Search Dental Tribune

Dental News

Filter

Dentsply Sirona overstated net income and net sales in 2021

CHARLOTTE, N.C., US: Eyebrows were raised earlier this year in response to a series of dramatic events at Dentsply Sirona. CEO Don Casey was unceremoniously...

save

Study links face-to-face dentistry restrictions to increased antibiotic prescription

MANCHESTER, UK: Dental guidelines in the UK, as in many countries, are predicated upon the knowledge that dental infections respond better to treatment ...

save

Join Kuraray Noritake at the IN.DIRECT virtual symposium

INNSBRUCK, Austria: Kuraray Noritake Dental would like to invite dental professionals to participate in its IN.DIRECT virtual symposium on aesthetic ...

save

Internet addiction linked with dental caries in Japanese teens

TOKYO, Japan: A study of Japanese high school students has found that those suffering from internet addiction are more likely to have dental caries or ...

save

“Digitalisation, also in dentistry, is unstoppable and brings with it many advantages”

Since 2017, Dr Fabia Flensberg has worked as a dentist at Dentalzentrum Essen in the Elizabeth Hospital Essen in Germany. Her work focuses on aesthetic ...

save

GC South America attends PRO EXPERIENCE 2022

SÃO PAULO, Brazil: After three years of social distancing, PRO EXPERIENCE, the Congresso Internacional de Prótese Odontológica (international dental ...

save
advertisement

Study on oral care in hospitalised pneumonia patients leads to change in international practice

TORONTO, Canada: Since the use of an antimicrobial oral rinse in intensive care units (ICUs) and its effectiveness in preventing pneumonia have been ...

save

American College of Prosthodontists’ 52nd Annual Session kicks off

AUSTIN, Texas, US: The 2022 edition of the American College of Prosthodontists’ (ACP) Annual Session has commenced today in the Texan state capital of ...

save

Both digital and analogue dental workflows need to be your best friend

Many of the world’s greatest literary achievements were created with a pen or typewriter. And then, along came computers and word processing software such...

save

“Like bacteria hitch-hiking on the fungi”—study shows how organisms “walk” across teeth

PHILADELPHIA, US: A research team from the University of Pennsylvania has found that, within hours of growth, groupings of bacteria were able to “leap” ...

save

Vhf pursues new avenues with dental practices

Germany-based company vhf, a leading manufacturer of milling machines and related CAM software, exhibited its products at exocad Insights 2022. At the ...

save

3Shape introduces TRIOS Share

COPENHAGEN, Denmark: 3Shape, a market-leading provider of digital dentistry and 3D-scanning software, has launched TRIOS Share, a solution that enables ...

save
advertisement

A clear world vision of the future—EAS announces line-up for annual congress in Turin

TURIN, Italy: The fourth congress of the European Aligner Society (EAS) spans two and half days of plenary lectures led by some of the most experienced, ...

save

Sustainability: Another great way of giving back

As dental professionals, we have amazing opportunities to give back. Associations, organisations and academia promote and support the idea of giving back, ...

save

Osstem Implant subsidiaries use ESG activities to help local communities around the world

SEOUL, South Korea: Osstem Implant, a leading company in global implant sales, has announced that it has taken the initiative to help to develop regional ...

save

Medit and Imagoworks announce service integration

SEOUL, South Korea: Medit, a leading manufacturer of 3D dental scanners, and Imagoworks, a company that specialises in artificial intelligence (AI) and ...

save
advertisement

American Academy of Periodontology holds prestigious Annual Meeting

PHOENIX, US: Every year, the American Academy of Periodontology (AAP) Annual Meeting gathers thousands of members in one place. Since collaboration is ...

save

BDA warns new chancellor that further cuts will kill NHS dentistry

LONDON, UK: Amid the political upheaval that has engulfed the UK in recent weeks, the British Dental Association has written an email to new Chancellor ...

save

Lagging inflation rate for US dental services squeezing clinic profits and dentist incomes

CHICAGO, US: The annual inflation rate for dental services has dipped well below the rate of overall inflation in the US. This key development reverses a ...

save

CHX but without stains? One substance may hold the solution

KRIENS, Switzerland: Chlorhexidine digluconate (CHX) has been the go-to antiseptic in oral health for decades. It is considered the gold standard in ...

save
advertisement

“The beauty of exocad is that it’s a universal open platform”

At exocad Insights 2022, Dental Tribune International sat down with Dr Miguel Stanley, who is a passionate advocate for high-quality dental care and the ...

save

Vietnamese prime minister praises NHOS after patient’s large facial tumour successfully removed

HANOI, Vietnam: The National Hospital of Odonto-Stomatology (NHOS) in Hanoi is a specialised hospital with leading experts in the field of maxillofacial ...

save
advertisement

Integrate 2022―Neoss presents 24-hour online educational event

Themed “Integrate. Educate. Celebrate”, the Neoss Integrate in-person event in Gothenburg in Sweden gathered more than 600 dentists in June this year. ...

save

Drilling guides, night guards and crowns—all from a 3D printer

FRANKFURT AM MAIN, Germany: The dental industry was one of the first to recognise and leverage the benefits of additive manufacturing. Dentures and crowns ...

save

Researchers developing rapid test for periodontal disease

BIRMINGHAM, UK: The link between periodontal disease and a range of systemic health conditions such as cardiovascular disease, Type 2 diabetes and ...

save

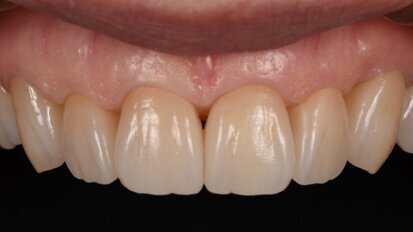
Restoring multiple teeth with a single multilayer zirconia

When dental zirconia evolved into a highly aesthetic material suitable for the production of restorations with a monolithic design or minimal labial ...

save
advertisement

British Orthodontic Conference in Birmingham gathers largest number of UK orthodontists

BIRMINGHAM, UK: The British Orthodontic Society (BOS) held its annual conference in September, and the event represented the largest gathering of ...

save

Harnessing “positive stress” to boost tooth tissue regeneration

HONG KONG: Dentists are all too familiar with the negative effects that stress can have on the oral cavity; however, a recent study by a team of researchers...

save

TePe Share clinical symposium explores relationship between cardiovascular disease and oral care

MALMÖ, Sweden: As a follow-up to last year’s clinical symposium, which was the first of its kind for TePe, the Swedish oral health company is hosting a ...

save

BlueM International appoints Dr Hamdan Alghamdi to its scientific board

WIJHE, Netherlands: Dutch dental company BlueM International recently announced that Dr Hamdan Alghamdi has joined its scientific board. The appointment was...

save
advertisement
advertisement