It is widely accepted that in order to obtain highly aesthetic results, detailed treatment planning is mandatory in order to schedule the various stages of the restorative treatment to achieve the best possible outcome. Time too is a very important factor in terms of complying with dental principles concerning biology, function and aesthetics because of the need to wait for a favourable biological response, to test occlusal function and to achieve the biopsychosocial acceptance of the patient.
These dental principles have to be considered in close communication with the laboratory technician to treat each case using the ideal material and fulfilling the expectations of the patient. The present case report demonstrates the importance of handling high-tech dental materials to achieve integration between dental aesthetics and nature.
In certain clinical situations, it is necessary to use dental ceramics and composite resins, whether due to specific indications, biologic reasons, budget, etc. The dentist nowadays must be able to achieve optimum aesthetics with appropriate handling of dental materials. One of the challenges in this regard is that there is no correlation in colour selection and brightness between ceramics and composite resins.
embedImagecenter("Imagecenter_1_1348",1348, "large");
We understand that integration of a restorative material with the surrounding natural dentition must be an essential triad of individual aesthetics: form (surface and periphery), colour and brightness.
Creating an organised system of the entire range of ceramics, ceromer, and now direct re storative materials (in this case IPS Empress Direct, Ivoclar Vivadent) allow the latter to be compatible with the color of indirect restorative materials (ceromer and ceramics) or even be used in urgent situations for the repair of indirect restorations intra- or extra-orally.
Considering patients’ demand for highly aesthetic results and that many clinical situations require adequate handling of ceramics and composites, it is evident that the integration of in - direct and direct restorative dentistry is crucial, as is good communication with the laboratory technician, as well as good management of the clinical steps, in order to achieve the best possible results. The following case report is a clear example of this kind of management.
Case report
A female patient presented to the office wishing to improve the health and aesthetics of her maxillary anterior teeth, and had only 15 days in town before returning to her home country.
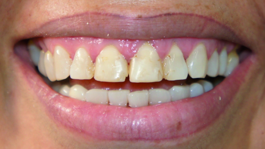
She presented with several defective composite restorations in the maxillary incisors, a slight diastema between the central incisors, with excessivematerial at the mesial, distal and vestibular surfaces. The patient also wanted her teeth to be whiter. They were greyish, with significant opacity and saturation at the cervical area (Fig. 3).
The first appointment entailed determining the patient’s expectations regarding her anterior teeth, making study models, capturing photographs (intra- and extra-orally, used for the digital smile design; Fig. 4), and performing a through prophylaxis accompanied by oral hygiene instruction.
At the second appointment, we restored the cervical non-carious lesions in the molars and premolars, restored occlusal equilibration to stabilize the occlusion, and noted the need to increment the cusps of the maxillary canines, which was originally planned in the digital design. The design was presented to the patient, but she did not like the size of the central incisors, desiring smaller ones. We took impressions, and manufactured models and duplicates of the models for fabricating the whitening trays, the digital design of the smile had to be customized. We saw that as in this case the mathematical proportions were not always pleasant to patients.
At the third appointment, the teeth were prepared using polyvinyl siloxane rigid patterns to perform as minimal tooth preparation as possible because the teeth were all vital. Use of
IPS e.max Press (Ivoclar Vivadent) was indicated using high-translucency ingots in shade BL4 owing to the appropriate colour of the vital preparation of the central incisors, which showed
a significant buccal flare (Fig. 5).
Based on the distal half of the natural lateral incisors, we chose to use shade 110 (Chromascop) to perform a cut-back and stratification with IPS e.max Ceram (Ivoclar Vivadent) following the marginal seal and try-in. We had to finish the tooth whitening while fabricating the full-coverage crowns. We took the final impressions and provisionalised with bis-acrylic temporary crowns.
At the forth appointment, five days later, the whitening was almost complete, the ceramic copings of the pressed crowns were tried in, the marginal seal was verified, as were the primary anatomy details, and the application of in-office whitening was continued. Colour selection was performed again and this time we achieved a colour that was more transparent than 110. The teeth showed a definitive greyish aspect, which was very challenging to replicate. Working closely with the laboratory tech nician was crucial. His coming to the office to meet the patient to assess the details needed to mimic the natural dentition was decisive for the final outcome.
Following wash preparation cook, IPS e.max Ceram Glaze in shade A1 was applied to saturate the cervical area and lightly applied to the proximal surface. Then the deep dentinal mass structures were powdered with IPS e.max Ceram in shade A2. At the stratification, Deep Dentin shade A2 was used for the cervical area, shade 110 for the body, transparent blue for the incisal halo, and grey for the incisal edge. Transparent neutral was used to finish it owing to the low value of the teeth, which explains the greyish final aspect.
Five days after we had received the glazed crowns, the bleached teeth presented a different surface lustre, so it was necessary to touch up that aspect. We were able to both replicate the size the patient had in mind and satisfy the occlusal and anterior guide requirements; however, the diastema between the central incisors required that space be redistributed towards the mesial surfaces of the lateral incisors, where we needed to replace defective composite restorations (Fig. 6).
We proceeded with the resin composites in the lateral incisors and canines, all of which should free the occlusion during lateral excursions of the mandible. We had the advantage of postponing the cementation of the crowns until the composite resins had been completely finished, and the integration of colour and specific characteristics of the anatomy had been verified against the natural dentition of the patient, and copied in the crowns, with uniform thickness of 0.5–0.6 mm in the buccal and palatal aspects.
We used IPS Empress Direct to restore the lateral incisors and canines in the following sequence: shade A1E on the palatal surfaces, using the rigid silicone pattern obtained from the diagnostic waxup, shades A2D and A1D in pro gressive transition, then Trans Opal for the grey halo effect, and shade A1E and Trans Opal for the final layer. At this session, preliminary finishing was performed with the Astrobrush and Politip polishing systems (both Ivoclar Vivadent). Final occlusion was achieved for all restorations, direct and indirect, and final photographs were taken and submitted to the laboratory technician to allow him to replicate the manual polishing and mimic the natural dentition.
The crowns were cemented with Multilink N in the Translucent shade (Ivoclar Vivadent) because the teeth were all vital and we did not want to perform an acid etch on the prepared dentine. Multilink N is self-etching and polymerization occurs upon contact.
The final result was very natural looking: the customized bright and glazing integrated the IPS e.max Press restorations with IPS Empress Direct very naturally owing to their colour qualities. It was crucial to determine the precise thickness of the translucent mass to obtain the final translucent effect of both the IPS e.max Ceram and the natural dentition.
Conclusion
Mimicking nature generally involves repli cating specific details of the dentition, combin ing conservative treatments such as teeth whitening with re-establishing a proper occlusal relationship, such as anterior occlusal guide, using direct and indirect restorative materials and using the least biologically invasive method possible.
Clinical integration of such restorative materials, requiring comprehensive knowledge of them and their systematisation, helps clinicians achieve homogenous and highly aesthetic results.
The importance of digital design is a preview of the final result, however, within the possibilities of smile design approach (mathematical and psychological), the most important thing is to meet aesthetic expectations of the patient.
It is accepted that nowadays aesthetic results depend on the dentist, his or her clinical skills and working technique, and on the experience of the laboratory technician, but achieving aesthetic results is facilitated by suitable dental materials, whose improved optical and mechanical properties match the aesthetic need, and adapting different working protocols to the various clinical situations.
The present clinical case exemplifies the optimum integration of IPS e.max Press, IPS e.max Ceram and IPS Empress Direct, fulfilling the patient’s expectations in a short period.
A complete list of references is available from the publisher.
This article was published in cosmetic dentistry international beauty & science No. 02/2013
It is widely accepted that in order to obtain highly aesthetic results, a detailed treatment planning is mandatory, to let us schedule the different stages ...
The restorative dental treatment possibilities available to practicing dentists have grown immensely over the past few decades. Considerable progress has ...
Modern trends in cosmetic dentistry and media coverage of smile makeovers have increased public awareness of dental aesthetics. People now know that smile ...
Every day in our practices, we are faced with a choice between different treatment options. Experience, scientific literature and patient preferences all ...
Dental facial aesthetics can be defined in three ways. Traditionally, dental and facial aesthetics have been defined in terms of macro- and micro-elements. ...
Minimally invasive treatments restore form, function and aesthetics with minimal removal of sound tooth structure. Understandably, the restorations age with...
Dr Tobias Otto, a dentist in private practice in Aarau in Switzerland, witnessed the ‘death’ of amalgam as a student at the University of ...
The Smile Creator module is exocad’s advanced smile design solution for predictable aesthetic makeovers. Integrated into exocad’s DentalCAD platform, it...
HATTERSHEIM AM MAIN, Germany: Contrary to the uniformity suggested by the name, ceramic primers vary widely in composition and efficacy. Most common primers...
This article discusses the advantages of short-term anterior tooth alignment using the Inman Aligner system, particularly for general dentists. The article ...
Live webinar
Tue. 12 May 2026
1:00 pm EST (New York)
Live webinar
Thu. 14 May 2026
12:00 pm EST (New York)
Live webinar
Thu. 14 May 2026
2:00 pm EST (New York)
Prof. Hani Ounsi DDS PhD FICD
Live webinar
Tue. 19 May 2026
11:00 am EST (New York)
Live webinar
Tue. 19 May 2026
1:00 pm EST (New York)
Prof. Dr. med. dent. Ivo Krejci
Live webinar
Wed. 20 May 2026
7:00 am EST (New York)
Dr. Graham Carmichael BDSc (Hons), DClinDent (Pros), FRACDS, Dr. Robert Gottlander DDS
Live webinar
Wed. 20 May 2026
9:00 am EST (New York)
To post a reply please login or register