Search Dental Tribune

Successful aligner treatment in adult patients requires careful periodontal assessment and ongoing management. (Image: Andrey Popov/Adobe Stock; clinical images: Dr Irineu Gregnanin Pedron)

Thu. 29. May 2025

save

Preconised by Kesling in 1946, treatment with clear aligners was initially used to correct misaligned teeth.1 Currently, aligners dominate the orthodontic market, promising superior advantages over orthodontic treatment with fixed appliances, particularly in terms of aesthetics. 13 In addition, there has been significant recent progress in the technological development of computeraided treatment planning and execution.2, 4, 5

Aligner treatment has also been driven by patient demand.1 In Brazil, the pioneering brand (Invisalign, Align Technology) pursued ostentatious marketing in the major television media, leading to great interest among the population. The demand for aligners also gained momentum during the COVID-19 pandemic, during which orthodontic clinical activities ceased owing to lockdown recommendations from the World Health Organization and various countries’ authorities. The need to continue orthodontic treatment led to the use of aligners, owing to the ability of treatment to progress by the patient swapping the aligners. However, after the pandemic period, the need for regular follow-up visits to the orthodontist could be continued for adjustment of the treatment to ensure the best possible result. Failure to plan can result in problems such as delays in treatment, insufficient treatment, misaligned teeth and even permanent damage to the teeth and gingivae.2

Figs. 1a–c: Orthodontic treatment planning based on extra-oral photographs. (a) Frontal view. (b) Lateral view. (c) Patient smiling.

Figs. 1a–c: Orthodontic treatment planning based on extra-oral photographs. (a) Frontal view. (b) Lateral view. (c) Patient smiling.

Adult patients often seek orthodontic treatment, and the incidence of periodontal disease among this group seeking orthodontic treatment is high. Orthodontic treatment using fixed appliances is still the gold standard. It is known that all components of fixed orthodontic appliances (brackets, bands, archwires, etc.), regardless of the technique used, hinder the entire oral hygiene process, favouring the increase of dental biofilm. A significant increase in the count of periodonto-pathogenic microorganisms (Porphyromonas gingivalis, Prevotella intermedia, Prevotella nigrescens, Tannerella forsythia and Fusobacterium species), cariogenic microorganisms (Streptococcus mutans and lactobacilli) and Candida albicans has been reported in patients undergoing fixed orthodontic treatment. The deposition and accumulation of dental biofilm, when not disorganised by mechanical plaque control, by either the patient or the dental professional, leads to the formation of dental calculus, leading to the onset of gingival, periodontal and peri-implant disease.27

However, orthodontic treatment for periodontic patients also favours good oral hygiene practices. Resolving diastemas and crowding favours oral hygiene. Besides orthodontic treatment favouring oral health, it addresses patients’ general health.

Adult patients have high aesthetic expectations of orthodontic treatment. From this perspective, it is clear that there must be synergy between the orthodontics and periodontics specialties. Orthodontic management of adult patients with periodontal problems must respect the biology of the patient in terms of time, force and orthodontic pressure. Orthodontic pressure induces an inflammatory process in the periodontium—a predictable response to trauma—but essential in the tooth movement process.46

Basically, periodontal disease depends on intrinsic and extrinsic factors, such as host resistance, systemic disease or pathological conditions, smoking, the periodontal phenotype (thickness of bone and gingival tissue), and quantity and microbiological quality of the biofilm, which can interfere with the periodontal disease process. Thus, periodontal control before, during and after orthodontic treatment is essential in order to contribute to periodontal health and better orthodontic management, regardless of the therapy used, including aligners.4,5,7

Because aligners can be removed for oral hygiene, patients may feel that oral hygiene is less of a concern and underestimate its importance. However, adequate oral hygiene is required for satisfactory treatment with aligners. The use of conventional, tufted and interdental brushes, as well as dental floss, prevents the accumulation of dental biofilm, and the initiation and progression of caries and periodontal disease. These oral hygiene procedures should be carried out after eating and before the aligners are repositioned.3,57

The periodontal treatment of an adult patient undergoing treatment with aligners is illustrated in demonstration of these points. Orthodontic planning considered the extra-oral photographs (Fig. 1) and intra-oral photographs (Figs. 2 & 3). Intra-oral scanning (Fig. 4) and radiographic documentation using panoramic radiographs and cephalometric radiographs (Figs. 5 & 6) were also carried out. From a periodontal perspective, periapical radiographs were recommended (Fig. 7), as this was an adult patient who smoked and showed clinical signs of advanced periodontal disease. Prior periodontal treatment was carried out (Fig. 8) to begin treatment with aligners (Fig. 9).

The inflammatory process generated by orthodontic forces on the periodontal ligament and alveolar bone induces cells to release pro-inflammatory, angiogenic and osteogenic substances, which act in the remodelling process of the periodontal ligament and alveolar bone. A correlation between orthodontic movement and periodontal disease has been reported, based on the exacerbation of the inflammatory process due to the degradation of periodontal tissue, generated by increased concentrations of pro-inflammatory cytokines (interleukin-1, -1β, -6 and -8; tumour necrosis factor-α; prostaglandins E1 and E2; nuclear factor-κΒ; receptor activator of nuclear factor-κΒ ligand; vascular endothelial growth factor; and alkaline phosphatase) released by connective tissue cells and osteoclastic activity inducing bone resorption.5, 6 Fixed orthodontic treatment has been associated with gingival and periodontal lesions (periodontal ligament and alveolar bone), clinically characterised by gingival recession, gingival hyperplasia and loss of attachment.2,414

Aligners have several benefits for the periodontium. Reduced dental biofilm formation and improved gingival and periodontal parameters compared with fixed orthodontic appliances have been reported in the literature.27,15

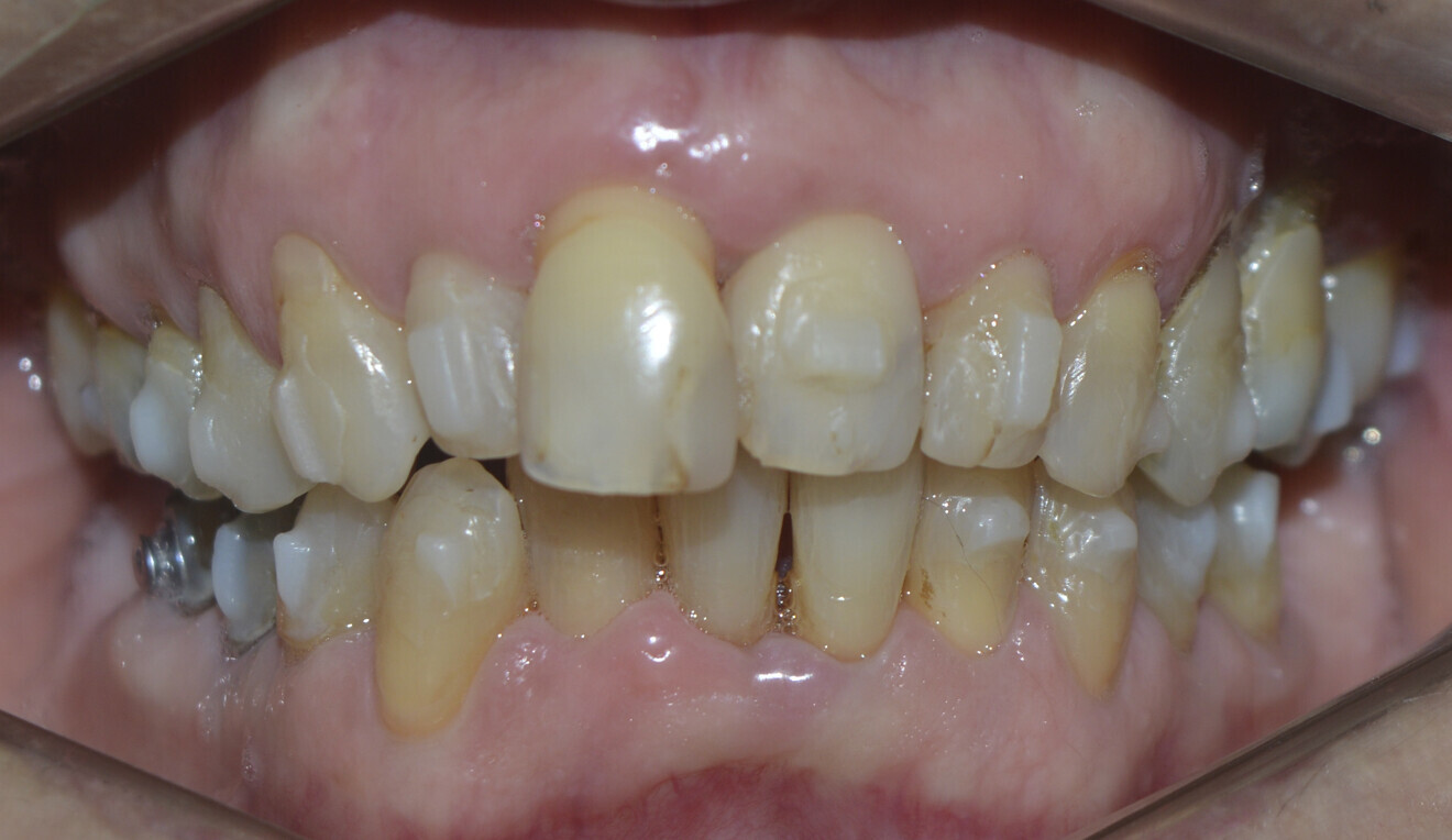
Fig. 8: After periodontal treatment.

Fig. 8: After periodontal treatment.

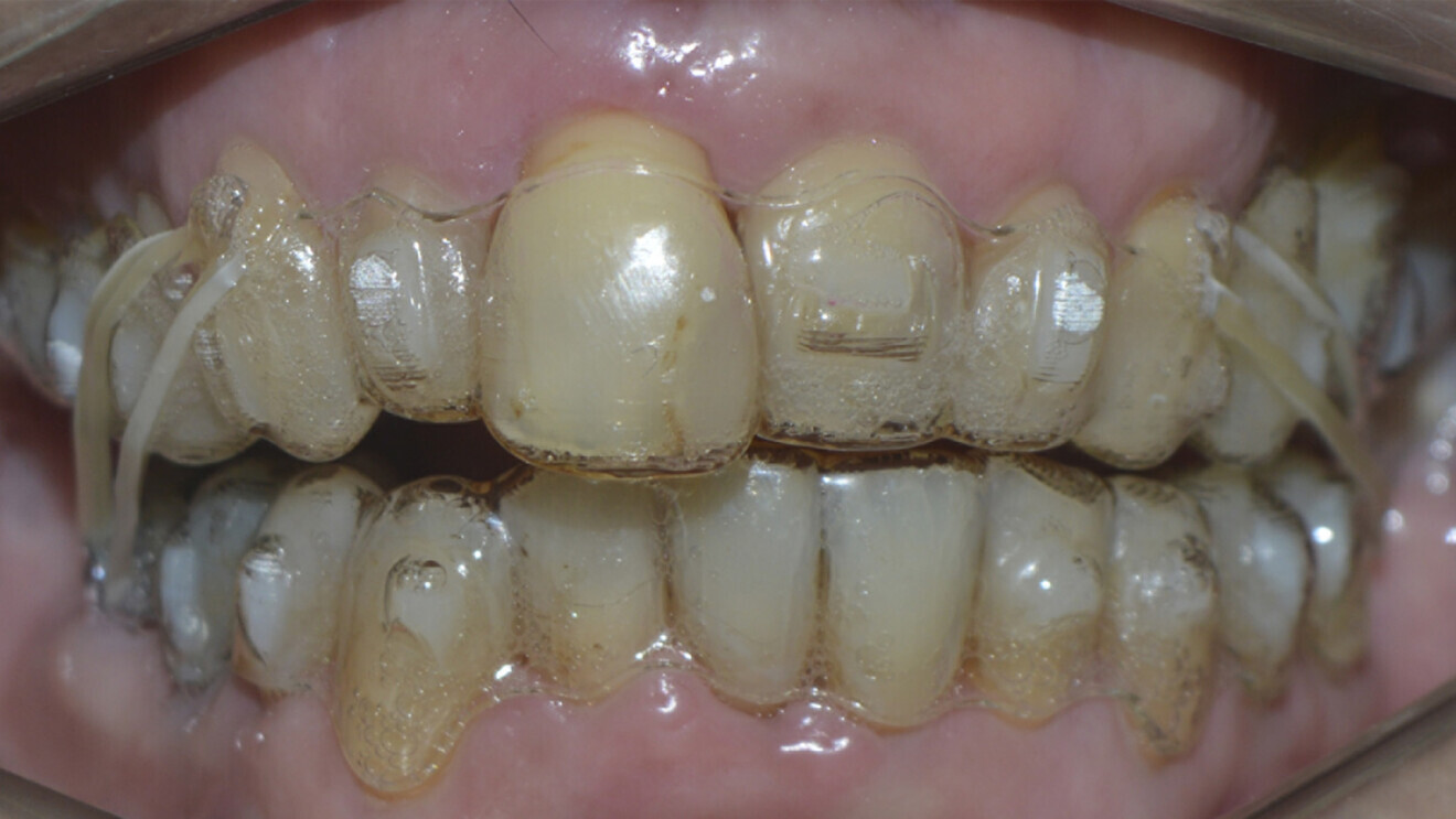
Fig. 9: Treatment with aligners.

Fig. 9: Treatment with aligners.

Treatment with aligners has several further benefits compared with treatment with orthodontic fixed appliances. The superiority of aligners over conventional treatment has been reported in relation to the signs and symptoms reported by patients via questionnaires related to oral health-related quality of life. Factors such as health, physical, psychological and social aspects have been measured through physical pain, oral dysfunction, eating disorders, oral alterations (in the tongue, lips or cheeks), anxiety, general activities, sleep or mood alterations, and quality of life.1,2,6

Aligners are more aesthetically pleasing and comfortable, which favours greater patient acceptance and improves self-esteem during treatment. Aligners have been found to cause less pain compared with fixed appliances. The feeling of tension has been reported as being lower in patients with aligners compared with patients with fixed orthodontic appliances. When the aligners were removed, masticatory comfort was greater inthese patients.13,5,7 Difficulty in phonation in the first 30 days in patients with aligners can occur and has been found to be suppressed with use conditioning.1

Recent studies have shown statistically significantly lower plaque indices and gingival bleeding and periodontal probing depth scores in patients with aligners compared with patients with fixed orthodontic appliances.27 The lower incidence of dental biofilm formation can be hypothesised to be due to the greater coverage of the aligners over the dental structures. The margins of the aligners should be checked by the dental professional to avoid trauma and gingival lesions.2, 5, 6 Favero et al. concluded that aligners with a juxta-gingival flange caused a higher incidence of gingival lesions and irritation, whereas aligners with a flange that extends into the vestibule (between 3 and 4 mm) may have a protective effect, less inflammation and less accumulation of dental biofilm.2 Some studies have suggested that aligners may be the first treatment option for patients with periodontal disease, particularly in adults.5,7

In summary, even with the use of aligners, it is imperative to establish supportive periodontal therapy in order to clinically monitor patients with gingival, periodontal and peri-implant disease and to achieve periodontal health, favouring adequate and satisfactory orthodontic treatment.

Editorial note:

This article was published in aligners—international magazine of aligner orthodontics vol. 3, issue 2/2024. The list of references can be found here.

Topics:
Tags:
To post a reply please login or register
advertisement
advertisement