Sở hữu một nụ cười thiếu hấp dẫn sẽ làm giảm đi sự tự tin, sự hoà đồng với xã hội và sự tự trọng. Đối với một vài bệnh nhân, những trở ngại do ngoại hình này phần lớn xuất phát từ “nụ cười hở lợi”, cái mà những người không chuyên môn bắt đầu cân nhắc tới vấn đề bất hài hoà khi bị hở lợi 3 – 4mm. Thông thường cần phải phối hợp liệu pháp nha chu và liệu pháp phục hồi để giải quyết những phàn nàn này, nếu không cũng phải dùng phẫu thuật chỉnh hình xương hàm và phẫu thuật thẩm mỹ khuôn mặt.
Báo cáo sau đây trình bày ca lâm sàng kéo dài thân răng thẩm mỹ 2 thì và phục hồi bằng phục hình để điều trị nụ cười hở lợi.
Bệnh sử
Một phụ nữ 40 tuổi có tình hình sức khoẻ và tình trạng nha chu ổn định, khi cười lợi lộ ra quá mức 5-7 mm và bất cân xứng, thân răng lâm sàng ngắn và mòn rìa cắn, mặt nhai từ răng 15 tới răng 25 (hình 1.2)
Do bị mài mòn, do mối tương quan giữa răng và nha chu nên các răng trước có hình vuông và trông hơi nam tính.
Chẩn đoán bao gồm (1) Mọc răng thụ động bị biến đổi loại 1A theo phân loại của Coslet, minh chứng bởi sự rộng hơn bình thường của lợi sừng hóa và đỉnh mào xương ổ răng nằm về phía chóp ít nhất 1.5mm so với đường nối men xê măng (CEJ); (2) xương hàm trên quá dài theo chiều đứng. Bệnh nhân có mô lợi thuộc tuýp dày.
Kế hoạch điều trị
1. Tham khảo ý kiến chuyên gia phẫu thuật hàm mặt, tham khảo về phẫu thuật chỉnh hàm.
2. Tham khảo ý kiến chuyên gia phẫu thuật thẩm mỹ, để cân nhắc về liệu pháp hạ thấp môi.
3. Tham khảo ý kiến bác sĩ phục hình để xem xét việc tạo hình thân răng lý tưởng theo hướng phẫu thuật.
4. Kéo dài thân răng thẩm mỹ 2 thì từ răng 15 tới răng 25.
5. Thì đầu: tạo hình bờ viền xương ổ răng.
6. 6 tuần liền thương
7. Thì 2: cắt lợi
8. 3 tháng liền thương
9. Phục hình hoàn thiện bằng veneer sứ từ răng 15 tới răng 25
10. Sử dụng máng nhai hàm trên.
Cơ sở cho kế hoạch điều trị
Cách điều trị lý tưởng cho bệnh nhân có kích thước hàm trên quá dài theo chiều đứng gây áp lực cho nhiều chuyên gia nha khoa và y khoa.
Trong một ca lâm sàng như thế này, bệnh nhân bị hở lợi đến 7 mm. Phẫu thuật hàm trên theo dạng gãy Lefort I có thể sẽ có kết quả tốt nếu cách thức làm dài thân răng kinh điển không đủ để nâng cao đường viền nha chu, khiến cho tỉ lệ thân chân răng không chấp nhận được hoặc ngăn cản việc đạt được khuôn mặt nhìn nghiêng gần như tự nhiên vì cấu trúc quanh răng quá lộ.
Cũng như vậy, thư giãn thần kinh cơ của môi trên bằng botulinum toxin loại A (BTX-A) giúp hạ môi xuống và như thế che phủ bất kỳ phần lợi nào còn hở ra sau phẫu thuật nha chu.
Nếu bệnh nhân từ chối phẫu thuật chỉnh hàm và phẫu thuật thẩm mỹ khuôn mặt, điều trị sẽ làm giảm cười hở lợi và thiết lập lại sự đối xứng của răng và mô mềm, điều trị bao gồm phương pháp kéo dài thân răng 2 thì, sau đó gắn veneer sứ từ răng 15 tới răng 25.
Kéo dài thân răng 2 thì, thông thường sẽ làm giảm đi tối thiểu 1-3 mm chiều cao lợi sau thì đầu tiên đặc biêt là đối với những bệnh nhân có mô mềm dày (như bệnh nhân trong báo cáo trên)
Đầu tiên chỉ tạo hình mào xương và để cho liền thương, có thể chỉnh sửa bất kỳ đường viền mô mềm vùng cổ răng nào sau khi liền thương ở thì hai, chỉ cắt lợi. Một khi các tổ chức đã liền thương và tái tạo hoàn chỉnh sau khi cắt lợi, thường mất 3 tháng, sau đó có thể gắn vĩnh viễn phục hình.
Tham vấn phục hình
Từ mẫu hàm chẩn đoán ban đầu, phục hình của bệnh nhân được tỉa thật lý tưởng bằng sáp, trên đó sẽ ép máng hướng dẫn phẫu thuật bằng lực hút chân không (Hình 3, 4).
Hình 3: Mẫu hàm.
Hình 4: Hướng dẫn phẫu thuật. Hình thể răng lý tưởng (màu trắng)
Hình 5: Giai đoạn đầu phẫu thuật, tạo vạt dày toàn phần. Chú ý mức độ mào xương ổ răng lùi về phía chóp so với CEJ.
Tạo lại đường viền của xương (thì 1)
Thì đầu tiên của kỹ thuật kéo dài thân răng thẩm mỹ hai thì từ răng 15 tới răng 25 chỉ bao gồm cắt bỏ xương. Bệnh nhân uống 0.25 mg triazolam và 600 mg ibuprofen 1h trước phẫu thuật.
Gây tê tại chỗ bằng thuốc tê chứa 2% lidocain và 1: 100 000 epinephrine và 0.5 % bupivicaine với 1:200 000 epinephrine.
Rạch ngách tiền đình mặt ngoài từ răng 15 tới răng 25, đường rạch đứng song song chân răng phía gần răng 15 và phía xa răng 25. Lật vạt dày toàn phần (hình 5).
Cắt xương bằng đục Ochsenbein (Ochsenbein chisel), mũi khoan hoàn thiện carbide và mũi khoan Meuneyer; ít nhất 3mm từ rìa của phục hình dự kiến tới mào xương ổ răng mỗi bên, kiểm tra bằng máng hướng dẫn phẫu thuật (hình 6).
Xương được làm nhẵn để không có rìa sắc hoặc tồn tại vùng lẹm và bảo tồn những cấu trúc cần thiết. Vạt được đặt lại và khâu kín bằng chỉ expanded polytetrafluoroethylene 4-0 (ePTFE) (hình 7). Chiều cao và hình dạng của lợi sau phẫu thuật tương tự khi trước phẫu thuật, thậm chí cho đến 10 ngày sau can thiệp (hình 8).
Cắt bỏ lợi (thì 2)
Một khi mô mềm được đặt lại sáu tuần sau phẫu thuật (hình 9), thì 2 của phương pháp kéo dài thân răng thẩm mỹ hai thì từ răng 15 tới răng 25 sẽ được tiến hành. Bệnh nhân đuợc sử dụng thuốc an thần và thuốc tê như ở trên.
Tiến hành cắt lợi dùng đường rạch vát ngoài từ răng 15 tới răng 25 bằng dao mổ số 15, dùng máng phẫu thuật để vạch ra đường rạch mong muốn (hình 10).
Nhú lợi được để lại, không can thiệp đến và không cần phải khâu. Liền thương sau bốn tuần cho thấy hình thể lợi rất hài hòa.
Phục hình cuối cùng
Việc gắn veneer lên răng 15 tới răng 25 được tiến hành 3 tháng sau cắt lợi (hình 12). Sử dụng máng nhai để bảo vệ phục hình.
Để chỉnh lại đường môi cho đối xứng và giảm hở lợi thêm, xem xét lại việc làm mất tác dụng thần kinh cơ môi (làm thấp xuống) bằng BTX-A, nhưng bệnh nhân đã không chọn cách điều trị này.
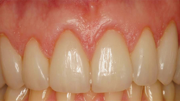
Sáu năm sau khi gắn veneer, bệnh nhân vẫn thoải mái với kết quả thẩm mỹ và chức năng đạt được chỉ có nhờ phẫu thuật nha chu và làm phục hình (hình 14).
Hướng dẫn sau phẫu thuật
Sau mỗi quy trình phẫu thuật, bệnh nhân được hướng dẫn dùng 600mg ibuprofen cách nhau 4-6h, hydrocodone 7,5 mg/acetaminophen 750mg cách nhau 4-6h để giảm đau và 100mg doxycycline mỗi ngày trong 10 ngày.
Bệnh nhân được chỉ dẫn không nên chải ở gần hoặc ngay vị trí phẫu thuật nhưng phải súc miệng chlohexidine 0.12% hoặc nước muối ấm hàng ngày, bệnh nhân cũng được chỉ dẫn không nhai tại vùng bị ảnh hưởng trong ít nhất 2 tuần.
Cắt chỉ 10-14 ngày sau phẫu thuật.
Lưu ý: bài viết này được xuất bản lần đầu tiên trên báo Cosmetic Tribune Vol. 4, No. 4, 2011. Tài liệu tham khảo sẵn có từ nhà xuất bản.
Since the feature release of DentalCAD 3.2 Elefsina, exocad has been providing users with a set number of free exocad credits each month, which can be used ...
In June, Dental Tribune International reported on an incisive study that explored the perspectives of dental patients on the ever-increasing role played by ...
Last week, a DT Study Club symposium on artificial intelligence (AI) and digital dentistry brought together dental professionals from around the world for a...
Over the past two decades, MIS Implants Technologies has successfully developed into a global business and today counts as one of the leading brands in the ...
The International College of Dentists (ICD) is an organisation of distinguished dentists dedicated to fostering professional camaraderie, supporting ...
SAN DIEGO, US: As cannabis use becomes more common, its health risks remain under investigation—particularly its impact on cancer. Some users develop ...
Orthodontic treatment remains the gold standard intervention to improve alignment and functional dynamics without significant biological sacrifice or ...
YORK, UK: The history of dairy consumption among European populations is a surprisingly contentious subject. Lactase persistence—the ability to digest the...
Born in Lebanon, Prof. Nadim Z. Baba moved to Canada and completed a DMD at the University of Montreal. He received his certificate in advanced graduate ...
As one of the leading dental exhibitions in central and eastern Europe, KRAKDENT has grown significantly over the past three decades. Organised by Targi w ...
LONDON, UK: For clinicians specialising in cosmetic dentistry, many patients may wish to have their smiles modelled on those of others. Cosmetic dentists ...
Education
Live webinar Sun. 3 May 2026 12:00 pm EST (New York)
MADRID, Spain: Periodontal disease in children and adolescents can be difficult to diagnose and manage due to inconsistent definitions and the limitations ...
On 3 and 4 October, dental professionals from around the world will gather in Tokyo in Japan for the sixth GC International Dental Symposium. Organised as ...
RIYADH, Saudi Arabia: Koelnmesse and dmg events have announced the launch of the annual International Dentistry Exhibition and Meeting in Saudi Arabia (IDEM...
To post a reply please login or register