The communication between dentist and patient is important, especially in cases of partial or complete aesthetic restoration in the anterior (smile makeover). Nowadays, it is important not only to treat oral pathology, but also to request an aesthetic evaluation of the patient’s smile to obtain results that respect the patient’s aesthetic expectation. The smile is our business card and represents the first thing that distinguishes us in human relationships, in work and in social life. It is necessary to know that a smile can appear unpleasant even if there are no evident issues or pathology, influencing people/patients’ psychologically. The clinician should understand the psychological needs of desire, perception and personality to explain in a better way the necessary therapeutics and/or aesthetic choices. When a smile is being designed, these parameters are fundamental and dependent on the communication with the patient and they should be considered in the evaluation of a 360° clinical approach. It often happens that patients are not able to identify their expectations, so dentists must be able to consider whether their exigencies can be satisfied.
What does the clinician need to plan an aesthetic dentistry treatment? What is needed to plan a smile that is integrated into the face? The diagnostic history of each clinical case must include anamnesis, analogue and digital clinical models, radiographic examination, intraoral and extraoral photographs, functional analysis, aesthetic dentofacial analysis, intraoral diagnosis, static and dynamic extraoral diagnosis, the psychological approach to the patient and informed consent.
Of benefit for the clinician, regarding the patient, is to employ intuitive language in taking a subtle approach to the patient, and he or she must subject himself or herself to the expertise of aesthetic dentistry to become the real protagonist of aesthetic dentistry. As patients’ requests mainly relate to aesthetics, we must depend on the definition of “aesthetic smile” to know how to apply it appropriately. Is there a concept of “beauty” achievable in aesthetic dentistry? In our opinion, a smile cannot lose its meaning, attraction and personality; therefore, it has psychological, sociological and communicative involvement. Only through effective communication can we answer to the needs of the evolution of the past 50 years. Today, it is easy and possible to communicate regarding aesthetics, owing to the instant availability of the digital image and since the image is a universal language, easy, immediate and decoded.
With the progress of technology and the introduction of digital photography, programme and protocols have been introduced to facilitate communication increasingly through the preview of the treatment result that the patient will receive (smile design or oral design). More generally, Digital Smile Design (developed by Dr Christian Coachman) allows the use of presentation software (Keynote, Apple, or PowerPoint, Microsoft) or software specifically dedicated to dentistry. In addition to these, regarding 2-D aesthetic pre-visualisation, it is possible to use image editing software, such as Photoshop Smile Design as described by Dr Edward McLaren and Aesthetic Digital Smile Design (ADSD) by Dr Valerio Bini.
A detailed smile analysis and its design are fundamental parts of this method and indispensable for the formulation of the treatment plan for the clinical case. The first step involves the acquisition of images and video (static and dynamic dentofacial) on the basis of the ADSD protocol (Figs. 1–3). The import of these important elements into the aesthetic digital file of the patient is complementary to the anamnesis because they are integral to the objective intra- and extraoral examination.
The second step involves the aesthetic analysis according to the main guidelines. Dynamic smile analysis and dentolabial phonetic analysis are identified in their characteristics through recording images caught during sleep, speaking and smiling, allowing better understanding of the variation of the soft perioral tissue.
Nowadays, digital technology is a successful reality and a confirmed part of daily life in wider society; consequently, the digital workflow in dentistry has become suitable for all professionals.
Aesthetic Digital Smile Design
The dentist must communicate and explain to the patient how the smile can be improved and personalised; therefore, it is necessary pre-visualise the outcome of an ideal aesthetic treatment to show it to the patient using images.
In order to satisfy the exigencies of both the patient and the team in a clinical case, the methodology of ADSD allows the clinician to analyse and provide an indication of the dimensional and morphological aesthetics of the tooth volume, starting from the acquisition of 2-D elements useful to the aesthetic analysis through photographs, an instrument we can all have in our clinic. The smile design digitally realised in 2-D offers the ability to obtain new and predictable compositions of aesthetic tooth design using images in 2-D with visual perception in 3-D (picture-in-picture). Digital processing of the images can be done in different ways according to the exigencies of the smile designer; currently ADSD can be executed using the well-known graphics editing programme Adobe Photoshop CC (Adobe Systems).
ADSD uses a particular set-up dedicated to the smile designer, through which it is possible to use this well-designed software in a simple way by the dental team. The ADSD method provides a photographic result that as far as possible reflects the clinical reality. Forms, colours, disposition and aesthetic dental composition are inseparable from the aesthetic facial composition. They perform a primary role through the 3-D visual perception that the digital dental image editing yields. Once the images have been imported into the work area of the software, the frontal and lateral photographs (digital orthogonal projection planning) are aligned to develop the dentofacial mapping related to all its main components (ADSD digital face mapping; Figs. 4 & 5).
Through the visual information provided, the smile design or oral design is a useful way to communicate to the patient the envisioned aesthetic dental composition of the smile, synonymous with predictability. This offers a great instrument for communication in a 360° clinical approach, especially with the dental team. The modelling and placement confer the aspect and the visual 3-D perception of the tooth morphology that the dental team will copy in the CAD modelling phase (Fig. 6).
3-D modelling
In aesthetic dentistry, the role of 3-D has begun to assume greater importance both in the optimisation of the clinical workflow and as an important improvement to the efficiency in communication between dentist and patient. 3-D modelling is a technical discipline that provides the virtual reconstruction in 3-D of an object in the real world. This discipline, which has its origins in architecture and design, is used in unusual contexts, such as biomedical field. Dentistry was the first discipline to use 3-D modelling as an instrument perfectly integrated into the work process. Other medical disciplines followed and now this technique is frequently used in clinical and research contexts.
Because of this, smile design could be defined as dental specialisation that can certainly use 3-D as a significant instrument of support for a large part of clinical and diagnostic activity. 3-D in smile design overcomes all of the limits of 2-D technology. Currently, 3-D permits the user to select teeth from a 3-D library, available in commercial software, or to realise a personal database starting from an intraoral scan (Figs. 7a & b).
The advantage that 3-D technology certainly can offer is relevant: it allows the design of patient-specific teeth directly in 3-D, allowing quick access to all production systems, including rapid prototyping. There are many software programmes available that facilitate working in 3-D, and among these, there is one that is appreciated for a series of characteristics that are different from the others, such as its ease of use, being entirely free of charge and its infinite versatility. The factotum software is called Meshmixer and is from Autodesk, a leader in 3-D software. It allows the designer to work at 360° on the mesh, generating an infinite series of modification (Figs. 8a–e).
3-D prototype
An important improvement to the workflow of smile design is the printing of prototypes with the new 3-D printers, facilitating an increase in the efficiency in the modality of communication between dentist and patient. From a clinical point of view, dentistry, more than the others, is a discipline that permits a very concrete and realistic use of 3-D printing. There are different printing technologies now available, but in dentistry, the technologies mainly used are stereolithography (SLA) and PolyJet (Stratasys).
SLA is a printing technology that uses photosensitive resin to produce physical objects thorough the use of laser light. This photosensitive resin contains photoactivators, such particular molecules that polymerise if exposed to a luminous ray of a certain wavelength. A subgroup of SLA is digital light processing (DLP), a technology that uses light to polymerise resins as well, but the luminous source is the beam emitted from a projector in LED (not laser).
PolyJet technology ejects drops of resin from nozzles on to the build tray and the resin is polymerised by a diffused light of a determinate wavelength. Unlike SLA technology, PolyJet makes use of high-cost machinery without providing added value considering that the same is obtainable with some low-cost technologies. Owing to our experience, we prefer to utilise an SLA printer to realise a 3-D resin model, and based on this, a silicone key (negative reproduction) is fabricated, then we place the acrylic resin into the silicone key and thereafter insert it into the patient’s mouth and wait until it solidifies. In the meantime, we remove any excess material from the silicone key. After polymerisation, we remove the silicone key and finish the resin plate as best we can. Once these steps have been completed, we show to the patient our vision of the aesthetics of his or her smile, based on our earlier analysis with digital analysis of photographs and successively prototyped in 3-D simulated in his or her mouth, and we evaluate with him or her the envisioned final result (Figs. 9a–d).
Discussion
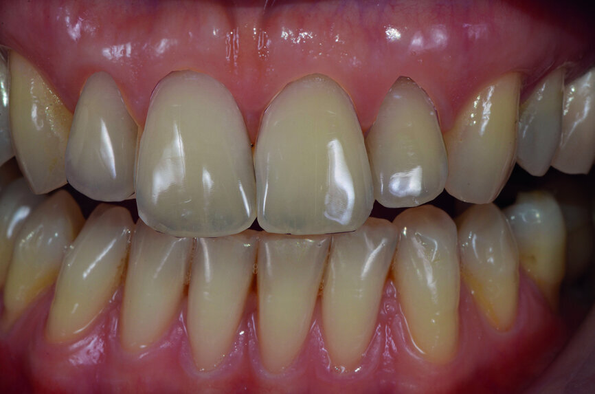
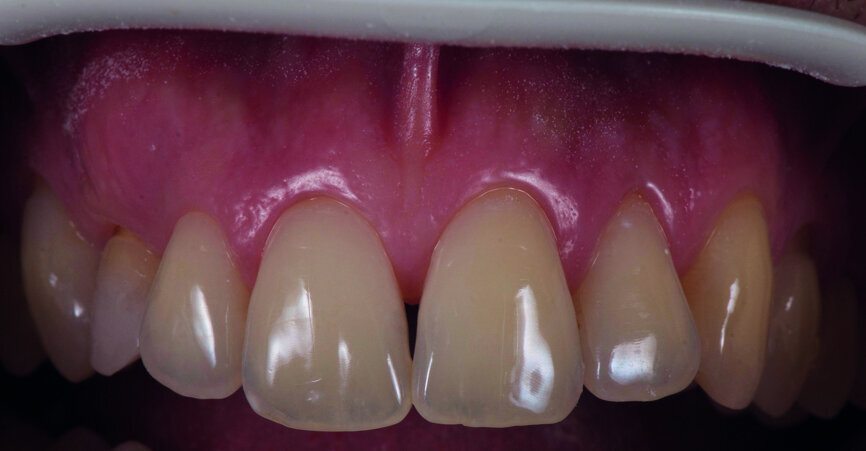
In our opinion, photography provides the ideal morphological indication of the new smile that should be communicated to the patient. With ADSD 2-D methodology, we obtain some indication useful also for the team that can develop, through 3-D modelling, a prototype silicone key to test in the mouth with resin. The purpose of aesthetic pre-visualisation with ADSD is to demonstrate to the patient what we can obtain from the aesthetic analysis of photographs and the possible treatment plan (Figs. 10a–i). The problem today, in this communication with 3-D, is the absence of a texture that looks similar to that of the natural dentition, so when the model is shown to the patient, it may evoke a negative reaction owing to what may appear to be a very poor integration. Such visualisation of a natural texture can at present be obtained only with photography (Fig. 11a & b).
Conclusion
A series of technical procedures have been proposed that involve digital smile design, ranging from 2-D to 3-D. This article has described an alternative method for a 3-D model that is cosDr Valerio Binit-effective and reproducible to obtain a prototype from a digital photograph of the smile. Meshmixer software for 3-D design has the advantage of being open source and using it requires minimal learning. Moreover, with Meshmixer, one can create in an easy way a personal digital dental database complementary to the 2-D library. The database can be modified following the rules of smile design that has as its purpose 3-D printing of a model in resin characterised by high accuracy of details.
Editorial note: A list of references is available from the publisher. This article was published in CAD/CAM - international magazine of digital dentistry No. 02/2018.
Import and adaptation of images: after having acquired the video frames that statistically capture the dynamic phases of the smile and after having imported...
The concept of aesthetics has been explored by various authors and discussed by eminent philosophers. While their definitions are subjective, they all agree...
MANGALORE, India: Digital smile design has begun employing artificial intelligence (AI), raising questions about the quality and acceptability of ...
Achieving a successful outcome in aesthetic dentistry can be a formidable challenge for all dental practitioners, regardless of their experience level. The ...
Dental facial aesthetics can be defined in three ways. Traditionally, dental and facial aesthetics have been defined in terms of macro- and micro-elements. ...
Modern trends in cosmetic dentistry and media coverage of smile makeovers have increased public awareness of dental aesthetics. People now know that smile ...
Today’s patients expect restorations that not only function properly, but are also highly aesthetic. Unlike some years ago, different media outlets ...
Dentofacial abnormalities are alterations in facial proportion and dental relationships, and such abnormalities in dental and facial appearance often lead ...
The Digital Smile Design (DSD) protocol developed by Dr Christian Coachman is an important part of daily work at our practice. It is an integral way of ...
The Smile Creator module is exocad’s advanced smile design solution for predictable aesthetic makeovers. Integrated into exocad’s DentalCAD platform, it...
Live webinar
Tue. 12 May 2026
1:00 pm EST (New York)
Live webinar
Thu. 14 May 2026
12:00 pm EST (New York)
Live webinar
Thu. 14 May 2026
2:00 pm EST (New York)
Prof. Hani Ounsi DDS PhD FICD
Live webinar
Tue. 19 May 2026
11:00 am EST (New York)
Live webinar
Tue. 19 May 2026
1:00 pm EST (New York)
Prof. Dr. med. dent. Ivo Krejci
Live webinar
Wed. 20 May 2026
7:00 am EST (New York)
Dr. Graham Carmichael BDSc (Hons), DClinDent (Pros), FRACDS, Dr. Robert Gottlander DDS
Live webinar
Wed. 20 May 2026
9:00 am EST (New York)
To post a reply please login or register