Search Dental Tribune

Radicular transplantation—The use of dental roots in the treatment of bone insufficiency

Edges of the radicular graft in contact with the alveolar bone. (Image:

Mon. 7. November 2022

save

Treating bone insufficiency is a familiar challenge for all implant practitioners. Such insufficiency can compromise the placement of an implant, its long-term viability and even the anticipated aesthetic outcome. In summary, where there is a bone defect, there are two broad treatment types available to us. Firstly, there is guided bone regeneration. This combines a membrane and a biomaterial, of which there are several variants, depending on the type of membrane and the materials used.1 Secondly, we can use autogenous bone in block or chip form as an onlay or supporting structure, according to the technique developed by Prof. Fouad Khoury.2 Depending on the skill and experience of the surgeon, these various techniques can necessitate several operations, and it can be months before an implant can be placed into the arch.

However, there is a third way to treat bone insufficiency, based on the principle of ankylosis and root resorption, by block grafting the roots of the patient’s own teeth. We will use the term “radicular graft” to refer to the root fragments used. This technique was originally described by the team working with Prof. Frank Schwartz, who proposed the grafting of dental roots in pre-implant surgery in 2016.3 Through three clinical cases, we will discuss the scope of application for radicular grafts as we use them in our daily work in the dental surgery and how this has changed in comparison with the technique described by the team working with Prof. Schwartz.3 Our aim is to improve our patient’s surgical experience and, whenever possible, to achieve bone augmentation and implant placement concomitantly. We have deliberately restricted our application to transverse bone insufficiency.

Fig. 1: Extracted root for radicular graft.

Fig. 1: Extracted root for radicular graft.

Fig. 2: Radicular grafts are polarised.

Fig. 2: Radicular grafts are polarised.

Fig. 3: Space between the graft and ridge filled with a filling material.

Fig. 3: Space between the graft and ridge filled with a filling material.

Materials and method

First, the root must be extracted; this will be the future radicular graft (Fig. 1). This is then prepared by polishing it gently to clean it and remove calculus deposits. The coronal section and any soft or decayed parts are removed. 3 The root is cut into two using a disc. A diamond drill is used to clean the canals, and any debris from fillings is removed.3 If necessary, the root is cut again to shape it to match the defect, and holes are drilled into it for the osteosynthesis screws.3 The graft is fixated at the insertion site using osteosynthesis screws with the dentine in contact with the bone ridge and the cementum in contact with the soft tissue.3 Radicular grafts are actually polarised: the dentine must be in contact with the bone ridge to allow ankylosis, while the cementum, in contact with the soft tissue, acts as a barrier to prevent graft resorption by the soft tissue (Fig. 2). If the graft is being used as a biological membrane and is intended to form a supporting structure, the space between the graft and the ridge is filled with a filling material (Fig. 3).

Case 1

A 36-year-old patient with teeth #36 and 37 missing and transverse bone insufficiency in the existing gap was treated. It would have been possible to place implants, but this would have left only a thin layer of vestibular bone at the neck of the implants. There was a serious risk of dehiscence, which can compromise the survival of the implant in the arch (Fig. 4).

We had three alternative courses of action: a bone block graft from the mandibular ramus,2 a segmental osteotomy4 or a radicular graft, knowing that tooth #46 could not be saved. We chose the third option because it allowed for simultaneous implant placement and bone reconstruction. A large flap was elevated to assess the gap in the bone and in anticipation of closing the flap on an augmented ridge. Two implants were placed as normal despite the low residual bone thickness in the vestibular area of the planned positions for the implants (Fig. 5). The roots of tooth #46 were extracted atraumatically (root separation, use of piezo-surgery, etc.) and were then prepared as described. The roots were shaped to fit the defect and fixated at the insertion site using osteosynthesis screws (Fig. 6).3 The flap was mobilised and stretched to achieve edge-to-edge closure without tension, and a 4/0 rapidly resorbed braided thread was used for the sutures (Fig. 7). Four months after the bone augmentation and implant placement, healing abutments were connected to the implants and the osteosynthesis screws removed (Figs. 8 & 9). During the operation, time was taken to perform a visual check that ankylosis of the radicular grafts had been successful and that these were sound. Finally, a CBCT assessment was performed. The prosthesis was fitted by our colleague a few weeks later, once the soft tissue had healed.

Case 2

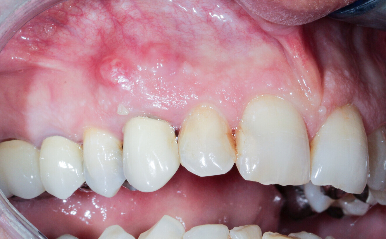
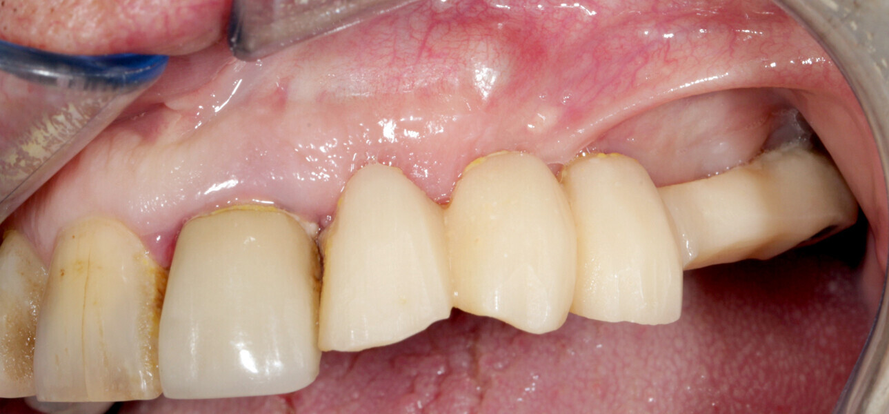
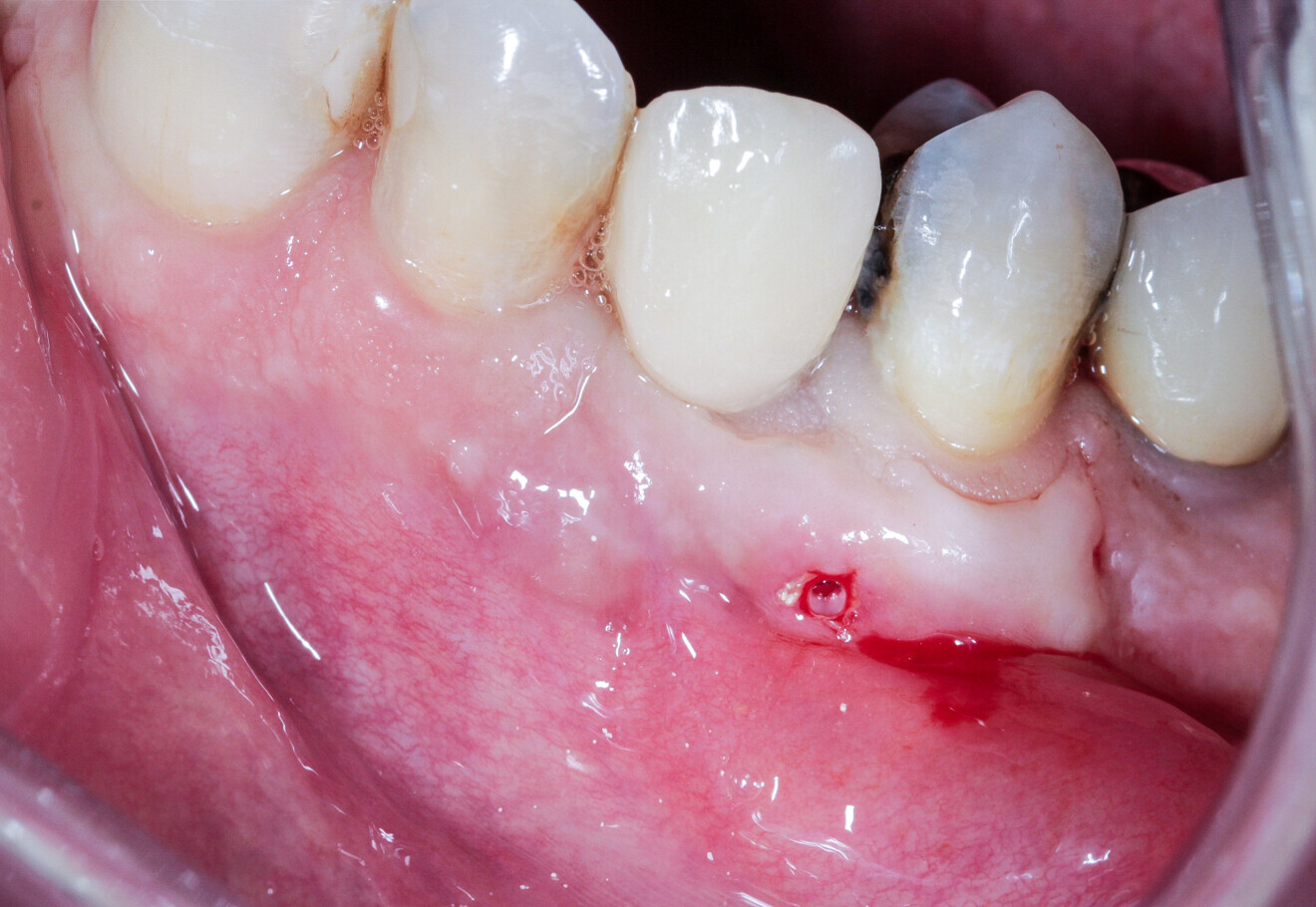
A 62-year-old patient with a bridge from tooth #21 to tooth #27 requiring replacement, teeth #21, 23, 24 and 27 with abutments and the crown of #22, 25 and 26 missing, was treated. The ridge of tooth #22 exhibited a transverse bone insufficiency which would have allowed the placement of an implant, but the aesthetic outcome would have been unsatisfactory (Fig. 10). First, the bridge of tooth #24 was sectioned distally and the root of tooth #27 extracted. After a two-month healing period, the patient was treated with simultaneous extraction, implantation and aesthetic restoration. The bridge was sectioned distally at tooth #21, a full thickness flap was elevated and the teeth #23 and 24 were extracted, allowing the bone defect at tooth #22 to be assessed (Fig. 11). Implants were placed into sites #22, 24 and 27. The root of tooth #23 allowed us to compensate for the bone defect and achieve a satisfactory aesthetic result. The root was prepared as described. The radicular graft was fixated away from the ridge, the edges of the graft in contact with the alveolar bone (Fig. 12). The spaces between the ridge, the graft and the alveoli were filled with a synthetic, hydroxyapatite-based biomaterial, the flap was stretched and sutured around the healing abutments, an impression was taken, and a temporary prosthesis from implant #22 to 27 was made during the day by the laboratory and fitted the same evening. The stitches were removed on the tenth day and the bridge after two months to check for the successful osseointegration of the implants. The osteosynthesis screws were not removed in this case because they were not visible under the gingiva (Figs. 13 & 14). A CBCT assessment was performed after six months to check that the graft had taken successfully. Finally, our colleague fitted the definitive prosthesis.

Case 3

A 55-year-old patient with a radicular fracture at tooth #13 under a crown and a fistula opposite was treated (Fig. 15). The plan was to treat this patient with simultaneous extraction, implantation and aesthetic restoration. Unfortunately, as sometimes happens and despite the precautions taken, a large part of the vestibular wall of the alveolus was extracted with the root, creating a significant bone defect. A full-thickness flap was elevated and the implant placed. The root was prepared and fixated with an osteosynthesis screw to replace the lost wall (Fig. 16). The space between the root and the implant was filled with a hydroxyapatite-based biomaterial (Fig. 17). This bone reconstruction was combined with a connective graft. The flap was stretched and sutured with a #5/0 resorbable braided thread (Fig. 18). An impression was taken and a temporary screw-retained prosthesis was made during the day by the laboratory and fitted the same evening. The sutures were removed on the tenth day. The temporary prosthesis was removed after two months to check that the implant had been successfully integrated into the bone. The osteosynthesis screw was visible under the gingiva and was removed after six months (Figs. 19 & 20). A CBCT assessment was performed at the same time. The radicular graft had ankylosed perfectly and the ridge regenerated ad integrum. The definitive prosthesis was fitted by our colleague (Fig. 21).

15: Radicular fracture at tooth #13 under a crown and with a fistula opposite.

15: Radicular fracture at tooth #13 under a crown and with a fistula opposite.

Fig. 16: Preparation of the root and fixation with an osteosynthesis screw to replace the lost wall.

Fig. 16: Preparation of the root and fixation with an osteosynthesis screw to replace the lost wall.

Fig. 17: The space between the root and the implant was filled with a hydroxyapatite-based biomaterial.

Fig. 17: The space between the root and the implant was filled with a hydroxyapatite-based biomaterial.

Fig. 18: A #5/0 resorbable braided thread was used for the sutures.

Fig. 18: A #5/0 resorbable braided thread was used for the sutures.

Fig. 19: The osteosynthesis screw was visible under the gingiva and was thus removed after six months.

Fig. 19: The osteosynthesis screw was visible under the gingiva and was thus removed after six months.

Fig. 20: The osteosynthesis screw was visible under the gingiva and was thus removed after six months.

Fig. 20: The osteosynthesis screw was visible under the gingiva and was thus removed after six months.

Fig. 21: Fitting of the definitive prosthesis.

Fig. 21: Fitting of the definitive prosthesis.

Discussion

Radicular grafts as graft materials have many of the same characteristics as autogenous bone, plus some of the advantages of biomaterials. Moreover, they are autogenous materials consisting of a mineral fraction, an organic fraction (the patient’s own proteins) and water, in proportions comparable to those found in alveolar bone.3 They are thus identified as part of the patient’s body and do not cause an inflammatory response as occurs with foreign bodies. They are highly compatible with the soft tissue that covers them if no sharp or cutting edges are left when the wound is closed. They allow for remarkably highquality, fast healing. They can be used in two different ways, either as a stand-alone block or as a biological membrane in combination with a biomaterial.3, 5, 6 Initially, there is ankylosis of the root on the ridge, then centrifugal resorption replaces this.3 The root is resorbed and replaced by bone, as expected under the principle of root resorption. What differs is that when the graft is fixated at a distance from the ridge we also observe the formation of new bone between the dentine and the graft. The material exhibits osteoconductive and osteoinductive properties.3, 5, 6 Thegrafts are easy to extract. There is no specific protocol or storage period: during the operation, before they are used, they can be left quite safely open to the air in the operating theatre with no consequences. These solid blocks are unaffected by muscle tension and are easy to shape with a bur or a disc. They make it possible to restore the horizontal shape of the ridge. They have a certain plasticity, which means that they can be flexed slightly to create curvature without breaking them.3, 5 Their slow resorption gives them great volumetric stability over time, so the volume of the graft extracted always regrows.5, 7 The major downside is their availability. Whether from roots extracted during a dental extraction or implantation, third molars or condemned teeth, this substance is only available in limited quantities.

In conclusion, as demonstrated in these three cases, this technique has enabled us to combine implant placement consistently and successfully with bone reconstruction and even to fit temporary prostheses on the same day. We have been able to achieve our surgical, mechanical and aesthetic objectives while minimising the trauma of surgery for our patients, since they only undergo one operation. Given the characteristics and the many advantages associated with these radicular grafts, this technique is now our treatment of choice when condemned roots are available. In this first article, we have chosen to present only simple cases to explain the technique. However, having now used it to treat several dozen patients, we have been able to broaden the scope of what we can accomplish with this technique. It has allowed us to treat complex aesthetic cases which would previously have been impossible to treat with surgery in a straightforward, predictable way. We intend expanding on this subject in a second article.

Editorial note:

This article was published in implants—international magazine of oral implantology, issue 1/2022. The list of references is available from the publisher.

To post a reply please login or register
advertisement
advertisement