In our clinical practices, dentine hypersensitivity (DH) has always been a challenge. Our best approach was to suggest at-home solutions such as sensitivity toothpaste or mouthrinse, but often there was no significant relief experienced by our patients. Last year, we met Richard Whatley, CEO of BioMin Technologies, who gave us some samples of BioMin F toothpaste for provision of relief from DH, and he explained the technology behind the effectiveness of this novel bioactive glass-based toothpaste. The bioglass particles contained in BioMin F toothpaste adhere to dental hard tissue and then slowly dissolve in saliva to release calcium, phosphate and fluoride ions, which precipitate on nucleation sites as fluorapatite crystals to occlude open dentinal tubules.
According to Brännström’s hydrodynamic theory, fluid movement inside the dentinal tubules in response to evocative stimuli such as cold—first of all—but also hot and sweet food and beverages, stimulating the odontoblast fibres and nerve endings and thereby creating a brief and acute pain, like an electric shock. This is what patients refer to as pain from DH.
A special polymer in BioMin F toothpaste is able to chemically bond the calcium from the bioglass to the hydroxyapatite of enamel. This adhesion is similar to that of glass ionomer cement to tooth surfaces. Saliva slowly dissolves these bioglass particles. This enables the release of ions from bioglass particles over 8–12 hours after brushing to create new crystals of fluorapatite, which form on nucleation sites like peritubular dentine and the internal surfaces of dentinal tubules. The formation and development of these fluorapatite crystals closes exposed dentinal tubules and provides relief from the pain of DH.
It is important to note that the fluoride concentration in BioMin F toothpaste is much lower than that of other DH or caries prevention toothpastes, which often utilise several thousand parts per million of fluoride (from 1,000 to almost 5,000 ppm in some countries). BioMin F has a fluoride concentration of only 530 ppm, and this concentration is sufficient to promote the formation of fluorapatite crystals on the tooth surfaces.
Soluble-fluoride toothpastes (typically including sodium fluoride or sodium monofluorophosphate) require a high concentration of fluoride because most of the available fluoride is washed away by the salivary flow, but at such high concentrations, it forms amorphous crystalline calcium fluorite on dental hard tissue and not fluorapatite mineral. It is very important to start remineralisation on initial carious lesions such Codes 1 and 2 on the International Caries Detection and Assessment System.1 A scientific paper on caries research published in 2013 by Hill et al. shows that only a fluoride concentration of below 45 ppm is effective in promoting remineralisation when combined with calcium and phosphate to form fluorapatite crystals.2 It is in its crystalline phase that it is able to exchange ions in the oral environment (equilibrium between remineralisation and demineralisation).
The crystalline phase of fluorapatite developed by bioglass has enhanced acid-resistant features too.3 Most concentrated-fluoride dental products, such as toothpaste and varnishes, might be able to form an amorphous crystalline phase on enamel, but that is not remineralisation, as mentioned, but calcium fluorite. Calcium fluorite is not acid-resistant like fluorapatite crystals, but resistance to acid is a very important feature for overcoming the DH challenge. In fact, an amorphous and not acid-resistant layer is prone to dissolving in contact with erosive beverages or foodstuffs, thereby restarting DH pain owing to the re-exposure of dentinal tubules.
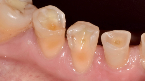
Fig. 1: Small areas of cervical loss of enamel, resulting in exposure of dentine to evocative stimuli, in particular cold and air, and thus dentine hypersensitivity pain.
Fig. 2: Large areas of cervical loss of enamel due to powerful phenomena of abrasion and erosion of enamel and high dentine hypersensitivity pain.
Fig. 3: Percentage of patients included in the clinical trial who reported dentine hypersensitivity pain to the dentist on consuming hot, cold or acidic foodstuffs or brushing their teeth.
Fig. 4: Of the patients in the trial, 48.27% reported prior use of sensitivity toothpaste.
Fig. 5: Of the patients treated with BioMin F, 27.58% had no further dentine hypersensitivity pain and 52.72% reported a reduction.
Fig. 6: Of the patients in the trial, 73.07% reported that BioMin F toothpaste is more effective than other sensitivity toothpastes in reducing dentine hypersensitivity pain.
Fig. 7: Patient’s evaluation questionnaire in which she reported vomiting bouts during BioMin F treatment, but a complete absence of dentine hypersensitivity (score of 9) despite this severe acidic challenge.
Fig. 8: Open tubules on the dentine surface (research at Queen Mary University of London).
Fig. 9: Tubules occluded after brushing with BioMin F (research at Queen Mary University of London).
Fig. 10: Tubules remained occluded after acid challenge (research at Queen Mary University of London).
Clinical trial with BioMin F for dentine hypersensitivity
We started the trial in November 2018 and included only patients with pronounced DH of a grade of moderate to severe. In July 2019, we collected the last recall from this trial. For the trial, every participant was given a sample of BioMin F and instructed to use the toothpaste twice a day for two weeks before recall.
At recall, the evaluation sheet given to the participants contained some general questions, covering their experience of the flavour of the toothpaste, its texture and its foaming capabilities, for example, as well as some specific questions, such as concerning their prior use of other toothpastes for DH. In particular, the questionnaire asked the patients to grade the scale of relief from DH using BioMin F on a scale of 0 to 10. We considered that an average score of 9 or 10 meant that the DH has been completely resolved using BioMin F toothpaste for only two weeks.
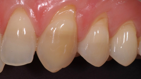
The clinical photographs in Figures 1 and 2 are of patients who reported diffused DH in the cervical areas of the teeth and this was treated with BioMin F for two weeks. This approach substantially reduced or eliminated their pain from DH.
Figure 3 shows the percentage of patients included in the clinical study who reported pain after consuming cold, hot or acidic food and after brushing their teeth with cold water. Most patients included in the trial had diffuse (58.62%) or occasional (37.93%) DH, and only 3.44% did not report any DH.
Of the 29 patients included in the clinical trial, the majority (48.27%) reported that they were already using a toothpaste to specifically address DH (Fig. 4).
It is interesting to note, as shown in Figure 5, how many patients using BioMin toothpaste twice a day for two weeks experienced a reduction in DH pain. Most of the patients found it relieved their pain from DH. In particular, 27.58% of patients treated with BioMin F for two weeks reported an elimination of hypersensitivity, while in 52.72%, the pain had been significantly reduced. Just 20.68% reported no obvious change after using BioMin F for two weeks. Importantly, no patients reported an increase in DH pain.
One of the last questions asked of patients was whether they felt that there was a greater benefit to using BioMin F, rather than their previous toothpaste, to tackle DH, and a large number (73.07%) reported a positive response as shown in Figure 6.
We would now like to describe in detail one particular clinical case from the trial which demonstrates the acid-resistant features of fluorapatite crystals produced by the bioglass in BioMin F. The 44-year-old female patient with high DH started the BioMin F trial according to our instructions (twice a day), and after just a few days, she reported greater relief from DH and she was very satisfied.
In the following days, the patient had repetitive bouts of vomiting with gastric acid reflux with a very low pH (a pH of around 1) capable of removing any mineral pellicle or aggregate covering tubule orifices and which would likely cause DH pain to reoccur. Naturally, the patient feared that this would happen. At the conclusion of these episodes, she checked her hypersensitivity pain by rinsing her teeth with cold water after brushing in the cold air of winter, and she told us that the benefit of using BioMin F remained unchanged (Fig. 7).
This suggests, as evident in microscopy studies undertaken at Queen Mary University of London, that the bioglass contained in the toothpaste does not produce an amorphous mineral layer on the tubule orifices, but produces a true mineralisation process through which fluorapatite crystals form that appear to be acid-resistant. This is shown in Figures 8–10.
Editorial note: A list of references is available from the publisher. This article was published in prevention―international magazine of oral health, Vol. 4, issue 1/2020.
All dental practices have patients with dentine hypersensitivity. Many patients avoid dental treatment because of their hypersensitivity. Surprisingly, most...
SEATTLE, US: Existing treatments for dentine hypersensitivity, including desensitisers and dentinal tubule blockers, offer only temporary relief for ...
HIGH POINT, N.C., US: Haptic technology was first developed and introduced in the 1970s. Today, the cutting-edge technology is growing rapidly and is ...
SILVER SPRING, Md., U.S./LONDON, U.K.: BioMin Technologies has announced that its BioMin Restore Plus toothpaste has received 510(k) clearance from the Food...
LEIPZIG, Germany: A recent expert review has set out evidence-based consensus recommendations to help dental teams in the Middle East and Africa (MEA) ...
UMEÅ, Sweden: Recurrent aphthous stomatitis (RAS) is the most common painful oral mucosal disease in the world, occurring in 5%–25% of the world’s ...
Several factors are involved in the achievement of implant primary stability, such as the insertion torque, the implant’s macrogeometry, the surgical ...
BERNE, Switzerland: Over the years, more and more toothpastes have been released on to the market claiming to aid with one thing or another—with a ...
The importance of records cannot be overstated. Records are a legal requirement, are vital in assisting with diagnoses, and facilitate treatment planning, ...
JEDDAH, Saudi Arabia: Dr Mohamed Bamashmous has had a long and distinguished academic career. Recently, he decided to branch out and pursue his vision of a ...
Live webinar
Tue. 12 May 2026
1:00 pm EST (New York)
Live webinar
Thu. 14 May 2026
12:00 pm EST (New York)
Live webinar
Thu. 14 May 2026
2:00 pm EST (New York)
Prof. Hani Ounsi DDS PhD FICD
Live webinar
Tue. 19 May 2026
11:00 am EST (New York)
Live webinar
Tue. 19 May 2026
1:00 pm EST (New York)
Prof. Dr. med. dent. Ivo Krejci
Live webinar
Wed. 20 May 2026
7:00 am EST (New York)
Dr. Graham Carmichael BDSc (Hons), DClinDent (Pros), FRACDS, Dr. Robert Gottlander DDS
Live webinar
Wed. 20 May 2026
9:00 am EST (New York)
To post a reply please login or register