When oral health is neglected for extensive periods of time, dental conditions like tooth decay and periodontal disease can advance to a point that, prior to the advent of implant therapy, was considered hopeless. If a patient presented with extensive caries and a non-restorable set of dentition, practitioners had no choice but to extract the teeth and provide the patient with a complete denture. Although beneficial to patients as a fundamental replacement of their teeth, many patients have found the fit, comfort and retention of such appliances to be problematic.[1] Without any anchorage to hold it in place, the traditional denture has a tendency to move around in the patient’s mouth, compromising speech and chewing capabilities.
This problem is exacerbated by the recession of the edentulous arch that occurs following tooth loss or extraction. After decades of advancements in implant design, restorative materials, and digital dentistry, we can today provide patients with a higher level of care. Root-form dental implants can be placed predictably to hold a full-arch prosthesis in place, providing greatly improved comfort, function, and quality of life compared to traditional complete dentures.[2,3] Further, osseointegrated implants serve to mitigate bone resorption.[4] This means that in addition to providing the aesthetics of natural dentition, implant-supported restorations also help to preserve the edentulous ridge and the essential support it provides for the mouth and face. The positive impact this can have on personal confidence, emotional health, and social interactions is substantial.[5]
embedImagecenter("Imagecenter_1_2452",2452, "large");
Thus, patients who present with the most acute dental conditions can now be brought back from the brink and become fully restored via implant therapy. If the patient’s teeth have deteriorated to the point where they can no longer be saved, they can be extracted, implants are placed, and a full-arch restoration is delivered that closely emulates the form and function of natural dentition. This alternative should be presented to all patients for whom implant therapy is indicated, as individuals who at first may not appear to have the means for high-quality treatment may in fact have the wherewithal after being apprised of their options. Additionally, all patients should be made fully aware of the long-term costs and benefits of traditional complete dentures vs. implant-supported restorations before making a decision with such lifechanging potential. The presentation that follows documents a case in which a patient with severely decayed dentition undergoes a complete oral reconstruction. A treatment plan is developed that harnesses the classic principles of implant placement, the versatility of modern restorative materials, and the precision of digital diagnostics and CAD/CAM fabrication to achieve a predictable, aesthetic restoration for a case that would seem hopeless to many. The case illustrates how implant therapy can afford patients even in the most extreme of dental circumstances an excellent long-term prognosis, restoring not just the teeth, but also the bone, soft tissue, self-esteem, and quality of life.
Case Report
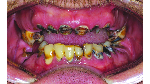
A 36-year-old male patient presented for treatment with advanced, extensive caries and localized periodontal disease (Figs. 1a–c). In addition to not having seen a dentist in more than 20 years, the patient was recovering from an addiction to methamphetamine, which had caused excessive clenching and grinding that had substantially worn down the patient’s teeth. The many years of dental neglect combined with these parafunctional habits to render the patient’s severely decayed dentition untreatable (Fig. 2). Further, the deterioration of the patient’s teeth was accompanied by significant soft-tissue recession and bone resorption.
Although the patient had been quite apprehensive about seeking treatment, pain and discomfort eventually compelled him to take action. The patient had sought treatment from a practice where he could receive all of the necessary treatment from a single provider in the fewest appointments possible. After locating my practice, the patient found the courage to present for evaluation. It was apparent from the initial visit that he was ashamed of his condition.
The goal was to offer him the best treatment available in order to restore the patient’s smile, form and function. Without presuming the appropriate standard of care for the patient based on his condition, it was explained to the patient that his natural teeth could not be saved and a full range of treatment alternatives was presented, from complete dentures to fixed full-arch implant restorations. Before-and-after photos of similar cases were shown to the patient to assist his evaluation of the restorative options. The patient chose full-mouth reconstruction consisting of fixed prostheses delivered over dental implants. A treatment plan was developed that included extraction of the patient’s non-restorable dentition, the placement of eight implants in each arch, delivery of Inclusive Titanium Custom Abutments and BioTemps restorations (Glidewell Europe GmbH; Frankfurt/Main, Germany), and final restoration with fixed PFM prostheses. The latest tools in digital dentistry would be utilised to maximize the precision of both implant placement and prosthetic fabrication.
Because of the patient’s relatively youthful age and his continued bruxing habit, eight implants were proposed for each arch in order to maximise the distribution of occlusal load, the preservation of his ridges, and the long-term prognosis of the restoration. The resorbed state of the patient’s maxillary and mandibular ridges necessitated a grafting procedure to create the foundation needed for implant placement. Custom abutments would be used to position the prostheses for optimal aesthetics. Although BruxZir Solid Zirconia Full-Arch Implant Prostheses (Glidewell Europe GmbH; Frankfurt/Main, Germany) would have been the ideal restorations given the need for long-term durability in this case, the product was not yet available at the time of treatment. Thus, PFM prostheses were chosen in order to avoid acrylic and its susceptibility to staining, wear and fracture. The proposed PFM restorations included layered pink porcelain to recreate the patient’s natural gingival contours. All aspects of treatment were explained to and accepted by the patient. The first phase of treatment began by atraumatically extracting the patient’s entire dentition using Physics Forceps (Golden Dental Solutions Inc.; Detroit, USA), which allowed for removal of the teeth without causing any damage to the surrounding bone. The extraction sockets were filled with grafting material in order to preserve the sockets and rebuild the maxillary and mandibular ridges for ideal implant placement. The patient was provided with immediate dentures, which were prefabricated based on impressions that were taken at a previous appointment (Fig. 3).
After approximately five months of healing, the patient was called in so cone-beam computed tomography (CBCT) scanning could be performed. The soft tissue of the patient’s now-edentulous arches exhibited excellent health (Figs. 4a & b). CBCT scanning confirmed that the grafting procedure was successful in increasing the bone volume available to accommodatethe planned implants. The CBCT scanning data was used to devise a virtual treatment plan that would place the eight implants for each edentulous ridge in the maximum amount of bone while adhering to the key implant positions as taught by Dr Carl Misch.[6] Surgical guides were fabricated to ensure placement of the implants in the precise positions called for by the treatment plan (Figs. 5a & b).
At the next appointment, the tissue-supported surgical guides were tried in and found to be well-fitting. The fixation pins of each surgical guide were tightened with a surgical index in place to ensure complete, secure seating of the appliances (Fig. 6). A tissue punch was used to provide access to the implant sites, facilitating a flapless surgical procedure that would minimize gingival trauma. The osteotomies were created through metal inserts placed in the surgical guides, which precisely controlled drilling depth and orientation according to the digital treatment plan (Fig. 7).
Eight BioHorizons Laser-Lok dental implants (BioHorizons; Birmingham, USA) were placed in each ridge, including 5.7 mm implants in the two distalmost locations of each arch, and 4.5 mm implants in the remaining sites. After placing healing abutments in the implants, a soft reline was performed on the patient’s temporary dentures so they could continue to serve as interim prostheses for the duration of healing and osseointegration. Four months after surgery, the patient returned to the office so impressions could be taken. Removal of the healing abutments revealed optimal tissue health surrounding the implant sites (Figs. 8a & b). Transfer posts were seated to capture the position of the implants (Fig. 9). Closed-tray impressions were taken of the upper and lower arches using Take 1 Advanced vinyl polysiloxane material (Kerr Corp.; Orange, USA, Figs. 10a & b). At the same appointment, thermoformed suck-down impressions were made and a bite registration taken with the patient’s immediate dentures in place, providing the lab with a template for the definitive design of the PFM restorations (Fig. 11).
The lab poured working casts from the VPS impressions of the patient’s edentulous arches and produced wax occlusal rims (Fig. 12). After seating the wax rims in the patient’s mouth and tightening the temporary cylinder screws, the jaw relationship records were taken (Fig. 13). Note that the patient’s vertical dimension had virtually collapsed due to the extensive wear to his teeth. After measuring the distance between the patient’s nose and chin during maximum intercus pation, the lab was instructed to open the patient’s bite by 2 mm. Next, the lab used CAD software to design Inclusive Titanium Custom Abutments (Glidewell Europe GmbH; Frankfurt/Main, Germany) for both arches based on the scanned working models. The CAD/CAM-produced custom abutments were seated on the working models so their fit could be verified and they could be used in the development of the definitive prostheses (Figs. 14a & b). Based on the jaw relationship records and the impressions of the patient’s immediate dentures, the lab prepared a diagnostic wax-up to help determine the initial design for the PFM restorations (Fig. 15). After finalising the initial design, BioTemps prostheses were fabricated from polymethyl methacrylate (PMMA) material, which is versatile enough to easily accommodate adjustments at the try-in appointment, yet durable enough for provisionalisation (Fig. 16). The working models were sent out along with the custom abutments and BioTemps interim restorations for patient evaluation. At the next appointment, the titanium custom abutments were transferred to the patient’s mouth using the acrylic delivery jigs provided by the lab (Fig. 17). The custom abutments achieved a precise fit and were thus tightened to the appropriate torque, establishing ideal soft-tissue margins and support. Complete seating was verified radiographically, and the screw access holes were covered.
Next, the BioTemps prostheses were tried in and exhibited an accurate fit (Figs. 18a & b). The provisional restorations were attached to the abutments using temporary cement, and the phonetics, aesthetics, bite and function were evaluated (Fig. 19). Minor modifications were made to the BioTemps prostheses, and the patient wore the BioTemps provisionals for an interim of four weeks. This trial period was essential in verifying that the patient was happy with the look, comfort and function of the prosthetic designs before the final PFM restorations were fabricated. After patient approval was provided, alginate impressions were made of the BioTemps prostheses. Models of the final-approved BioTemps restorations were fabricated from the impressions, and a new bite was taken so the definitive prosthetic designs could be adjusted accordingly. Crown and bridge impressions were taken of the final custom abutments in place and would be used by the lab to pour master models, upon which the final PFM prostheses would be produced. The gingival areas for the final PFMs were marked onto the models of the BioTemps restorations, and the case was returned to the lab along with instructions for final adjustments.
The final PFM prostheses were fabricated by layering porcelain over a cast metal framework. Pink porcelain was layered on to form the gingival areas according to the markings indicated on the models of the BioTemps restorations, thus replacing portions of the soft tissue as well as the teeth per Dr Misch’s FP3 (Fixed-Prosthesis-3) principles of prosthetic design.6 Because the final prostheses were designed using the models fabricated from the final crown and bridge impressions, a precise fit over the patient’s custom abutments was ensured (Fig. 20).
At the final delivery appointment, the PFM restorations were delivered over the custom abutments without issue. A panoramic radiograph was taken to confirm complete seating (Fig. 21). The final prostheses achieved the exact fit, aesthetics and function that the patient had come to expect after six weeks of wearing the BioTemps provisionals, which ultimately served as the bases for the final restorations (Figs. 22a–c). The patient was ecstatic with the results, which re - constructed his teeth and gingiva, along with his confidence and quality of life. A nightguard was produced for the patient to mitigate the impact of his parafunctional habits (Fig. 23).
Conclusion
The predictability of implant treatment and the adaptability of restorative materials enable clinicians to provide patients in the most dire of dental circumstances a complete overhaul, reversing the damage that can result from many years of dental wear and neglect. This goes beyond the restoration of oral function by preserving the facial aesthetics that are so fundamental to the emotional state and social life of the patient. Provided its life-changing capacity, the fixed full-arch implant restoration should be offered to all patients who present with untreatable dentition, without prejudging a patient’s situation and the form of treatment that they will ultimately accept. As the precision, cost-effectiveness and prosthetic versatility of implant therapy expands ever further, so does the patient population that is able to receive high-quality treatment.
Editorial note: Reprinted by permission of Glidewell Laboratories. The dental lab work in this case was performed by Glidewell Laboratories. A complete list of references is available from the publisher.This article was published in CAD/CAM international magazine of digital dentistry No. 01/2016.
A new case series has documented the testing and use of 3D-printed shell complete dentures as a diagnostic tool in implant planning and provisional ...
A periodontist and ITI colleague whose office is two hours from our practices referred this patient to our team. Initially, she was seen by the ...
Cervical dentin hypersensitivity is a common phenomenon and affects an increasing number of young adults. Today, more than 30% of the adult population in ...
LIVERPOOL/PLYMOUTH, UK: The connection between oral health and chronic disease has been increasingly supported by substantial evidence, revealing shared ...
COPENHAGEN, Denmark: Known for its commitment to providing cutting-edge and market-leading dental solutions, 3Shape also prides itself on guiding and ...
VIENNA, Austria: Many patients with disabilities are treated under general anaesthesia to manage anxiety or behavioural challenges. However, this approach ...
The aim of the present pilot case series study was to present a new technique for managing the periimplant soft tissue before implant placement, the ...
In traditional practice, occlusal splint fabrication was generally delegated to the dental laboratory. Common fabrication methods are printing and milling. ...
A high clinical evidence of grafting procedures from extraoral autologeous donor sites like i.e. from the iliac crest in difficult bone loss ...
Dr Robbie Hughes is a leading figure in digital dentistry, and his clinical expertise is supported by extensive postgraduate training in implantology, ...
Live webinar
Tue. 19 May 2026
11:00 am EST (New York)
Live webinar
Tue. 19 May 2026
1:00 pm EST (New York)
Prof. Dr. med. dent. Ivo Krejci
Live webinar
Wed. 20 May 2026
7:00 am EST (New York)
Dr. Graham Carmichael BDSc (Hons), DClinDent (Pros), FRACDS, Dr. Robert Gottlander DDS
Live webinar
Wed. 20 May 2026
9:00 am EST (New York)
Live webinar
Wed. 20 May 2026
11:00 am EST (New York)
Live webinar
Wed. 20 May 2026
1:00 pm EST (New York)
Prof. Dr. med. dent. Tim Joda PhD, MSc, eMBA
Live webinar
Thu. 21 May 2026
12:00 pm EST (New York)
Dr. Leonardo Muniz DDS, MSC
To post a reply please login or register