III elastics had generated a slight clockwise rotation of the mandible (FMA from 19° to 21°), which had allowed an improvement of the overbite.
  • The facial profile and lip support had remained stable.

Discussion

The use of auxiliaries in the aligner treatment of ectopic teeth seems to be an unavoidable means of attaining the objectives of orthodontic therapy. Use of elastics to force the extrusion of impacted canines may be a solution, but there are some limitations to consider:
  • Compliance: The patient needs to use elastics from the impacted tooth to the maxillary aligners,4 and these elastics must be worn for 22 hours to apply the proper extrusive force.
  • Surgery: In order to bond a button for elastic attachment, an infra-crestal guided forced eruption through a surgical flap is of course not feasible; an open eruption is necessary for this technique. However, this surgical approach may not be suitable for every impaction case.
  • Anchorage: This approach can be effective when the impaction is mild. However, using elastics with the maxillary aligner as anchorage can generate an undesired intrusion effect on only one side. For this reason, this approach is not suitable for prolonged use or for cases of severe impaction. Moreover, this approach restricts the extrusive force to a vertical direction, making it really difficult to adjust the force direction.
The use of TADs is essential when the impaction is severe. We have recently described a structured approach that combines two TADs with TMA sectional archwire to facilitate the disinclusion of even the most complex impacted canines. However, in certain cases, TADs can be avoided when the impaction is mild to moderate or when patient compliance is low, by combining MTAs and aligners in the manner described in this clinical report, offering several advantages: 5–8

  • Patient compliance is needed only for wearing the aligners to maintain the space in the arch but not as an active component of the forced eruption.
  • There are no surgical limitations if infra-crestal eruption through a surgical flap is planned, and this system can still be connected.
  • The support for extrusion is provided by dental anchorage, and thus a reaction force is unavoidable, but it is confined to the anchorage unit involved rather than being distributed across the entire arch. Moreover, the force vector can be effectively managed with a cantilever combining buccal and vertical components.

For this reason, the MTA can be considered an ideal auxiliary treatment when managing moderately impacted canines because it requires no additional patient compliance, minimises anchorage reaction and provides superior biomechanical control during forced eruption. Moreover, it offers an aesthetic solution which perfectly integrates with aligner therapy, maintaining efficiency while reducing the overall number of aligners needed.

Editorial note:

This article was published in aligners—international magazine of aligner orthodontics vol. 4, issue 1/2025. The list of references can be found here.

Topics:
Tags:
To post a reply please login or register
advertisement
advertisement