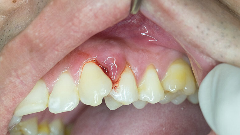
NEW YORK, U.S.: In a step that may help redefine the treatment of periodontitis, researchers at New York University College of Dentistry (NYU Dentistry) startup company Periomics Care have been awarded a one-year grant to develop an oral strip and gel to treat the disease. The grant, which began Aug. 1, 2019, and totals $224,000, was provided by the National Institute of Dental and Craniofacial Research and will be used specifically to help prevent bone loss in people with Type 2 diabetes.
With periodontitis five times more likely in patients with Type 2 diabetes than in those without, researchers hope that they can develop a treatment that not only improves outcomes but also reduces pain. “There is a major void in therapeutic products for periodontal disease that target the underlying mechanism of disease—and are easy for dentists and patients to use,” said Dr. Angela Kamer, Associate Professor of Periodontology and Implant Dentistry at NYU Dentistry and a consultant on the project.
In a previous study by researchers at Periomics Care, scientists found that a metabolite called succinate is elevated in people with diabetes and activates succinate receptor 1 (SUCNR1). The study demonstrated that blocking SUCNR1 activation controls inflammation and periodontal bone loss, suggesting that SUCNR1 would be a useful target for developing therapies to prevent periodontal bone loss. With this in mind, a new team of researchers aim to develop a sustained-release oral strip and gel formulation to target the protein.
According to researchers, the oral strip and gel will use biodegradable material filled with a SUCNR1 antagonist, a method protected by a provisional U.S. patent. The strip would be implanted by a dentist, while patients would apply the topical gel to their gingivae themselves. “The development of a biodegradable oral strip or gel formulation that could be administered through less invasive approaches to augment or replace conventional treatment could prove to be a major step forward in the treatment of periodontal disease,” said Dr. Deepak Saxena, Associate Professor of Basic Science and Craniofacial Biology at NYU Dentistry and Director of Periomics Care.
Tags:
BETHLEHEM, Pa., US: Aggressive forms of periodontitis associated with Aggregatibacter actinomycetemcomitans are often difficult to treat with traditional ...
SINGAPORE: With the aim of preventing the spread of SARS-CoV-2, researchers from the National University of Singapore (NUS) have developed a portable ...
NANCHANG, China: Social media adverts for whitening products show celebrities flaunting their pearly whites, putting pressure on consumers to conform to the...
LOS ANGELES, U.S.: Recent studies showing an increase in patients with periodontitis, as well as studies linking it with Alzheimer’s disease, have led to ...
BERLIN, Germany: For the first time, researchers from Charité—Universitätsmedizin Berlin have shown that the amoeba Entamoeba gingivalis, commonly found...
VIENNA, Austria: On 16 May at EuroPerio11, the Spanish Society of Periodontology and Osseointegration presented a new report on how antiseptic mouthwashes ...
PHILADELPHIA, U.S.: The fight against plaque has been a long-running battle. In a discovery that might give dentists the upper edge, researchers from the ...
HALLE, Germany: The environmental impact of microplastics used in personal care products, such as toothpaste, has long been discussed. Tiny plastic ...
MANSFIELD, Conn., U.S.: In the hope of finding a better way to detect dental pain, a team of scientists at the University of Connecticut (UConn) is ...
EVANSTON, Ill., U.S.: Small doses of fluoride have been proven to promote oral health by strengthening tooth enamel and preventing dental caries. However, ...
Live webinar
Tue. 19 May 2026
11:00 am EST (New York)
Live webinar
Tue. 19 May 2026
1:00 pm EST (New York)
Prof. Dr. med. dent. Ivo Krejci
Live webinar
Wed. 20 May 2026
7:00 am EST (New York)
Dr. Graham Carmichael BDSc (Hons), DClinDent (Pros), FRACDS, Dr. Robert Gottlander DDS
Live webinar
Wed. 20 May 2026
9:00 am EST (New York)
Live webinar
Wed. 20 May 2026
11:00 am EST (New York)
Live webinar
Wed. 20 May 2026
1:00 pm EST (New York)
Prof. Dr. med. dent. Tim Joda PhD, MSc, eMBA
Live webinar
Thu. 21 May 2026
12:00 pm EST (New York)
Dr. Leonardo Muniz DDS, MSC
To post a reply please login or register