When a patient presents to your dental practice with questionable and/or non-restorable teeth requiring full-mouth extractions, the greatest concern is whether implants can be placed at the same surgical visit, and, if so, whether the patient will be able to walk out with fixed teeth. Having an implant system in your practice that allows you to load or progressively load, so that these patient demands are met, allows you to position your practice at a whole new level. Of course, certain parameters must be met in order to facilitate this type of treatment. This includes the quality and quantity of bone, the presence of infection, the patient’s health and the skills of the dental provider. Additionally, the selection of the most appropriate materials for the most ideal situation must be met.
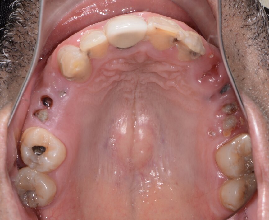
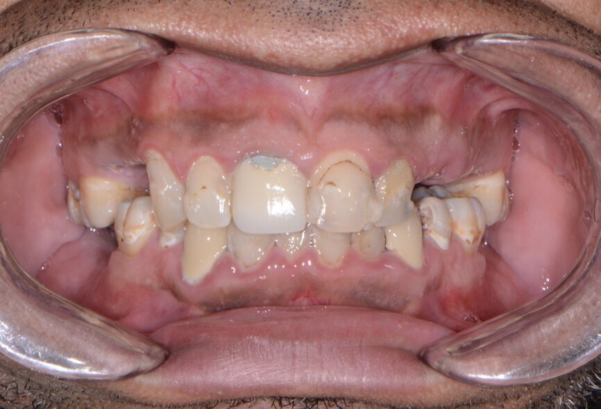
A patient presented to my practice for a consultation wanting to restore his dentition to proper form and function (Fig. 1). He complained of generalised discomfort due to the gross caries and periodontal disease that was readily apparent (Figs. 2 & 3). There were several teeth in both arches that had so much extensive decay that only the root tips were apparent upon clinical examination. Also, there was hyper-eruption in certain areas of his posterior dentition, as well as a deep impinging bite in the anterior.
Fig. 1: Pre-op retracted frontal view.
Fig. 2: Pre-op maxillary occlusal view.
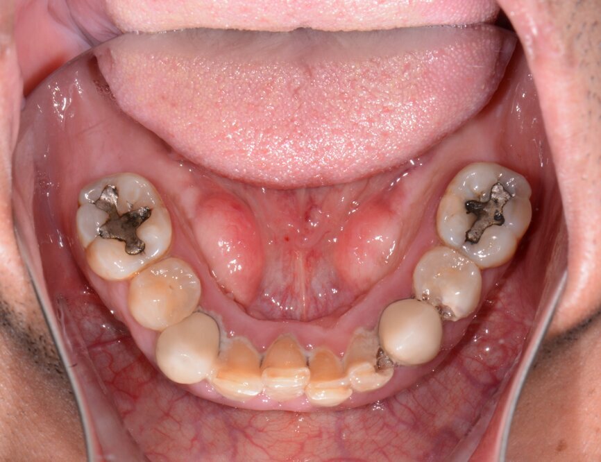
Fig. 3: Pre-op mandibular occlusal view.
Fig. 5: Pre-op panoramic view.
Fig. 6: Proposed treatment in CS 3D Imaging Software.
Fig. 7: Maxillary impression (Kettenbach).
Fig. 8: Mandibular impression (Kettenbach).
Fig. 9: 3DDX virtual treatment plan for the maxilla and mandible.
Fig. 10: Maxillary bone levelling guide.
Fig. 11: Maxillary implant surgical guide.
Fig. 12: Engage dental implant.
Fig. 13: Implants with corresponding multi-unit abutments.
Fig. 14: PMMA maxillary and mandibular restorations.
Fig. 15: Insertion of provisional restoration.
Fig. 16: Mandibular bone levelling guide.
Fig. 17: Mandibular implant surgical
guide.
Fig. 18: Implants with corresponding multi-unit abutments.
19: Maxillary and mandibular fixed provisional restorations.
Fig. 20: Post-op panoramic view.
Planning
The clinical evaluation included information regarding lip length and support, existing position of the natural teeth, occlusion, restorative space, and phonetics. In addition, digital images of frontal, side and occlusal views of the dentition, as well as facial shots, were captured with a Nikon D7200 (PhotoMed).
A CBCT scan and panoramic radiograph using the CS 8100 3D (Carestream Dental; Figs. 4 & 5) was taken to accurately capture the information needed to properly plan treatment for this case to ensure the most ideal outcome, especially since the patient had discussed his frustration with previous treatment that did not last very long or address his primary needs or requests. Using CS 3D Imaging Software (Carestream Dental), dental implants were virtually planned in key positions in both arches (Fig. 6).
To further develop a treatment plan, diagnostic model impressions were taken using Panasil (Kettenbach) Heavy Body and Light Body polyvinylsiloxane impression material (Figs. 7 & 8), poured up and forwarded to the dental laboratory. These models were then mounted on an articulator (Stratos 100, Ivoclar Vivadent) for further analysis in order to meet the patient’s aesthetic and functional needs.
Financing options using a third-party payment option (Lending Club) were discussed with the patient. This discussion was a very important part of facilitating acceptance of his care, since it made the cost of treatment more feasible.
A 3D virtual treatment plan was further developed from our planning with CS 3D Imaging Software, integrating it with the photographs and models with the assistance of 3D Diagnostix (3DDX; Fig. 9). A virtual online integrative meeting with 3DDX allowed for a comprehensive review of the assembled digital and clinical information to formulate an optimal treatment plan that would fulfil the necessary requirements for aesthetics, form and function.
The implants that would be utilised for this case were OCO Biomedical’s Engage dental implants. These implants are known for their unchallenged high implant stability at placement, which is a critical success factor in these immediate loading cases. With the combination of its patented Bull Nose Auger tip and mini Cortic-O Thread, the Engage implant system offers practitioners a bone-level implant with high initial stability for selective loading options.
The Engage implant is self-tapping for an enhanced mechanical lock in the bone. The Bull Nose Auger tip will not proceed any deeper than the initial pilot drill preparation, locking into the base of the osteotomy. Engage implants have a proprietary surface treatment designed to increase the surface area of the implant for optimal bone ingrowth and stability.
Once the virtual plan had been orchestrated and fully confirmed, the next appointment would be the planned surgery. The patient was appropriately sedated with intravenous medications, and local anaesthesia was administered in both arches. The maxillary teeth were atraumatically extracted utilising the Physics Forceps (GoldenDent). The tissue was then reflected using the Reflector instrument (GoldenDent) so that the bone levelling surgical guide (3DDX) would be fully seated and fixed with its respective retention pins (Fig. 10).
Once the appropriate bone levelling had been accomplished with the surgical handpiece, the universal implant surgical guide was positioned into the bone levelling guide and the sites for the implants were initiated with a designated 1.8 mm pilot drill in its appropriate key from the OCO Biomedical Guided Surgical System Kit (Fig. 11), utilising the Mont Blanc surgical handpiece (Anthogyr) and AEU 7000 surgical motor (Aseptico) at a speed of 1,200 rpm with copious amounts of sterile saline. Sequential osteotomy formers and keys from the OCO Biomedical Guided Kit were then used to shape the final osteotomies. Once the osteotomies were complete, a rotary implant driver was used to place the dental implants until increased torque was necessary (Fig. 12). The ratchet wrench was then connected to the adapter and the implants torqued to final depths, reaching a torque level of about 40–50 Ncm.
A baseline Implant Stability Quotient reading was taken of these implants utilising the Penguin RFA unit (Aseptico). Since the initial readings were all above 70 and the quality of bone after levelling was good, multi-unit abutments (OCO Biomedical) were tightened into the Engage dental implants at 25 Ncm, followed by temporary cylinders at 15 Ncm. Any residual areas around the implants or in the sockets were grafted with a cortical mineralised and demineralised bone grafting material to optimise the area for regeneration (Fig. 13).
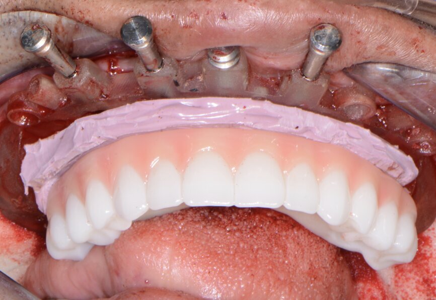
The prefabricated immediate provisional arch restorations (3DDX) with pre-drilled access openings were inspected before being tried in (Fig. 14). The maxillary provisional restoration was tried in to verify a passive fit over the temporary abutments. Once confirmed, a polyvinylsiloxane gasket was placed to avoid the restoration (Fig. 15) locking on during the relining procedure with Rebase II Fast hard reline material (Tokuyama Dental). After the material had polymerised, the immediate provisional restoration was removed and any access material removed with the Torque Plus (Aseptico) laboratory handpiece and an acrylic bur (Komet Dental).
The same procedures were accomplished in the lower arch (Figs. 16–18); however, while the provisional restoration was being trimmed and polished, the mandibular tori were surgically removed before suturing the soft tissue.
Once trimmed and polished, the provisional arch restoration was seated and tightened with a torque wrench at 15 Ncm. The access openings were filled three-quarters of the way with PTFE tape, followed by Cavit (3M) filling material.
Seven days postoperatively, the patient returned with very little discomfort, swelling and bruising. He was very pleased with his new maxillary and mandibular fixed provisional restorations (Figs. 19 & 20). With the patient no longer anaesthetised, the occlusion was checked again to confirm there were no interferences in lateral and protrusive movements. The next step in his treatment would consist of full-arch impressions for the definitive restorations approximately four to five months postoperatively.
Conclusion
Having the ability to take a patient from start to finish in fewer appointments in your practice allows you to position yourself as a provider that can fulfil your patient’s surgical and restorative needs. With the proper training and appropriate materials, a dental provider may provide extraction, grafting and implant placement within one appointment at one location. Not only does this allow you to reduce the number of visits for the patient, but this type of service also helps maintain the cost to the patient, since he or she is not seeing multiple dental providers. Most importantly, this enables the dental provider full control of the surgical and prosthetic outcome. Depending on the patient’s desires, the clinical conditions of the oral environment and the skills of the provider, a dentist may choose to extract teeth, level bone and graft with guided dental implant placement within his or her dental practice.
Editorial note: This article was published in CAD/CAM - international magazine of digital dentistry No. 02/2019.
A 62-year-old male patient was referred to my practice for implant planning and treatment in the maxillary anterior region. The teeth in the maxillary ...
When a patient presents to your dental practice with questionable and/or non-restorable teeth requiring full-mouth extractions, the greatest concern is ...
With greater public awareness about cosmetic dental reconstructions, dentists are often challenged with greater demands from the patient. This increased ...
Patients facing the loss of their natural dentition have more treatment options than ever before. The traditional complete denture, once the standard of ...
Patients facing the loss of their natural dentition have more treatment options than ever before. The traditional complete denture, once the standard of ...
A 52-year-old female patient was concerned about the appearance of her smile. Her upper right first molar and second premolar had been missing for several ...
The objective of this review was to evaluate the scientific evidence on accuracy, as well as esthetic and clinical outcomes of single-tooth implants placed ...
Now more than ever, it behoves dentists and laboratories to work together as part of an interdisciplinary and collaborative team to coordinate treatment, ...
In cases of severe posterior bone atrophy, Straumann Pro Arch is a solution that helps achieve fixed restoration for the patient. Straumann Guided Surgery ...
Patients often present to the dental office asking how long it will take to complete a full-mouth dental implant rehabilitation from start to finish. ...
Live webinar
Sun. 3 May 2026
12:00 pm EST (New York)
Dr. Rickard Brånemark MSc, MD, PhD, Dr. Robert Gottlander DDS
Live webinar
Sun. 3 May 2026
8:00 pm EST (New York)
Live webinar
Tue. 5 May 2026
10:00 am EST (New York)
Live webinar
Tue. 5 May 2026
12:00 pm EST (New York)
Live webinar
Tue. 5 May 2026
1:00 pm EST (New York)
Dr. Maximilian Dobbertin M.Sc
Live webinar
Tue. 5 May 2026
3:00 pm EST (New York)
Live webinar
Wed. 6 May 2026
1:00 pm EST (New York)
Dear colleagues,
this is an overtreated case, which in my opinion doesnt fully confirm with the moral standards of the Hippocratic oath. The goal should be to preseve as many teeth as possible.