A periodontist and ITI colleague whose office is two hours from our practices referred this patient to our team. Initially, she was seen by the prosthodontist, Dr Harry Randel, and subsequently referred to the periodontist, Dr Robert Levine, for a team approach to solve her failing dentition. The patient presented at our office as a 65-year-old non-smoking female (ASA 3: Illnesses under treatment: anxiety/ depression, osteoarthritis, fibromyalgia, hypothyroidism and history of myofacial pain dysfunction, Figs. 1–3). There was a history of TMJ issues (i.e. clicking and pain with her right side TM joint) which presently is under control and pain-free.
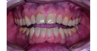
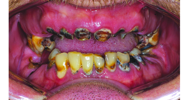
Her chief complaint was to improve her aesthetics and comfort with a desire for a permanent and quick solution to replace her failing dentition. She also desires a reduction of her maxillary anterior gummy smile in the final prosthesis. She arrived at our office for a third surgical consult for an immediate load maxillary and mandibular hybrid restoration using the Straumann Pro Arch treatment concept (tilting of the distal implants to avoid anatomic structures of the maxillary sinus, mandibular mental foramina). This treatment concept reduced the need for additional surgeries and number of implants needed to provide a fixed hybrid restoration with a first molar occlusion. A medium to high lip line was noted upon a wide smile with a bi-level plane of occlusion. Also noted was supraeruption of her maxillary and mandibular anterior teeth (FDI: #12, 11, 21, 22 and #41–43, US: #7–10 and #25–27) creating a deep bite of 6 mm (Fig. 2). A Class I canine relationship was recorded with 6 mm overjet and 6 mm overbite. Due to her medication-related dry mouth issue, generalized recurrent caries were noted. Periodontal probing depths ranged generally from 4–7 mm in the maxillary jaw and from 4 to 6 mm in the mandibular jaw with moderate to severe marginal gingival bleeding upon probing in both jaws. Tooth #6 (FDI: #13) was noted to have a vertical fracture clinically. There was generalised heavy fremitus in her maxillary teeth and mobilities ranging from 2–3 degrees on the following teeth: #3, 7 thru 13, 20–26 and 29 (FDI: #16, 12, 11, 21–25, 31–35, 41–42 and 45). Her compliance profile was good with her previous dentists, however, she states that she has always had “issues with my gums.”
The tentative treatment plan discussed at the initial visit with the patient and her husband included the following diagnosis: generalised moderate to advanced periodontitis; generalised recurrent caries related to medication-related dry mouth; posterior bite collapse with loss of occlusal vertical dimension (“mutilated dentition”). Prognosis: all remaining teeth are hopeless.
embedImagecenter("Imagecenter_1_2685",2685, "large");
Treatment plan
- Obtain a CBCT of both arches to evaluate bone quality, bone quantity, and anatomical limitations (Fig. 4).
- Articulate study models with fabrication of diagnostic full upper denture (FUD), full lower denture (FLD) and surgical guide templates.
- Team discussions to develop the final surgical and prosthetic treatment plan for hybrid restorations using the Straumann Bone Level Tapered Implant (BLT) with a first molar occlusion. Utilisation of an indirect technique will be used to fabricate the converted fixed laboratory metal-reinforced provisionals in one day.
- Coordination of the surgical visit (Dr Robert Levine) with the prosthodontist’s office (Dr Harry Randel), dental laboratory (NewTech Dental Laboratory, Lansdale, PA), and the dental implant company representative (Straumann USA, Andover, MA). The patient is aware of the possible need to wear one or both dentures during the healing phase if the insertion torque values are inadequate for immediate loading. This may be due to bone quality, bone quantity, or need for ex tensive bone grafting requiring a membrane technique for guided bone regeneration (GBR) and a two-stage approach. This is very important to review with all patients, especially when only four implants are planned in the maxilla, as the distal implant(s) may record poor insertion torque values due to bone quality and quantity. The ability to use longer, tapered (BLTs), and tilted implants—as in the present case—with adequate buccal bone available for the anticipated 4.1 mm implants help to reduce this possibility significantly.
- Delivery of the fixed provisionals in one day in the prosthodontist’s office.
- Post-operative visits every two to three weeks with the periodontist’s office for deplaquing, review of plaque control techniques and delivery of a water irrigation device at six weeks. An occlusal adjustment to be completed at each post-operative visit with the surgical and restorative offices, because the occlusion is very dynamic as the patient’s musculature continues to accept her newly restored occlusal vertical dimension (OVD). Time is also needed to stabilise her TMJ symptoms.
- Completion of final case at least three months post-surgery. Since the patient will be spending the winter in Florida, she will commence her final treatment when she returns in the spring.
- Periodontal maintenance every three months alternating between offices.
Based on CBCT analysis it was decided to place five implants in the upper jaw at the following sites: #4 (FDI: #15) (tilted), #7 (FDI: #12), between #8 & #9 (FDI: #11 & #21) (midline), #10 and #12 (FDI: #22 and #24) (tilted) after vertical bone reduction for prosthetic room. Four implants were anticipated to be placed in the lower jaw at sites #21 (FDI: #34) (tilted), #23 (FDI: #32), #26 (FDI: #42), & #28 (FDI: #44) (tilted). The anticipated position of each implant is ideally palatal in the maxilla to the original teeth and lingual to the original mandibular teeth. This is to allow for screw-access holes exiting away from the incisal edges anteriorly, and if possible, lingually to the central fossae in the posterior sextants. An additional benefit of palatal and lingual placement of each implant is that their final position will be at least 2–3 mm from the anticipated buccal plates, which is beneficial for long-term bone maintenance and implant survival. If the necessary 2 mm buccal bone to the final implant position is not available, then contour augmentation (bone grafting) is recommended to create that dimension. The goal is to prevent buccal wall resorption over time using slowly resorbing inorganic bovine bone and a resorbable collagen membrane. This membrane allows easy contouring and flexibility over the graft material when wet. It is also important to evaluate tissue thickness. It is ideal to have at least 2 mm of buccal flap thickness over each implant as thin tissues are associated with bone loss and recession over time. Either connective tissue grafts from the palatal flap or tuberosity can be harvested and sutured under the buccal flap. Alternatively, an allograft connective tissue or a thick collagen material can be used to thicken the buccal flaps when necessary.
Surgical appointment
The patient was pre-medicated with oral sedation (triazolam 0.25 mg), amoxicillin, a steroid dose pack and chlorhexidine gluconate (CHG) rinse, all starting one hour prior to surgery. The patient’s chin and nose were marked with indelible marker, and the OVD was measured using a sterile tongue depressor with similar markings while the patient’s mouth remained closed. The patient was then given full-mouth local anaesthesia.
Starting with the maxillary arch, full-thickness flaps were raised and sutured to the buccal mucosa with 4-0 silk to provide improved surgical access and vision. The teeth were removed with the goal of buccal plate preservation using the PIEZOSURGERY (Mectron: Columbus, OH) for bone preservation (tips EX 1, EX 2, Micro saw: OT7S-3). The sockets were degranulated with PIEZOSURGERY (tip: OT4) and irrigated thoroughly with sterile water.
With the anatomically correct surgical guide in position and firmly held in place by the surgical assistant, measurements were made from the midbuccal of each tooth. Surgical cuts were made going from the anticipated cantilever of site #3 (FDI: #16) to site #14 (FDI: #26) using the PIEZOSURGERY saw (tip: OT7). Our team goal was to create the prosthetic room necessary for a hybrid restoration i.e. 10–12 mm. The cuts were intentionally extended beyond the anticipated cantilever length to create adequate strength and thickness of the final prosthesis in these unsupported cantilever areas (Figs. 5–6). The mandibular arch was treated in a similar manner. Additionally, bilateral mandibular tori reduction was accomplished with the aid of the PIEZOSURGERY saw (tip: OT7) after the extractions and prior to the vertical bone reduction of the mandibular ridge. Subsequently, the implants were placed.
The implant sites were prepared per the manufacturer’s protocol (except for bone tapping) for the Straumann BLT implant. The implants were placed using the surgical guide template with the following insertion torques measured: site: FDI: #15, #12, #11, #21, #23, #25, #34, #32,#42/US: #4, #7, #8-9, #11, #13, #21, #23, #26. All torques were >35 Ncm with #28 (FDI: #44) recording 20 Ncm insertion torque values. All implants were 4.1 mm in diameter and 14 mm in length except FDI: #12, #11, #21, and #23/US: #7, #8–9, and #11, which were 12 mm in length (Fig. 7). All 17 and 30 degree angled implants were bone profiled prior to SRA abutment placement. This allowed the complete seating of the SRA abutment at the recommended 35 Ncm torque. Using the available Straumann bone profilers with the appropriate Narrow Connection (NC) or Regular Connection (RC) inserts was a critical step for an abutment to fit correctly. The following SRA abutments (all were 2.5 mm gingival heights) were then chosen: straight: FDI: #32, #42/US: #23, #26; 17 degrees: FDI: #15, #12, #11, #21/US: #4, #7, #8–9; and 30 degrees: FDI: #23, #25, #34, and #44/US: #11, #13, #21, and #28. Tall protective healing caps were then placed (Fig. 8), and the dentures were checked to evaluate that there was adequate space for the pink acrylic to allow for bite registration material thickness. All sockets and buccal gaps to the immediately placed implants were bone grafted. Prior to suturing, the tissue flaps were scalloped with 15c blades to reduce overlap of the flaps over the protective caps. This not only aided in post-operative healing, but also aided in the visualisation of the abutments by the restorative dentist for the provisional insertion. The patient was sutured with resorbable 4-0 chromic gut and 5-0 Vicryl sutures (Ethicon: Johnson & Johnson) and was released to be seen immediately by Dr Randel for the coordinated restorative visit.
As discussed below, his responsibilities included: bite registration, impressions, and the dental lab conversion of the complete denture to a metalreinforced fixed transitional prosthesis (indirect provisionalisation technique). Our team of restorative dentists have been treating full-arch immediately loaded cases on 5–8 implants (depending if restoration is a hybrid or C&B) since 1994. Our earlier experiences, for approximately the first two years (1994–1996), have resulted in us all presently using the indirect technique, which in our hands is easier for everyone involved (especially the patient). We handle these coordinated visits between offices, the dental lab, and our Straumann representative weeks in advance so we are all on the same page with timing. These coordinated efforts could be compared to a symphony orchestra, where each musician knows their specific part and when and where they are expected to be. Many of our patients have described this fluidity as a seamless experience that they witness first hand and greatly appreciate.
Same-day restorative appointment
The patient was seen in Dr Robert Levine’s office for restorative records with Dr Randel (prosthodontist) in preparation for immediate load protocol. The previously processed dentures were first checked with pressure paste to ensure the absence of contact between the intaglio surface and the tall healing caps. Bite registration material was then used to confirm there was no contact (Fig. 9), and later will be used by the lab to articulate the models. Efforts were made to confirm the OVD (with the marked tongue depressor provided by Dr Levine), incisal position, midline, plane of occlusion, and centric position with the prosthesis in place. Adjustments were made as needed. Photographs were acquired to document and relay information via e-mail to the lab technician. The lab will use the registration material left in the intaglio surface of the prostheses, as healing caps will be placed on the newly fabricated models. This allows the index to transfer the OVD and centric relationships with contact just on the healing caps. The soft tissue plays no role in this relationship. A bite registration was made to confirm centric relation. Healing caps were then removed and open tray impression copings were placed. If the connection between the implant abutments and the impression copings are not visualised, then X-ray confirmation of the connection is needed. Transfer impressions were made using a custom tray and rigid impression material of choice, in this case polyether was used.
Our lab courier delivered the dentures and impressions to the lab for the conversion to metalreinforced, screw-retained provisionals, which were delivered back to the restorative office within 24 hours. The next afternoon, the prostheses were inserted (Fig. 10) and panoramic radiographic confirmation of proper seating was obtained (Fig. 11). Any necessary occlusal adjustments were then completed. The patient was then seen every two to three weeks for deplaquing and plaque control review per our earlier discussed protocol. The occlusion was also refined as needed. The patient’s TMJ symptoms were significantly reduced within the first three weeks. A water irrigation device was given and reviewed at six weeks post-surgery. As the patient was in Florida for the winter, and unable to come in after the typical three-month protocol, she was seen 4 1/2 months after the surgery. At that time, periapical X-rays of each implant were done to confirm bone healing. The prostheses were removed and cleaned. GC verification jigs (Fig. 12), made on the original models and fabricated prior to the appointment, were tried in. If passivity is not confirmed, then the GC jig can be cut and re-indexed.
Once the fit of the verification jigs was confirmed, custom trays were used to transfer the relationships (Fig. 13). During the following appointments, OVD and centric relations were obtained, and the waxtry-ins were confirmed for aesthetics, phonetics, and occlusion prior to the milling of the framework (Fig. 14). It is important to confirm tooth location prior to milling the framework so that the framework was designed within the parameters of the acrylic/tooth borders. At the insertion appointment, the healing caps were removed and cleaned with chlorhexidine. Figure 15 demonstrates the excellent healing of the soft tissue prior to insertion of the prosthesis. Once inserted, aesthetics, phonetics, and OVD of the prosthesis were confirmed. The occlusion was adjusted as needed. Screws were tightened to 15 Ncm, screw access openings were filled with Teflon tape to within 2 mm of the surface, and a soft material such as Telio or Fermit was used to seal the access. A maxillary acrylic nightguard was fabricated to help protect the occlusal surfaces from wear and reduce any parafunctional habits. The completed case is shown (Figs. 15–18). At subsequent appointments, the prostheses were evaluated to determine if they needed to be removed to assess the soft tissue or if any contouring of the acrylic was necessary. Eventually, the soft material used to close the access can be replaced with a hard composite material.
Conclusion
A Complex-SAC Straumann Pro Arch Case was presented. Management of this treatment utilised the advantages of the team approach for maximising our combined knowledge to benefit the patient, consistent with ITI doctrine. The use of the BLT implants, due to excellent initial stability, gave us the confidence in our ability to not only use immediate extraction sites (Type 1 implant placement), but also to increase avoidance of anatomic structures. In this case, the structures include the maxillary sinuses, nasopalatine and mental foramina, as well as the inferior alveolar nerve canals. In addition, with the tapered design of the BLT implant, maxillary anterior areas could be utilised by the surgeon to avoid apical fenestrations where undercuts could become problematic using straight-walled bone level implants. The coordinated appointments, along with the symphony-like steps in the procedure, created a positive, “seamless” experience for the patient.
This article was published in CAD/CAM international magazine of digital dentistry No. 04/2016.
Now more than ever, it behoves dentists and laboratories to work together as part of an interdisciplinary and collaborative team to coordinate treatment, ...
When oral health is neglected for extensive periods of time, dental conditions like tooth decay and periodontal disease can advance to a point that, prior ...
A new case series has documented the testing and use of 3D-printed shell complete dentures as a diagnostic tool in implant planning and provisional ...
With greater public awareness about cosmetic dental reconstructions, dentists are often challenged with greater demands from the patient. This increased ...
When a patient presents to your dental practice with questionable and/or non-restorable teeth requiring full-mouth extractions, the greatest concern is ...
When Dr Edward Angle first classified malocclusions for orthodontic treatment, he created the categories of Class I, II and III, the principal categories by...
Successful full mouth fixed rehabilitation of a mutilated dentition is always a prosthodontic and surgical challenge. Accurate diagnosis, proper treatment ...
Patients facing the loss of their natural dentition have more treatment options than ever before. The traditional complete denture, once the standard of ...
Patients facing the loss of their natural dentition have more treatment options than ever before. The traditional complete denture, once the standard of ...
Direct composites in posterior teeth are a part of the standard therapy spectrum in modern dentistry. The excellent performance of this form of restoration ...
Live webinar
Tue. 19 May 2026
11:00 am EST (New York)
Live webinar
Tue. 19 May 2026
1:00 pm EST (New York)
Prof. Dr. med. dent. Ivo Krejci
Live webinar
Wed. 20 May 2026
7:00 am EST (New York)
Dr. Graham Carmichael BDSc (Hons), DClinDent (Pros), FRACDS, Dr. Robert Gottlander DDS
Live webinar
Wed. 20 May 2026
9:00 am EST (New York)
Live webinar
Wed. 20 May 2026
11:00 am EST (New York)
Live webinar
Wed. 20 May 2026
1:00 pm EST (New York)
Prof. Dr. med. dent. Tim Joda PhD, MSc, eMBA
Live webinar
Thu. 21 May 2026
12:00 pm EST (New York)
Dr. Leonardo Muniz DDS, MSC
To post a reply please login or register