BERLIN, Germany: An international network of researchers led by scientists at the Charité—Universitätsmedizin Berlin in Germany has identified variations of certain DNA sequences that are clearly associated with an increased risk of developing different forms of periodontal disease. For at least two gene regions, the study team found a highly significant association with the disease.
In a genome-wide association study, the group, led by Prof. Arne Schäfer from the Charité Institute for Dental and Craniofacial Sciences, investigated the relationship between sequence differences in genetic information and the incidence of the disease in several thousand patients with aggressive and chronic periodontitis. The results were compared with healthy individuals.
“This type of study is very systematic in nature. It aims to identify the genes that have an effect on a person’s risk of developing a specific disease,” Schäfer explained. Millions of DNA sequence variants, distributed throughout the genome and describing most of a person’s genetic information, were examined in various patient groups. “DNA sequence variations can have an effect on a person’s risk of developing a particular disease. By comparing frequencies of variants in patients and healthy controls, it is possible to find which areas of a chromosome are associated with the disease,” he added.
The scientists found two gene regions that appeared to be associated with an increased risk of developing different forms of periodontitis. One of the two regions is responsible for the synthesis of alpha-defensins (antimicrobial peptides), which are produced by specialised immune cells. These immune cells, neutrophils, are part of the body’s immune response and are involved in the identification and destruction of microorganisms. The second gene region inhibits the activation of these immune cells.
“Our results show that the different forms of gum disease share a common genetic origin,” said Schäfer. He emphasised: “This means that there are groups of patients who are susceptible to developing gum disease, but whose susceptibility is independent of other risk factors, such as smoking, oral hygiene or aging.”
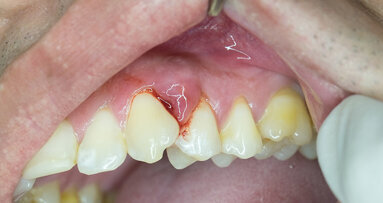
Worldwide, the prevalence of severe periodontal disease is estimated to be about 11 per cent. The disease is considered complex because individual susceptibility is determined by the interaction between the oral microbiome and the immune system, smoking and diet, as well as by metabolic disorders such as diabetes mellitus. The response of the body to these factors is largely influenced by the individual’s genetic make-up.
The study, titled “A genome-wide association study identifies nucleotide variants at SIGLEC5 and DEFA1A3 as risk loci for periodontitis”, was published in the July issue of the Human Molecular Genetics journal.
Tags:
FREIBURG, Germany: Thousands of different bacteria colonise the oral cavity, many of which remain unidentified. Researchers in Freiburg are now using a ...
BERLIN, Germany: For the first time, researchers from Charité—Universitätsmedizin Berlin have shown that the amoeba Entamoeba gingivalis, commonly found...
LOS ANGELES, U.S.: Recent studies showing an increase in patients with periodontitis, as well as studies linking it with Alzheimer’s disease, have led to ...
UMEÅ, Sweden: In the largest study of its kind, researchers from the Institute of Odontology at Umeå University in Sweden and the Bristol Dental School in...
LOS ANGELES, U.S.: Researchers have identified remains of a 3.5-million-year-old bear from a fossil-rich site in Canada’s High Arctic. Their study showed ...
OKAYAMA, Japan: In a recent study, researchers from Okayama University investigated whether involuntary masseter muscle activity showed any specific pattern...
LONDON, England: Treatment of head and neck cancer is notoriously complex, and only few advances have been made in the last 20 years. Last month, however, ...
HOUSTON, Texas, USA: In the twenty-first century, outbreaks of Clostridium difficile infections have occurred with an increased frequency in both Europe and...
NEW YORK, U.S./ANN ARBOR, Mich., U.S.: Mount Sinai scientists have identified biological markers present in childhood that relate to the degenerative and ...
BETHLEHEM, Pa., US: Aggressive forms of periodontitis associated with Aggregatibacter actinomycetemcomitans are often difficult to treat with traditional ...
Live webinar
Thu. 16 April 2026
12:00 pm EST (New York)
Dr. Pär-Olov Östman, Dr. Robert Gottlander DDS
Live webinar
Fri. 17 April 2026
12:00 pm EST (New York)
Live webinar
Fri. 17 April 2026
1:00 pm EST (New York)
Dr. Stuart Yeaton BDentSc, MOrth
Live webinar
Mon. 20 April 2026
1:00 pm EST (New York)
Dr. Alberto Monje DDS, MS, PhD
Live webinar
Wed. 22 April 2026
11:00 am EST (New York)
MDT Andreas Chatzimpatzakis
Live webinar
Wed. 22 April 2026
11:00 am EST (New York)
Live webinar
Wed. 22 April 2026
12:00 pm EST (New York)
To post a reply please login or register