A female adult patient visited our clinic with the primary concern of the aesthetics of her maxillary anterior teeth. She was particularly dissatisfied with the position of her central and lateral incisors and was seeking a conservative, discreet orthodontic solution that would not involve traditional fixed appliances.
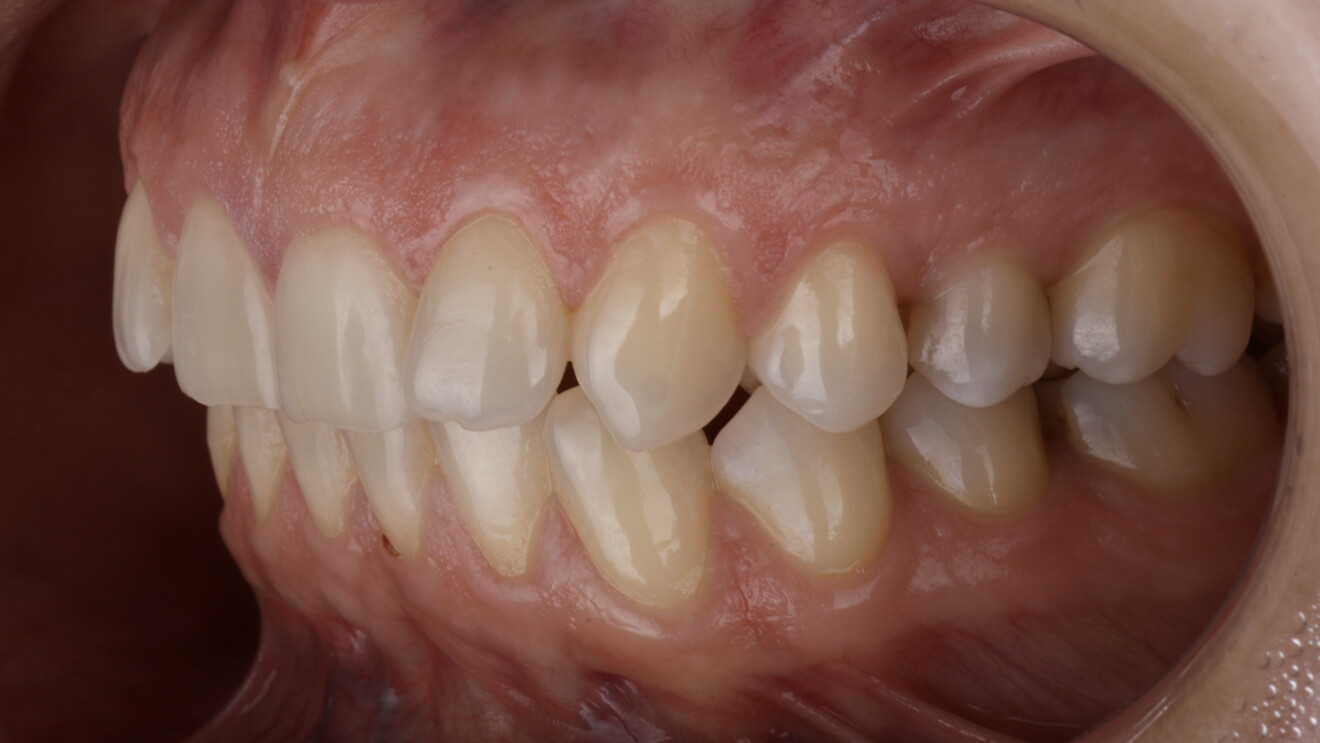
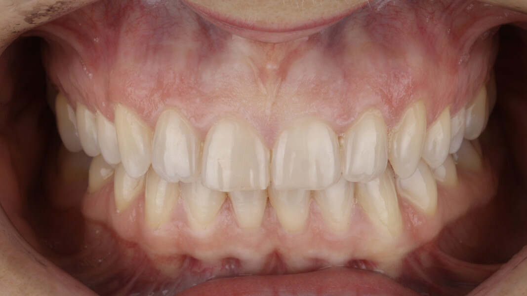
Upon clinical and photographic evaluation, it was observed that the lateral incisors were proclined, while the central incisors were slightly retroclined and exhibited minor rotation (Figs. 1–8). After discussing treatment options, the patient opted for aligner therapy for its aesthetic appeal and minimal lifestyle disruption. We proposed an in-house aligner solution that enables a streamlined workflow, cost-effective treatment and complete clinical control.
Fig. 1
Fig. 2
Fig. 3
Fig. 4
Fig. 5
Fig. 6
Fig. 7
Fig. 8
Digital workflow and treatment planning
The procedure began with an intra-oral scan, capturing precise 3D data of the patient’s dentition. These scans were uploaded to SprintRay Cloud Design, a digital planning platform. Within just two working days, we received a proposed aligner treatment plan that mapped out the movements across ten aligners (Figs. 9a–c).
Figs. 9a–c
Fig. 10
After thoroughly reviewing and confirming the virtual treatment set-up, we received STL files for each step of the aligner sequence. The digital models were then printed in-house using the SprintRay Pro 2 3D printer (Fig. 10). The entire set of ten models was printed in approximately 1 hour and 30 minutes, demonstrating the efficiency of chairside 3D-printing technology. Postprocessing followed in two quick and effective steps: placement in the washing unit for 11 minutes and then in the curing unit for 1 minute and 22 seconds (Fig. 11). This rapid workflow allowed us to complete and prepare the models for thermoforming within the same day.
Aligner fabrication and treatment delivery
Using a thermoforming machine, the aligners were fabricated on the printed models (Figs. 12–15). Composite attachments were bonded to specific teeth according to the digital set-up to enhance the effectiveness of specific movements (Figs. 16–18).
The patient was instructed to wear each aligner for ten to 14 days, depending on fit and comfort, and to follow up regularly for assessment. After completion of the tenth aligner, a final appointment was scheduled for the removal of the attachments and delivery of the night-time retainer.
Fig. 10
Fig. 11
Fig. 12
Fig. 13
Fig. 14
Fig. 15
Fig. 16
Fig. 17
Fig. 18
Final outcome
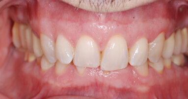
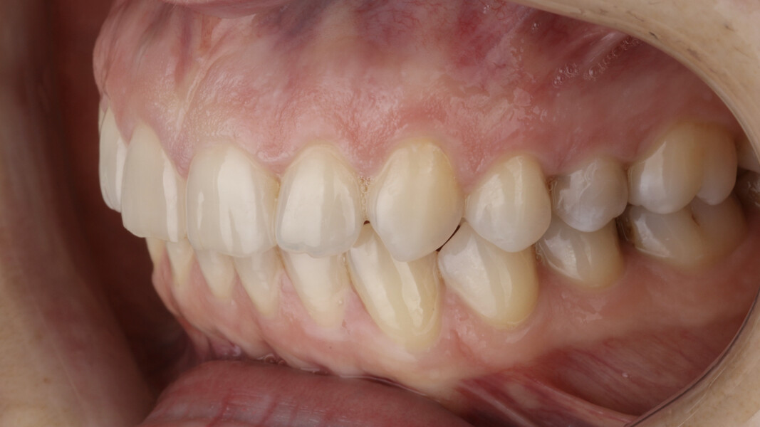
The aesthetic goals were fully achieved: the central incisors were uprighted and aligned, and the lateral incisors were repositioned to a harmonious arch form. The patient was satisfied with the outcome and particularly impressed by the comfort, speed and discretion of the treatment process (Figs. 19–26). This case highlights how a digitally integrated in-house workflow, using tools like SprintRay Cloud Design and the SprintRay Pro 2 3D printer, can offer efficient, predictable and patient-friendly orthodontic care, all while maintaining control within the dental practice.
DAMASCUS, Syria: The use of clear aligners in mild to moderate cases of malocclusion has been the subject of numerous studies, particularly as more dentists...
SEATTLE, U.S.; Bellevue Orthodontics says that its patients can walk out of their first appointment with a set of fully customized clear aligners. Utilizing...
Preconised by Kesling in 1946, treatment with clear aligners was initially used to correct misaligned teeth.1 Currently, aligners dominate the orthodontic ...
Ectopic canines are a complex condition to treat with aligners only, since it is not easy to create a reliable and stable anchorage unit for forced ...
Early intervention in growing patients with skeletal Class II malocclusion aims to reduce sagittal discrepancies, guide dentofacial development and minimise...
In recent years, orthodontists have been treating patients of increasingly younger age.1 This is due to increased attention by paediatricians, greater ...
Dr Julia Haubrich is a member of the board of the German Association for Aligner Orthodontics and chair of its sixth scientific congress, which will take ...
MADRID, Spain: Although the popularity of social media use in healthcare for health promotion, research, recruitment and marketing is increasing, there is ...
When I first heard about clear aligners in the early 2000s (the US Food and Drug Administration approved the use of clear aligners to straighten teeth in ...
The use of aligner treatment led to the observation that molar extrusion seems to be prevented during dental movement by full daily use of aligners. This ...
Education
Live webinar Wed. 29 April 2026 7:00 pm EST (New York)
CHENGDU, China: Tooth root development depends on precise cell communication pathways. Researchers from China have shown how two genes, Gli2 and Gli3, work...
TOKYO, Japan: Every dental practitioner aims for smooth and efficient procedures that deliver optimal patient experiences and treatment outcomes. Kuraray ...
LONDON, England: SprintRay has announced that it will host the London stop of its Midas World Tour, an exclusive hands-on educational event showcasing ...
To post a reply please login or register