Immediate implant placement is a well-recognised and successful treatment option after tooth extraction.[1, 2] Success rates for both immediate and delayed implant techniques are comparable; however, the literature reports that one can expect buccal collapse of the original buccal volume and midfacial recession of at least 1mm after immediate implant placement, possibly worse in thin gingival biotypes.[3]
Low aesthetic areas are usually of little concern; however, recession and ridge collapse, even in these areas, can still be visible under certain social and smiling circumstances. Besides aesthetic problems, ridge collapse and recession may compromise long-term results, because of food impaction and hygiene difficulties for the patient. The socket shield (SS) technique provides a promising treatment adjunct to better manage the aesthetic and functional risks associated with tooth loss followed by replacement with an implant.
The subjacent principle to its use is to prepare the root of the tooth (or the remaining root) indicated for extraction, leaving the buccal/labial root section. The intention is to keep the root’s physiological relation to the buccal plate as intact as possible. The root fragment’s periodontal ligament (PDL), attachment fibres (depending on apico-coronal positioning of the grinding of the shield), vascularisation, root cementum, bundle bone and alveolar bone are intended to remain vital and undamaged in order to prevent the usual post-extraction socket remodelling, which is extensively reported in the literature. This might more effectively support the buccal/labial tissue, maintaining the root effect convexity visible adjacent to natural roots and so often lacking around restored implants.
Initial patient condition and clinical status
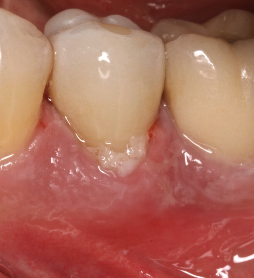
A healthy, non-smoking, 40-year-old male patient presented with a mandibular left first premolar with a fractured root. The root had previously been treated endodontically, three years before suffering a bone level transversal fracture (Figs.1a & b). The patient had already received several implants to replace some of his lost teeth over the previous nine years. The missing mandibular premolar could be easily seen and was one of his complaints. The patient had moderate aesthetic expectations, high functional demands and little time to come to the appointments.
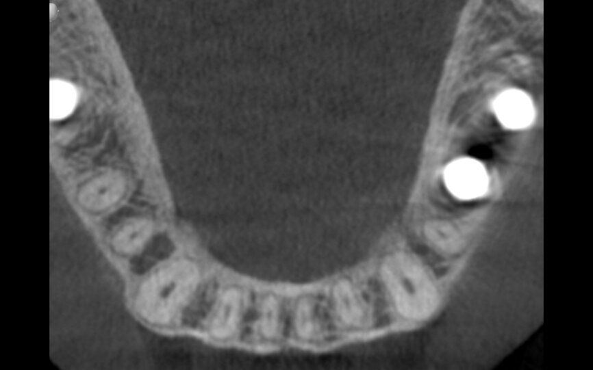
Fig. 1a: Initial situation: apical radiograph (a), intra-oral view (b) and CT scan (c).
Fig. 1b: Initial situation: apical radiograph (a), intra-oral view (b) and CT scan (c).
Fig. 1c: Initial situation: apical radiograph (a), intra-oral view (b) and CT scan (c).
Fig. 3: Implant without intermediate abutment.
Fig. 4: Implant with intermediate abutment.
Fig. 5: The gap distance between the implant and the SS was filled solely with Endoret.
Fig. 6: Design of the CAD/CAM crown.
Fig. 7: Design of the CAD/CAM crown.
Fig. 8: Installation of the final restoration.
Fig. 9: Radiographic evaluation of the final crown.
Fig. 10: Clinical situation one year after treatment.
Fig. 11: The two-year follow-up post-op CBCT scan.
Fig.12a: The two-year follow-up post-op CBCT scan.
Fig. 12b: The two-year follow-up post-op CBCT scan.
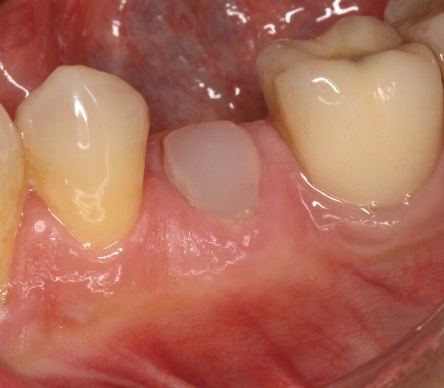
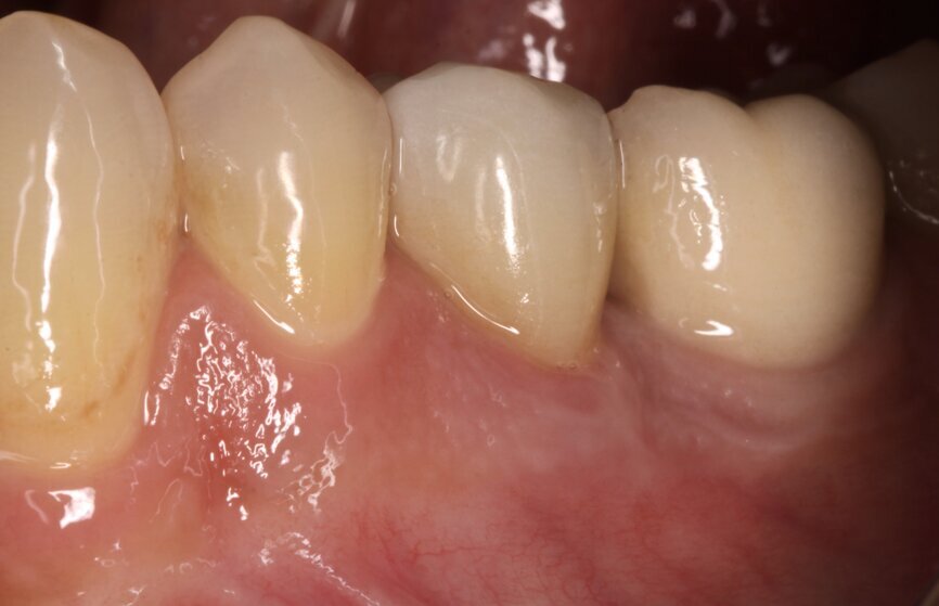
Fig. 13: Clinical situation two years after treatment.
Diagnostic and radiographic evaluation
After analysing the computed tomography (CT) scan on BTI Scan II software (BTI Biotechnology Institute; Fig. 1c), the root was not considered to have the minimum criteria for retaining a crown, or a post and core and crown. As the bone availability, bone density and remaining buccal bone were considered to be ideal, implant therapy was immediately considered.
This CT scan was taken three years before the root fractured. As there was no infection related to the root and sulcus probing, all around the remaining root and all the way down to bone contact showed no socket alteration—a Type I socket was diagnosed—it was decided not to irradiate the patient further. This CT scan data, supported by the clinical examination, was considered reliable, despite the three years that had passed.
Treatment plan and options
The patient was presented with the two options for replacement of his tooth:
- conventional implant therapy, like that which he had already received several times, consisting of immediate post-extraction implant placement either with or without provisional immediate restoration of the implant;
- partial extraction therapy (PET) utilising the buccal root fragment that would be deliberately left on the socket to try to further preserve anatomy and avoid the usual bone remodelling expected after tooth extraction, followed by immediate loading with the final CAD/CAM restoration.
The patient understood the options and chose the second option, expressing no opposition to the procedure.
Clinical procedure
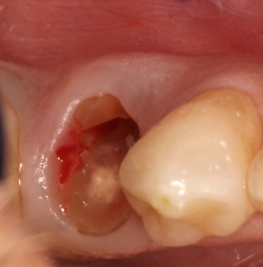
After local anaesthesia, the root was sectioned mesiodistally. A long-shank root resection bur (Root Membrane Kit) on a high-speed handpiece was used under abundant irrigation (Fig. 2). After ensuring that the two fragments of the root, lingual and buccal, had been separated, periotomes were inserted between the lingual bone and the remaining lingual fragment, slowly severing the PDL until its removal was accomplished. Extreme caution was used in order not to touch or loosen the remaining buccal fragment, which was intended to be left in the socket. The remaining buccal root fragment was then reduced coronally to bone level, using a long-shank round bur of 3 mm in diameter (Root Membrane Kit). The buccal shield was thinned to about an overall thickness of 1.5 mm. Its reduction was accomplished in such a way that the remaining root fragment would have a slight concavity facing the socket and the implant. The last drill used was a cylindrical long-shank red-stripe drill that allowed the polishing and smoothening of the surface of the root fragment (Komet Dental). With a periodontal probe, the lingual bone wall of the socket was checked for integrity. The remaining SS fragment was also checked for mobility. Thorough curettage of the remaining lingual, distal and mesial walls of the socket was performed.
The site for implant placement was prepared through the socket, according to the manufacturer’s instructions. A low-rotation (120 rpm) protocol was utilised with no irrigation, except for the first sharp bur of the sequence, which was used with higher rotation (800 rpm). The sequencing of the drills was done in a very precise and careful manner in order to avoid contact with the remaining SS fragment.
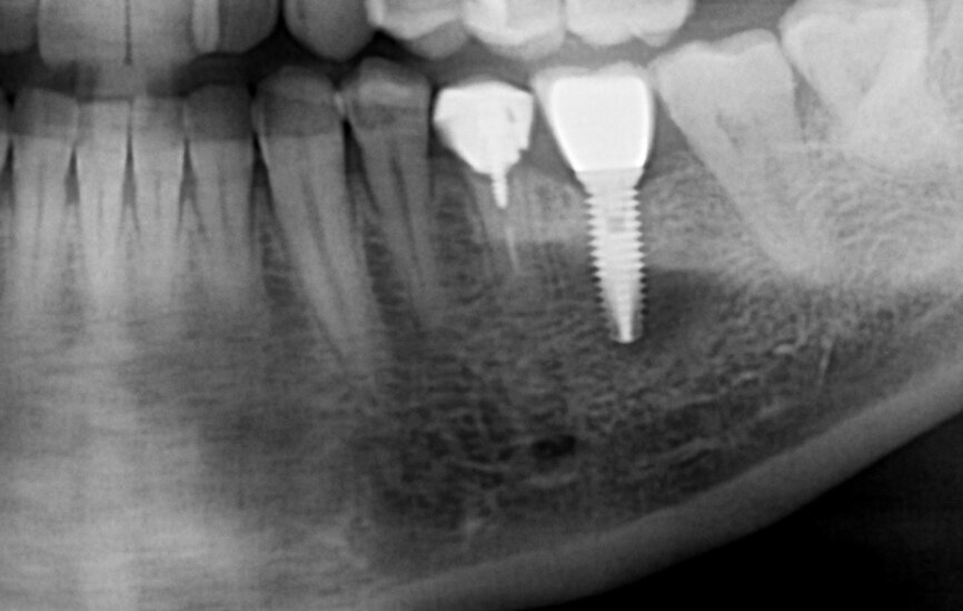
A 5 x 15 mm BTI interna plus implant (internal connection) was placed lingually to the SS, taking as reference for 3D positioning the adjacent tooth and implant crowns. The platform of the implant was placed 1 mm below the level of the buccal bone crest and the SS (Fig. 3). A BTI UNIT Transepithelial abutment was used to extend the implant’s platform 0.5 mm subgingivally (Fig. 4).
The gap distance inside the socket between the implant and the SS was filled solely with plasma rich in growth factor (Endoret, BTI Biotechnology Institute; Fig. 5). A final zirconia crown was fabricated and placed 24 hours after surgery. It was entirely designed and fabricated using the Zirkonzahn CAD/CAM system (Figs. 6–8).
Healing was uneventful, with no signs of infection or other complications at the one-week, two-week and one-month follow-up visits. The patient was very satisfied with the fast, comfortable, aesthetic and functional outcomes achieved.
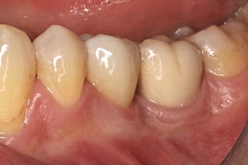
At the one-year follow-up visit, the soft-tissue contours adjacent to the implant restoration and the buccal bone volume and convexity still resembled those adjacent to the natural teeth. Bone levels around the implant appeared stable during radiographic evaluation (Fig. 9). No perceptible loss occurred. The artificial crown had an emergence profile mimetic of that of a natural tooth. At the two-year follow-up visit, the tissue contours looked stable and appeared even to have improved when compared with the one-year follow-up visit (Fig. 10).
The two-year follow-up postoperative cone beam computed tomography (CBCT) scan (Figs. 11 & 12), as well as the clinical photographs, illustrated the bone level, the buccal bone volume achieved and maintained over the period. Also, it was possible to see that the gap distance, radiographically, appeared to have been filled with bone. It was surprising also to see that bone level was well above the implant–abutment junction, maybe in response to a very efficient maintenance of a zero micro-gap at the junction owing to this BioBlock (BTI Biotechnology Institute) one abutment, one time concept, providing a virtual one-piece implant.
Discussion
Prior to the SS technique, every time a tooth was to be replaced by a dental implant, the treatment options were as follows:
- post-extraction immediate implant placement with an immediate provisional restoration, filling or not filling the gap distance and rebuilding or not rebuilding the facial tissue to the implant, either with bone or soft tissue;
- a delayed approach with or without additional augmentative surgical procedure(s), depending on whether there was a compromised ridge defect after tooth loss. [2, 4]
While there are several techniques, well supported by the literature, to effectively manage ridge defects (be it with guided bone regeneration or with soft-tissue management), this same literature also shows that this augmentation can only partially compensate for the tissue loss. A certain amount of 3D shrinkage is always to be anticipated with healing. The submergence of tooth roots was first introduced to better preserve the alveolar ridge volume beneath removable complete dentures, preventing part of the bone loss subsequent to tooth extraction, maximising the available support area and, in some cases, creating an aesthetic (similar to natural) emergence profile in the aesthetic area.[5, 6] Successful tissue regeneration around submerged tooth roots was reported by Malmgren et al. more than three decades ago.[7] Submerging the roots of hopeless teeth, for pontic site development, has been shown to be a valid and useful treatment in order to prevent the aesthetic damage that could result from the tissue collapse that generally follows a tooth extraction, as Salama et al. reported when developing pontic sites beneath fixed partial dentures.[8]
In the SS technique, as described by Hürzeler, the root or tooth is ground down to 1 mm above the crest in order to preserve the supra-crestal fibres with epithelial and connective tissue attachment. [4] Maintaining a fragment of the root ensures preservation of all the delicate tissue associated with it: the PDL, bundle bone, buccofacial plate and overlying keratinised mucosa, avoiding the typical remodelling subsequent to tooth extraction.[9] Bäumer et al. produced the first human histological evidence demonstrating that it was possible to retain the attachment of the remaining SS to the buccal plate via a physiological PDL, free of any inflammatory response and with no osteoclastic remodelling activity. A sound junctional epithelium was also seen.[4] The authors reported good preservation of the buccofacial tissue, but with an average of 1 mm of horizontal loss after final restoration. Chen et al. reported 0.72 mm of buccal resorption using a similar procedure.[3, 10] Very few case reports currently exist and the case reported here, with immediate loading with the final restoration, to the authors’ knowledge, is the first.
Conclusion
An increasing amount of evidence is being produced on the efficacy and safety of utilising PET/SS in conjunction with immediate implant placement to avoid the tissue collapse that always follows implant therapy. However, caution is advised both in case selection and in performance of the procedure, as it is a very techniquesensitive one.
In the case report, the authors have highlighted the biological benefits of combining technology and biology:
- PET by keeping an SS fragment of the root and its corresponding PDL, preventing in that way most of the tissue remodelling and collapse always expected in these kinds of clinical situations;
- the one abutment, one time protocol, by immediately extending the implant neck and creating, through the BioBlock concept (stable zero micro-gap at the implant– abutment junction), a virtual one-piece implant; the use of an abutment with a controlled nano surface roughness prone to soft-tissue adherence;
- digital CAD/CAM technology that allows for precise design and emergence profile planning, as well as fabrication of zirconia restorations, further enhancing soft-tissue response around dental implant restorations.
This case report is the first, to the authors’ knowledge, to demonstrate two-year follow-up successful preservation of post-extraction socket tissue combining PET/SS, one abutment, one time (UNIT abutment) and immediate loading (with occlusal loading) through a digital workflow using a CAD/CAM Zirkonzahn crown (Fig. 13).
Editorial note: A list of references is available from the publisher. This article was published in CAD/CAM—international magazine of digital dentistry Vol. 10, Issue 3/2019.
Tags:
A graduate of Paris Descartes University (now the University of Paris), Dr Léon Pariente currently runs a private practice in the French capital that ...
Guided surgery has been around for a long time. However, very few dentists in the UK place implants using surgical guides. The reasons for this are ...
CAD/CAM technology allows dental professionals to manufacture solid all-ceramic crowns chairside. A digital image of the preparation is captured with an ...
As implant dentistry continues to evolve to meet our patient’s demands for aesthetic tooth replacements with minimal downtime or inconvenience, the ...
No-preparation ultrathin veneer is one of the most minimally invasive restorations. Its thickness ranges from 0.3 to 0.5 mm. In the right circumstances ...
Thanks to the very high accuracy of modern intra-oral scanners, excellent design software and reliable production systems, restoring an implant with a ...
The E4D in-office CAD/CAM unit (Editorial note: Planmeca E4D Technologies) has been employed in an investigative laboratory study to design and mill an ...
The aesthetics are always a significant challenge during implant restoration, especially in the aesthetic zone, in addition to the full consideration ...
Today’s computer-aided design and manufacture (CAD/CAM) technologies contribute greatly to restorative dentistry and provide clinicians with advanced ...
On 16 September, Osstell will be holding its ISQ Online Symposium, presenting four scientific sessions and one panel discussion. One of the speakers at the ...
Live webinar
Mon. 16 February 2026
12:00 pm EST (New York)
Live webinar
Tue. 17 February 2026
12:00 pm EST (New York)
Live webinar
Wed. 18 February 2026
9:00 am EST (New York)
Dr. Anna Lella, Ms. Francesca Nava
Live webinar
Wed. 18 February 2026
12:00 pm EST (New York)
Prof. Dr. João Caramês CODE expert, Dr. Robert Gottlander DDS
Live webinar
Mon. 23 February 2026
3:00 am EST (New York)
Ass. Prof. Elizabeth Shick, Dr. Zehra Yonel
Live webinar
Tue. 24 February 2026
1:00 pm EST (New York)
Prof. Dr. Markus B. Hürzeler
Live webinar
Tue. 24 February 2026
3:00 pm EST (New York)
Prof. Dr. Marcel A. Wainwright DDS, PhD
To post a reply please login or register