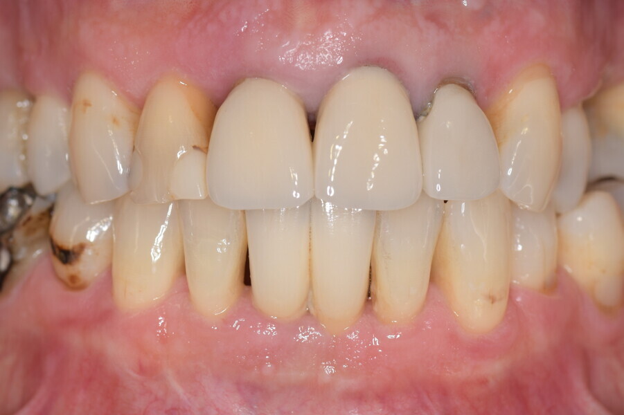
A 62-year-old male patient was referred to my practice for implant planning and treatment in the maxillary anterior region. The teeth in the maxillary anterior region had all undergone endodontic therapy, and teeth #11-22 had received crowns owing to an accident that had occurred 30 years before. The patient reported pain and was conscious that tooth #21 was mobile (Figs. 1a & b).
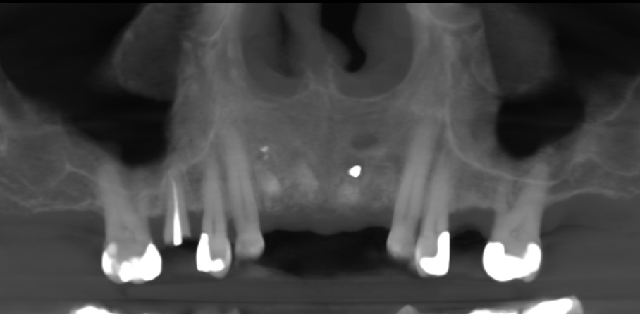
The first step was to obtain a CBCT scan of the maxillary arch, which revealed periapical pathology in teeth #12-22 (Figs. 2 & 3). Furthermore, tooth #21 exhibited significant loss of buccal bone, and a small piece of amalgam was identified in the bone near tooth #21. After a thorough analysis of the radiographic findings, a treatment plan was established to extract teeth #12-22 and perform ridge preservation to reduce bone loss in the extraction sites.
As is routine protocol in my dental practice, we captured a digital impression of the maxillary and mandibular arches with the DEXIS IS 3800 intra-oral scanner (Figs. 4a–c), along with intra-oral photographs to document the initial oral condition. These digital models were used for the fabrication of the temporary removable prosthesis.
Fig. 1b: Initial situation.
Fig. 2: Initial CBCT scan of the maxillary arch.
Fig. 3: Initial CBCT scan. Coronal view of tooth #21 showing buccal bone loss.
Figs. 4a–c: Digital impressions of the initial situation.
Fig. 4b.
Fig. 4c.
Fig. 5: Intra-oral radiograph after the extractions and ridge preservation.
Fig. 6: Intra-oral image with the temporary prosthesis in place.
Fig. 7: CBCT scan of the maxillary anterior region after the extractions.
Upon receiving approval from the insurance company for the proposed treatment plan, all four teeth were extracted. After the extractions, the extraction sockets were meticulously debrided with EthOss degranulation burs and filled with EthOss grafting material to promote primary closure and healing of the wound (Fig. 5).
To preserve both the aesthetic and functional aspects for the patient during the time between extraction of the teeth and the new bridgework, a temporary removable prosthesis was fabricated (Fig. 6). The patient’s general dentist has also been working fully digitally for years, and the temporary prosthesis was made from a digital impression and printed models.
Two months after the extractions, we obtained a CBCT scan of the maxilla (Fig. 7) and captured digital impressions using our DEXIS IS 3800 intra-oral scanner (Fig. 8). These scans were essential for commencing the implant planning process and creating the surgical guide.
Figs. 8a & b: Digital impressions after the extractions.
Fig. 8b.
Fig. 9: Implant planning for all four positions.
During the implant planning phase, we created a preliminary plan using 3D imaging software with a prosthetically driven implant planning approach (Figs. 9 & 10), and the plan was exported into surgical guide planning software for final planning and construction of the surgical drilling guide (Figs. 11a–c). The implants were planned in all four positions with the object of identifying the two most optimal and accessible sites for the placement of two implants and the corresponding bridge restoration.
After completion of the planning and drilling reconstruction, the surgical guide was 3D-printed with a Stratasys printer using MED610 resin (Stratasys). The two implants (4.1 × 12.0 mm Straumann Bone Level Tapered, Regular CrossFit, SLActive, Roxolid) were then placed utilising the Straumann guided surgery kit for precise guidance. The remaining piece of amalgam in the bone of tooth #21 was carefully removed—only a small piece in the gingiva remained (Fig. 12). The buccal bone was again thickened with EthOss, and the wound was closed with a semi-submerged technique, facilitating proper healing and integration of the implants (Figs. 13a & b).
Fig. 10: Final planning for two implants with merged intra-oral scan and CBCT data.
Figs. 11a–c: Implant planning and guided surgical guide design.
Fig. 11b.
Fig. 11c.
Fig. 12: Intra-oral radiograph of the implants after placement.
After a ten-week osseointegration and healing period, the patient returned for a final assessment of the implant stability using the implant stability quotient measurement.
The subsequent step will involve the completion of the final prosthesis, which will be performed by the patient’s general dentist. To create the screw-retained monolithic bridge, a digital impression will be obtained using an intra-oral scanner, and the dental technician will also work fully digitally—as far as possible—for the final prosthesis.
Figs. 13a & b: Intra-oral view of the implants with healing abutments after placement
When a patient presents to your dental practice with questionable and/or non-restorable teeth requiring full-mouth extractions, the greatest concern is ...
When a patient presents to your dental practice with questionable and/or non-restorable teeth requiring full-mouth extractions, the greatest concern is ...
BERLIN, Germany: According to implantology and periodontics specialist Dr Juan Arias Romero, a new synergy between digital planning, guided implant ...
Modern dentistry should strive to preserve all maintainable natural teeth whenever possible, in line with the principles of minimal invasiveness and ...
The evolution of digital dentistry has revolutionised the way dental procedures are planned and executed. This case highlights the integration of various ...
In cases of severe posterior bone atrophy, Straumann Pro Arch is a solution that helps achieve fixed restoration for the patient. Straumann Guided Surgery ...
A 52-year-old female patient was concerned about the appearance of her smile. Her upper right first molar and second premolar had been missing for several ...
VIENNA, Austria: Planmeca’s powerful Romexis software platform features all the necessary tools for a fully digital implant workflow. The software allows ...
The objective of this review was to evaluate the scientific evidence on accuracy, as well as esthetic and clinical outcomes of single-tooth implants placed ...
CZĘSTOCHOWA, Poland: Pixel Clinic is a modern dental clinic in Poland with a strong focus on aesthetics and digital workflows. At the clinic, the most ...
Education
Live webinar Thu. 23 April 2026 12:30 pm EST (New York)
Early intervention in growing patients with skeletal Class II malocclusion aims to reduce sagittal discrepancies, guide dentofacial development and minimise...
COPENHAGEN, Denmark: Poor oral health in childhood is known to have consequences far beyond the mouth, including effects on growth, and adult oral health ...
VIENNA, Austria: Beginning tomorrow, the International Osteology Symposium 2026 will bring together the global oral regeneration community at VIECON in ...
To post a reply please login or register