More than 20 years ago, Torabinejad et al. first described a new root-end filling material called mineral trioxide aggregate (MTA).[1] MTA showed in vitro better sealing ability than amalgam or Super EBA when used as a root-end filling material. Later, several in vivo and in vitro studies demonstrated more applications for MTA. Pulp capping, apexification, repair of root perforations and root-end filling are commonly described clinical procedures to seal the pathway of communication between the root canal system and the external surface of the tooth. The application of MTA was first described as being achieved with aid of plastic or metal spatulas.[2] Unfortunately, proper placement was not possible in this manner.
Therefore, Produits Dentaires introduced a universal carrier system for clinical and surgical MTA placement. Its Micro-Apical Placement (MAP) System offers different application points for every clinical situation. The Intro Kit and the Universal Kit are for orthograde obturation and the Surgical Kit for retrograde obturation. New NiTi Memory Shape tips can be manually shaped to any required curvature. After autoclave sterilisation, the needle returns to its initial shape. With the use of the MAP System, proper placement of MTA has become an easy task for every dentist.
In combination with the MAP System, Produits Dentaires offers a white MTA specially developed for placement with the MAP System. The optimised practical size means economical application for each treatment. There are many indications for the PD MTA White, and with the MAP System, proper placement is easy in every situation.
Pulp capping
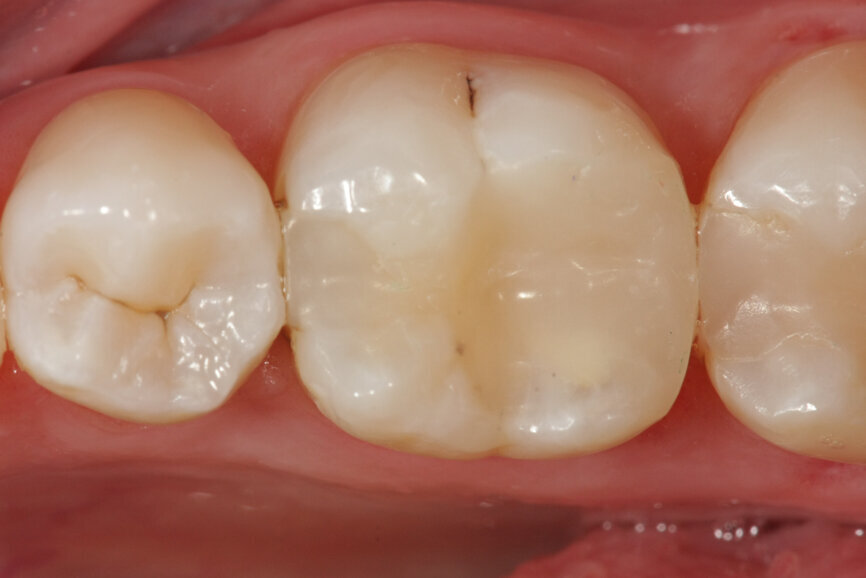
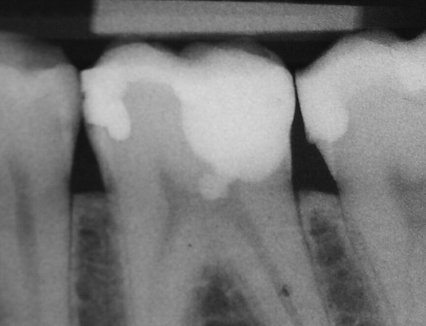
Vital pulp therapy has become more popular in recent years. Calcium hydroxide has been the most common material for pulp capping, but MTA has shown even better results in biocompatibility and outcome.[3] Cases with large carious pulp exposure can be treated successfully with partial pulpotomy and MTA as a capping agent, keeping teeth vital (Figs. 1a–e).
Fig. 1a: (a) Deep carious lesion. (b) Partial pulpotomy. (c) MTA application with the MAP System and PD MTA White. (d) Filling. (e) Post-op radiograph showing the pulp capping with MTA.
Fig. 1b: (a) Deep carious lesion. (b) Partial pulpotomy. (c) MTA application with the MAP System and PD MTA White. (d) Filling. (e) Post-op radiograph showing the pulp capping with MTA.
Fig. 1c: (a) Deep carious lesion. (b) Partial pulpotomy. (c) MTA application with the MAP System and PD MTA White. (d) Filling. (e) Post-op radiograph showing the pulp capping with MTA.
Fig. 1d: (a) Deep carious lesion. (b) Partial pulpotomy. (c) MTA application with the MAP System and PD MTA White. (d) Filling. (e) Post-op radiograph showing the pulp capping with MTA.
Fig. 1e: (a) Deep carious lesion. (b) Partial pulpotomy. (c) MTA application with the MAP System and PD MTA White. (d) Filling. (e) Post-op radiograph showing the pulp capping with MTA.
Fig. 2a: (a) Endodontically treated tooth with fistula. (b) After retreatment, the tooth showed an open apex. (c) MTA application with the MAP System and PD MTA White. Condensation of the MTA with pluggers (d) or paper points (e). (f) MTA plug. (g) Post-op radiograph showing the MTA plug and the reconstruction with a fibre post.
Fig. 2b: (a) Endodontically treated tooth with fistula. (b) After retreatment, the tooth showed an open apex. (c) MTA application with the MAP System and PD MTA White. Condensation of the MTA with pluggers (d) or paper points (e). (f) MTA plug. (g) Post-op radiograph showing the MTA plug and the reconstruction with a fibre post.
Fig. 2c: (a) Endodontically treated tooth with fistula. (b) After retreatment, the tooth showed an open apex. (c) MTA application with the MAP System and PD MTA White. Condensation of the MTA with pluggers (d) or paper points (e). (f) MTA plug. (g) Post-op radiograph showing the MTA plug and the reconstruction with a fibre post.
Fig. 2d: (a) Endodontically treated tooth with fistula. (b) After retreatment, the tooth showed an open apex. (c) MTA application with the MAP System and PD MTA White. Condensation of the MTA with pluggers (d) or paper points (e). (f) MTA plug. (g) Post-op radiograph showing the MTA plug and the reconstruction with a fibre post.
Fig. 2e: (a) Endodontically treated tooth with fistula. (b) After retreatment, the tooth showed an open apex. (c) MTA application with the MAP System and PD MTA White. Condensation of the MTA with pluggers (d) or paper points (e). (f) MTA plug. (g) Post-op radiograph showing the MTA plug and the reconstruction with a fibre post.
Fig. 2f: (a) Endodontically treated tooth with fistula. (b) After retreatment, the tooth showed an open apex. (c) MTA application with the MAP System and PD MTA White. Condensation of the MTA with pluggers (d) or paper points (e). (f) MTA plug. (g) Post-op radiograph showing the MTA plug and the reconstruction with a fibre post.
Fig. 2g: (a) Endodontically treated tooth with fistula. (b) After retreatment, the tooth showed an open apex. (c) MTA application with the MAP System and PD MTA White. Condensation of the MTA with pluggers (d) or paper points (e). (f) MTA plug. (g) Post-op radiograph showing the MTA plug and the reconstruction with a fibre post.
Fig. 3a: (a) Radiolucency in the cervical part of the canine. (b) Bleeding from the perforation. (c) MTA application with the MAP System and PD MTA White. (d) Original canal and repair of root perforation. (e) Post-op radiograph showing the root canal filling.
Fig. 3b: (a) Radiolucency in the cervical part of the canine. (b) Bleeding from the perforation. (c) MTA application with the MAP System and PD MTA White. (d) Original canal and repair of root perforation. (e) Post-op radiograph showing the root canal filling.
Fig. 3c: (a) Radiolucency in the cervical part of the canine. (b) Bleeding from the perforation. (c) MTA application with the MAP System and PD MTA White. (d) Original canal and repair of root perforation. (e) Post-op radiograph showing the root canal filling.
Fig. 3d: (a) Radiolucency in the cervical part of the canine. (b) Bleeding from the perforation. (c) MTA application with the MAP System and PD MTA White. (d) Original canal and repair of root perforation. (e) Post-op radiograph showing the root canal filling.
Fig. 3e: (a) Radiolucency in the cervical part of the canine. (b) Bleeding from the perforation. (c) MTA application with the MAP System and PD MTA White. (d) Original canal and repair of root perforation. (e) Post-op radiograph showing the root canal filling.
Fig. 4a: (a) Pre-op radiograph with a large periradicular lesion. (b) Periapical surgery. (c) MTA application with the MAP System and PD MTA White. (d) Condensation of the MTA with pluggers. (e) Mirror view of the root-end cavity filled with MTA. (f) Post-op radiograph showing the root-end filling.
Fig. 4b: (a) Pre-op radiograph with a large periradicular lesion. (b) Periapical surgery. (c) MTA application with the MAP System and PD MTA White. (d) Condensation of the MTA with pluggers. (e) Mirror view of the root-end cavity filled with MTA. (f) Post-op radiograph showing the root-end filling.
Fig. 4c: (a) Pre-op radiograph with a large periradicular lesion. (b) Periapical surgery. (c) MTA application with the MAP System and PD MTA White. (d) Condensation of the MTA with pluggers. (e) Mirror view of the root-end cavity filled with MTA. (f) Post-op radiograph showing the root-end filling.
Fig. 4d: (a) Pre-op radiograph with a large periradicular lesion. (b) Periapical surgery. (c) MTA application with the MAP System and PD MTA White. (d) Condensation of the MTA with pluggers. (e) Mirror view of the root-end cavity filled with MTA. (f) Post-op radiograph showing the root-end filling.
Fig. 4e: (a) Pre-op radiograph with a large periradicular lesion. (b) Periapical surgery. (c) MTA application with the MAP System and PD MTA White. (d) Condensation of the MTA with pluggers. (e) Mirror view of the root-end cavity filled with MTA. (f) Post-op radiograph showing the root-end filling.
Fig. 4f: (a) Pre-op radiograph with a large periradicular lesion. (b) Periapical surgery. (c) MTA application with the MAP System and PD MTA White. (d) Condensation of the MTA with pluggers. (e) Mirror view of the root-end cavity filled with MTA. (f) Post-op radiograph showing the root-end filling.
Fig. 5a: (a) MAP System and (b) PD MTA White.
Fig. 5b: (a) MAP System and (b) PD MTA White.
Apexification
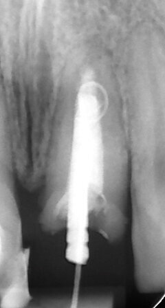
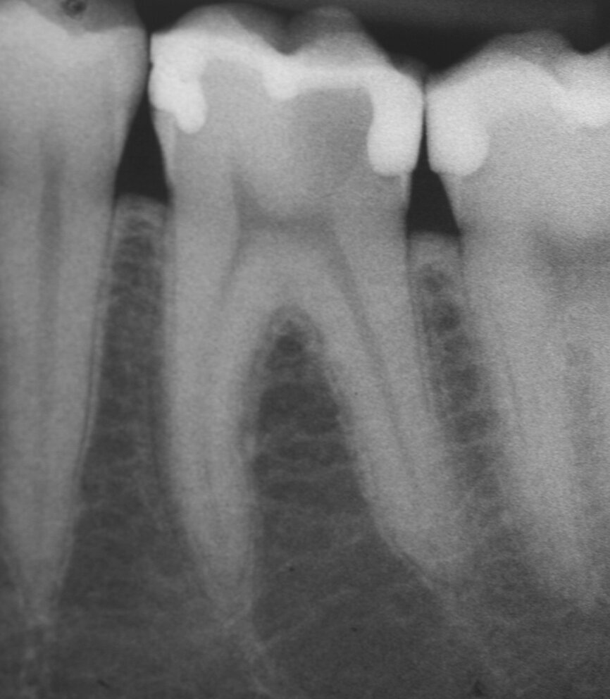
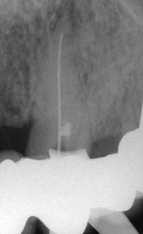
In order to prevent extrusion of root canal filling material in immature teeth with open apices, MTA is used as an apical plug. The results of many studies have shown that MTA induced apical hard-tissue formation more often and its use was associated with less inflammation than with other test materials (Figs. 2a–g).[4]
Repair of root perforations
Accidental perforation of the pulp chamber or of the root canal significantly changes the prognosis of the tooth. Perforation repair with a biocompatible sealing material such as MTA may save compromised teeth (Figs. 3a–e).[5]
Apical surgery
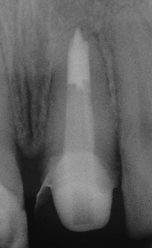
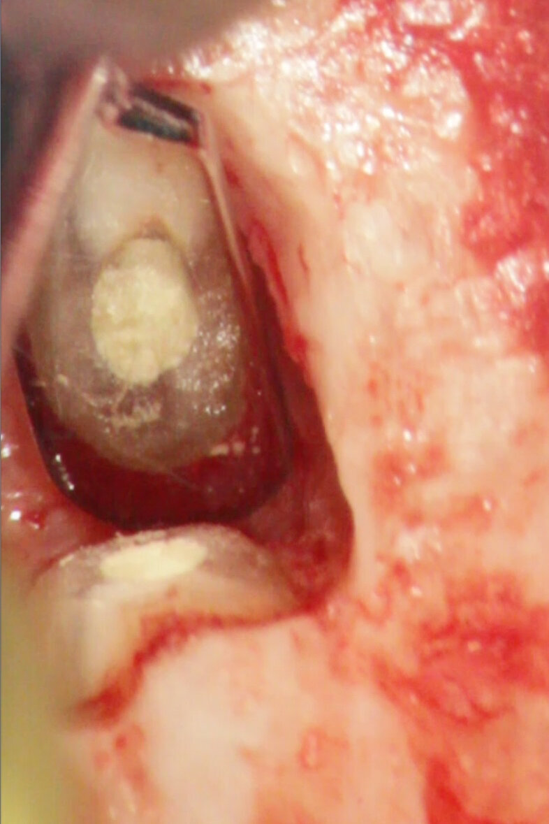
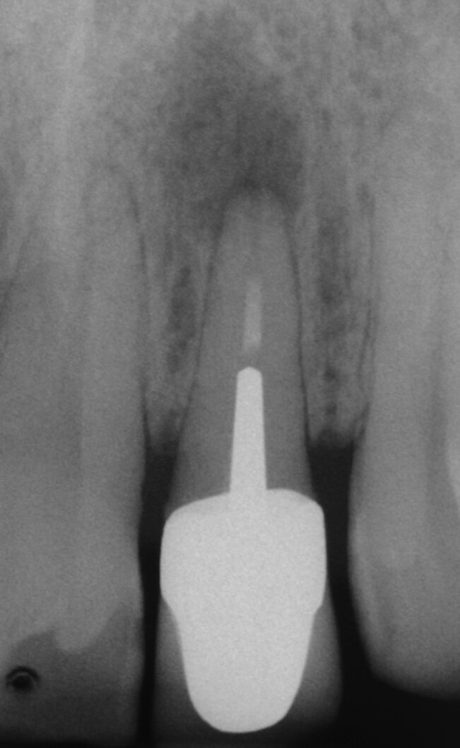
MTA is the material with the most favourable outcome as a root-end filling material for apical surgery. MTA has been associated with significantly less inflammation, cementum formation over MTA and regeneration of the periradicular tissue (Figs. 4a–f).[2]
Editorial note: A list of references can be obtained from the publisher.
VEVEY, Switzerland: The Micro-Apical Placement (MAP) System, from Swiss endodontic company PD, provides a unique and efficient method for precisely placing ...
Ectopic canines are a complex condition to treat with aligners only, since it is not easy to create a reliable and stable anchorage unit for forced ...
COLOGNE, Germany: Produits Dentaires stands for Swiss quality in dentistry. In more than 100 countries, the company offers dentists a wide range of ...
Implant planning and placement in the completely edentulous maxilla can present challenges both surgically and prosthetically whether a removable or fixed ...
VEVEY, Switzerland: Produits Dentaires (PD), a leading Swiss manufacturer specialising in safe and efficient solutions for dental therapy, has launched a ...
PARIS, France: According to Produits Dentaires, its MAP (Micro-Apical Placement) System, provides a unique and efficient method for precisely placing ...
A 59-year-old male patient was looking for a new fixed restoration for his maxilla. His case history showed no general disease. The patient had been fitted ...
Nowadays, implant-supported prostheses are used more and more in people’s daily routines and removable prostheses in case of large rehabilitation ...
BORDEAUX, France: Tooth extraction is the most common procedure performed in oral surgery.1 For example, ten million third molars are removed each year in ...
Guided surgery has been around for a long time. However, very few dentists in the UK place implants using surgical guides. The reasons for this are ...
Live webinar
Tue. 5 May 2026
1:00 pm EST (New York)
Dr. Maximilian Dobbertin M.Sc
Live webinar
Tue. 5 May 2026
3:00 pm EST (New York)
Live webinar
Wed. 6 May 2026
1:00 pm EST (New York)
Live webinar
Wed. 6 May 2026
8:00 pm EST (New York)
Ms. Ellen Karlin, Dr. Sara Karlin
Live webinar
Thu. 7 May 2026
11:00 am EST (New York)
Live webinar
Thu. 7 May 2026
12:00 pm EST (New York)
Live webinar
Thu. 7 May 2026
12:00 pm EST (New York)
Dra. Maria Carolina Erhardt, Dra. Thais Tomé Feldens
To post a reply please login or register