A 52-year-old female patient was concerned about the appearance of her smile. Her upper right first molar and second premolar had been missing for several years (Figs. 1 and 2). She was otherwise a fit and healthy non-smoker.
The patient was unwilling to consider a denture and was not keen for the symptomless adjacent teeth to be prepared for bridgework, particularly the upper right first premolar, which was unfilled. She did not wish to have any form of removable prosthesis. She chose to have implant-supported crowns, as she wanted the final restoration to be as close as possible to having natural teeth.
Clinical examination and planning
Clinical examination suggested that the bucco-palatal width of the maxillary ridge was wide enough to consider flapless surgery. This had added appeal, as the patient was travelling a great distance for the treatment, so wished to minimise the number of appointments and the potential for postoperative complications.
Computer-guided dynamic navigation with Navident by ClaroNav was used in the preparation of this case. Scanning and planning took place during the assessment visit, 48 hours before implant surgery. A NaviStent was fabricated and a fiducial marker attached, prior to the CBCT scan. Fabrication of the NaviStent is quick, easy and takes place chairside, using a unique thermo-plastic material which is moulded directly onto the patient’s existing dentition. The NaviStent is designed and fabricated to ensure a high level of stability, while providing unrestricted access to the planned implant sites.
Fig. 1: The patient’s upper right first molar and second premolar had been missing for several years.
Fig. 2: Pre-op radiograph.
Fig. 3: Preparation of NaviStent, and drill and jaw tags immediately prior to surgery.
Fig. 4: Calibration of drill axis.
Fig. 5: Calibration of pilot drill tip.
Fig. 6: Preparation of upper right second premolar implant site.
Fig. 7: The pathway of the drill could be followed clearly on the Navident computer screen.
Fig. 8: Navident provided visual confirmation of the position of the drill tip to accurately gauge the correct depth.
Fig. 9: Calibration of 3.5 mm drill tip.
Fig. 10: Preparation of premolar site with 3.5 mm drill.
Fig. 11: A guide pin was placed in the upper right first molar site to check the depth and alignment.
Fig. 12: The NaviStent was removed and the site was prepared for the internal sinus lift.
Fig. 13: Sinus lift osteotome in place.
Fig. 14: The osteotome was tapped gently with a surgical mallet until the remaining thin layer of bone was infractured.
Fig. 15: A heterogeneous bovine bone graft material (Bio-Oss) was introduced into the implant site.
Fig. 16: Placement of 4.5 mm diameter and 6.6 mm length Ankylos C/X implant.
Fig. 17: Subcrestal implant placement.
Fig. 18: Ankylos Balance posterior sulcus formers were fitted, without the need for additional closure with sutures.
Fig. 19: Computer-guided navigation enabled the implants to be placed reliably and predictably within optimum bone, without the need to reflect a flap.
Fig. 20: Sulcus formers prior to fitting of the final restorations.
Fig. 21: The gingival tissue after removal of the sulcus formers.
Fig. 22: Custom-made Atlantis titanium abutments fitted to the implants.
Fig. 23: Linked Lava zirconia crowns after cementation.
Fig. 24: Post-restoration radiograph.
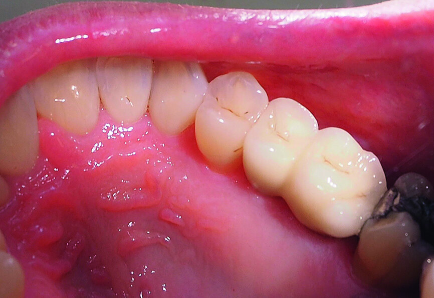
Fig. 25: Natural-looking final restoration.
The scan was taken with a Morita 3-D CBCT system, which provides high definition, distortion-free images for accurate diagnosis and planning. Radiographic and CBCT examination revealed approximately 9 mm of bone depth, from the crest of the ridge to the floor of the maxillary antrum, in the upper right second premolar site, and no more than 5 mm bone depth in the first molar site. Planning took place immediately after the scan, with the patient present, so she could see the proposed treatment on the Navident software. She felt reassured by the care being taken to achieve optimum implant positioning, with minimal risk of potential complications, and was extremely impressed with the technology.
The Navident planning software allowed the placement of the implants to be restoratively driven. The size, shape and position of the intended crowns were planned prior to treatment and the consequent position of the implants determined, so that the optimum restoration could be achieved.
Due to the limited bone depth in the first molar site, augmentation of the ridge was planned by utilising the internal sinus lift (or Summer’s) technique. The minimally invasive procedure allowed placement of dental implants in a site with reduced bone depth, without causing iatrogenic sequelae through damaging an intact Schneiderian membrane.
Flapless procedure
Treatment was carried out under local anaesthesia. The flapless procedure resulted in minimal trauma to the gingival tissue overlying the ridge. The previously constructed NaviStent, and the drill tag and jaw tag supplied by ClaroNav, were prepared immediately prior to surgery (Fig. 3). In accordance with the Navident protocol, the axis of the drill and tip of the pilot drill were calibrated (Figs. 4 and 5) and verified before site preparation commenced (Fig. 6). Using computer-guided surgery, the pathway of the drill could be followed clearly on the computer screen positioned in front of the patient (Fig. 7). Approximately 1 mm of bone was left intact in the upper right first molar site ready for the sinus lift. Navident provided visual confirmation of the position of the drill tip to accurately gauge the correct depth (Fig. 8). Preparation continued using a 3.5 mm drill bit, which, again, was calibrated and verified before use (Figs. 9 and 10).
A 3.5 mm diameter and 8 mm length Dentsply Ankylos C/X implant was placed 1 mm subcrestally in the upper right second premolar site. A guide pin was placed in the upper right first molar site to check the depth and alignment (Fig. 11). The NaviStent was removed and the site was prepared for the sinus lift osteotome (Figs. 12 and 13). The osteotome was tapped gently with a surgical mallet until the remaining thin layer of bone infractured and was elevated (Fig. 14). The Schneiderian membrane was carefully raised through manipulation with the osteotome and a heterogeneous bovine bone graft material (Bio-Oss, Geistlich) was introduced into the implant site (Fig. 15). A 4.5 mm diameter and 6.6 mm length Ankylos C/X implant was then placed 1 mm subcrestally (Figs. 16 and 17). Both implants had good primary stability on placement. Ankylos Balance posterior sulcus formers were fitted, without the need for additional closure with sutures (Fig. 18).
Implant placement in optimum bone
Navident was used to guide the implant site preparation dynamically, to ensure implants were placed in the pre-determined position without the need for a static drilling guide. This facilitated placement of the implants in the optimum amount of bone without inadvertent damage to the maxillary sinus membrane. It also ensured that their alignment made future impression taking and restoration straightforward. The ability to watch the drill virtually on the CBCT scan, as the implant sites were prepared, allowed the exact point at which to cease vertical drilling to be judged visually.
Assessment, planning and placement were carried out within 48 hours, due to the patient’s limited ability to attend for appointments. Using Navident, there is no reason why this could not be achieved in one visit.
Computer-guided navigation enabled the implants to be placed reliably and predictably within optimum bone, without the need to reflect a flap (Fig. 19). Consequently, the patient experienced no postoperative swelling or bruising and she reported very little discomfort after treatment. This outcome satisfied the primary objective of aiming for clinical perfection, whilst ensuring the patient experienced the least trauma possible.
The implants were restored four months after placement, with custom-made Dentsply Atlantis titanium abutments and Lava zirconia crowns (3M ESPE; Figs. 20–25).
Editorial note: A list of references is available from the publisher. This article was published in CAD/CAM – international magazine of digital dentistry No. 04/2017.
When a patient presents to your dental practice with questionable and/or non-restorable teeth requiring full-mouth extractions, the greatest concern is ...
When a patient presents to your dental practice with questionable and/or non-restorable teeth requiring full-mouth extractions, the greatest concern is ...
A 62-year-old male patient was referred to my practice for implant planning and treatment in the maxillary anterior region. The teeth in the maxillary ...
The presence of sufficient bone volume is one of the most important criteria for successful osseointegration of implants,1 wherefore restoration of ...
VIENNA, Austria: By using the CBCT image as a kind of map, ClaroNav’s Navident guides clinicians much like a GPS guides drivers, offering them an ...
TEHRAN, Iran: A recent systematic review by Iranian scholars has compared implant treatment outcomes of over 1,500 patients who had undergone either ...
VEVEY, Switzerland: The Micro-Apical Placement (MAP) System, from Swiss endodontic company PD, provides a unique and efficient method for precisely placing ...
NEW YORK, U.S.: Image Navigation has announced a new image-guided implant (IGI) dentistry system that extends the use of CBCT scanners to include ...
Dynamic real-time surgical navigation digital imaging, diagnostics and impressions, and the use of computer-aided design/computer-aided manufacture ...
Straumann Campus provides dental professionals with a myriad of webinars with a focus on implant dentistry and orthodontics. In the coming weeks, the online...
Live webinar
Sun. 3 May 2026
12:00 pm EST (New York)
Dr. Rickard Brånemark MSc, MD, PhD, Dr. Robert Gottlander DDS
Live webinar
Sun. 3 May 2026
8:00 pm EST (New York)
Live webinar
Tue. 5 May 2026
10:00 am EST (New York)
Live webinar
Tue. 5 May 2026
12:00 pm EST (New York)
Live webinar
Tue. 5 May 2026
1:00 pm EST (New York)
Dr. Maximilian Dobbertin M.Sc
Live webinar
Tue. 5 May 2026
3:00 pm EST (New York)
Live webinar
Wed. 6 May 2026
1:00 pm EST (New York)
To post a reply please login or register