This clinical case describes an aesthetic approach to the anterior dentition using veneers. The differential thickness of each veneer was obtained on the basis of extremely minimally invasive preparations. Such preparations are less invasive for enamel integrity than veneer preparations carried out directly on the tooth. The controlled preparations were carried out using a working mock-up created on a wax-up that closed the diastemas between the anterior teeth.This clinical case describes an aesthetic approach to the anterior dentition using veneers. The differential thickness of each veneer was obtained on the basis of extremely minimally invasive preparations. Such preparations are less invasive for enamel integrity than veneer preparations carried out directly on the tooth. The controlled preparations were carried out using a working mock-up created on a wax-up that closed the diastemas between the anterior teeth.
Case report
A 25-year-old male patient came to the practice to resolve an aesthetic problem regarding the anterior dentition, namely the gaps between his teeth. This had become such a problem for him that he avoided showing his teeth in photographs. He had high aesthetic expectations of treatment and desired complete closure of the anterior diastemas.
The patient was in good general health and did not report any medical problems. He was certain that his oral hygiene was good, which was supported by the fact that he did not have any caries.
Records and diagnosis
An intra-oral physical examination, vitality test and probing were conducted, periapical radiographs were taken and initial tooth colour was assessed. There were no signs or symptoms of periodontal disease. The patient had previously had orthodontic treatment requiring the extraction of the third molars. At the time of the appointment, the patient had excellent Class I canine and molar occlusion. The maxillary arch presented with a diastema and further gaps between the central and lateral incisors. The diagnosis was diastemas after orthodontic therapy.
Treatment plan
The treatment method adopted aimed to afford better conservation of the dental tissue than is possible with conventional veneer preparation performed directly on the tooth. This extremely minimally invasive approach would be achieved with a mock-up for advanced aesthetic dentistry permitting controlled preparation, that is, preparation that is calibrated on the different thicknesses of the mock-up. This basis would be used to create semi-indirect veneers for space closure (Type IIB veneers according to Magne and Belser).1
Treatment
During the first appointment, photographs (Figs. 1–3) and alginate impressions of the dental arches were taken. After photographic study of the case, the necessary aesthetic and functional corrections were performed by means of an analogue diagnostic wax-upp phase. The wax up was transferred to the patient’s mouth in the form of a mock-up that he tested in his mouth for a few days prior to the operative session.
At the following appointment, this was used as a working mock-up for calibrated preparation, that is, a mockup-guided approach for extremely minimally invasive, controlled tooth reduction.
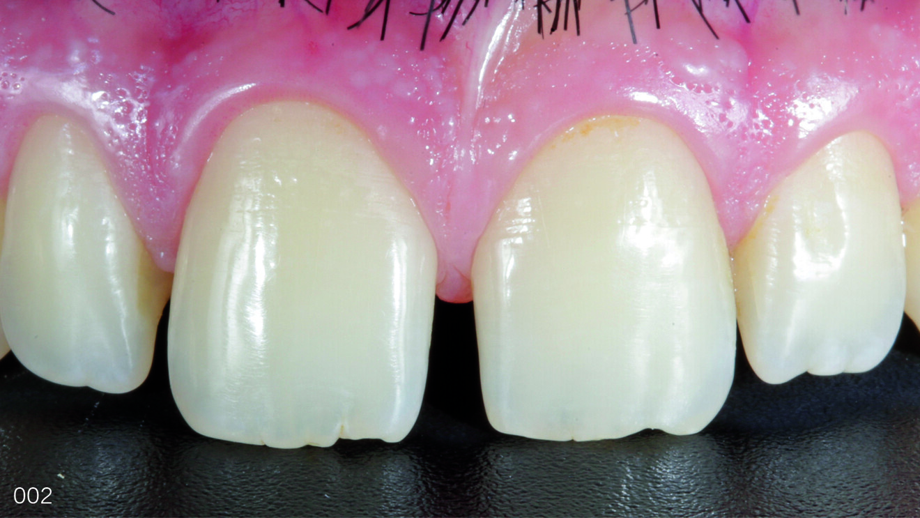
Figs. 1a,b: Initial situation. Teeth in intercuspal position and teeth in protrusion, frontal view.
Fig. 2: Initial photograph showing a detail of the maxillary arch.
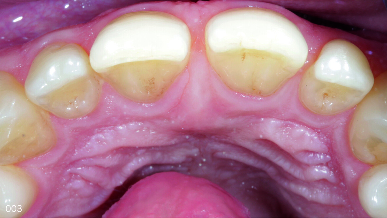
Fig. 3: Occlusal photograph of the anterior sextant.
To simulate the final result as already seen with the analogue wax-up as accurately as possible, the waxed-up model was scanned.2 For moulding the mock-up from the wax-up (Figs. 4a & b), a silicone index was created on the wax-up (Fig. 4c). Composite (Structur 3, VOCO) was injected into this silicone key to create the mock-up. The diagnostic mock-up was temporarily cemented (Provicol QM Aesthetic, VOCO) in the patient’s mouth for a few days until the operative session.
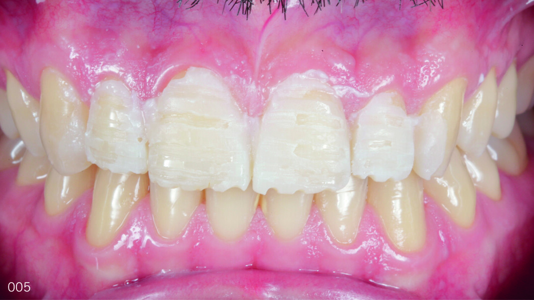
At the next appointment, the mock-up took on the role of a working guide for controlled preparation. Controlled thickness reduction grooves were made in the mock-up for orientation, as they were used to determine the depth of the preparation and thus the desired material thickness of the veneers (Fig. 5). For providing clear orientation, the guiding grooves were marked with a pencil (Fig. 6). Where the residual mock-up remained, the tooth was intact (extremely minimally invasive preparation). Only in the areas where the mock-up had been completely ground down was there an effective preparation of the tooth structure (Fig. 7). Compared with conventional veneer preparation, for which the dentist grinds the tooth structure directly from the beginning, this procedure allowed for much more conservative tooth reduction. It was decided not to intervene in the lateral and protrusive movement.
The first step was to perform window or Walls, Steele and Wassell Type A preparations,3 meaning that the preparations were only carried out on the vestibular aspect, without finishing margins and without any reduction of the incisal edge. However, an incisal butt joint margin was carried out to cover the incisal edge without any vertical reduction in the palatal area. It has been shown that such a covering of the incisal edge achieves a higher survival rate than preparations with a palatal chamfer.4,5
Fig. 4a1: Analogue wax-up on the gypsum model, palatal view. Fig. 4a2: Analogue wax-up on the gypsum model, vestibular view. Fig. 4b: Silicone index for moulding the mock-up in composite for the provisional restoration.
Fig. 5: Operative phase in which the mock-up acted as a guide for highly conservative, controlled preparations.
Fig. 6: Guide grooves marked with pencil for calibrated preparation primarily on the composite.
Fig. 7: Mock-up removed with pencil marks where the preparation would continue directly on the tooth (sacricing the mock-up spared healthy hard tissue).
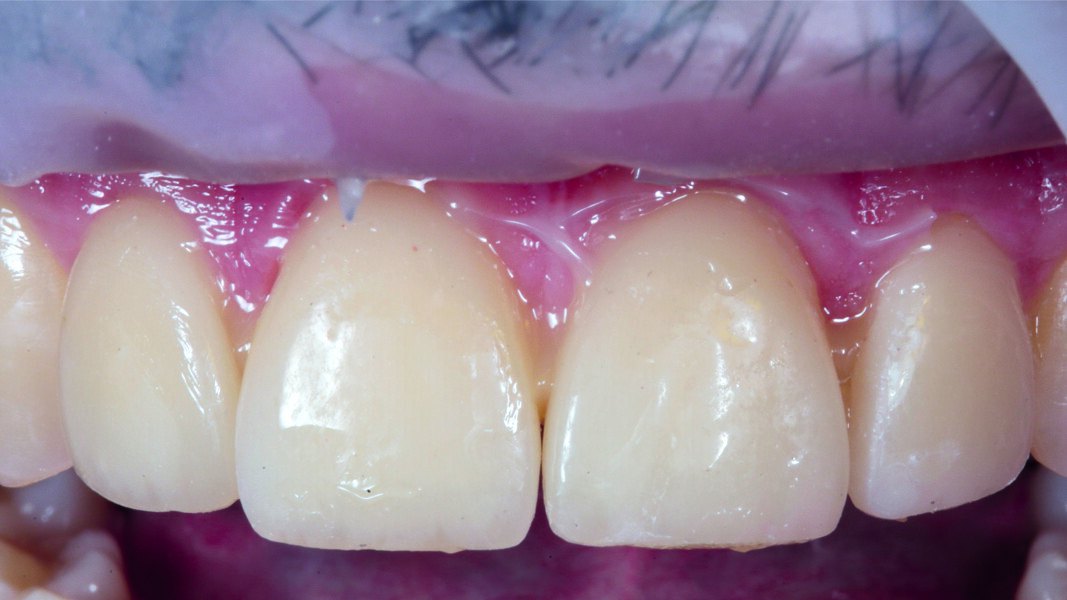
Once the final preparations had been obtained (Fig. 8a), they were scanned, initiating the digital phase of the workflow that ended with the fabrication of the veneers using a CAD/CAM milling unit (M2 Teleskoper, Zirkonzahn). The veneers were made of a highly filled nano-ceramichybrid material (Grandio blocs, Shade A2, low translucency; VOCO; Fig. 8b).
Once they had been cleaned, the prepared teeth were rinsed thoroughly and dried with a gentle jet of compressed air. The veneers were inserted carefully by exerting slight pressure. The chromatic effect met the expectations of both the patient and the clinician (Figs. 9 & 10). Before being finished and polished, the veneers created using CAD/CAM technology underwent chromatic characterisation so that the pigmentation (FinalTouch, VOCO) was fixed under this thin layer of composite.
The dental dam used to obtain isolation was secured using special cervical clamps for incisors (clamp #212, Hu-Friedy; Figs. 11 & 12). This was followed by proper adhesive priming of the surfaces to be luted to one another (inner surfaces of the restorations and surfaces of the prepared teeth). As a protective measure in view of the subsequent clinical steps, the adjacent surfaces that were not to be covered were isolated using PTFE tape.
Fig. 8a: Completed extremely minimally invasive preparations without finishing lines ready for digital impression taking. Fig. 8b: First veneer fabricated by digital milling.
The tooth surfaces were then conditioned, first by pretreatment with glycine powder, which through micro-abrasion increases the retentive potential of the bonding (Fig. 13). Etching was then performed using 35% orthophosphoric acid (Vococid, VOCO) for 20 seconds (Fig. 14). The acid was then removed by suction and rinsing for 20 seconds, and the surface was dried with compressed air to obtain a matt chalky white appearance. The universal adhesive (Futurabond U, VOCO) was applied and gently rubbed for 20 seconds using a brush (Single Tim, VOCO; Fig. 15). The solvent was then evaporated thoroughly with compressed air for at least 5 seconds to obtain a thin, immobile and shiny layer of adhesive, which was polymerised from various directions using a high-power LED curing light (Celalux 3, VOCO) for 10 seconds each time, in accordance with the manufacturer’s instructions. This created a matt–shiny preparation surface that was evenly coated with adhesive.
For the pretreatment of the inner surfaces of the veneers, abrasive sandblasting with 25–50μm particles of aluminium oxide was performed at 1.5–2 bar pressure, and a silane adhesive coupling agent (Ceramic Bond, VOCO) was applied and left to act for 60 seconds and then dried for 5 seconds. The veneers were finally cemented using a dual polymerising universal luting composite (Bifix QM, VOCO; Fig. 16). The veneers were inserted (Fig. 17) and fixed by means of polymerisation at marginal level using a Celalux 3 mesially and distally from the vestibular side, followed by mesial and distal polymerising from the palatal side. In order to avoid an oxygen inhibition layer and thus avoid poor polymerisation, a glycerine gel was applied to all margins prior to polymerisation (Liquid Strip, Ivoclar). By means of this oxygen inhibition gel, a significant improvement of the adhesive margins could be achieved. The glycerine was rinsed off, and at the end of the setting time of approximately 3 minutes, it was then possible to proceed with elimination of the excess material using a metal instrument and dental floss, interproximally. The interproximal contact zones were finished using abrasive strips.
The dental dam used to obtain isolation was secured using special cervical clamps for incisors (clamp #212, Hu-Friedy; Figs. 11 & 12). This was followed by proper adhesive priming of the surfaces to be luted to one another (inner surfaces of the restorations and surfaces of the prepared teeth). As a protective measure in view of the subsequent clinical steps, the adjacent surfaces that were not to be covered were isolated using PTFE tape.
The tooth surfaces were then conditioned, first by pretreatment with glycine powder, which through micro-abrasion increases the retentive potential of the bonding (Fig. 13). Etching was then performed using 35% orthophosphoric acid (Vococid, VOCO) for 20 seconds (Fig. 14). The acid was then removed by suction and rinsing for 20 seconds, and the surface was dried with compressed air to obtain a matt chalky white appearance. The universal adhesive (Futurabond U, VOCO) was applied and gently rubbed for 20 seconds using a brush (Single Tim, VOCO; Fig. 15). The solvent was then evaporated thoroughly with compressed air for at least 5 seconds to obtain a thin, immobile and shiny layer of adhesive, which was polymerised from various directions using a high-power LED curing light (Celalux 3, VOCO) for 10 seconds each time, in accordance with the manufacturer’s instructions. This created a matt–shiny preparation surface that was evenly coated with adhesive.
For the pretreatment of the inner surfaces of the veneers, abrasive sandblasting with 25–50μm particles of aluminium oxide was performed at 1.5–2 bar pressure, and a silane adhesive coupling agent (Ceramic Bond, VOCO) was applied and left to act for 60 seconds and then dried for 5 seconds. The veneers were finally cemented using a dual polymerising universal luting composite (Bifix QM, VOCO; Fig. 16). The veneers were inserted (Fig. 17) and fixed by means of polymerisation at marginal level using a Celalux 3 mesially and distally from the vestibular side, followed by mesial and distal polymerising from the palatal side. In order to avoid an oxygen inhibition layer and thus avoid poor polymerisation, a glycerine gel was applied to all margins prior to polymerisation (Liquid Strip, Ivoclar). By means of this oxygen inhibition gel, a significant improvement of the adhesive margins could be achieved. The glycerine was rinsed off, and at the end of the setting time of approximately 3 minutes, it was then possible to proceed with elimination of the excess material using a metal instrument and dental floss, interproximally. The interproximal contact zones were finished using abrasive strips.
Fig. 9: Veneer fit test.
Fig. 10: CAD/CAM veneers after characterisation, nishing and polishing.
Fig. 11: Isolation of the operative field using a dental dam, frontal view.
Fig. 12: Isolation of the operative field using a dental dam, occlusal view
Fig. 13: Isolation using PTFE and appearance of the sandblasted surfaces.
Fig. 14: Orthophosphoric acid etching of a substrate that was still enamel thanks to the extremely minimally invasive approach adopted.
Fig. 15: Application of the adhesive luting agent to the surfaces to be bonded.
Fig. 16: Bifix QM luting system (VOCO) applied to the tooth #21 stump and PTFE tape covering the adjacent teeth.
Fig. 17: Insertion of the veneers.
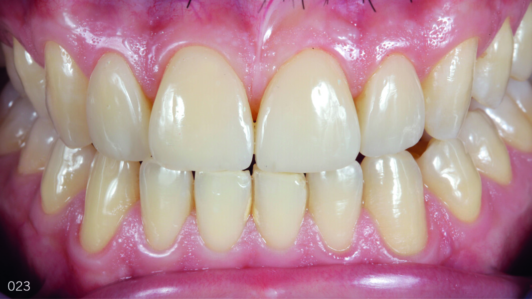
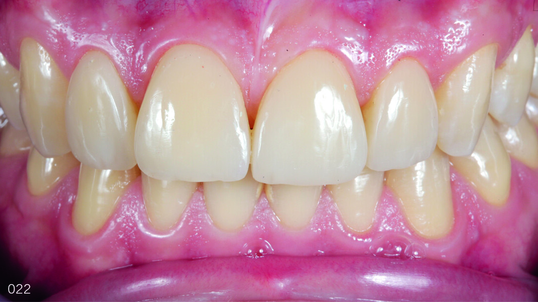
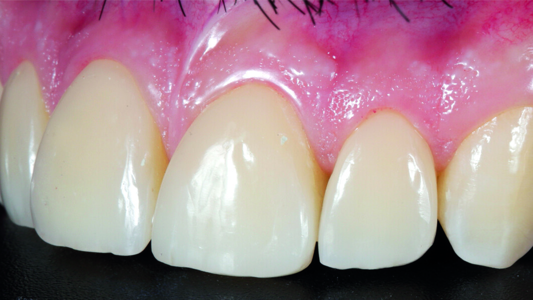
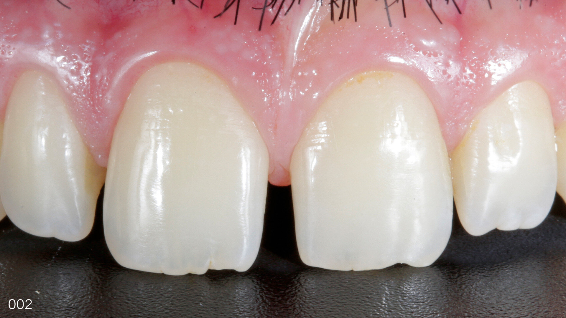
After checking the occlusion and making corrections in accordance with conventional functional concepts, normal finishing and polishing was performed using diamond polishers (Dimanto, VOCO). The patient was completely satisfied with the significant improvement in his smile (Figs. 18–22).
Discussion
Based on an analysis of the scientific literature concerning the closure of anterior diastemas, a semi-indirect approach using nano-hybrid composite veneers was chosen.6 The clinical indication of diastema closure classifies the veneers used for this case as Type IIB according to the Magne–Belser classification.1 Since feldspathic ceramic veneers were outside the patient’s budget, such an indirect technique was ruled out. The direct layering technique was ruled out because the patient had high aesthetic expectations. It was decided to use veneers on both the central and the lateral incisors, as this would make it possible to obtain more harmonious relative dimensional proportions.
The wax-up must first be transferred to the mouth in the form of a provisional prototype with a dual clinical function as a diagnostic mock up for aesthetic and functional aspects and as a working mock-up for calibrated preparation, that is, a guide for controlled, extremely minimally invasive tooth reduction.7 The diagnostic mock-up is the composite provisional restoration for the usual in-mouth fit test, and it allows immediate and effective communication with the patient and makes it possible to test in-mouth tolerability for a few days prior to the operative session. These prototypes fitted on the individual teeth have a wow effect on patients, as they provide an in-mouth preview of the aesthetic results to be achieved. In the initial stages of tooth preparation, the working mock-up for controlled preparation is calibrated based on the physical dimensions of the mock-up. With controlled preparation, the provisional restoration is gradually destroyed, resulting in a far more minimally invasive preparation than that performed directly on the tooth. Using special calibrated burs, this preparation ensures the most enamel sparing thicknesses possible and the highest aesthetic and functional characteristics. The working mock-up ensures greater thickness control of the veneers before proceeding with the precision impression for the digital design of the final veneers. The adhesive protocols described were compared with authoritative sources (Magne)8 and with recent literature (Blatz et al.).9
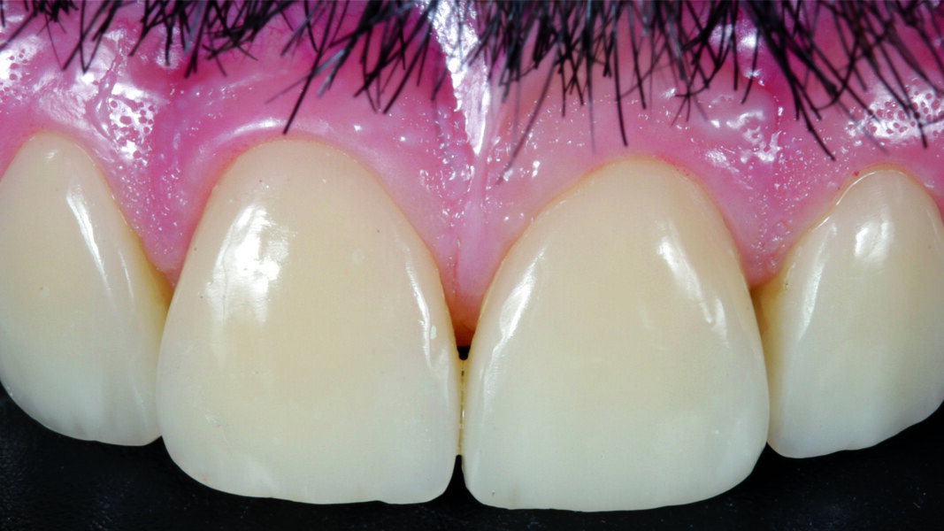
Fig. 18: Final result, frontal view.
Fig. 19: Final result, right lateral view.
Fig. 20: Final result, left lateral view.
Fig. 21: Teeth in intercuspal position one year after the treatment, frontal view.
Fig. 22: Teeth in protrusion one year after the treatment, frontal view.
Conclusion
Full patient satisfaction was achieved. The success of the treatment was due to the combination of two factors: minimal tooth preparation and complete closure of the diastemas without adverse repercussions on shape, proportions or chromatic integration.
This case has demonstrated that less is better. Indeed, mock-up-guided veneer preparations reduce the biological sacrifice of the tooth to a minimum while guaranteeing function and maximising the long-term aesthetics. This approach also demonstrates how conventional and digital workflows can be combined effectively.
Minimally invasive dentistry is on a continual path to finding new and more effective ways to preserve original tissue. This approach to dentistry offers ...
A 42-year-old male patient presented to our practice hoping to improve his smile. He was conscious of the worn dentition of the maxillary anterior sextant ...
On 20 June, GC Europe will be holding its first international congress on minimum intervention (MI) dentistry. As an introduction, German-based dentist Dr ...
In many clinical situations, composite restorations offer advantages over ceramic restorations. The treatment is less costly and usually less invasive, and ...
Dynamic real-time surgical navigation digital imaging, diagnostics and impressions, and the use of computer-aided design/computer-aided manufacture ...
Traditional endodontics has been based on feel, not sight. Tactile proprioreception was the only guide as burs and files were blindly inserted into pulp ...
Resin composites are wonderful restorative materials. Besides allowing for minimally invasive, defect-oriented tooth preparation, they can be modelled as ...
A free webinar on 19 June will offer participants an opportunity to learn about how to implement orthodontic treatment as a fundamental tool in the context...
Implant placement in the atrophic posterior maxilla is a challenge. Bone augmentation (sinus floor elevation) is very often indicated. [1] When the ...
As the global conversation around oral health continues to evolve, the European Federation of Periodontology (EFP) is playing an increasingly influential ...
The use of porcelain veneers to improve and restore the shape, shade and visual position of anterior teeth is a common technique in aesthetic dentistry. The...
Education
Live webinar Mon. 15 December 2025 5:30 am EST (New York)
To post a reply please login or register