Search Dental Tribune

Immediate loading of the posterior maxilla with two abutment-level bridges produced in a digital workflow

Fig. 1: Pre-op radiograph. (All images: Marco Degidi, Gianluca Sighinolfi)

Dental implants are widely acknowledged for their success in replacing missing teeth. Several factors influence the effectiveness of implant treatment, including design, surgical technique, bone quality and patient factors. This case report aims to present the step-by-step process of implant treatment and restoration with two abutment-level bridges for a patient who had lost premolars and molars in the maxillary arch using a digital workflow.

Case presentation

Owing to chronic periodontal disease, the 65-year-old female patient had lost premolars and molars in the maxillary arch (Fig. 1). It was decided to perform her treatment with dental implants.

PrimeTaper EV implants (Dentsply Sirona) were placed in the maxillary premolar and molar positions (Fig. 2). MultiBase Abutments EV (Dentsply Sirona) were positioned and temporary screw-retained bridges loaded immediately (Figs. 3 & 4). To ensure that the implant positions were correct, a postoperative radiograph was performed (Fig. 5).

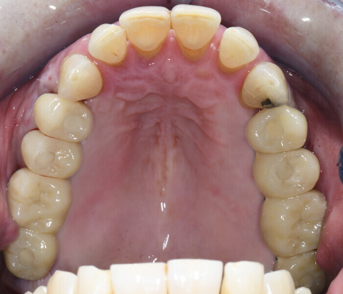
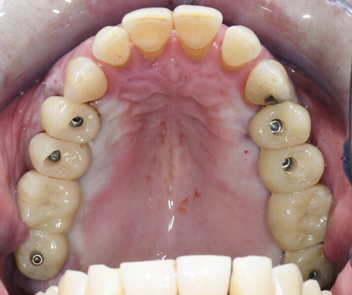
After a healing period of six months (Fig. 6), an intra-oral scan was performed at abutment level together with a scan of the existing temporary bridges in relation to the opposing arch (Figs. 7–11).

All files were imported into Atlantis Scan Upload for ordering of the Atlantis BridgeBase frameworks (Dentsply Sirona; Fig. 12). After approval of the Atlantis BridgeBase and core file designs, the Atlantis BridgeBase frameworks and zirconia shells were manufactured (Figs. 13–16).

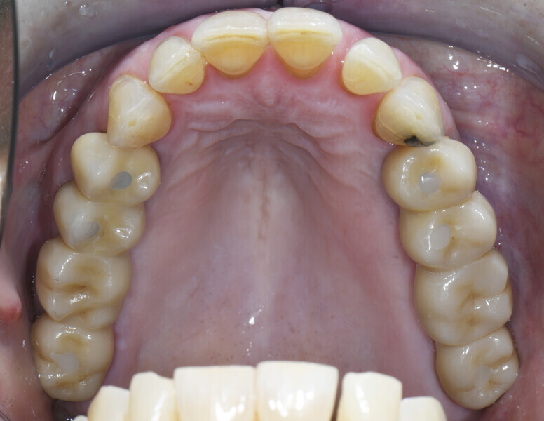
After a clinical try-in, the Atlantis BridgeBase frameworks were cemented to the zirconia shells and delivered to the patient (Figs. 17 & 18).

Conclusion

This report highlights a case of successful PrimeTaper EV implant placement in a patient with maxillary posterior tooth loss. Utilising an intra-oral scanner and specialised components facilitated precise treatment planning within a digital workflow. The combination of the PrimeTaper system together with zirconia shells cemented on to the Atlantis BridgeBase frameworks enabled efficient prosthodontic treatment.

Editorial note:

This case report is published as inspiration for readers, and the treatment approach and methodology are not necessarily recommended by Dentsply Sirona. This article was published in digital—international magazine of digital dentistry vol. 5, issue 1/2024.

Topics:
Tags:
To post a reply please login or register
advertisement
advertisement