Precise shade matching might be challenging even for very experienced practitioners. In this case report, the author demonstrates how to perform a simple and complete colour analysis and optimise the transmission of colour information to the laboratory, using a reproducible protocol.
Case report
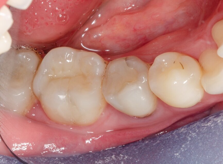
A 30-year-old female patient, with no contributory medical history, came to my dental office complaining about dental pain in the left mandibular quadrant. During the clinical examination, we observed a fracture of the lingual cusp of tooth #35, as well as old and failed amalgam restorations (Fig. 1).
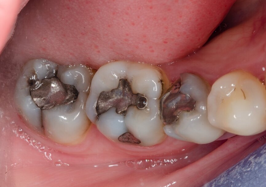
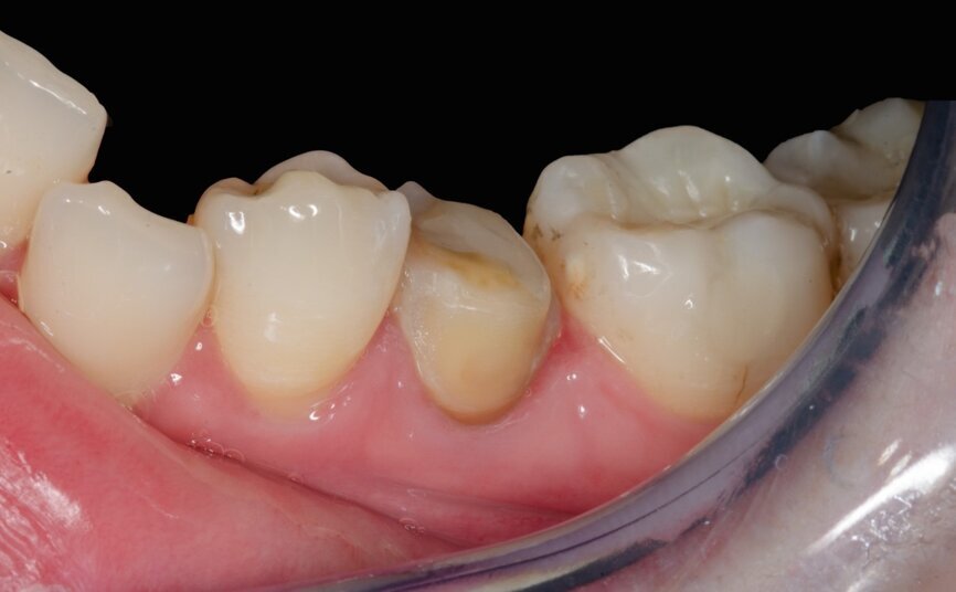
After isolation of the operating field with a dental dam, the amalgam restorations were removed and replaced with composite restorations (Essentia Universal, GC; Figs. 2–4). Because of the massive destruction of tooth #35 (Fig. 5), we considered prosthetic restoration necessary in order to retain the tooth on the arch. Preparation was performed as shown in Figure 6.
Shade taking
Shade taking was performed using a Rayplicker device (Borea). The Rayplicker is a wireless spectrophotometer that enables one to obtain the following information in one acquisition:
–– polarised picture (Fig. 7a);
–– translucency (Fig. 7b);
–– overall shade (Fig. 7c);
–– three-part mapping (Fig. 7d);
–– nine-part mapping (Fig. 7e); and
–– detailed tooth mapping (Fig. 7f).
A production file is then created directly in the Rayplicker software and all information (shade analysis and production file) is sent via the cloud to the laboratory (Fig. 8). Digital-LABS (Bongert Laboratory) specialises in the design and computer-assisted manufacture of optical impressions (all systems) for the realisation of digital prostheses. For this case, a digital impression (Fig. 9) was also taken (TRIOS 3, 3Shape) before the final restoration (Fig. 10) was performed (IPS e.max Ceram, Ivoclar Vivadent).
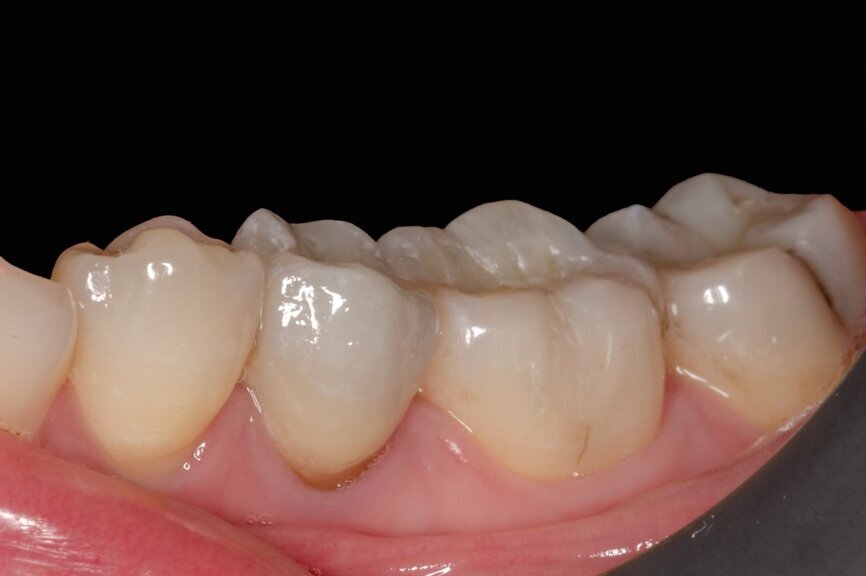
The assembly was performed by gluing under dental dam isolation of the operating field, using a photopolymerisable composite (G-ænial Universal Injectable, GC; Figs. 11 & 12). This technique makes removal of excess material easier. Figure 13 shows the final restoration after three weeks.
Conclusion
The use of the Rayplicker allows the dentist to perform a simple and complete colour analysis, applicable for both direct and indirect restorations. It optimises the transmission of colour information to the laboratory, using a reproducible protocol. It allows the integration of clinical photographs, allowing the dental technician to characterise the tooth finely to make the restoration as harmonious as possible. The Rayplicker integrates fully in the digital workflow of a prosthetic procedure.
About the author
Dr Edouard Lanoiselée graduated from the Faculty of Dentistry of Université de Nantes in France and later obtained a M1 degree in medical sciences. He worked as a university hospital assistant in the prosthetics department at the teaching and research centre of the Nantes university hospital. Dr Lanoiselée is a lecturer in aesthetics at Université de Nantes. He is specialised in cemented restorations, and computer-aided design and manufacture, and is a partner at a general practice in Nozay in France.
Tags:
There are times when we copy the natural teeth of patients and fabricate an identical yet improved version of them. This means that we apply improvements on...
An 82-year-old patient presented for complete rehabilitation. The existing maxillary bridge showed Grade III mobility and the residual mandibular teeth ...
The Dawson Academy, a provider of postgraduate dental education, has launched a new online campus and opened registration for its inaugural Fundamentals of ...
CHICAGO, US: Dentistry is undergoing a generational and gender shift. As highlighted in The U.S. Dentist Workforce, a new report from the American Dental ...
We usually associate the term ‘brand’ with a product that has a unique, consistent and well-recognised character (i.e. Coca-Cola, BMW). These ...
is to save the tooth for use in the future. In this age of adhesive dentistry, respecting and preserving the remaining healthy tooth structure as well as ...
COLOGNE, Germany: After the release of its first digital shade scanner, the Rayplicker Handy, in 2018, Borea is now presenting its new spectrophotometer, ...
Dr Desigar Moodley is a senior lecturer and researcher in the field of dental pulp stem cells and biomaterials at the University of the Western Cape in Cape...
Align Technology kick-started digital innovation in dentistry back in 1997 when it created a digital solution to an old analogue problem—moving teeth. At ...
LONDON, England: The inextricable relationship between a person’s oral and overall health has the potential to radically transform the dental industry and...
Live webinar
Thu. 14 May 2026
12:00 pm EST (New York)
Live webinar
Thu. 14 May 2026
2:00 pm EST (New York)
Prof. Hani Ounsi DDS PhD FICD
Live webinar
Tue. 19 May 2026
11:00 am EST (New York)
Live webinar
Tue. 19 May 2026
1:00 pm EST (New York)
Prof. Dr. med. dent. Ivo Krejci
Live webinar
Wed. 20 May 2026
7:00 am EST (New York)
Dr. Graham Carmichael BDSc (Hons), DClinDent (Pros), FRACDS, Dr. Robert Gottlander DDS
Live webinar
Wed. 20 May 2026
9:00 am EST (New York)
Live webinar
Wed. 20 May 2026
1:00 pm EST (New York)
Prof. Dr. med. dent. Tim Joda PhD, MSc, eMBA
To post a reply please login or register