No-preparation ultrathin veneer is one of the most minimally invasive restorations. Its thickness ranges from 0.3 to 0.5 mm. In the right circumstances (Figs. 1 & 2) it can show excellent aesthetic appearance and provide long-term stability and health of soft- and hard-tissue.
The overall structure of ultrathin veneer is flexible, in that its neck can gradually change from thick to thin, and the border can be knife edge-like or thin round-convex (Figs. 3 & 4).
Manufacturing inlays, onlays, crowns and veneers chairside with a CAD/CAM system has become established in most dental offices. This technique can produce immediate scan, design, milling and restoration quickly and conveniently. It is the same for the no-preparation ultrathin veneer. For chairside CAD/CAM systems, CEREC is the most developed system.
The biocopy mode, which is widely used for restoration design, has target contours such as wax-up. In this mode, the operator should scan the original tooth shape in the mouth or on the model first, then wax up and re-scan the wax-up shape into the CEREC system. Both optic impressions will transfer into the virtual model, and match to each other to obtain the restoration contour information. Depending on the 3-D data, chairside milling can be complete in few minutes. Post-milling processes usually contain shaping and polishing. In some conditions, it may be necessary for additional staining and glazing.
Fig. 1: No-preparation veneer is adapt to the teeth with flat surface.
Fig. 2: When the teeth have apparent curvature, no-preparation veneer may have weak contact area. Micropreparation veneer is more appropriate.
Fig. 3: Ideal gradual thinning no preparation veneer
Fig. 4: Acceptable round-convex no-preparation veneer margin with a little thickness.
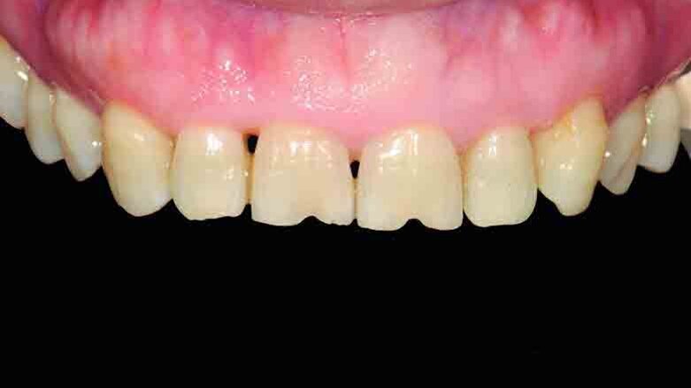
Fig. 5: Frontal view pre-operation.
Fig. 6: Frontal smile view pre operation.
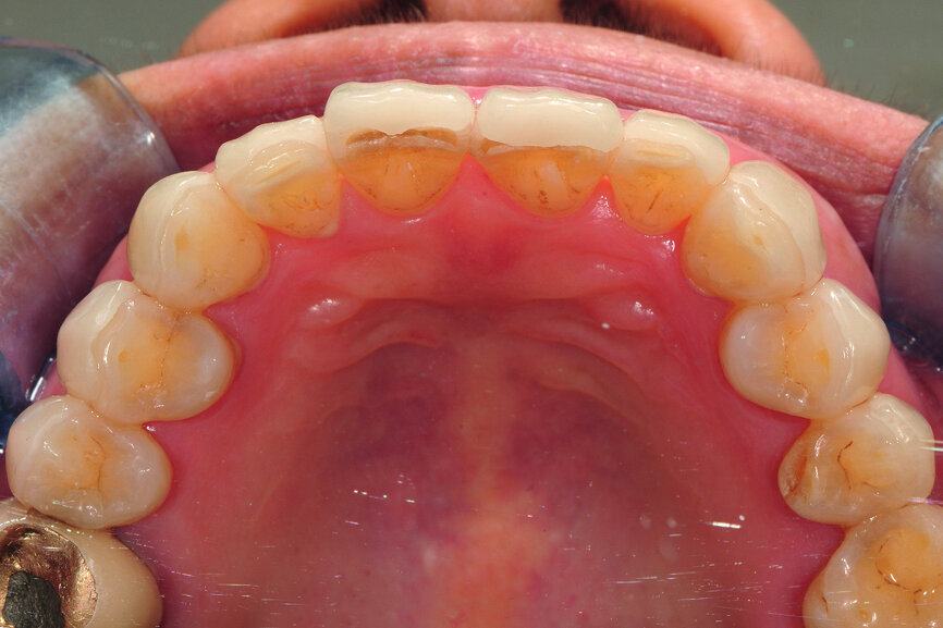
Fig. 7: Upper-anterior dentition view pre-operation.
Fig. 8: Upper jaw view pre-operation.
Fig. 9: DSD dentition view pre operation.
Fig. 10: DSD smile view pre-operation.
Fig. 11: Precise pre-operation model.
Fig. 12: Pre-operation scan.
Fig. 13: Wax-up based on pre operation model.
Fig. 15: Biocopy optic model accurately match with pre-operation model.
Fig. 16: Setting the insertion direction and margin of the restoration.
Fig. 17: Finished restoration design.
Fig. 18: Designed restoration prepared to mill.
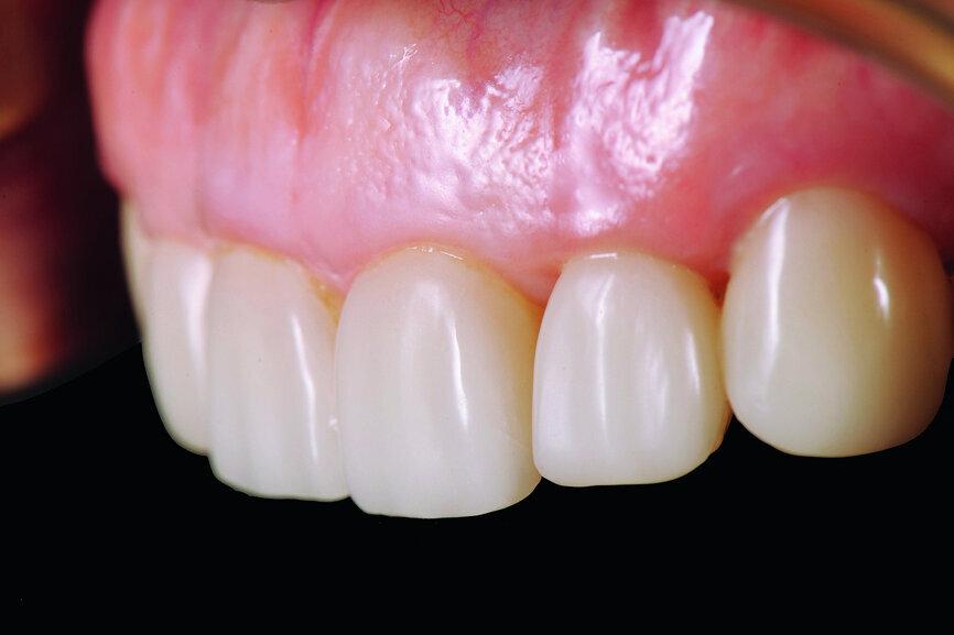
Fig. 19: Ready veneers before cementation.
Fig. 20: The thickness of the finished restoration is 0.3 mm.
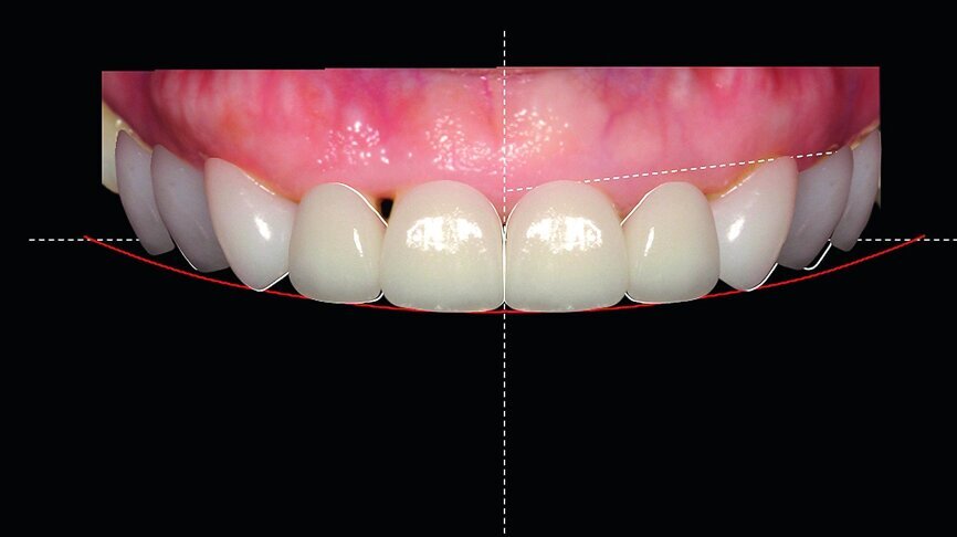
Fig. 21: Try-in: frontal view of upper anterior dentition.
Fig. 22: Try-in: incisal view of upper anterior dentition.
Fig. 23: Try-in: lateral view of smile.
Fig. 24: Try-in: lateral view of smile.
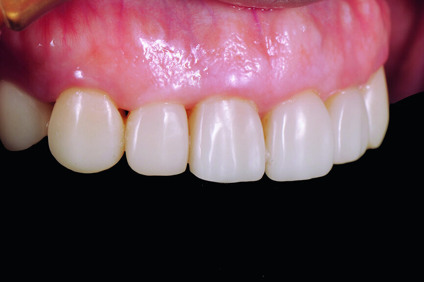
Fig. 25: Four-year follow-up: frontal view of upper anterior dentition.
Fig. 26: Four-year follow-up: frontal view of smile.
Fig. 27: Four-year follow-up: lateral view of upper-anterior dentition.
Fig. 28: Four-year follow-up: lateral view of upper-anterior dentition.
Fig. 29: Four-year follow-up: lateral view of smile.
Fig. 30: Four-year follow-up: lateral view of smile.
Fig. 31: Four-year follow-up: frontal view of face.
Fig. 32: Four-year follow-up: lateral view of face.
Case report
A 57-year-old female patient presented, whose dentition had apparent colour changes and abrasions that had occurred gradually over time. These problems resulted in an unaesthetic smile and made her appear older than her age. She also made a request for a highly comfortable and minimally invasive treatment plan and expected an improvement in the colour and shape of her upper anterior teeth, which would rebuild her smile and self-confidence (Figs. 5 & 6).
It was found that due to the abrasion which had occurred over several decades, the labial surface was plane and flat, the incisors had been worn to a straight line and also had abrasion-associated defects (Figs. 7 & 8). The no-preparation veneer that would occupy the “outer space” of the teeth would eliminate the slight wrinkles around the lips. These effects were part of the patient’s expectations and the treatment plan was accepted.
Taking the treatment requirement and oral condition into consideration, the patient was prepared for the ultrathin no-preparation veneer. Digital Smile Design (DSD) was done based on the pre-operation photos (Figs. 9 & 10), and the patient was satisfied with the aesthetic appearance of the design.
The patient wanted her teeth colour to seem natural and to disguise the discoloration. The treatment plan was confirmed as CEREC designed and manufactured Mark II (VITA) veneer of 0.3 mm thickness, 1M1 shade, and the material was chosen for its excellent aesthetic performance and translucency.
The manufacture of no-preparation veneer could depend on the precise wax-up of pre-operation. This step could save the patient’s chairside waiting time; the biocopy technique can simplify the design process; milling the restoration with a 0.5 mm original thickness and polishing after milling will decrease the risk of milling defect.
The exact process can be concluded as:
- Obtain a precise pre-operation impression and make the model. Use a CEREC scan to obtain information about the abutment teeth (Figs. 11 & 12).
- Depending on the DSD result, make a wax-up on the pre-op model. The thickness of wax-up should be from 0.3 mm to 0.5 mm. Get the biocopy scan of the wax-up model and match accurately with the pre-op model (Figs. 13–15).
- Setting the margin of the abutment teeth, the marginal edge line is not fixed because of the no-preparation technique. The direction of insertion should be defined first, which can cover most areas of the labial surface, incisor edge and adjacent surfaces. The border of the covered area should be the margin of the restoration (Fig. 16).
- Shape formation of the restoration: Copy the target shape of the biocopy model, the restoration should be calculated automatically. If there is any defect, it can be adjusted and corrected by the tools. If there are any areas not thick enough for 0.5 mm, it should be added to 0.5 mm to avoid fractures during the milling process (Figs. 17 & 18).
- Modification and polishing of the initial restoration to 0.3 mm thick after milling. And fine polishing of the final restoration (Figs. 19 & 20).
- Intraoral try-in, fine adjustment and cementation (Figs. 21–24).
- Four-year follow-up and recheck. The restorations are as excellent as before and the margins are tightly sealed, the colour is stable, there is no margin colorised or whole colour changing. The patient is very satisfied with the aesthetic performance and function. A charming smile appearance has given her more confidence and vigour (Figs. 25–32).
Conclusions
The no-preparation veneer is a kind of restoration with high precision requirement and manufactured difficulty. It is usually finished in laboratory. Getting benefit from chairside CAD/CAM techniques, immediate restorations in one appointment can be achieved; dentists can invite the patients to observe the process of restoration design and manufacture, and even get involved into the design. Patients may feel that they are participating in the treatment, establishing an emotional connection with the restoration, which may also make them more easily accept and love their restoration. The value of increasing the satisfaction should not be ignored.
Biocopy design is the combination of traditional aesthetic design and digital virtual design. It is also the most convenient and fast technical route. Nowadays, 3-D virtual technique is becoming more and more established. Using 3-D techniques directly to make a virtual design may also get wonderful restoration performance, it can be predicted that this pattern will become the mainstream of digital aesthetic design in future.
Editorial note: A complete list of references is available from the publisher. This article was published in CAD/CAM – international magazine of digital dentistry No. 01/2018.
Tags:
Despite the increasing popularity of the current CAD/CAM laboratory systems and continuing technical advances, some clinicians have remained reluctant to ...
The aesthetics are always a significant challenge during implant restoration, especially in the aesthetic zone, in addition to the full consideration ...
A graduate of Paris Descartes University (now the University of Paris), Dr Léon Pariente currently runs a private practice in the French capital that ...
Dr. Gary Hack is an associate professor at the University of Maryland School of Dentistry, where he teaches in the Department of Advanced Oral Sciences and ...
Dental crowns have been used for decades to restore compromised, heavily restored teeth, and for aesthetic improvements. New Computer Aided Design/Computer ...
Today’s consumers are always searching for the ultimate bargain, even when it comes to their dental care. They want high-quality results and minimally...
CAD/CAM technology allows dental professionals to manufacture solid all-ceramic crowns chairside. A digital image of the preparation is captured with an ...
CAD/CAM restorations made chairside with CEREC are among the most intensively studied restorations in dentistry. Numerous studies show that the clinical ...
In dental implantology, the optimal and truly passive fit of the framework is essential for the long-term success of a restoration owing to the physiology ...
The E4D in-office CAD/CAM unit (Editorial note: Planmeca E4D Technologies) has been employed in an investigative laboratory study to design and mill an ...
Live webinar
Tue. 12 May 2026
1:00 pm EST (New York)
Live webinar
Thu. 14 May 2026
12:00 pm EST (New York)
Live webinar
Thu. 14 May 2026
2:00 pm EST (New York)
Prof. Hani Ounsi DDS PhD FICD
Live webinar
Tue. 19 May 2026
11:00 am EST (New York)
Live webinar
Tue. 19 May 2026
1:00 pm EST (New York)
Prof. Dr. med. dent. Ivo Krejci
Live webinar
Wed. 20 May 2026
7:00 am EST (New York)
Dr. Graham Carmichael BDSc (Hons), DClinDent (Pros), FRACDS, Dr. Robert Gottlander DDS
Live webinar
Wed. 20 May 2026
9:00 am EST (New York)